아카이브 요약
이 페이지의 역할
바른영치과의원의 네이버 블로그 원문을 보존한 아카이브 페이지입니다. 바른 치료사례 카테고리의 동대문 무삭제라미네이트 과거 교정한 치아가 웃을 때 안 보여 스트레스일 때 글을 통해 병원의 한국어 정보 제공 방식과 진료 관련 안내 톤을 확인할 수 있습니다.
원문 검증
필요하면 원문 블로그와 병원 프로필로 바로 이동해 문맥을 다시 확인할 수 있습니다.
출처 아카이브 열기아카이브된 블로그 글
바른영치과의원 · 약수역 6번출구 바른영치과
안녕하세요 동대문 무삭제라미네이트 약수역 바른영치과 대표원장 김태영입니다. 교정치료가 필요하신 환자분들은 부정교합 정상치아의 매복 상태 가지런한 치아 위함 이런 이유들처럼 교정을 해서 정상교합을 얻을 뿐 아니라 가지런한 치아로 지내기 위해 교정치료를 진행합니다. 때때로 교정 후 치아가 안쪽으로 들어가 평소 혹은 웃...
게시일
2025년 4월 3일
원문 기준으로 확인된 발행일입니다.
카테고리
바른 치료사례
원문 블로그 카테고리를 정리해 함께 표시합니다.
이미지 수
10
현재 아카이브에 연결된 이미지 수입니다.
아카이브 요약
바른영치과의원의 네이버 블로그 원문을 보존한 아카이브 페이지입니다. 바른 치료사례 카테고리의 동대문 무삭제라미네이트 과거 교정한 치아가 웃을 때 안 보여 스트레스일 때 글을 통해 병원의 한국어 정보 제공 방식과 진료 관련 안내 톤을 확인할 수 있습니다.
원문 검증
필요하면 원문 블로그와 병원 프로필로 바로 이동해 문맥을 다시 확인할 수 있습니다.
출처 아카이브 열기안녕하세요
동대문 무삭제라미네이트
약수역 바른영치과
대표원장 김태영입니다.
교정치료가 필요하신 환자분들은
부정교합
정상치아의 매복 상태
가지런한 치아 위함
이런 이유들처럼
교정을 해서 정상교합을 얻을 뿐 아니라
가지런한 치아로 지내기 위해
교정치료를 진행합니다.
때때로 교정 후
치아가 안쪽으로 들어가
평소 혹은 웃을 때
치아가 너무 안쪽에 있어서
웃는 모습도 안 이쁘고
웃을 때마다 스트레스를 받는다고 하시는
환자분들이 계십니다.
이런 경우는 발치 교정에서 특히
잘 일어날 수 있는데
치아를 가지런하게 하기 위해
앞니를 안쪽으로 넣다 보니
옥니처럼 보인다고 하는 경우
합죽이처럼 입이 들어가 보인다고 하는 경우
를 예로 들 수 있습니다.
웃을 때 스트레스인 치아
라미네이트로 해결


과거에 발치 교정을 하신 경우
발치된 공간으로 앞니를 밀어 넣다 보니
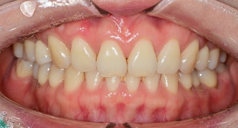
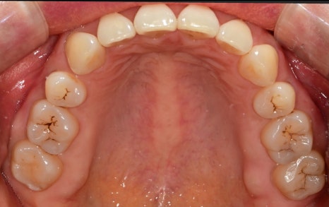
위에서 찍은 사진을 봤을 때
앞니 쪽이 둥근 아치를 그리지 않고
평편한 곡선을 그리고 있습니다.
이렇기 때문에 앞니가 안쪽으로 말려 들어가 보이고요
정면 사진은 치아의 형태가 너무 각져있어 남성형 같은
치아를 보이고 있습니다.
이분의 경우
무삭제라미네이트를
찾아보시다가 대전에서 저희 치과까지 찾아주셨습니다.
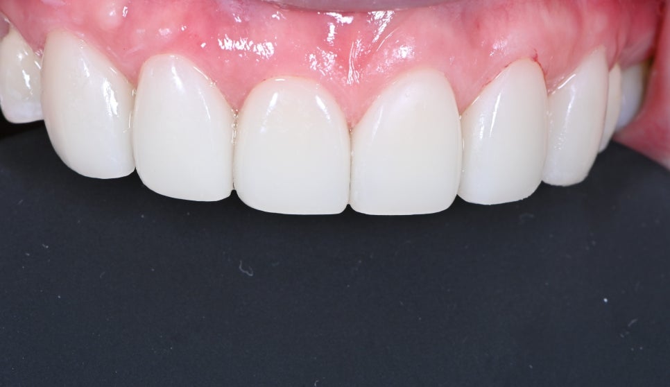
이 케이스 경우
삭제 없이 라미네이트가 가능했고
날카롭게 튀어나온 부분만 부드럽게 다듬고
본뜨시고 임시치아도 없이 귀가하셨습니다.
2주 후 다시 대전에서 어렵게 오셔서
형태, 색상을 한 번에 컨펌하고
완전히 붙이기로 했습니다
환자 구강 환경에 맞는
맞춤형 라미네이트

들어간 치아 부분을 무삭제 라미네이트를
이용하여 입술 쪽의 볼륨감을 주기 위해
라미네이트가 제작되었습니다

치아 석고모델에서 완성된 라미네이트입니다

각각 필요한 부분에 따라 0.1mm 정도의 얇은 층과
볼륨감을 위해 두께감이 필요한 곳은 충분한 두께로
제작되었습니다

천편일률적으로 생긴 라미네이트가 아닌
각 치아 형태에 맞춰 곡선을 갖는 라미네이트가 필요합니다.

처음 왔을 때 각진 치아 형태에서
잇몸 선을 따라 여성형의 치아 형태를 만든 형태입니다
라미네이트 부착 후
스마일라인 변화


전후 사진입니다.
치료전에는 무의식적으로 신경 쓰이다 보니
웃는 모습이 자연스럽지 않지만
치료 후에는 자신 있게 입꼬리를 당겨서 웃게 되고
치아의 끝을 연결한 선이 아랫입술을 벗어나지 않는
이상적인 스마일 라인이 완성이 되었습니다.
인위적으로 웃는 모습을 만든다고 생각할 수 있지만
치아 형태가 바뀜에 따라 웃는 모습은
무의식적으로 환하게 웃게 되는 것을 확인할 수 있습니다

전후 사진을 비교했을 때
무삭제 라미네이트의 만족도는
다른 치료와 다르게 상당히 높습니다.
너무 멀리서 내원하셔서
중간 교합 체크를 오시기 힘드시겠지만
가끔씩은 들려서 검사를 받아보시는 것을
권해드립니다.
무삭제 라미네이트 케이스를 통해서
교정 후 웃을 때 스트레스받았던 생활에서
벗어나 환하게 웃을 수 있으시게 되어
너무 보람을 느끼는 하루였습니다^^
라미네이트는
개개인의 치아 형태에 따라
진단이 천차만별로 달라질 수 있기 때문에
꼭 병원에 내원하셔서
경험있는 의료진과 상담받아보시는것을
권해드립니다.
감사합니다^^
▼함께 읽으면 좋은 증례
바른진료가 바른결과를
만든다고 생각합니다.
걱정하며 내원해 주시는 모든 분이
나가실 때는 안심하고 나가는
믿을 수 있는 치과를 만드는 것이
제가 바라는 치과입니다.
오시는길
동호로179 JYJ빌딩, 2층
약수역 약수시장 방향 6번출구
바로 앞
마을버스5번(약수역)
마을버스12번(남산타운, 약수지구대)
버스정류장(약수하이츠, 신당사회복지관, 가온도서관, 금호터널입구)이용 유유제약에서 금호역방면
본 포스팅은 의료 정보 제공 (의료법 제56조 1항)을 준수하여 바른영치과에서 직접 작성한 글입니다.
본사진은 각각 환자분에게 찍은 사진으로서 수/시술 후 개인에 따라 결과의 차이, 부작용(보철물 탈락, 통증)이 발생할수 있으니 담당 의료진과 충분히 상담을 진행한 후 결정하시기 바랍니다