안녕하세요
신당동 치과 / 바른영 치과 원장 김태영입니다.^^
사랑니 발치는 말만들어도 두려움을 전해주는 치료인것 같습니다.
저도 사랑니 4개를 모두 학생때 발치를 했는데요
마취도 무섭고, 뭔가를 뽑는다는게 두려웠습니다.
그래서 환자분께도 최대한 안아프게 마취해드리고,
안심시켜드리며 치료를 해드리고 있습니다.
검진을 하다 보면 사랑니에 대해서 질문을 받곤 합니다.
사랑니를 꼭 빼야 하나요??
저는 사랑니라고 해서 무조건 뺄 필요는 없다고 말씀드립니다.
사랑니라도 위아래 치아들이 교합이 되고,
인접 치아에 충치 유발을 하지 않도록 양치가 잘 되고 있는 상태
혹은 너무 깊이 매복이 되어있어 문제가 생기지 않다면
굳이 안 빼고 지내시라고 말씀드립니다.
최근에 저희 병원에서 사랑니 발치 문의가 많고
그래서 열심히 발치를 하고 있습니다.^^;
이번 증례는 한 케이스에 다양한 사랑니 유형이 있어서
한 번에 소개를 해드리기 아주 좋을 것 같습니다.
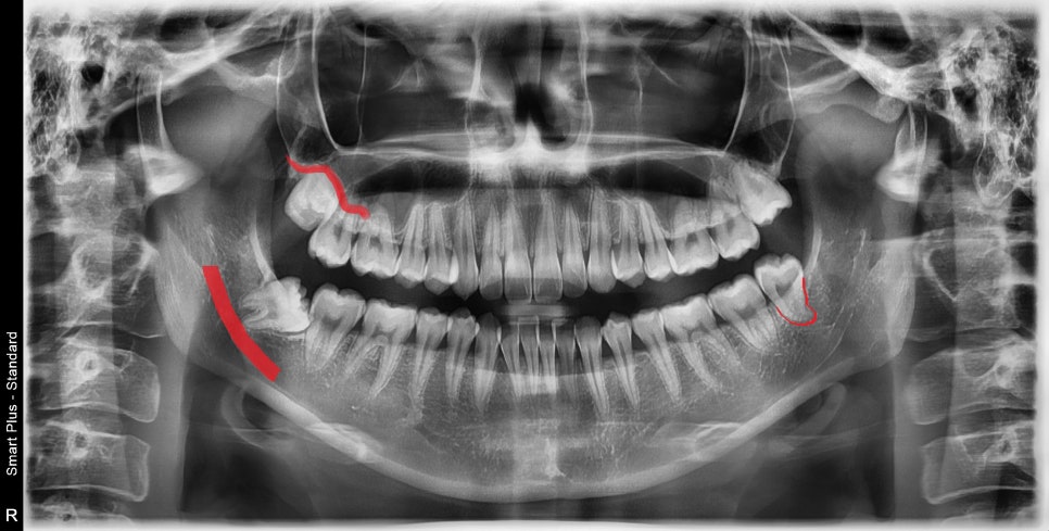
사랑니 뽑을 수 있나요?

양쪽 위, 아래 4개의 사랑니가 모두 존재합니다.
한쪽은 적당히 맹출이 되어 어렵지 않게 뽑을 수 있습니다.
하지만 반대편은 모두 완전매복되어있는 사랑니이며
심지어 누워서 옆 치아를 누르고 있었습니다.
사랑니 발치를 할 때 치과의사가 고려하는 점은
치아의 매복 위치, 신경관과의 거리, 뿌리의 휨 정도, 치아를 감싸는 치조골 형태 등
여러 가지 조건을 보며 발치 계획을 세우게 됩니다.
매복치 위치 평가를 위해 3D CT를 찍고 분석을 해봅니다.

아래쪽의 매복 사랑니는 신경관과 근접해 있고, 뿌리가 살짝 휘어있지만
발치에는 큰 문제는 없어 보입니다.
하지만, 발치 과정에서 잇몸 절개와 주변 골삭제는 최소 필요해 보입니다.

위쪽의 매복 사랑니는 치아도 작지만
상악동(=부비동)막과 연결되어 있고,
주변 뼈가 약한 경우에는
발치 과정 중에 치아가 상악동으로 들어가는 경우도 종종 있다고 합니다.
이런 일이 일어나더라도 결국은 빼지만
최대한 조심스럽게 발치를 시작했습니다.

다행히 수월하게 발치 후 사진입니다.
한 환자에서 여러 가지 유형의 사랑니를 뽑아서 부위마다 붓기나 통증도 다를 것입니다.
사랑니를 뽑은 후 통증이 유발되는 원인은
잇몸절개, 치아 주변 골 삭제량
출혈의 정도
발치 소요 시간
상악동염증
이 때문에 최대한 최소, 최단으로 발치를 하려고 노력합니다만
같은 케이스라도 사람마다 통증 정도가 다르긴 하지만
일반적으로 1~2일이면 괜찮아지며
오래가시는 분들은 일주일까지 지속되시는 분도 계십니다.
이런 것들을 조절하기 위해 주사 요법, 지혈제의 도움도 받곤 합니다.
사랑니 뿐 아니라 치아는
충치가 생겨 염증이 생기면
마취도 잘 되지 않고, 후에도 통증 조절이 쉽지 않아
문제가 생길것 같으면 미리 검진을 받고
발치 계획을 수립하는것을 권장 해드립니다.
감사합니다.^^