아카이브 요약
이 페이지의 역할
바른영치과의원의 네이버 블로그 원문을 보존한 아카이브 페이지입니다. 바른 치료사례 카테고리의 성동구 옥수동 치과 앞니 임플란트수술 즉시 임시치아 제작(구강스캐너를 이용한 수술절차) 글을 통해 병원의 한국어 정보 제공 방식과 진료 관련 안내 톤을 확인할 수 있습니다.
원문 검증
필요하면 원문 블로그와 병원 프로필로 바로 이동해 문맥을 다시 확인할 수 있습니다.
출처 아카이브 열기아카이브된 블로그 글
바른영치과의원 · 약수역 6번출구 바른영치과
안녕하세요. 대표원장이 직접 진료한 케이스를 설명해 주는 옥수동치과 바른영치과 대표원장 김태영입니다. 우리는 치과에 내원하는 이유는 대부분 치아 통증이 원인이 되어 내원하게 됩니다. 대부분 충치나 잇몸질환을 조기 발견하게 되면 치료를 통해 치아 혹은 잇몸 관리를 통해 자신의 자연치아를 오랫동안 사용할 수 있는데요. ...
게시일
2025년 1월 17일
원문 기준으로 확인된 발행일입니다.
카테고리
바른 치료사례
원문 블로그 카테고리를 정리해 함께 표시합니다.
이미지 수
9
현재 아카이브에 연결된 이미지 수입니다.
아카이브 요약
바른영치과의원의 네이버 블로그 원문을 보존한 아카이브 페이지입니다. 바른 치료사례 카테고리의 성동구 옥수동 치과 앞니 임플란트수술 즉시 임시치아 제작(구강스캐너를 이용한 수술절차) 글을 통해 병원의 한국어 정보 제공 방식과 진료 관련 안내 톤을 확인할 수 있습니다.
원문 검증
필요하면 원문 블로그와 병원 프로필로 바로 이동해 문맥을 다시 확인할 수 있습니다.
출처 아카이브 열기안녕하세요.
대표원장이 직접 진료한 케이스를 설명해 주는
옥수동치과 바른영치과 대표원장 김태영입니다.
우리는 치과에 내원하는 이유는 대부분
치아 통증이 원인이 되어 내원하게 됩니다.
대부분 충치나 잇몸질환을 조기 발견하게 되면
치료를 통해 치아 혹은 잇몸 관리를 통해
자신의 자연치아를 오랫동안 사용할 수 있는데요.
충치가 너무 깊어 뿌리까지 진행되었거나
풍치라고 알려져 있는 치주염이 심한 치아는
어쩔 수 없이 발치를 할 수밖에 없는데
임플란트가 대중화되기 전에는 브릿지라고 하는
보철치료를 이용하여 수복을 했다면
최근에는 임플란트를 이용하여 주변 치아를
다듬지 않고 해당 부분만 치료하는 방법을
주로 사용하게 됩니다.
임플란트의 치료가 진행되는 동안
불편감을 뽑자면 해당 부분의 임플란트가
우리 뼈와 골융합이 이루어져 단단해질 때까지는
치아가 없이 빈 공간으로 유지되어야 한다는 점이
일상생활 속 불편감을 느끼는 경우가 있습니다.
어금니의 경우는 식사가 조금 불편하지만
안 보이는 곳이기 때문에 2~3달 정도는 참고
지낼 수 있지만 앞니 같은 경우는
몇 달을 이가 빠진 채로
지내시기에는 사회생활도 하셔야 하기 때문에
굉장히 생활에 불편감을 유발합니다.
과거에는 이 부분에 임시틀니를 해드렸지만
아무래도 가철성 보철물이다 보니 부자연스럽고
심미적으로 부조화스럽다는 것이 단점이었습니다.
최근에 임플란트 수술 당일 초기 고정력이 좋은 경우는
당일 임시치아까지 완성되는 경우가 있습니다.
치주 질환으로 인한 발치 후 임플란트
수술 당일 임시치아 가능한가요??


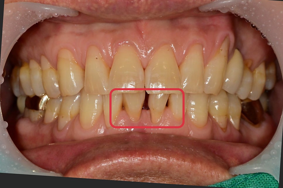
아래 앞니 쪽이 잇몸이 자주 붓는다고
내원해 주셨습니다.
2개의 치아가 치주염으로 인한 치조골 소실로
치아 이동이 일어나 공간이 벌어져있었습니다.


2개의 치아 중 한 개는 치주염이 상당히 많이 진행되어 있었고, 그 옆 치아도 2도 이상의 동요도가 관찰되어 2개의 치아가 발치가 필요했습니다.
2개 치아 위치 모두 임플란트 수술이 가능했지만
아래 앞니라는 것을 고려하여
임플란트 2개를 심는 것보다는 1개만 식립하여
옆에 인공치를 연결하여 치료를 마무리하도록 했습니다
앞서 말씀드렸듯이 임플란트 수술 후 적어도
3달 정도 후에 치료가 마무리될 수 있기 때문에
그동안에는 지내실 수 있게 임시치아를 수술 후 바로
제작해 드렸습니다.
임플란트 수술 후 임시치아 제작

#옥수동치과 #임플란트즉시로딩
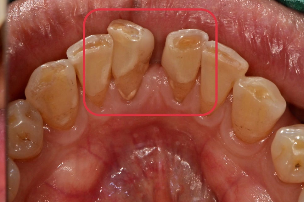
수술 시작 전에 미리 구강 스캐너를 통해
임시치아 제작을 의뢰합니다.
기공소와 임플란트 방향과 예상 치아 형태를 의뢰하여
제작된 임시치아를 임시 기둥을 이용하여 수정합니다.
수술은 치주염이 심해 치조골이 많이 흡수된 곳은
치조골 이식술을 통해 잇몸 볼륨을 유지시켜
시간이 지나도 잇몸이 꺼지지 않도록 유지시켜주고
임시 기둥을 통해 임시치아를 제작했습니다.


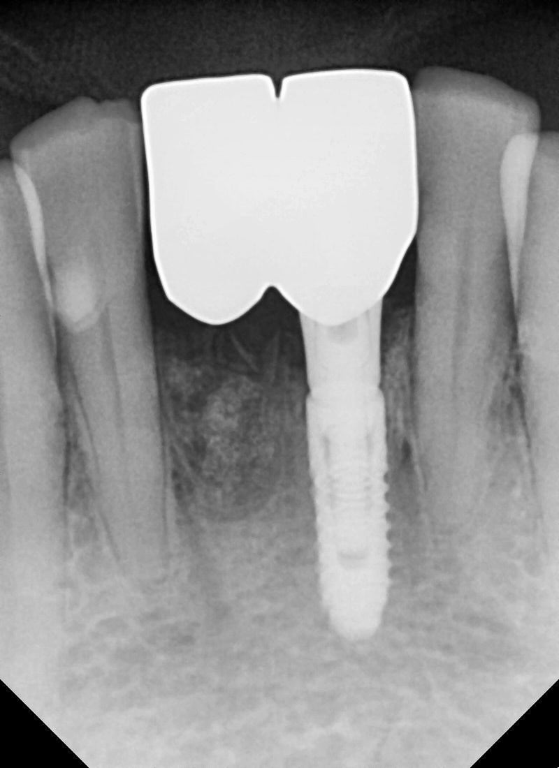
수술 후 직후의 모습입니다.
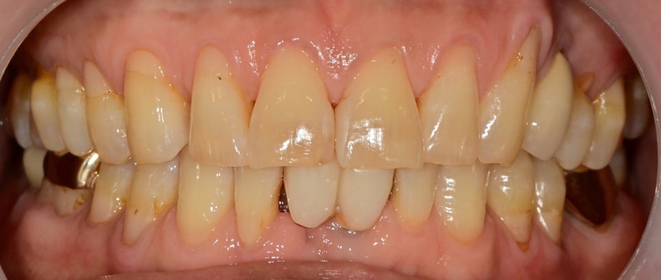
앞니 임플란트의 수술 즉시 임시치아는
씹는 용도가 아니고 빈 공간을 채워주는 것이 목적이기
때문에 위 치아와 교합을 조정해 주고 잇몸 경계에 맞춰
임시치아를 수정했습니다.
물론 최종 보철물처럼 색상을 다 맞출 순 없지만
뺐다 꼈다 하는 임시틀니를 끼는 것보다는 훨씬
자연스럽다고 말씀해 주십니다.
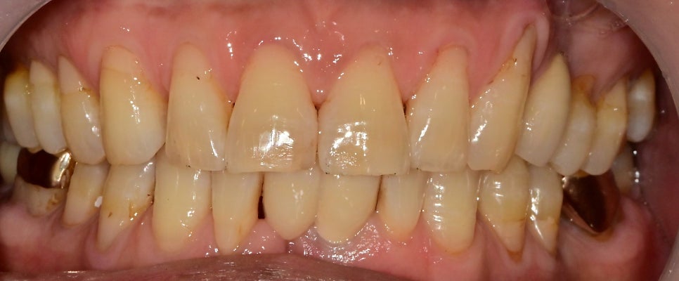
수술 후 최종 보철까지 완성 소요 시간

수술 후 최종 보철물까지 3달 정도가 소요되었습니다.

치조골이식부위도 볼륨이 잘 유지 되어있고
보철물 라인도 자연스럽게 제작되었습니다
임시치아 때보다 색상은 주변 치아와 맞춰졌고
수술후 붓기가 가라앉은 잇몸에
맞춰 치아 형태도 제작이 되었습니다.
웃을 때 말할 때 가장 잘 보이는 앞니 부분이기 때문에
지내시면서 환자분 요구에 맞춰서 몇 번의 수정을 해서
환자분께서 최종적으로 오케이를 해주셔서
최종 부착을 마무리했습니다.
아래 치아의 치축이 살짝 기울어져있는데
치아 제작 시 치축을 바로잡으며 주변 치아까지 보철을
같이 했더라면 심미적으로 완성도는 더 높았겠지만
환자분께서는 치료 부분만 기존 치아에 맞춰 사용하시기를 원하셨기 때문에 최대한 자연스럽게 마무리했습니다
치료가 마무리되고 최근에는 내원을 못하고 계신 상태이지만 치료전에는 주변 치아까지 미세한 동요도가 관찰이 되었다면 염증의 원인이었던 치아를 발치 후 잇몸치료까지 진행된 후에는 주변 치아의 동요도가 고정되어 더 이상 다른 치아의 치료는 안 해도 됐습니다,
이렇게 앞니는 심미적인 기능을 담당하고 있어서
발치를 하게 된다면 즉시 회복이 중요합니다.
임플란트의 초기 고정이 좋다면 이렇게 임시치아를
되도록이면 하는 것이 이상적인 치료 방법입니다.
모든 케이스에서 이런 치료를 하면 좋겠지만
골질의 상태나 주변 치조골 상태에 따라
진단과 치료 과정은 바뀔 수 있어서
비슷한 증상을 겪고 계시다면
주변 치과에 내원하셔서 진단을 받아보시는 것을
권유 드립니다
오늘은
앞니 발치 후 임플란트 수술 시
임시치아 즉시 제작에 대해 알아보았는데요
궁금하신 부분이 조금이나마 해소되셨기를 바라면서
다른 증례로 찾아뵙겠습니다
감사합니다^^
▼함께 읽으면 좋은 증례
바른진료가 바른결과를
만든다고 생각합니다.
걱정하며 내원해 주시는 모든 분이
나가실 때는 안심하고 나가는
믿을 수 있는 치과를 만드는 것이
제가 바라는 치과입니다.
오시는길
동호로179 JYJ빌딩, 2층
약수역 약수시장 방향 6번출구
바로 앞
마을버스5번(약수역)
마을버스12번(남산타운, 약수지구대)
버스정류장(약수하이츠, 신당사회복지관, 가온도서관, 금호터널입구)이용 유유제약에서 금호역방면
본 포스팅은 의료 정보 제공 및 병원 광고를 목적(의료법 제56조 1항)을 준수하여 바른영치과에서 직접 작성한 글입니다.
본사진은 각각 환자분에게 찍은 사진으로서 수/시술 후 개인에 따라 결과의 차이, 부작용(보철물 탈락, 통증)이 발생할수 있으니 담당 의료진과 충분히 상담을 진행한 후 결정하시기 바랍니다