연세예감치과(시청역)
무삭제 라미네이트 치료로 자연스럽게! 왜소치+오래된 앞니레진까지 개선한 케이스
안녕하세요 시청역 7번출구에 위치한 시청역 연세예감치과입니다. 무삭제 라미네이트는 ✅왜소치(작은 앞니)가 있거나, ✅옥니라고 불리는 치아가 안쪽으로 들어가신 분들 등에서 환자분들이 아주 만족하는 결과를 나타내고 있습니다. [환자분의 동의를 얻은 사진만 공개합니다] 연세예감치과는 라미네이트 재료로 정품 E.max...
아카이브 요약
이 페이지의 역할
연세예감치과(시청역) Yonsei Yegam Dental Clinic ヨンセイェガム歯科의 네이버 블로그 원문을 보존한 아카이브 페이지입니다. 치아성형 카테고리의 무삭제 라미네이트 치료로 자연스럽게! 왜소치+오래된 앞니레진까지 개선한 케이스 글을 통해 병원의 한국어 정보 제공 방식과 진료 관련 안내 톤을 확인할 수 있습니다.
안녕하세요
시청역 7번출구에 위치한
시청역 연세예감치과입니다.
무삭제 라미네이트는
✅왜소치(작은 앞니)가 있거나,
✅옥니라고 불리는 치아가 안쪽으로 들어가신 분들
등에서 환자분들이 아주 만족하는 결과를 나타내고 있습니다.
[환자분의 동의를 얻은 사진만 공개합니다]
연세예감치과는 라미네이트 재료로
정품 E.max press 사용합니다.
오늘은 측절치에 왜소치가 있고, 중절치에는 오래된 타치과 앞니레진이 있었던 케이스로
무삭제라미네이트를 위해 상담을 오셨던 분입니다.
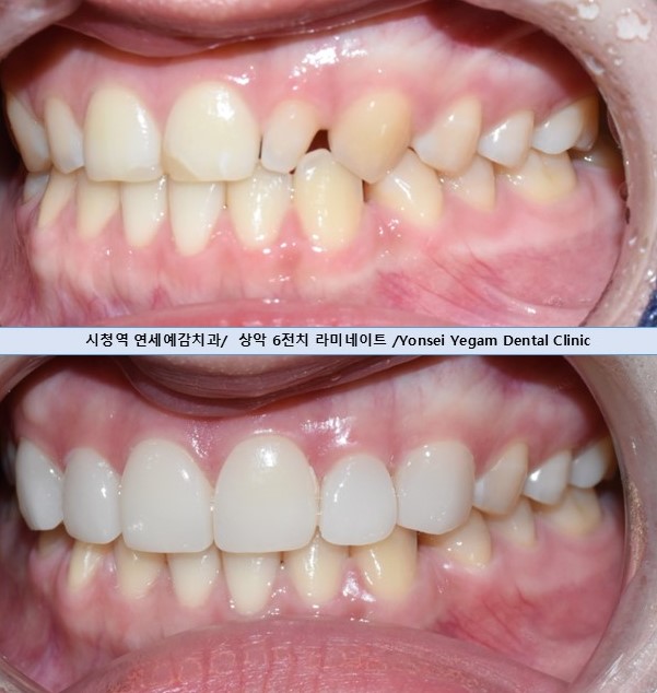
전후 사진은 아래와 같습니다.

사진에서 보듯이 정중치(대문이)에 오래된 레진조각들을 확인할 수 있었고
정중치 옆 치아는 작은 형태를 띄고 있습니다.
그래서 옆에서 볼 때 비어있는 곳이 있어서 좋은 스마일치아를 가지고 있지는 않은 상태였습니다.
또한 치아가 너무 짧은 감이 있어 시원한 느낌을 주지는 못하는 상태라서
살짝 길게 하도록 하였습니다.
치아본을 뜨고
환자분의 목적이 미용이었기 때문에
상악 세라믹 라미네이트6개를 제작하였습니다.
좀 더 밝은 색의 라미네이트를 하면 치아가 하얘지는 치아미백의 효과도 얻을 수 있겠죠.
상악6개의 치아만 라미네이트 하여도 가장 많이 보이는 부위이기 때문에 치아가 전반적으로 하얘보이는
깔끔한 인상의 효과를 얻을 수 있습니다.

왜소치 무삭제라미네이트 전후
무삭제 라미네이트의 장점은
✅자연치아를 그대로 보존
✅치아를 깎고 라미네이트로 덮을 뿐이므로 시술 후 시림이나 통증이 최소화됩니다.
✅심미적으로 개선되는 효과
✅얇은 세라믹으로 충분히 자연스러운 효과를 줄 수 있습니다.
위 케이스는 왜소치로 인해서 치아사이가 비어보였던 부분과
오래된 레진 문제를 동시에 해결했다는 점에서 의미가 있습니다.
사람마다 치아의 모양, 교합 등등 케이스가 다양합니다.
서울 시청역 연세예감치과에서는
일률적으로 똑같은 치료가 들어가는 것이 아니라
환자의 치아 상태와 구조를 원장님이 진단한 후 (실장이 진단하지 않습니다)
삭제 여부부터 라미네이트 접착까지 모두 맞춤형으로 진행합니다.
무조건 삭제하는 방식이 아닌, 환자분께 가장 이상적인 결과를 낼 수 있는 방향으로
치료하는 원장님이 판단하여 설계합니다.
무삭제 라미네이트는 모든 케이스에 막무가내로 적용하기는 힘들지만
왜소치나 옥니 등으로 스트레스를 많이 받는 분들에게는 아주 좋은 치료입니다.
이런 부분들을 심미적으로 개선하고 싶다면 꼭 상담받아보세요!
연세예감치과의 라미네이트 비용은 아래 포스팅 참고해주세요 ↓
https://blog.naver.com/yonseiyegam/223894791452
해외에서도 아름답고 건강한 치아를 만들기 위해서 찾아오는
서울 시청역 연세 예 감 치과










당일 라미네이트 진단 및 상담부터 라미네이트 본 뜨는 것을 원하시면
1시간 반~2시간 정도 생각하고 예약에 참고해주세요.
본 뜬 후 라미네이트 제작기간은 1개는 일주일, 2개이상은 9일~10일 정도입니다.
더 보기
이 병원의 공개 콘텐츠를 계속 살펴보세요
출처 아카이브로 돌아가 더 많은 글을 보거나, 병원 프로필로 이동해 다른 공개 채널도 함께 비교해보세요.