아카이브 요약
이 페이지의 역할
연세예감치과의원의 네이버 블로그 원문을 보존한 아카이브 페이지입니다. 충치치료 카테고리의 외국인치과 해외에서도 치과공포증환자들이 찾아오는 치과입니다. 글을 통해 병원의 한국어 정보 제공 방식과 진료 관련 안내 톤을 확인할 수 있습니다.
원문 검증
필요하면 원문 블로그와 병원 프로필로 바로 이동해 문맥을 다시 확인할 수 있습니다.
출처 아카이브 열기아카이브된 블로그 글
연세예감치과의원 · Naver Blog
안녕하세요 하루에 몇명은 외국인이 찾아오는 서울 시청역 연세예감치과입니다. 시청역 삼성본관 맞은편에 위치하며 서울시에서 현장심사까지 3단계 심사를 거쳐 선발한 서울특별시 의료관광 협력기관입니다. [환자분의 동의를 얻은 사진과 케이스만 공개합니다] 저희 연세예감치과는 원장님께서 직접 영어로 소통해서 커뮤니케이...
게시일
2025년 4월 15일
원문 기준으로 확인된 발행일입니다.
카테고리
충치치료
원문 블로그 카테고리를 정리해 함께 표시합니다.
이미지 수
25
현재 아카이브에 연결된 이미지 수입니다.
아카이브 요약
연세예감치과의원의 네이버 블로그 원문을 보존한 아카이브 페이지입니다. 충치치료 카테고리의 외국인치과 해외에서도 치과공포증환자들이 찾아오는 치과입니다. 글을 통해 병원의 한국어 정보 제공 방식과 진료 관련 안내 톤을 확인할 수 있습니다.
원문 검증
필요하면 원문 블로그와 병원 프로필로 바로 이동해 문맥을 다시 확인할 수 있습니다.
출처 아카이브 열기안녕하세요 하루에 몇명은 외국인이 찾아오는
서울 시청역 연세예감치과입니다.
시청역 삼성본관 맞은편에 위치하며
서울시에서 현장심사까지 3단계 심사를 거쳐 선발한
서울특별시 의료관광 협력기관입니다.
[환자분의 동의를 얻은 사진과 케이스만 공개합니다]
저희 연세예감치과는 원장님께서 직접 영어로 소통해서 커뮤니케이션으로 인한 의료오류를 최소화하고
저희 치과 스텝분들도 영어를 원어민만큼 하는 분들이 많아 외국인 환자들이 매일 몇분씩은 내원하고 있습니다.
주변에 플라자호텔, 롯데호텔서울, 웨스틴조선 호텔, 프레이저플레이스 호텔 등도 있다보니
교포분들도 한국방문시 꼭 방문하는 치과가 되었습니다.
며칠전에 호주에서 3명의 자녀를 데리고 저희 치과를 방문한
외국인 호주인 가족의 이야기를 할까합니다.
왜냐하면 이 자녀분들 중에 치과공포증이 있는 청소년이 있었거든요!

치료 후 흔쾌히 사진도 찍어주셨어요!

치료 전 사진입니다. 맞닿아있는 앞니 두치아에 충치가 생겨서 한치아는 이미 구멍이 생겨버렸고
한치아는 아직 구멍은 생기지않았지만 충치가 보입니다.
어머니 말씀으로는
호주에서도 치료를 해야된다고 얘기를 들었지만
호주 치과에서는 무서워서 치과의자에서 도망을 가버렸다고 하네요
그런데 웬걸! 저희치과에서는 너무 치료를 잘 받던걸요

↑ 두 치아중 한치아를 먼저 치료한 사진

↑ 둘다 레진 충치치료 완료한 사진
어머니도 너무 만족하시고 치료받은 자녀분도 매우 만족해하셨습니다!

다른 자녀분과 어머니도 치료 받으셨고
그래서 끝나고 요렇게 기념사진도 촬영해주셨죠.
한국에 관광온 김에 이렇게 치과에 겁많은 환자분들도 충치치료를 저희 치과에서 받고 가신답니다.
아래는 다른 외국인 환자분의 치료케이스인데요
저희 치과에 스케일링을 받으러 온 외국인 환자분인데 검진을 받으실 때
원장님께서 앞니에 충치가 있다고 말씀드렸더니 몇달전에 본인 나라 치과에서 검진을 받았는데 그런 얘기를 못들으셨다는 거예요.
그러나 꼼꼼한 저희 연세예감치과 원장님께서는 확실히 충치가 맞다고 말씀하셨고 환자분은 저희치과를 믿고 치료를 진행하셨습니다.

↑치료 전 사진.

↑치료 중간 환자분께 충치를 보여드리기 위해 찍은 사진

↑치료 후 사진. 매우 감쪽같이 치료되어 외국인환자분이 깜짝 놀라셨습니다.

이렇게 치아 뒤쪽에 기존에 다른 치과 유지장치가 뒤쪽에 있었음에도 레진으로 잘 마무리 할 수 있었습니다.
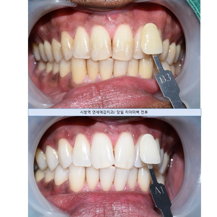
그 외에도 저희 치과에서 외국인들이 즐겨찾는 치과 치료 종목은 스케일링이나 미백인데요
연세예감치과가 외국인들에게 치아미백으로 유명해서
한국인들보다는 외국인들이 더 치아미백을 하러 많이 온답니다.
우리가 어떤 특정 나라에 가면 마사지가 유명하고 가성비가 좋아서 마사지를 꼭 받고 오듯이 말이죠.
한국인분들이 외국인친구들이 관광오면 저희 치과가서 미백받고 가라고 소개해주기도 하세요.



https://blog.naver.com/yonseiyegam/223802290342
▼일부러 시간을 들여 라미네이트를 하러 오기도 하구요.

너무 귀여운 외국인대사관 직원 아기 (3개월)
외국인 대사관 부부도 저희 치과에 많이 다니시는데
뱃속에 있던 애기도 세상에 나와서 저희 치과를 방문하기도 했어요!
지금까지 해외에서 외국인관광객들도, 교포들도, 외국인 대사관 직원분들도
치과치료 받으러 찾아오는 연세예감치과였습니다.












지금까지
2022년부터 2027년까지 6년동안 서울특별시 의료관광협력기관으로 연속 선발된
연세예감치과에서 한 포스팅이었습니다.
시청역 7번출구 직진 도보3분거리에 위치하여
명동, 을지로, 서울역, 광화문, 덕수궁 돌담 길, 충정로, 종로, 서대문역에서도
오기쉬운 위치입니다!