안녕하세요.
금호역 치과 / 바른영치과 원장 김태영입니다^^
우리가 보통 크라운 치료를 하는 경우는
깊은 충지, 치아의 파절, 치아 형태 이상으로 인한 의도적 보철 치료의
원인으로 크라운 치료를 하게 됩니다.
환자분들께서 종종 문의를 하십니다.
크라운을 씌우면 얼마나 쓸 수 있나요~?
저는 평소에도 상담할 때 이해하기 쉽게 비유를 많이 해드리기도 하는데요
예를 들어 같은 신발을 사도
걸음걸이, 습관, 관리 등에 따라 사용기간이 다 다른 것처럼
치과에서의 보철 치료에서도
저작 습관, 관리, 치아의 상태 등에 따라 보철의 수명이 각기 다를 수 있습니다.
그러나,
일반적으로 7~10년 정도의 수명이라고 설명은 드리지만
경우에 따라서는 그보다 오래 사용하시는 분들도 계시기 때문에
기간이 되었다고 무조건 크라운을 교체해 주시라 권하지는 않습니다.
일반적으로
크라운을 재치료 하는 경우는
파절, 탈락, 잇몸의 퇴축 및 2차 충치가 발생된 경우
크라운을 제거하고 재치료 하는 것을 권해드립니다.
크라운을 제거하기 전 해당 치아에 대해 평가하고
진단을 내리지만 크라운이 씌워진 치아
내부는 엑스레이로볼 수 없기 때문에
내부 충치가 진행되었다 하더라도 얼마나 심한지 알 수 있는 방법은 없습니다.
특히나 신경치료되어 있는 치아는 충치로 인한 통증이 없기 때문에
더욱 알아내기 힘듭니다.
간혹 겉은 양호해 보이지만 크라운을 제거했을 때 내부 충치가 너무 심해
살리지 못하고 발치를 해야 하는 경우가 있습니다.


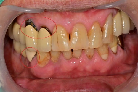
빨간 원으로 표시된 치아 중에서도
위 치아의 크라운 주변 치아가 이미 육안으로도
2차 충치가 많이 진행되어 보입니다.
환자분께서도 심미적으로도 좋지 않기 때문에 최대한 다시 씌워서 사용하고 싶다고 하셨습니다.
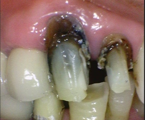
앞서 말씀드린 것처럼
이미 육안으로도 충치가 상당히 진행되어 있고
제거 시 안쪽이 너무 안 좋다면 발치 가능성도 있기에
그에 대해 설명을 드리고 제거를 해보았습니다.
역시나...
내부는 충치가 많이 진행되어 있었습니다.
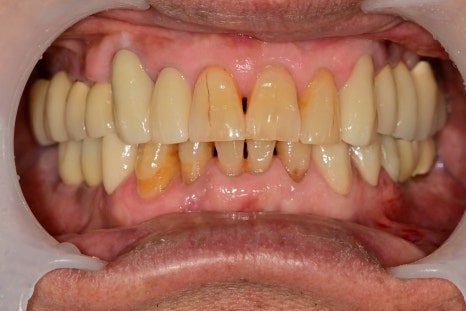
최대한 보존할 수 있는 치아를 남겨두고 충치를 제거한 후
튼튼한 재료로 보강을 하고 치아를 씌우기 위해 준비를 했습니다.


치아가 검은색으로 변색은 되었지만 충치가 진행된 부위가 아닌
양호한 부위는 보존하고
크라운의 유지력을 위해 치아를 다듬고 난 후 크라운을 다시 부착하였습니다.
발치도 고민을 했었던 치아이지만
중요한 기능을 하고 있는 송곳니이기 때문에
유지하는 편이 좋다고 판단하여
최대한 써보기로 말씀드렸습니다.
이 케이스는 운이 좋게도
치아머리 부분이 조금 남아 있어서
치아를 보강한 후 보철까지 할 수 있었습니다.
이제부터는 관리가 더 중요한 순간입니다.
관리라는 것은 특별한 것은 없습니다.
많이 들어보신 이야기들일 텐데요
식후 꼼꼼한 양치질
구강용품 사용을 통한 플라그 관리
딱딱하고 질긴 음식 주의
정기적인 내원으로 교합 평가
모든 경우가 이와 같을 순 없습니다만
임플란트를 하기에 앞서
자연치아를 좀 더 사용할 수 있는 상황이라면
시도해 보는 것도 좋은 방법이라고 생각합니다.^^