안녕하세요.
약수역 치과 / 바른영 치과 원장 김태영입니다.^^
치과를 굉장히 오랜만에 오신 환자분들 중에서는
아무 이상이 없으시다가 얼마 전부터 양치할 때 피가 나고
욱신거리는 이유로 내원하시는 환자분들이 계십니다.
치주 질환은 큰 불편감이나 통증을 못 느끼시다가
어느 날 갑자기 아파서 치과를 방문했다가
치아 주변 치조골이 많이 흡수가 되었거나
염증으로 인해 주변 잇몸이 많이 부어있는 경우가 있습니다.

우리 치아와 잇몸이 만나는 경계 부위는 작은 포켓공간이 존재합니다.
정상의 경우 3mm내외의 작은 틈으로 이부위가
양치가 효과적으로 잘되지 않으면 반복적으로 플라그가 쌓이게 되고
그 주변의 치석의 침착과 함께
주변 잇몸의 염증반응이 반복적으로 일어나게 되면서
치주 질환의 초기 증상인 치은염이 일어나게 됩니다.
사실 치은염인 상태에서는 통증이나 심한 출혈을 느끼진 못합니다.
이 시기에 주기적인 스케일링과 정기검진을 통해
잇몸 주변의 치석과 플라그를 제거하면 초기 치은염이기 때문에
건강한 잇몸으로 회복이 가능합니다.
하지만
이런 치은염이 반복이 되며 염증이 잇몸을 넘어서
안쪽의 치조골까지 흡수를 시키게 되는 것을
치주염이라고 합니다.
치주 질환에 의해 파괴된 치조골은 치주치료를 한다 해도 재생이 되지 않기 때문에
치주염이 진행된 경우는 더 이상 치조골의 파괴를 막기 위해
주기적인 스케일링 및 치주치료를 병행을 해야 합니다.

저희 병원을 방문해 주신 환자분께서도
처음에 오셨을 때는 과거에 치료받으셨던 치아 쪽 문제를 해결하기 위해서 오셨습니다.
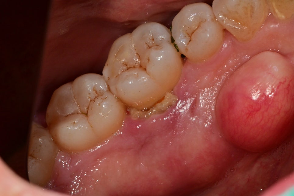
그 이후에 다음번에 오실 때는 어금니 쪽 잇몸에 뭐가 생겼다가 없어진다는 주소로 찾아오셨습니다.


혀쪽의 잇몸이 부어있고 헐어있었습니다.
엑스레이를 찍기 전에는 잇몸에 상처가 난 것이라고 생각했는데
엑스레이를 찍어보니 특이하게도 바깥쪽이 아닌 안쪽 뼈가 파란색 선까지 파괴가 되어있었습니다.
앞서 말씀드렸듯이 치아와 잇몸 사이의 공간은 3mm 내외가 되어야 정상인데
이 경우는 10mm가 넘어가는 이미 진행이 많이 된 치주염이였습니다.
환자분께서도 그동안 크게 불편감은 없다고 하셨습니다.
이런 케이스에서는 안쪽에 마취를 먼저 시행하고,
안쪽에 치석, 플라그, 음식물 잔사들을 긁어내고
안쪽에 항생제를 넣어 잇몸의 부종을 먼저 가라앉히는 것이 우선입니다.

이렇듯 치주 질환의 단계를 나누고는 있지만 실제로는
정확히 몇 단계로 나누기는 어렵고 치아 주변 치조골이 영향을 받기 시작하면
주기적인 치주치료를 받는 것이 중요합니다.
환자분께서도 괜찮으시다가
어느 날 갑자기 불편해서 치과에 내원해 주셨는데
본인의 치아가 치주염이 많이 진행되었다는 것을 들으시고는
많이 당황하셨습니다만
내원주기를 짧게 하고 평소에
효과적인 양치를 위해 잇솔질 교육과 함께
치간솔, 워터픽 등 보조기구를 같이 쓰며
주변잇몸이 붓지 않게 관리하면 악화는 막을 수 있어
지속적인 체크를 하기로 했습니다.

치주치료 완료 후 한 달 뒤에 동일 부위가 불편하셔서 내원하셨습니다.
헐어있는 잇몸과 주변 잇몸의 부종은 많이 가라앉아 정상적인 핑크색을 띠는 잇몸이 되어있지만
치조골이 파괴되어 생긴 깊은 포켓공간의 잇몸은 약하기 때문에
딱딱한 음식물 같은 것들이 잇몸에 잘 끼게 되어 불편감을 야기할 수 있습니다.
특히 이 환자분께서는
바깥쪽이 아닌 혀가 맞닿는 안쪽의 치조골에 치주염이 생긴 케이스로
음식물이 끼더라도 관리하기 어려운 부위기 때문에
자주 내원하셔서 저희와 같이 관리도 하고 치아 상태를 지속적으로 체크할 필요가 있습니다.
이렇듯 치주염은 한번 진행되면
다시 건강했던 과거의 치주 상태로 돌아가기는 거의 불가능합니다.
이것을 예방하기 위해서 간단한 치료지만
주기적으로 스케일링을 받으며
엑스레이 촬영과 함께 정기검진을 받으면
훨씬 건강한 잇몸, 치아를 유지할 수 있습니다.^^
건강한 잇몸을 유지하기 위해
저희 바른영치과도 노력을 같이 하겠습니다.
감사합니다^^