아카이브 요약
이 페이지의 역할
예스미르치과의원의 네이버 블로그 원문을 보존한 아카이브 페이지입니다. 치료케이스 카테고리의 임플란트가 흔들려요 - 임플란트 재수술 글을 통해 병원의 한국어 정보 제공 방식과 진료 관련 안내 톤을 확인할 수 있습니다.
원문 검증
필요하면 원문 블로그와 병원 프로필로 바로 이동해 문맥을 다시 확인할 수 있습니다.
출처 아카이브 열기아카이브된 블로그 글
예스미르치과의원 · Naver Blog
YES! SMILE! 안녕하세요 서울 고덕동 예스미르치과입니다😊 오늘은 타 병원에서 치료받은 임플란트 부위에 문제가 생겨 임플란트 재수술이 필요했던 한 환자분의 사례를 소개해드릴게요. 📍 내원 당시 상태 환자분은 수년 전 다른 병원에서 임플란트 치료를 받으셨는데, 최근 들어 임플란트 주변 잇몸이 자주 붓고 흔들...
게시일
2025년 6월 19일
원문 기준으로 확인된 발행일입니다.
카테고리
치료케이스
원문 블로그 카테고리를 정리해 함께 표시합니다.
이미지 수
13
현재 아카이브에 연결된 이미지 수입니다.
아카이브 요약
예스미르치과의원의 네이버 블로그 원문을 보존한 아카이브 페이지입니다. 치료케이스 카테고리의 임플란트가 흔들려요 - 임플란트 재수술 글을 통해 병원의 한국어 정보 제공 방식과 진료 관련 안내 톤을 확인할 수 있습니다.
원문 검증
필요하면 원문 블로그와 병원 프로필로 바로 이동해 문맥을 다시 확인할 수 있습니다.
출처 아카이브 열기YES! SMILE!
안녕하세요
서울 고덕동 예스미르치과입니다😊
오늘은 타 병원에서 치료받은 임플란트 부위에 문제가 생겨
임플란트 재수술이 필요했던 한 환자분의 사례를 소개해드릴게요.
📍 내원 당시 상태
환자분은 수년 전 다른 병원에서 임플란트 치료를 받으셨는데,
최근 들어 임플란트 주변 잇몸이 자주 붓고 흔들리다가 통증이 반복돼 내원하셨습니다.
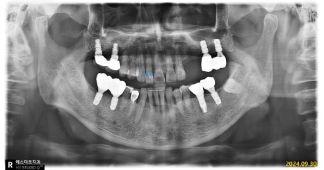
정밀 촬영과 검진 결과,
기존 임플란트 픽스처(뿌리)에 염증이 함께 발생한 상태였고
주변 골 손실도 상당해 제거 및 재수술이 필요한 상황이었습니다.


🛠️ 임플란트 재수술 전 준비
마취와 충분한 안정 시간
시술 전에는 국소 마취를 시행한 뒤,
환자분이 편안하고 안정적인 상태에서 치료를 받을 수 있도록
충분한 시간을 두고 마취 반응을 확인한 후 수술에 들어갑니다.
🧰 임플란트 제거와 재수술
맥가이버 키트 사용
이번 케이스는 임플란트 픽스처 주변 염증으로 뼈손실이 있었기 때문에
특수 제거 키트인 ‘메가젠 맥가이버 키트’를 사용하여
주변 뼈 손상을 최소화하면서 안전하게 제거를 진행했습니다.
💡 맥가이버 키트는 기존 픽스처 제거가 어려운 경우에도
효율적으로 제거할 수 있는 특수 수술 키트입니다.
🦴 뼈이식 + 골유도 재생술 진행
픽스처 제거 후 주변에 남아 있는 염증 조직을 충분히 제거하고,
잃어버린 뼈를 보완하기 위해 뼈이식과 골유도 재생술을 함께 진행했습니다.
뼈이식재를 이용해 부족한 골조직을 보강
콜라겐 재생막(멤브레인)을 사용하여
이식된 뼈가 자리를 잘 잡고 새 뼈가 자랄 수 있도록
유도하고 보호할 수 있도록 했습니다
💡 골유도 재생술은 뼈가 부족한 부위에 콜라겐 인공막을 덮어
원하는 방향으로 뼈가 자랄 수 있도록 유도하는 치료법입니다.


⚙️ 임플란트 재식립
Intrasurg 300 Plus 사용
뼈이식과 GBR이 완료된 부위에
카보(Kavo)의 Intrasurg 300 Plus 임플란트 전용 엔진을 사용해
새로운 임플란트를 즉시 재식립하였습니다.
이 장비는 안정적인 속도와 출력 조절이 가능해
재수술 같은 복합 시술에도 효과적으로 적용됩니다.


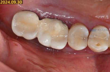
✅ 치료 후 안내 & 회복 관리
임플란트 식립까지 마무리된 후에는
원장님이 직접 수술 결과를 확인하고,
주의사항 및 회복 관리 방법을 상세히 안내해드립니다.
💬 수술 부위의 관리 방법, 식사 시 주의사항, 약 복용 방법 등
환자분이 걱정 없이 회복하실 수 있도록 충분히 설명드리고 있어요 😊


📌 예스미르치과는 이렇게 진료합니다
수술 전 충분한 마취 및 진단
파절된 임플란트 제거 → 염증 소독 → 뼈이식 + 골유도재생술 → 임플란트 재식립
모든 과정은 정밀한 장비와 멸균 시스템 하에 진행합니다
환자분의 상태에 따라
수술 범위와 회복 계획을 유연하게 조정합니다.
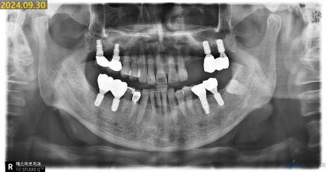
✨ 이번 치료는
염증이 있던 기존 임플란트를 제거하고,
뼈이식과 골유도 재생술을 동반한
임플란트 재식립까지
잘 마무리되었습니다.
(※ 환자 동의하에 제공된 이미지입니다)
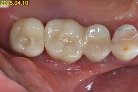
환자분은 임플란트 치료를 모두 마무리하셨고
정기 검진을 통해 상태를 꾸준히 점검해드릴 예정입니다 😊




💡 이런 경우엔 꼭 검진 받아보세요
✅ 임플란트 주변 잇몸이 자주 붓거나 피가 날 때
✅ 씹을 때 통증이나 불편감이 느껴질 때
✅ 오래된 임플란트 상태를 점검하고 싶은 경우
✅ 임플란트가 흔들리거나 금이 간 것 같은 느낌이 들 때
이런 증상이 나타났다면, 이미 주변 조직에 문제가 진행되었을 가능성도 있습니다.
👉 무엇보다 중요한 건 문제가 생기기 전에
정기적으로 검진을 받는 것!
임플란트는 자연치아보다 관리가 더 중요한 만큼,
꾸준한 점검과 관리로 오래도록 건강하게 유지하실 수 있어요 😊
예스미르치과는 임플란트 진료 전 과정에 대해 충분히 설명드리고,
환자분이 안심하고 치료받을 수 있도록 세심하게 안내해드립니다.
궁금한 점이 있다면 언제든 편하게 문의해주세요!
정확하고 친절하게 도와드릴게요. 감사합니다! 🙏

📍예스미르치과
📞02-427-2875
서울특별시 강동구 고덕비즈밸리로 26 강동U1센터 A동 2층
서울특별시 강동구 고덕동 343-2 강동U1센터 A동 2층
🔗 예스미르치과 카카오채널 문의하기
🔔 본 게시물은 특정 시술이나 효과를 유도하거나 홍보하기 위한 목적이 아닌,
치과 진료 과정에 대한 이해를 돕기 위한 건강 정보 콘텐츠입니다.
※ 본 사례는 개별 환자의 상태에 따라 진행된 치료이며,
모든 분께 동일하게 적용되지 않습니다.
치료 여부와 방식은 반드시 의료진 진단을 통해 결정됩니다.