연세예감치과(시청역)
11월, 연말전에 꼭 해야할 일, 왜 스케일링을 빨리 해야하는지 알려드립니다
안녕하세요 서울 시청역 7번출구기준 직진 도보 3분거리(230미터)에 위치한 연세예감치과입니다. 삼성본관 빌딩 바로 맞은편에 위치하고 있어요. 올해도 어느새 한 해의 끝이 다가오고 있습니다. 건강검진, 세금정리, 연차관리 처럼 연말마다 꼭 챙겨야 하는 일이 있는데요 그 중에서도 직장인 구강검진(국가건강검진 대상...
아카이브 요약
이 페이지의 역할
연세예감치과(시청역) Yonsei Yegam Dental Clinic ヨンセイェガム歯科의 네이버 블로그 원문을 보존한 아카이브 페이지입니다. 스케일링 카테고리의 11월, 연말전에 꼭 해야할 일, 왜 스케일링을 빨리 해야하는지 알려드립니다 글을 통해 병원의 한국어 정보 제공 방식과 진료 관련 안내 톤을 확인할 수 있습니다.
안녕하세요 서울 시청역 7번출구기준 직진 도보 3분거리(230미터)에 위치한 연세예감치과입니다.
삼성본관 빌딩 바로 맞은편에 위치하고 있어요.
올해도 어느새 한 해의 끝이 다가오고 있습니다.
건강검진, 세금정리, 연차관리 처럼 연말마다 꼭 챙겨야 하는 일이 있는데요
그 중에서도 직장인 구강검진(국가건강검진 대상자인데 구강검진을 같이 받지 않으셨다면 꼭 받으시기 바랍니다)과 치아 스케일링 입니다.



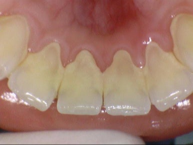
스케일링 전후
왜 올해가 가기전에 스케일링을 받아야 할까요?
- 건강보험 중 연1회 건강보험 스케일링은 "연1회"만 가능
스케일링은 만 19세 이상의 대한민국 건강보험을 가진 국민이면 1년에 한번 건강보험 적용을 받을 수 있습니다.
나라에서 정해놓은 최소 기준이 연 1회이므로 사실 더 받으셔야 하는 분들 도 있을 수 있는데
최소한 연1회는 꼭 스케일링을 해주세요!
이 연1회 건강보험 스케일링은 매년 1월1일 기준으로 초기화되기 때문에 올해 받지 않는다고 내년으로 이월되지 않습니다.
- 연말 스트레스와 과식으로 잇몸이 약해지는 시기입니다.
술자리, 야식, 모임이 많은 연말에 치석과 세균이 평소보다 빠르게 쌓이겠죠.
그대로 방치시 치주염으로 발전하여 잇몸이 붓고 피가 날 수 있어요.
스케일링은 잇몸치료의 첫 단계로서 잇몸병을 예방하는데 가장 첫걸음 입니다.
- 송년회, 신년행사 전 깨끗한 첫인상 완성
치석이 낀 치아가 보인다면 정말 인상이 좋지 않겠죠.
연말 모임 전 깨끗한 인상관리를 위해 치석제거 즉 스케일링 하세요.
한 해가 끝나갈 무렵이면 건강검진을 받거나 몸 상태를 점검하는 분들이 많습니다. 하지만 치아와 잇몸 건강은 놓치기 쉬운 부분 중 하나입니다. 특히 스케일링은 단순히 치아를 깨끗하게 만드는 시술이 아니라, 잇몸병 예방과 구강 건강 유지에 꼭 필요한 관리라는 점이 중요합니다 연말에 스케일링으로 한 해 동안 쌓인 치석과 세균을 깨끗하게 제거하는 것이 좋습니다
만 19세 이상 대한민국 건강보험을 가지고 있는 성인은 1년에 한 번 건강보험 적용을 받아 스케일링을 받을 수 있습니다.
보험 적용 기간은 1월 1일부터 12월 31일까지이며, 그해 안에 한 번 적용됩니다.
올해 스케일링을 아직 받지 않았다면 연말이 지나기 전에 가까운 치과를 방문하는 것이 좋습니다.
건강보험이 적용되므로 큰 비용 부담 없이 치료받을 수 있습니다.
연 1회는 나라에서 정해놓은 최소기준으로, 잇몸이 안좋아 치주스케일링이 필요하다고 진단받은 분들은 연1회스케일링이 아닌 6개월마다도 건강보험 적용되는 치주스케일링도 건강보험 적용 가능하니 참고해주세요.
시청역&서대문·충정로·서대문역 근처 스케일링 치과 추천
시청역·충정로·서대문역 근처 스케일링 치과 추천
✨ 연세예감치과의 ‘가글마취 스케일링’
삼성본관 빌딩 바로 맞은편에 위치한 연세 예 감 치과는 통증이 부담스러운 분들을 위해
가글마취 스케일링으로 시술 시 불편감을 최소화하고 있습니다.
스케일링과 함께 연말이 가기전에 치아 점검을 받아보세요.
가글마취 원하시는 분들은 꼭 스케일링 전에 미리 말해주세요!
(간혹 스케일링할 때 그 잇몸 시원한 느낌이 좋다며 가글마취 원하시지 않는 분들도 계시거든요.
가글마취 원하면 꼭 미리 알려주세요!)
또한 저희 연세예감치과는 바로 길건너에 강북삼성병원건진센터(건강검진센터)가 있어서
건강검진센터에서 온 몸에 대한 건강검진을 하시고 바로 저희 치과로 건너오셔서(횡단보도만 지나면 된답니다)
스케일링 받는 분들도 많으시니 강북삼성병원건진센터에서 건강검진 받고 스케일링 원하시는 분들도 연락주세요!
올해가 가기전에 대상자는 직장인 구강검진
나라에서 하는 건강검진을 받듯이 그 건강검진 대상자는 구강검진 대상자이기도 합니다.
만약 건강검진을 하는 병원에서 치과가 없어서 구강검진은 받지 못했다면 구강검진도 같이 받으시도록 하는것이 좋습니다.
단, 구강검진 지정치과가 따로 있어서 공단 구강검진이 진행이 안되는 치과가 있을 수도 있으니 꼭 확인하세요.
저희 시청역 연세예감치과는 지정받은 직장인 및 영유아 구강검진 가능한 공단 구강검진 지정치과입니다.
일반 구강검진도!
만약 올해 한번도 치과를 방문하지 않으셨다면
꼭 치과에서 검진 받으세요.
간혹 내 치아는 어릴 때부터 아주 튼튼하다며 치과를 안오시는 분들...
해가 갈수록 나이가 들수록 치아 사용한 연도 수가 많아질수록 치아도 언제든 금이 갈 수 있고
안좋아질 수 있습니다.
나의 치아건강을 맹신하지 마시고 꼭 치과에서 전문가에게 확인하세요.
연말은 환자들이 많이 몰릴 수도 있으니 미리미리 방문!
치과에서 연말은 조금 바쁠수도 있는 시기입니다.
연말 회식후 과도한 음주로 인해 넘어져서 치아가 부러져서 오시는 분들
연1회 스케일링을 위해 연말이 되어서야 급하게 오시는 분들
직장인 구강검진 결과를 회사에 통보해야한다고 급하게 오시는 분들,
특히 시청역에 위치한 저희 연세예감치과는 연말에 회사에서 지원해주는 치료비 받기 위해서 치료 다 해달라며 오시는 분들도 있으시고, 외국인 관광객들도 연말에 한국을 많이 오니
치과는 연말이 바쁠수도 있어요!
빨리 빨리 아직 늦지 않았으니 검진 또는 스케일링 등등
지금 예약해주세요!













더 보기
이 병원의 공개 콘텐츠를 계속 살펴보세요
출처 아카이브로 돌아가 더 많은 글을 보거나, 병원 프로필로 이동해 다른 공개 채널도 함께 비교해보세요.