아카이브 요약
이 페이지의 역할
바른영치과의원의 네이버 블로그 원문을 보존한 아카이브 페이지입니다. 바른 치료사례 카테고리의 약수역 임플란트, 발치 후 임플란트 수술 언제 가능한가? 글을 통해 병원의 한국어 정보 제공 방식과 진료 관련 안내 톤을 확인할 수 있습니다.
원문 검증
필요하면 원문 블로그와 병원 프로필로 바로 이동해 문맥을 다시 확인할 수 있습니다.
출처 아카이브 열기아카이브된 블로그 글
바른영치과의원 · 약수역 6번출구 바른영치과
안녕하세요 약수역 치과 바른영치과 대표원장 김태영입니다. 우리의 치아는 재생이 안되는 조직입니다. 그래서 한번 발치가 되면 되돌릴수 없기 때문에 그대로의 자연치아 상태를 잘 보존해서 사용하며 임플란트 시기를 늦추는것이 장기적인 구강건강관리를 하는점에서 매우 중요합니다. 일반적으로 최소침습(치료범위가 작은)부터 설명...
게시일
2026년 1월 7일
원문 기준으로 확인된 발행일입니다.
카테고리
바른 치료사례
원문 블로그 카테고리를 정리해 함께 표시합니다.
이미지 수
7
현재 아카이브에 연결된 이미지 수입니다.
아카이브 요약
바른영치과의원의 네이버 블로그 원문을 보존한 아카이브 페이지입니다. 바른 치료사례 카테고리의 약수역 임플란트, 발치 후 임플란트 수술 언제 가능한가? 글을 통해 병원의 한국어 정보 제공 방식과 진료 관련 안내 톤을 확인할 수 있습니다.
원문 검증
필요하면 원문 블로그와 병원 프로필로 바로 이동해 문맥을 다시 확인할 수 있습니다.
출처 아카이브 열기안녕하세요
약수역 치과
바른영치과 대표원장 김태영입니다.
우리의 치아는 재생이 안되는 조직입니다.
그래서 한번 발치가 되면 되돌릴수 없기 때문에
그대로의 자연치아 상태를 잘 보존해서
사용하며 임플란트 시기를 늦추는것이
장기적인 구강건강관리를 하는점에서 매우 중요합니다.
일반적으로 최소침습(치료범위가 작은)부터 설명하면
충치치료(간단한 레진이나 인레이 혹은 크라운)
신경치료 후 크라운치료
치주염에 의한 경우라면 치주수술
대략적으로 이렇게 예를 들수있고
무조건 저런순서로 치료가 되는것은 아니며
증상에 따라 치료진단은 달라질수 있습니다^^
치아에 대해 보존적 치료를 진행했는대도 불구하고
치주염, 치아크랙, 치아뿌리의 염증에 의해 발치가 필요한 경우가 생깁니다.
이럴때는 어쩔수 없이 임플란트 말고는 대안이 없는데요
종종 환자분들과 말씀 나눠보다보면
원장님 발치하면 임플란트는 언제 할수있어요?
이런 질문을 받는데
정답은 주변 뼈 상태, 염증정도에 따라 다릅니다
발치 하면서 바로 식립하거나
발치 후 충분한 회복시간을 주고 식립하거나
발치와 동시에 치조골이식술을 해서 주변 볼륨을 유지한상태로 회복후 식립할 수 있습니다
여기서
또 추가 질문이 있을수 있습니다
과거에 치료받았을때 같은 이유로 발치했는데
어디서는 바로 수술했고
어디서는 몇달 기다렸다했어요
어떤분은 1년 가까이 기다리다가 겨우 심었어요
맞습니다
발치의 원인은 같지만
그 내부상태가 어떻냐에 따라
임플란트 식립 시기가 결정될수 있습니다
발치하고 좀 기다렸다가 심어야 좋은거 아닌가요??
저를 포함해서 대부분 치과의사분들은
발치를 하면서 가능하면 임플란트 수술을 바로 하려고 합니다.
그렇게 하려고 하는 이유는
치료기간, 마취를 여러번받는것의 불편함, 그리고
중요한것은 기다렸다가 임플란트 식립하는것과
발치 후 즉시 식립하는것의 결과는 차이가 없습니다.
물론, 바로 진행할수 없는경우는 기다려야 합니다.
발치 후 즉시 임플란트 수술이 안되는경우는
대표적으로 치아 주변 염증이 심한경우는 잇몸과 내부 뼈의 회복시간을 준 후 수술을 진행합니다
그렇다면 얼마나 기다려야 하는가
발치와 동시에 치조골이식술이 필요한경우는
이식재를 넣었다고 바로 단단한 뼈가 되는 것은 아닙니다.
뼈는 시간이 필요한 생체 조직입니다.
일반적으로 다음의 치유 기간을 권장합니다.
하악(아래턱): 약 3개월
상악(위턱): 약 4개월
범위나 골질의 상태에 따라 달라질수 있지만 저는 기준을 이렇게 잡고 있습니다
이 기간 동안 이식재가 자연 뼈와 섞이면서 단단한 치조골로 성숙하게 됩니다. 이 과정이 충분히 이루어져야 임플란트가 안정적으로 고정됩니다.


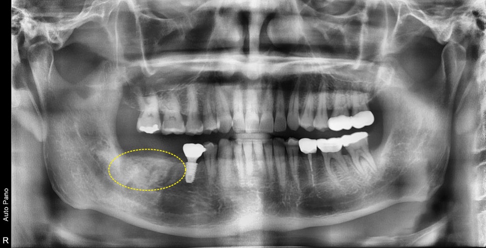
예를 들어
이렇게 사진상 진단시는 발치와 동시에 임플란트 수술이
가능했지만 제때 치료 시기를 놓치게 되면
시간이 지나 주변 뼈들이 염증에 의해 더 녹아
발치 후 치조골이식을 진행한 후
회복후 수술이 필요한 경우도 있습니다


노란 원으로 표시된곳이 치조골이식후 회복된상태입니다
물론 결과적으로 치료가 잘 마무리가 되지만
치료시기를 놓치게 되면 치료기간이 2배로 늘어날수 있습니다.
발치와 보존술

뿌리 주변 염증에 의해 발치가 필요한 경우입니다
3D CT를 촬영해보니
가장 큰 뿌리 주변이 염증에 의해 뼈가 녹아있습니다
빨간선으로 표시된부분이 뼈로 채워져 있어야하지만
어둡게 보이는것은 염증으로 뼈가 녹았다는것을 보여줍니다.
이런경우 발치와 동시에 즉시 임플란트 수술이 가능은 하지만 추후 뼈가 어디까지 회복될지 예측이 어려웠기 때문에 발치를 했던 주변으로 치조골이식을 해서 볼륨을 유지시켜주는것을 발치와 보존술이라고 합니다

약 4개월후 빨간선으로 표시된것 처럼 주변 뼈들이 회복이 된것을 확인 후 임플란트 수술이 진행되었습니다.
이렇게 벽을 이루고 있는 뼈들이 녹아있는경우는 치조골 이식후 회복기간을 기다렸다 하는경우가 예측이 좀더 좋습니다

이렇게 발치가 필요한 경우
임플란트 수술은 필요하지만
수술 시기를 결정하는방법은
해당부분의 컨디션에 따라 얼마든지 달라질수 있기에
3D CT를 동반한 진단을 같이 받아보시는 것을
권해드립니다
무엇보다 발치 전에 자연치아를 보존하는것이 중요하기 때문에 정기적인 치과 검진은 무엇보다 중요합니다.
감사합니다^^