아카이브 요약
이 페이지의 역할
연세예감치과의원의 네이버 블로그 원문을 보존한 아카이브 페이지입니다. 스케일링 카테고리의 스케일링 처음 받는 분들도 많이 찾아오는 광화문 시청역 삼성본관 바로 앞 치과 글을 통해 병원의 한국어 정보 제공 방식과 진료 관련 안내 톤을 확인할 수 있습니다.
원문 검증
필요하면 원문 블로그와 병원 프로필로 바로 이동해 문맥을 다시 확인할 수 있습니다.
출처 아카이브 열기아카이브된 블로그 글
연세예감치과의원 · Naver Blog
안녕하세요 서울 시청역 7번출구 삼성본관 빌딩 바로 맞은편에 위치한 연세 예감 치과입니다. 서울의 중심에 위치하여 광화문, 을지로, 명동, 이대, 신촌, 마포, 홍대에서도 오기 편한 위치입니다. 저희 치과는 환자분들의 불편감을 줄여드리기 위해 최대한 모든 방법을 동원하고 있는데요 만 19세 국민건강보험이 있는...
게시일
2025년 3월 11일
원문 기준으로 확인된 발행일입니다.
카테고리
스케일링
원문 블로그 카테고리를 정리해 함께 표시합니다.
이미지 수
18
현재 아카이브에 연결된 이미지 수입니다.
아카이브 요약
연세예감치과의원의 네이버 블로그 원문을 보존한 아카이브 페이지입니다. 스케일링 카테고리의 스케일링 처음 받는 분들도 많이 찾아오는 광화문 시청역 삼성본관 바로 앞 치과 글을 통해 병원의 한국어 정보 제공 방식과 진료 관련 안내 톤을 확인할 수 있습니다.
원문 검증
필요하면 원문 블로그와 병원 프로필로 바로 이동해 문맥을 다시 확인할 수 있습니다.
출처 아카이브 열기안녕하세요
서울 시청역 7번출구
삼성본관 빌딩 바로 맞은편에 위치한
연세 예감 치과입니다.
서울의 중심에 위치하여 광화문, 을지로, 명동, 이대, 신촌, 마포, 홍대에서도 오기 편한 위치입니다.

저희 치과는 환자분들의 불편감을 줄여드리기 위해 최대한 모든 방법을 동원하고 있는데요
만 19세 국민건강보험이 있는 국민이면 연1회 스케일링이 건강보험이 적용됨에도 불구하고
스케일링 자체가 무서워서 한번도 해보지 않은 대학생분들이라든지
나이가 많지만 스케일링에 대한 공포나 치과공포로 인해 스켈링을 한번도 받아보지 못한 분들도
많이 찾아 주시고 있습니다.
또한 바로 앞 삼성본관 빌딩에 강북삼성병원 건진센터(건강검진센터)가 위치하여
정기 건강검진을 받으신 분들이 건강검진 후에 저희 치과로 내원해서 스케일링을 하기도 하세요.

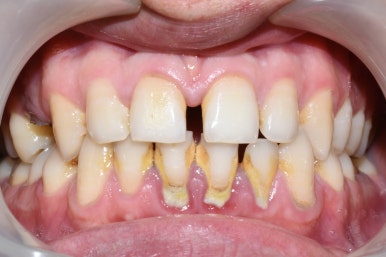
치석과 착색이 있는 치아
위와 같이 치석이 계속 쌓여 잇몸뼈를 녹이게 된다면
아래 동영상처럼 치아가 흔들리게 됩니다.
저희 연세예감치과는 10년차이상의 치과의사 원장님(시청역에 개원한지 2025년기준 8년차) 이하
현재 전직원 학교에서 구강보건과 치과에 대해 배우고 국가고시를 합격하여 국가에서 인증한
치과위생사들이 근무하는 치과로
모든 직원이 치과위생사이므로 무자격자가 스케일링을 할까봐 걱정하지 않으셔도 됩니다.


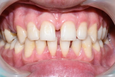
스케일링 전 , 후/ 시청역 연세예감치과

특히 치과위생사 직원들 서로서로도 스케일링 해줄 정도로
치과기구의 위생, 멸균도 확실합니다.


스케일링 전 후
이렇게 스케일링을 하고 나면 치석이 없어지면서 치아가 빈것처럼 느껴질 수도 있고
부어있던 잇몸부분은 피가 나기도 하는데요
빈 부분이 생길지라도 없어야 하는 쓰레기(?)는 처리해야 하는 거니 스케일링은 해야겠죠.
또한 치아를 덮고있던 치석이 없어지면서 시린 느낌이 있을 수도 있으나, 없애야 하는 치석은 없애야합니다[! 단호]
치석이 쌓이면 심각한 입냄새도 유발하게 되므로 구취예방을 위해서도 제거하는 것이 좋습니다.
저희 연세예감치과는 스케일링시 가글마취를 원하신다면 말씀해주시면 가글마취를 해드립니다!
가글마취 한다고 추가비용이 더 들지는 않습니다.
스케일링은 나라에서도 보장해주는 건강보험 진료이므로
꼭 최소 1년에 한번 받으시길 바랍니다.
연1회 스케일링은
만19세 이상 국민건강보험을 가진 국민에게 적용되며
1월1일~12월31일 기준으로 연1회 사용할 수 있습니다.
만약 잇몸이 좋지 않고 치석이 잘 쌓이는 분들은
연1회 스케일링 외에도
잇몸치료를 전제로 한 스케일링이 건강보험 적용되니
치과의사의 진단하에 6개월마다 한번씩 받을 수 있습니다.
스케일링은 잇몸상방 치석제거 이므로
잇몸속에도 쌓인 치석이 있다면 잇몸치료 꼭 받으셔야 합니다!
잇몸치료도 건강보험 적용됩니다.
지금까지 스케일링하러 많은 분들이 찾아오는
심지어 해외에서 온 관광객들도 스케일링 하러 찾아오는 연세예감치과에서 알려드린
스케일링 치석제거였습니다!

스케일링,잇몸치료, 앞니 크라운2개 전후










▲네이버예약가능합니다!