아카이브 요약
이 페이지의 역할
예스미르치과의원의 네이버 블로그 원문을 보존한 아카이브 페이지입니다. 치료케이스 카테고리의 잇몸뼈 재생을 돕는 치주 재생 유도제, 엠도게인 글을 통해 병원의 한국어 정보 제공 방식과 진료 관련 안내 톤을 확인할 수 있습니다.
원문 검증
필요하면 원문 블로그와 병원 프로필로 바로 이동해 문맥을 다시 확인할 수 있습니다.
출처 아카이브 열기아카이브된 블로그 글
예스미르치과의원 · ✨치과치료, YES로 답하다✨ 예스미르치과
YES! SMILE! 안녕하세요 예스미르치과입니다 치주 질환이 진행되면 잇몸이 내려가고, 잇몸뼈(치조골)이 점점 없어지면서 치아가 흔들리거나 발치를 고민하게 되는 상황이 생길 수 있습니다 이럴 때, 상태에 따라 자연치아를 최대한 보존하기 위한 치료 중 하나로 고려해볼 수 있는 방법이 바로 치주 재생 유도...
게시일
2025년 12월 23일
원문 기준으로 확인된 발행일입니다.
카테고리
치료케이스
원문 블로그 카테고리를 정리해 함께 표시합니다.
이미지 수
9
현재 아카이브에 연결된 이미지 수입니다.
아카이브 요약
예스미르치과의원의 네이버 블로그 원문을 보존한 아카이브 페이지입니다. 치료케이스 카테고리의 잇몸뼈 재생을 돕는 치주 재생 유도제, 엠도게인 글을 통해 병원의 한국어 정보 제공 방식과 진료 관련 안내 톤을 확인할 수 있습니다.
원문 검증
필요하면 원문 블로그와 병원 프로필로 바로 이동해 문맥을 다시 확인할 수 있습니다.
출처 아카이브 열기YES! SMILE!
안녕하세요
예스미르치과입니다
치주 질환이 진행되면
잇몸이 내려가고,
잇몸뼈(치조골)이 점점 없어지면서
치아가 흔들리거나
발치를 고민하게 되는
상황이 생길 수 있습니다
이럴 때, 상태에 따라
자연치아를 최대한 보존하기 위한
치료 중 하나로
고려해볼 수 있는 방법이
바로 치주 재생 유도제
'엠도게임(Emdogain)' 치료입니다

엠도게인이란?
스트라우만 엠도게인은
치주 질환으로 인해
손상된 잇몸 및 치조골 등
치주 조직의 재생을 유도하기 위해 개발된
치주 조직 재생 유도제입니다
이미 소실된 조직을
인위적으로 채워 넣는 개념이 아니라
조직이 다시 회복 될 수 있도록
재생 환경을 만들어주는 치료라고 이해하시면 좋겠습니다
예스미르치과에서는
엠도게인의 효과를 보다 안정적으로 돕기 위해
환자분 상태에 따라
재생에 도움을 줄 수 있는
PDRN 재생 주사를 함께 진행하기도 합니다
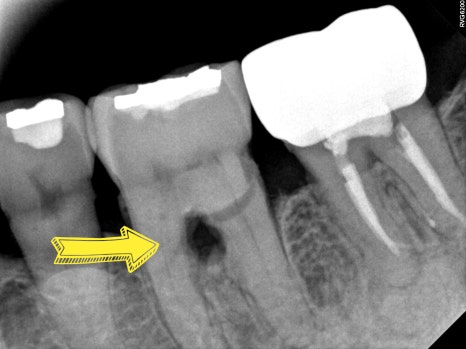
CASE 1. " 잇몸이 욱씬하고 고름이 나와요"


치주염으로 인해
치아 뿌리가 갈라지는 부위의 잇몸뼈가 소실되어
치아 지지력이 약해져 있던 케이스 입니다
염증 조직을 제거한 뒤
엠도게인 치주 재생 치료를 진행하였고,
치료 후 약 2개월 경과 관찰 시
치아 사이 잇몸뼈가
점차 회복되는 양상을 확인할 수 있었습니다
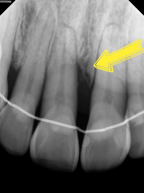
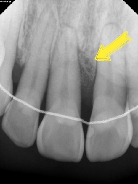
CASE 2. "앞니 잇몸이 내려가서 보기 싫어요"


앞니 부위의 잇몸뼈 소실이
비교적 크게 진행되어
치아 뿌리가 많이 노출된 상태로
기능적인 불편감 보다는
심미적인 부분에 고민이 되셔서 내원하셨습니다
다행히 치아의 흔들림은 크지 않은 상태였으며
담당 원장님 진단 하에
엠도게인 치주 재생 치료를 진행하였습니다
치료 후 약 1개월 경과 시
잇몸뼈 재생이 진행되는 양상을
관찰할 수 있었으며,
자연치아 보존 가능성을
함께 지켜볼 수 있었던 사례입니다
*위 사례는 실제 치료 후 경과 관찰 중 확인된 변화에 대한 설명이며,
모든 환자에게 동일한 결과를 보장하는 것은 아닙니다
엠도게인 치료, 모두에게 가능한 것은 아닙니다
엠도게인 치료를 한다고 해서
잇몸뼈가 100% 모두 회복되거나
과거의 상태로 완전히 돌아가는 것은 아닙니다
다만
자연치아를 최대한 보존하고,
치아의 기능적 수명을 연장하는데
도움을 줄 수 있는 치료 선택지가 될 수 있습니다
특히 치료 후
환자분의 구강 위생관리와 정기적인 검진이 잘 이루어 진다면,
치아를 보다 오래 건강하게 유지하는 데 긍정적인 영향을 줄 수 있습니다
엠도게인을 통한 치주 조직 재생치료는
환자분의 잇몸 상태와 치아 주변 환경에 따라 적용 가능여부가 달라질 수 있습니다
치과에 내원하셔서
현재 상태를 정확하게 확인 한 후
어떤 치료가 적절한지
함께 이야기 나눠보시는 것도 좋겠습니다




PDRN 재생주사 심포지엄 김용진 원장님 모습
예약 및 문의
전화 02-427-2875
아래 링크를 누르시면 카카오톡으로 문의 가능합니다