안녕하세요.
약수동 치과 / 바른영 치과 김태영 원장입니다^^
앞선 여러 케이스에서
치아에 금이 갔을때(크랙 치아) 치료 방법에 대해 설명을 몇 가지 드렸습니다.
오늘 보여드릴 케이스는
뿌리까지 금이 진행된 치아 주변에 염증이 생겨
주변 뼈가 흡수된 경우입니다.


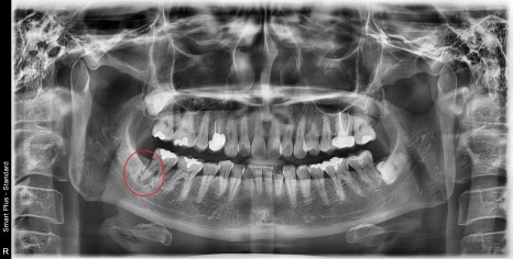
타치과에서 오른쪽 아래 어금니 발치 진단을 받으셨습니다.
과거에 잠시 통증이 있었지만 현재는 증상은 없지만
치아 주변 뼈가 많이 소실된 것을 볼 수 있습니다.
CT를 찍으면 더 확실하게 볼 수 있습니다.
뿌리 주변의 검은색으로 보이는 곳들이 염증으로 인한 치조골이 소실된 것입니다.
방사선 사진상에서도 뿌리에 금이 갔을 때 보이는
전형적인 치조골 소실 양상입니다.
아직은 증상은 없으시지만 이미 치아 뿌리 주변으로 염증이 생긴 상태이고
이런 경우는 신경치료를 한다고 해서 치유되는 케이스가 아니기 때문에 발치가 필요합니다.
다행히 현재 상황에서 발치 후 치조골 이식술을 함과 동시에 임플란트 수술이 가능한 상태였습니다.
만약 더 시간을 지체했었더라면 골 소실 범위가 광범위해서 치료 기간이 배로 늘어났을 것입니다.

빨간 원으로 표시된 부분을 보시면 육안으로도 보이는 명확한 crack line이 보이실 겁니다.
염증이 생긴 주된 원인은 뿌리 쪽 크게 진행된 금 주변으로 골 소실이 일어났을 것입니다.
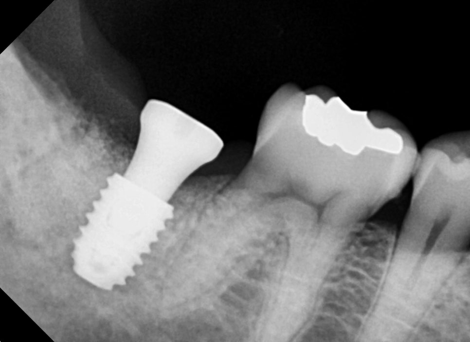
발치 후 바로 임플란트 수술과 동시에 치조골 이식술을 진행합니다.

다행히 초기 고정이 좋았기 때문에
추후 보철을 위한 2차 수술까지 한번에 하면서
치아의 원심쪽 뿌리 공간에 다량의 치조골 이식술을 진행했습니다.

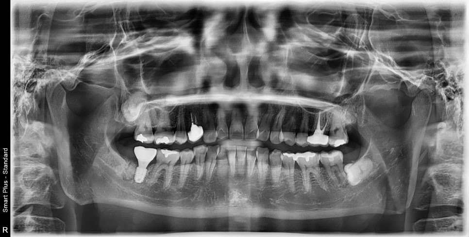
2달 후 사진입니다.
치조골 이식술을 한곳이 의도한 바와 같이 아주 잘 아물었습니다.
치유도 좋고 임플란트의 고정 성도 좋아서 바로 보철 단계를 진행했습니다.

아직 치조골 이식술 한 공간의 강도는 아직 주변 뼈처럼 강하진 않지만
임플란트를 지지해줄 정도의 강도가 되었고
시간이 지남에 따라 주변 치조골로 대체가 될 것입니다.
환자분께서는 다행히 이상이 보이자마자 바로 치료를 해주셔서
2달 만에 보철까지 이쁘게 완료할 수 있었습니다.^^
최근에는 대칭적인 위치의 왼쪽 아래 끝 어금니가 통증이 한 번씩 생기시고 있다고 하십니다.
해당 치아도 crack 치아에 대한 잠재적 위험성을 갖고 있는 치아기 때문에
교합조정과 증상 체크를 꾸준히 하면서 관찰할 필요가 있습니다.
치아에 금이 가있는 것은 어느 부위에 어떻게 생겼냐에 따라 치료 계획이 달라집니다.
단지 치아머리 부분에만 금이 생긴 경우
신경 치료, 보철 치료로 증상은 완화시킬 수 있지만
이미 뿌리까지 진행이 된 경우는 아무리 신경치료를 해도
재감염이 일어날 수밖에 없기 때문에 대부분의 경우에
자각을 하실 때는 이미 치조골의 흡수가 상당 부분 일어난 경우가 대부분입니다.
치아를 보존하여 가능한 오래 사용하는 것도 중요하지만
증상이 생겼을 때 빠른 치료를 시작하게 되면
치료 기간도 단축하고, 치료방법도 비교적 간단히 진행할 수 있습니다.
감사합니다^^