아카이브 요약
이 페이지의 역할
바른영치과의원의 네이버 블로그 원문을 보존한 아카이브 페이지입니다. 바른 치료사례 카테고리의 약수역 라미네이트 치과 선천적 왜소치 무삭제 치아 복원 글을 통해 병원의 한국어 정보 제공 방식과 진료 관련 안내 톤을 확인할 수 있습니다.
원문 검증
필요하면 원문 블로그와 병원 프로필로 바로 이동해 문맥을 다시 확인할 수 있습니다.
출처 아카이브 열기아카이브된 블로그 글
바른영치과의원 · 약수역 6번출구 바른영치과
안녕하세요 대표원장이 직접 진료한 케이스를 설명해 주는 약수역 라미네이트 치과 약수역 바른영 치과 대표원장 김태영입니다. 요즘 사회 분위기에서 트렌드는 상당히 자주 변합니다. 여행, 음식, 패션, 라이프 스타일 등등 아재인 저도 변하는 트렌드에 뒤처지지 않으려 노력하지만 쉽지 않은 것 같습니다.^^; 치과계...
게시일
2025년 2월 19일
원문 기준으로 확인된 발행일입니다.
카테고리
바른 치료사례
원문 블로그 카테고리를 정리해 함께 표시합니다.
이미지 수
5
현재 아카이브에 연결된 이미지 수입니다.
아카이브 요약
바른영치과의원의 네이버 블로그 원문을 보존한 아카이브 페이지입니다. 바른 치료사례 카테고리의 약수역 라미네이트 치과 선천적 왜소치 무삭제 치아 복원 글을 통해 병원의 한국어 정보 제공 방식과 진료 관련 안내 톤을 확인할 수 있습니다.
원문 검증
필요하면 원문 블로그와 병원 프로필로 바로 이동해 문맥을 다시 확인할 수 있습니다.
출처 아카이브 열기안녕하세요
대표원장이 직접 진료한 케이스를
설명해 주는 약수역 라미네이트 치과
약수역 바른영 치과
대표원장 김태영입니다.
요즘 사회 분위기에서
트렌드는 상당히 자주 변합니다.
여행, 음식, 패션, 라이프 스타일 등등
아재인 저도 변하는 트렌드에 뒤처지지 않으려
노력하지만 쉽지 않은 것 같습니다.^^;
치과계에서 역시 치료에서 트렌드라는 것이 있는데요
기본적으로 아프고 불편한 부분을 치료해서
기능적, 심미적으로 복원하는 의미는 같지만
검증된 더 좋은 재료, 더 간단한 술식들이
나오면서 저 역시도 트렌드를 놓치지 않기 위해
세미나도 자주 들으러 가는데요
오늘은 라미네이트에 관해 말씀드리려 합니다.
과거에
라미네이트란
치아를 많이 깎아 시리고 아프다
라는 이미지가 많았습니다.
물론 과거에는 접착재료나 기공재료가
덜 개발되었다고 볼 수 있습니다.
하지만 요즘은 접착기술도 좋아지고
얇은 보철물도 제작이 가능해지고 있습니다
케이스에 따라 치아를 다듬는 정도는 다를 수 있지만
제가 느끼기에 요즘 치과계에서 트렌드는
단순히 아파서 치아가 문제가 생겨 치료를 받는다기보다
치료에서 미적 요인이 중요한 치료 계기가 됩니다.
치아의 색상, 잇몸의 높이, 치아 형태 등에 의해
심미적 요구도가 올라가며 이에 치아의 형태를 복원하기 위해 라미네이트 치료가 많이 통용되는데요.
과거와 비교하여 치아 삭제량의 거의 없는
꼭 필요한 부분의 표면 다듬는 정도로 제작이 가능합니다.
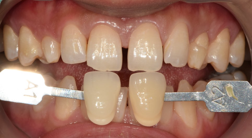
치아 사이 공간이 신경 쓰여요

환자분께서 처음 내원하셨을때 작은 양쪽 송곳니 때문에
가운데 치아가 벌어져 빈 공간만 채우고 싶다고 내원하셨습니다.
주변 치아들의 파절이 관찰되어 주변 치아의 치아 성형도
설명을 드렸지만 빈 공간이 너무 신경 쓰이셔서
먼저 공간만 채우고 싶다 하셨습니다.
이런 케이스에서 치아삭제를 전혀 하지 않는
무삭제 라미네이트가 가능했기에 진행했습니다.
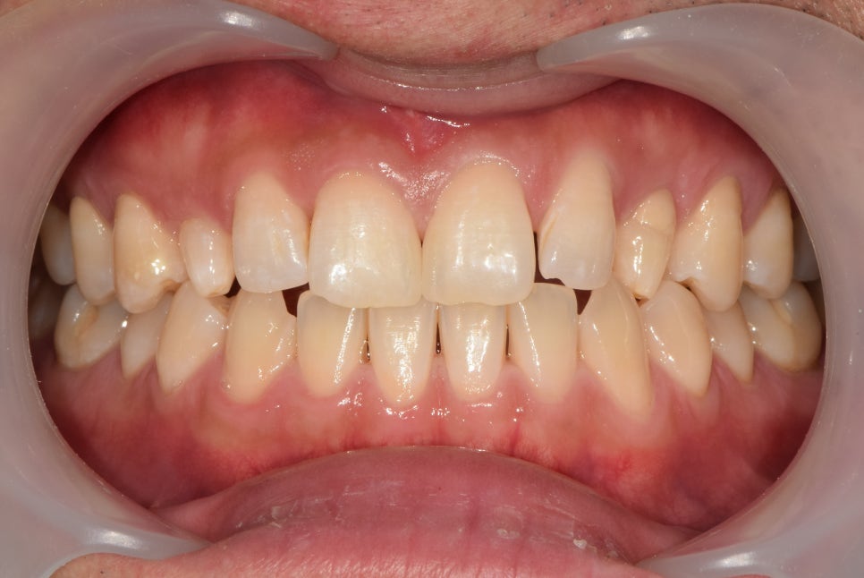
무삭제 라미네이트

주변 치아의 형태를 수정하지 않고
형태, 색상을 자연스럽게 연결만 하여
가운데 빈 공간을 채우셨습니다.
환자분께서는 공간이 채워진 것만으로도
굉장히 만족하셨습니다.
하지만
얼마 후 환자분께서 다시 내원하셨습니다.
무슨 문제가 생긴 것인가 했지만
깨진 치아까지 전체 라미네이트
원해요
빈 공간을 채웠을 때 만족했지만
곧 결혼을 앞두니 주변 깨진 치아나 작은 왜소치까지
같이 하고 싶은 욕심이 생기셨다고 합니다.
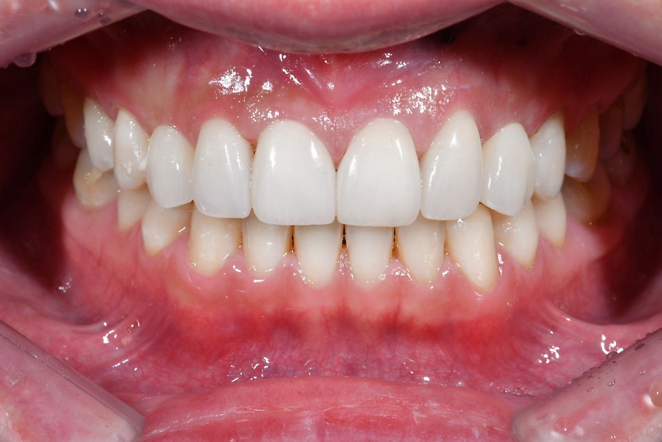
아래의 치열은 고르기 때문에 아래는
미백으로 하기로 말씀드리고
위 6개 치아를 라미네이트로 진행하기로 했습니다.
기존 치아들이 작고 파절이 되었기 때문에
크라운처럼 치아 삭제량 없이
라미네이트가 들어갈 자리만 치아 성형을 통해
제작을 했습니다

기공소에서 작업을 해온 결과물입니다.
환자분께 직접 시적 하기 전에
모델상에서 치아 형태, 색상, 라인 등을 평가하며
수정사항을 미리 체크합니다.
라미네이트 부착

After
환자분께서도 마음에 들어 하셔서
부착 후 주변 미백까지 완료한 사진입니다.

치료 전과 비교해 보면 깨진 치아나 누런 치아색이
이상적인 형태로 복원되고 색상도 밝아졌습니다.
환자분께서는 무의식중에 웃을 때
활짝 웃게 된다며 아주 좋아하셨습니다^^
이렇게 라미네이트는
필요한 적응증에 적용하여 치료하면
드라마틱한 결과를 보일 수 있습니다.
최근에는 기간이 길고 장치 부착이 불편한
교정치료 대신 경미한 케이스의 경우
라미네이트로 단시간에 심미적 치료가 마무리되는
경우가 많습니다.
오늘은 약수역 라미네이트에 대해서 알아보았는데요
각자의 구강 내 교합 상태나 치열에 따라 치료 계획은
달라질 수 있으니 비슷한 고민을 갖고 계신 분들이라면
치과에 내원하셔서 자세한 상담을 받아보시는 것을
권해드립니다.
다음번에도 좋은 치료, 예쁜 결과로 찾아뵙겠습니다
감사합니다^^
▼함께 읽으면 좋은 증례
바른진료가 바른결과를
만든다고 생각합니다.
걱정하며 내원해 주시는 모든 분이
나가실 때는 안심하고 나가는
믿을 수 있는 치과를 만드는 것이
제가 바라는 치과입니다.
오시는길
동호로179 JYJ빌딩, 2층
약수역 약수시장 방향 6번출구
바로 앞
마을버스5번(약수역)
마을버스12번(남산타운, 약수지구대)
버스정류장(약수하이츠, 신당사회복지관, 가온도서관, 금호터널입구)이용 유유제약에서 금호역방면
본 포스팅은 의료 정보 제공 (의료법 제56조 1항)을 준수하여 바른영치과에서 직접 작성한 글입니다.
본사진은 각각 환자분에게 찍은 사진으로서 수/시술 후 개인에 따라 결과의 차이, 부작용(보철물 탈락, 통증)이 발생할수 있으니 담당 의료진과 충분히 상담을 진행한 후 결정하시기 바랍니다