안녕하세요.
약수역 치과 / 바른영 치과 원장 김태영 입니다.^^
과거에는 치아가 문제가 생겨서
발치를 하게 되면 인접 치아를 다듬어서 브릿지를 하거나
그것도 안되면 없는 상태로 방치를 했었지만
요즘에는
임플란트라는 아주 고마운 술식이 생겨
수술이 가능하면 인접 치아를 건들지 않고 치아를 수복할 수 있습니다!!
치아가 1~2개 상실되었을 때는
그 치아 개수만큼 임플란트 수술이 필요하지만
다수의 치아가 상실되는 경우에 환자분들께서
- 모든 치아 개수마다 임플란트가 필요한가요?
or
- 맨 끝 어금니 하나쯤은 안 해도 될까요??
이 두 가지 질문을 많이 받습니다.
- 모든 치아 개수마다 임플란트가 필요한가요?
이상적으로는 당연히 치아 위치마다 임플란트가 있으면
더 튼튼한 힘을 받을 수 있겠지만
어느정도 효율적으로 진단을 내릴 때는
주변 치조골 상태, 환자분의 상황, 구강 내 상태 등을
고려했을 때 비교적 골질이 좋은 부위는 하나 정도는 띄워서 심어도 되지만
치조골 이식술을 하거나 골질이 약한 부위는
하나씩 심는 것이 장기적 예후에 도움이 됩니다.
- 맨 끝 어금니 하나쯤은 안 해도 될까요??
큰 어금니 부위가 상실되신 분들은
보통, 저작력이 너무 강하셔서 치아가 파절된 경우
치아 주변 치주염이 심해져 치아를 빼야 하는 경우가 있습니다.
구강 내에서 가장 끝에 있는 2개의 큰 어금니는
저작력의 대부분을 담당하고 있습니다.
만약 2개 중 하나만 임플란트를 한다면
저작의 효율은 좀 떨어질 수 있더라도
생활하시는데 불편감은 없습니다만
장기적으로 보았을 때
상실된 치아의 기능을
나머지 치아들이 나눠서 일을 하기 때문에
남은 치아 수명에 영향을 줄 수 있기 때문에
되도록 최후방 치아까지 수복하는 것을 권유 드립니다.
환자분의 연세, 상황, 수술 가능성 등등
여러 상황을 고려했을 때
맨 끝 어금니를 안 하는 경우도 있기는 합니다.
어금니를 해야 된다고 들었어요.

약수역 주변에 사시는 어르신이셨습니다.
약수역 주변에서 저희 치과를 보고 들려주셨습니다.
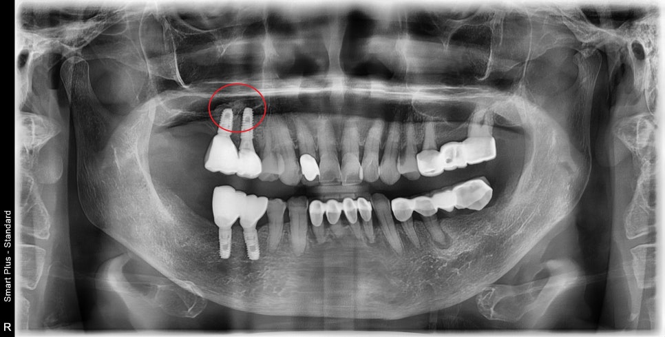
엑스레이를 찍어보니 뿌리쪽 염증으로 인해
골의 양이 충분치 않았고,
오래전에 임플란트가 보편화되기 전 시절에 하신듯싶은
최후방 어금니를 캔틸레버라고 하는
치아에 무리를 주는 보철물을 하고 계셨습니다.
일단 한쪽부터 하기로 했습니다.
어르신께서 맨 끝에 어금니까지는 필요 없을 것 같다며,
앞쪽 2개씩만 만들고 싶다고 하셨습니다.
부족한 치조골은 상악동 거상술을 통해 부족한 뼈를 만들어 주었습니다.

한쪽이 끝난 후..
그쪽으로 음식물이 빠지는 것 같고
씹히는 게 어색하고 안되는 거 같아요.
아무래도 어금니 하나가 없다 보니
전보다는 씹는 것이 조금 불편할 수 있습니다.
시간이 지나면서 점차 적응하시고
이제 식사도 잘 하시지만
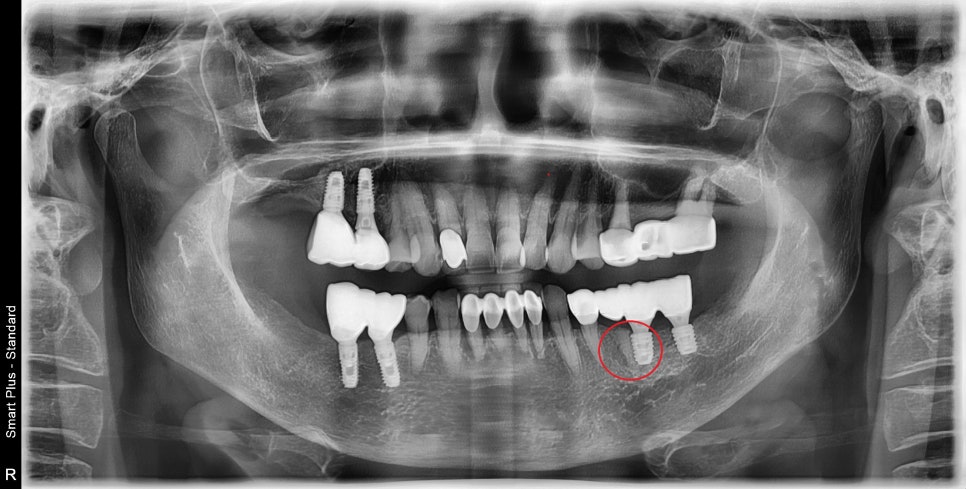
반대쪽은 맨 끝 어금니까지 다 하고 싶다고 하셨습니다.

치아 주변 염증으로 인해
치조골이 녹아버린 자리에
치조골 이식술을 동반한
최후방 치아까지 회복을 한 상태입니다.
과거의 저작시 불편감은 다 사라진 상태입니다.
이렇게
어금니 하나 차이지만
저작력 효율적인 면에서는 차이가 납니다.
그렇기 때문에
장기적으로 보았을 때는
수술이 불가능한 경우가 아니라면
최후방 치아까지 회복시켜주는 편이 좋습니다.
감사합니다.^^