아카이브 요약
이 페이지의 역할
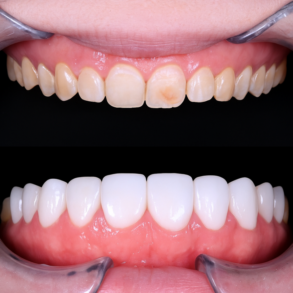
바른영치과의원의 네이버 블로그 원문을 보존한 아카이브 페이지입니다. 바른 치료사례 카테고리의 약수역 치과 라미네이트를 하고싶다면 이것부터 이해하면 좋습니다(밝은 미소를 되찾아가는 과정) 글을 통해 병원의 한국어 정보 제공 방식과 진료 관련 안내 톤을 확인할 수 있습니다.
원문 검증
필요하면 원문 블로그와 병원 프로필로 바로 이동해 문맥을 다시 확인할 수 있습니다.
출처 아카이브 열기아카이브된 블로그 글
바른영치과의원 · 약수역 6번출구 바른영치과
신당동 치과에서 알려드리는 라미네이트 정보 안녕하세요 약수역 치과 바른영치과 대표원장 김태영입니다. 최근 네이버 블로그 정책이 바뀌어 병원에서 정보성 블로그 글을 쓰는데 어려움이 있어 오랜만에 인사드리는 것 같습니다. 환자분들을 상담하다 보면 라미네이트에 대해서 많이 궁금해하시는 것 같습니다. 요즘은 라미네이트가...
게시일
2025년 9월 18일
원문 기준으로 확인된 발행일입니다.
카테고리
바른 치료사례
원문 블로그 카테고리를 정리해 함께 표시합니다.
이미지 수
6
현재 아카이브에 연결된 이미지 수입니다.
아카이브 요약
바른영치과의원의 네이버 블로그 원문을 보존한 아카이브 페이지입니다. 바른 치료사례 카테고리의 약수역 치과 라미네이트를 하고싶다면 이것부터 이해하면 좋습니다(밝은 미소를 되찾아가는 과정) 글을 통해 병원의 한국어 정보 제공 방식과 진료 관련 안내 톤을 확인할 수 있습니다.
원문 검증
필요하면 원문 블로그와 병원 프로필로 바로 이동해 문맥을 다시 확인할 수 있습니다.
출처 아카이브 열기신당동 치과에서 알려드리는 라미네이트 정보
안녕하세요
약수역 치과 바른영치과 대표원장 김태영입니다.
최근 네이버 블로그 정책이 바뀌어 병원에서
정보성 블로그 글을 쓰는데 어려움이 있어
오랜만에 인사드리는 것 같습니다.
환자분들을 상담하다 보면 라미네이트에 대해서
많이 궁금해하시는 것 같습니다.
요즘은 라미네이트가 워낙 대중화가 되어있고
정보성 글들이 많지만 일반 대중들이
받아들이기에 이게 이거랑 같은 말인가?
아님 이거는 뭐지?라는 반응들이 있습니다.
실제로 환자분들이 질문하셨던 것에 대해서
오늘은 라미네이트에 대해 말씀드리는 시간을
갖도록 하겠습니다.
끝까지 읽어주시면 그동안 궁금하셨던 라미네이트에 대한 궁금증이 해소 될것입니다
라미네이트란 무엇인가요?

라미네이트는 치아의 형태, 색상을 복원하기 위해
치아의 겉면(에나멜층)을 필요한 부분만 삭제
또는 무삭제를 통해 치아의 형태, 심미적 및 기능적 회복을 목적으로 하는 치료입니다.
라미네이트는 뭐고 비니어는 무엇인가요?
검색을 열심히 하시고 오시다 보면
정보는 많지만 정리가 안되는 경우가 있습니다.
결론적으로는 같은 말입니다.
라미네이트처럼 얇은 도재 보철물을
치면에 붙여서 치료하는 것을 비니어(veneer)라고 합니다.
그래서 결국 같은 말이고 원래 라미네이트를
라미네이트 비니어라고 부르는 것입니다.
비니어라는 말이 얇을 판을 뜻하는 것도 있는데요
그렇기에 크라운처럼 치아 삭제량이 크지 않고
필요한 부분만 삭제해서 치아의 법랑질(신경이 없는 겉면)에서 접착을 얻어내어 치아에 손상을 최소화하는 치료입니다.
라미네이트의 재료는 무엇인가요?
라미네이트는 세라믹으로 만듭니다.
요즘 라미네이트가 0.1mm의 두께로 만든다
심지어 0.01mm로 만든다는 광고까지 나오지만
과연 0.01mm의 두께가 가능한 것인지 의문입니다.
0.1mm도 너무 얇지만 모든 면에서 다 이런 두께를 하는 것은 아니며 얇게 표현이 필요한 부분은 얇게,
충분한 두께가 필요한 부분은 알맞은 두께를 부여하는 것이 맞습니다.

이런 식으로 치아마다 보정해야 할 두께가 모두 다르기 때문에 라미네이트의 두께도 다양하게 제작되어야 합니다
세라믹으로 만든다고 알려져 있는데
세부적인 재료에 따라서 달라집니다.
지르코니아, 펠드스파, 이맥스 등등
일단 지르코니아로 만드는 라미네이트는 접착, 심미 모든 면에서 장점보다는 단점이 커서 라미네이트에서는 거의 사용하지 않는 재료라고 보시면 됩니다.
최근 들었던 질문을 토대로 궁금하실만한 내용을
말씀드릴게요.
원장님 이맥스가 뭔가요??
최근에 환자분께서 궁금하신 게 많은지
몇 가지 질문을 적어오셨습니다.
저는 이런 거 알려주는 걸 좋아하는지라 다물어보라고 했는데 역시 비슷한 질문들이었어요
원장님 라미네이트는 이맥스로 많이 만든다는데 이것은 무엇인가요??
이맥스( e.max)란??
결론을 말하면 재료 이름이 아니라 제품명입니다.
우리가 접착 메모지를 포스트잇으로 부르는 것처럼
Ivoclar Vivadent 사에서 Lithium disilicate ceramics을 제품으로 만든 이름이 이맥스입니다.
워낙 유명해서 이맥스라고 부르고 저도 편의상 이 재료를 이맥스라고 부르기도 합니다.
과거에 비해 이맥스가 심미성, 강도, 제작방법 등 모든 면에서 개선되어 있기 때문에 거의 모든 치과에서 Lithium disilicate ceramics 사용한다고 보시면 될 것 같습니다.
또한, 최근에 치과마다 이름을 붙이는데 oo필름, oo네이트, oooo쉬가 있어서 상담 오실 때 예를 들면 저는 oo네이트가능한가요? 그걸로 해주세요라고 하시는데
이것도 결국 제품 이름과 같다 보시면 되고
재료 자체는 다 같은 재료(블록)를 사용합니다.
그 외에 비타, 마크, 펠드스파(Feldspathic porcelain)는 무엇인가요 하는 분도 계시는데 다 같은 말이라고 보시면 됩니다.
펠드스파라는 재료를 비타사에서 만드는 제품 이름이 마크라는 제품명입니다.
이재료의 장점은 뛰어난 심미성이 있지만
강도가 상대적으로 약하고, 라미네이트의 수정이 쉽지 않다는 단점이 있습니다.
재료마다의 장, 단점
앞에서 간단하게 장단점을 설명드렸는데 표로 정리해 보겠습니다.
| 재료 | 장점 | 단점 |
|---|---|---|
| Feldspathic porcelain | 심미성, 치아의 미세한 투과광(translucency) 표현 우수 | - 기계적 강도가 낮아 파절 특히 가장자리(chipping)가능성 있음. - 색 변화가 심한 경우 두께 확보 필요 |
| Lithium disilicate ceramics | - 기계적 강도가 매우 높고(굽힘강도 flexural strength 우수)-파절(chipping)에 대한 저항성 높음-내구성, 변색, 마모 저항성 우수 | - 보통 feldspathic 보다 약간 더 치질 삭제 필요할 수 있음- enamel의 지지가 부족하면 접착력 및 응력 분배(stress distribution)에 위험 있음 |
이것은 재료의 장단점이고
최근 접착기술이 워낙에 발달되고
각 기공소마다 기공 스킬이 많이 개선되어
2개의 재료 모두 라미네이트로서 뛰어난 재료라고 볼 수 있습니다.
하지만 재료, 기공, 접착 이런 것도 중요하지만
가장 근본적으로는 어떻게 진단하고, 어떻게 치아를 만들어 제작을 하느냐입니다.
라미네이트는 언제 하나요?

과거에는 라미네이트는 케이스가 정해져있었습니다
치아삭제가 거의 필요하지 않는 왜소치, 치아 공간 벌어짐처럼 치아삭제 없이 두껍게 제작된 라미네이트를 부착하는 것입니다.
최근에는 앞서 설명드린 것처럼 필요한 부분에 최소한으로 삭제를 하고, 그에 맞춰 보철물을 제작한다면 라미네이트의 적응증의 범위가 늘어날 수 있습니다

테트라사이클린 착색, 불소 과다증(fluorosis), 내인성 착색 등으로 일반적인 미백으로 개선이 어려울 경우.
너무 작거나 비율이 안 맞는 치아(pegged lateral, 미성형 치아)
치아의 마모 혹은 작은 파절
enamel hypoplasia 등 미세한 형태 이상
경미한 치열 부정, 치아 사이 틈(diastema)
앞니 경미한 인접 치아 위치 이상
미소, 스마일라인 개선
전치부 색상, 형태, 치아 배열를 동시에 고려해야 할 때
과거 앞니 레진치료 수복물이 오래되어 변색 또는 경계부 파절이 문제인 경우
미세 균열 또는 파절, 표면 마감 손상

하지만
항상 라미네이트만으로 모든 심미적 요구를 충족시킬 수 없습니다.
라미네이트 치료가 어려운 경우
불량한 치주 상태
교정이 요할 정도의 치열 상태
과도한 이갈이 및 심한 악습관
교합방향 자체가 비정상적인 경우
사람마다 같은 치아 형태일지라도
교합, 치주, 악습관자체가 다르기 때문에
진단도 달라질 수 있습니다.
라미네이트는 만능인가?
그렇지 않습니다.
물론 치아에 접착하면 쉽게 파절되지않고 강도가 강해지지만 얇게 제작된 만큼 반복적인 교합 간섭에 닿을 경우 파절될 가능성이 있고
치주적으로 문제가 생겼을 경우, 주변 변색이 생길 경우
시간이 지남에 따라 재제작의 가능성은 있습니다.
그렇기 때문에 초반에 자주오셔서 교합체크도 받으시고
정기적인 검진을 받으셔야 파절 위험성이 줄어듭니다
상담할 때마다 자주 드리는 말씀인데
모든 케이스를 라미네이트로 커버할 수 없을 뿐 아니라
치아 배열에 따라 무삭제가 항상 가능한 것도 아닙니다.
사람마다 원하는 결과물이 다르며
치아의 조건에 따라
진단 내용은 같은 사람이라도 얼마든지 달라질 수 있습니다.
오늘은 라미네이트란 무엇이고
어떻게 치료하는 술식인지
많이 궁금해하시는 것 위주로 말씀드렸습니다.
궁금하셨던 내용이 해소되셨기를 바라면서
앞서 말씀드린것처럼 치아만 보고 진단하는것은 제대로된 진단이 될수 없으며 악습관, 안모 등 여러가지 요소를 포함해서 진단을 해야 하기 때문에 궁금하신 부분이 있으시다면 내원하셔서 자세하게 상담받아보시기를 권유드립니다.
약수역 바른영치과 였습니다^^

바른진료가 바른결과를
만든다고 생각합니다.
걱정하며 내원해 주시는 모든 분이
나가실 때는 안심하고 나가는
믿을 수 있는 치과를 만드는 것이
제가 바라는 치과입니다.
오시는길
동호로179 JYJ빌딩, 2층
약수역 약수시장 방향 6번출구
바로 앞
마을버스5번(약수역)
마을버스12번(남산타운, 약수지구대)
버스정류장(약수하이츠, 신당사회복지관, 가온도서관, 금호터널입구)이용 유유제약에서 금호역방면
본 포스팅은 의료 정보 제공 (의료법 제56조 1항)을 준수하여 바른영치과에서 직접 작성한 글입니다.