안녕하세요
약수역 치과 바른영치과 원장 김태영입니다^^
오늘은 재 신경치료에 대해서 말씀드려볼까 하는데요
신경치료를 했는데 왜 나중에 재발이 될 수 있나요라고 환자분들께서 종종 질문을 하십니다.
여러 원인에 의해 신경치료가 된 치아에서 재발이 되는 경우가 있는데 그중 하나를 소개해 드리겠습니다.
아래 사진은 제가 상담 때 종종 보여드리는 사진인데요

사진은 큰 어금니의 신경을 보여주는 사진입니다.(검은색으로 보이는 것이 신경이 분포되어 있는 곳입니다)
보통 우리는 신경은 한 가닥씩 있는 걸로 알고 있지만 위의 사진과 같이 굵은 메인 신경관 주변에 나무뿌리처럼 촘촘한 부 신경관들이 많이 있습니다.
우리는 메인 신경관은 기계적으로 제거가 가능하지만 나머지 신경이 분포한 곳에는
최대한 화학적인 소독을 통해 신경관 내부를 최대한 깨끗하게 만들고 증상을 지켜보면서 신경관을 밀봉을 시킵니다.
이런 이유로 신경치료는 내원 횟수가 정해져있지 않고 증상이 있으신 분들은 여러 번 오시는 이유가 이것입니다.
하지만 신경치료를 통해서도 닿을 수 없는 신경가지가 있습니다.
보통은 증상 없이 마무리가 되지만 시간이 지나서 이 부분에서 염증 원인이 생겨서 재발이 되는 경우가 있습니다.

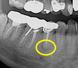
오래전에 신경치료를 받았는데 언제부턴가 통증이 생기셨다고 내원하신 환자분이십니다.
타진 검사 결과 두 번째 작은 어금니가 통증의 원인으로 판단 됩니다.
X-RAY에서 뿌리 근단부에 염증이 생겨서 기존에 있던 크라운을 제거하고 재 신경치료를 시작하기로 했습니다.
일반적으로 뿌리 근단부에 염증이 다시 생기면 재 신경치료가 원칙입니다.
하지만 치아가 문제가 생겼다고 해서 모든 경우에서 재 신경치료를 할 수 있는 것은 아닙니다.
염증이 너무 심해서 치아 주변 뼈가 녹거나, 신경이 막혀서 더 이상 진행할 수 없는 경우, 이차 충치에 의해 치아가 파절된 경우 등등
너무 오래된 신경치료된 치아는 재 신경치료의 성공률이 많이 낮아집니다.
그래도 이 케이스는 시도를 해보기로 환자분도 동의하시고 증상이 개선 안 되면 추후 발치하고 싶다고 하셔서 진행해 보았습니다.


신경관 안에 있던 충전물들을 깨끗하게 제거하고 보았더니 신경관이 끝에서 두 갈래로 갈라져 있는 것이 보입니다.
이런 케이스에서는 뿌리끝을 확실히 소독하기 위해 화학적 소독을 더 많이 시행합니다.
이 환자분께서는 신경치료 내원만 6회를 오셨지만 잘 협조를 해주셔서 충분한 소독시간을 가질 수 있었습니다.
(때에 따라서는 10회까지도 오시고, 신경치료의 내원 횟수는 정답이 없습니다...)
환자분께서도 내원 횟수가 많았지만 잘 도와주셨고, 여러 번 소독을 한 결과 통증도 줄어들었고
신경치료 마무리 날 운이 좋게도 부근관까지 약제가 충전이 되었네요.
처음에 미세하지만 흔들렸던 증상도 없어지셔서 원활한 저작을 위해 보철 치료도 이어서 진행해 드렸습니다^^
증상 체크를 위해 내원 체크를 하고 사진도 찍으면 좋을 텐데 불편하신 곳이 없으신지 정기 체크를
아직 오시지 않으셨지만 안 아프시고 오래 사용하셨으면 좋겠습니다.