연세예감치과(시청역)
순화동 가까운 충치치료 치과 해외에서도 찾아오는 연세 예감 치과
안녕하세요 서울시에서 3단계 인증(현장방문평가포함) 하여 6년연속 선정된 서울 중구 유일의 서울시인증 서울특별시 의료관광 협력기관 시청역 연세 예 감 치과 입니다. 2022년~2024년 말까지 2025년~2027년 말까지 총 6년 선정되었습니다. 저희 연세예감치과는 시청역 7번출구 삼성본관 바로 맞은편에 위치하여...
아카이브 요약
이 페이지의 역할
연세예감치과(시청역) Yonsei Yegam Dental Clinic ヨンセイェガム歯科의 네이버 블로그 원문을 보존한 아카이브 페이지입니다. 충치치료 카테고리의 순화동 가까운 충치치료 치과 해외에서도 찾아오는 연세 예감 치과 글을 통해 병원의 한국어 정보 제공 방식과 진료 관련 안내 톤을 확인할 수 있습니다.
안녕하세요
서울시에서 3단계 인증(현장방문평가포함) 하여 6년연속 선정된
서울 중구 유일의
서울시인증 서울특별시 의료관광 협력기관 시청역 연세 예 감 치과 입니다.

2022년~2024년 말까지
2025년~2027년 말까지
총 6년 선정되었습니다.

저희 연세예감치과는 시청역 7번출구
삼성본관 바로 맞은편에 위치하여
각종 대기업 등 기업들 사이에 위치하고 있는데요
그래서 바쁜 현대인 직장인분들의 소중한 시간을 위해
예약하시면 최대한 대기없는 진료를 추구하며
정확한 진료를 추구합니다.
오늘은 충치 중에서도 비율이 꽤 높은 충치치료인
인레이 치료에 대해 알아보고자 합니다.
보통 어금니 충치는 그 크기나 범위, 깊이 등등에 따라
레진→인레이→(신경치료)+크라운→정말심한경우 발치+임플란트
의 수순을 밟게 되는데요
어금니 치아 사이 충치이거나(치아와 치아 사이 충치)
레진으로 할 수 있는 치료보다 범위가 더 큰 경우
인레이 치료를 진행하는 경우가 많습니다.
보통 그자리에서 충치를 파고 입안에서 바로 진행하는 레진치료와 달리
인레이는 충치를 제거하고 인레이모양을 만들어서 인레이를 입 밖에서 제작해야합니다.
따라서 인레이제작기간이 있으며 제작에는 시간이 꽤 걸리기 때문에
1,보통은 치아에서 인레이 모양 깎는날, 2.인레이를 만들어와서 붙이는 날
이렇게 두 번의 내원이 있어야 인레이가 완성됩니다.
<환자분의 동의를 얻은 사진만 게시합니다>

인레이로 진행해야하는 충치의 경우
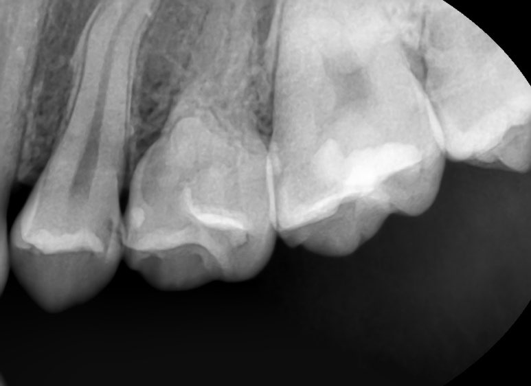
눈으로 봤을때보다는 엑스레이에서 봤을 때 진단되는 경우가 많으며
눈으로 봤을 때는 비쳐보일수있기는 하나 치아사이나 속 충치 등 겉면이 아니라 속에서 썩은 경우에는 엑스레이가 더 확실합니다.

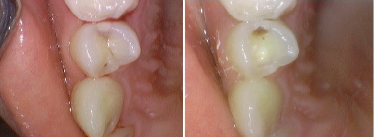
위의 왼쪽 사진에 충치가 없는 것 같으신가요? 치아사이 충치가 있고 치과의사의 눈으로 보면 보이긴 하는데 간혹 충치가 아닌경우도 있어서 더 정확한 판단을 위해서는 엑스레이가 필요합니다.
실제로 엑스레이상에서 충치가 있는것이 확인되었고
충치제거 중 찍은 오른쪽 사진을 보면 충치가 확실히 깊은 있는게 보입니다.


▲이런식으로 오히려 겉에서 보이는 충치보다 사이 충치는 겉에서 까맣게 보이지 않지만 파면 더 깊은 위치에 있습니다.


왼쪽: 겉에서는 보이지 않는 치아사이충치/ 오른쪽: 실제로 치아를 파보면 충치가 깊게 위치하고 있음
저희 연세예감치과는
치아색 세라믹인레이 세라믹 중에서도
치아색을 위해서는 이맥스(E.max) 라는 재료를 사용하고 있습니다.
많이 검색해본 분들은 아시겠지만
이맥스 인레이는 인레이 재료로 많은 치과에서 선호하고 많이 사용하는 인레이의 대표 재료입니다.
레진 인레이, 하이브리드인레이, 지르코니아 인레이 등 치과마다 사용하는 하얀색 인레이 종류가 다른데
저희 경험상으로는, 그리고 저희가 여러 논문들과 학술자료들을 검토했을 때
현재로서는 이맥스 인레이가 가장 잘 안깨지고, 접착도 잘 되어서
인레이로서는 가장 이상적이라고 생각해서 사용하고 있습니다.
(크라운은 주로 지르코니아 크라운을 사용하는데
인레이냐 크라운이냐에 따라서도 가장 적합한 재료가 다릅니다)
물론 골드 인레이도 사용할 수 있지만 요즘 금값때문에 환자분들이 금 인레이의 경우 치료비에 부담을 많이 느끼게 되시고 금 인레이가 가장 안 깨지고 단단하겠지만
인레이 모양 특성상 금의 옆부분인 실제 치아가 금이 깨지지 않는대신
오히려 치아가 깨진다거나 치아에 크랙이 간다거나 하는 문제점이 있어서
골드 인레이가 가장 적합하다고 진단된 케이스를 제외하고는
저희 치과에서는 인레이 재료로는 이맥스(e-max) 인레이를 사용하고 있습니다.

색상도 치아와 비슷하여 금 인레이처럼 티가 나지 않습니다.
지금까지 순화동 소공동 가까운
시청역 연세 예 감 치 과에서 알려드린
인레이치료였습니다.
저희 연세예감치과는
외국인들도 충치치료 및 치과치료를 위해
일부러 찾아오는 치과입니다.










네이버예약 가능합니다.(아래지도클릭)
네이버 톡톡으로 문의도 가능합니다.
더 보기
이 병원의 공개 콘텐츠를 계속 살펴보세요
출처 아카이브로 돌아가 더 많은 글을 보거나, 병원 프로필로 이동해 다른 공개 채널도 함께 비교해보세요.