아카이브 요약
이 페이지의 역할
메이크치과의원의 네이버 블로그 원문을 보존한 아카이브 페이지입니다. 라미네이트 카테고리의 옥니라미네이트, 달라진 미소 [+치료사례 포함] 글을 통해 병원의 한국어 정보 제공 방식과 진료 관련 안내 톤을 확인할 수 있습니다.
원문 검증
필요하면 원문 블로그와 병원 프로필로 바로 이동해 문맥을 다시 확인할 수 있습니다.
출처 아카이브 열기아카이브된 블로그 글
메이크치과의원 · 메이크치과의원ㅣ라미네이트,심미치료에 진심인 치과
안녕하세요. 예쁜 미소를 만들어드리는 메이크치과의원 대표원장 안영석입니다. 앞니가 안으로 들어간 형태라 신경 쓰여요. 옥니라미네이트도 가능한가요? 안녕하세요 메이크치과 원장 안영석입니다. 생각보다 많은 분들이 본원에 내원하셨을 때 치아가 튀어나오거나 안으로 들어간 것도 개선이 가능하냐고 많이 문의해...
게시일
2025년 4월 3일
원문 기준으로 확인된 발행일입니다.
카테고리
라미네이트
원문 블로그 카테고리를 정리해 함께 표시합니다.
이미지 수
34
현재 아카이브에 연결된 이미지 수입니다.
아카이브 요약
메이크치과의원의 네이버 블로그 원문을 보존한 아카이브 페이지입니다. 라미네이트 카테고리의 옥니라미네이트, 달라진 미소 [+치료사례 포함] 글을 통해 병원의 한국어 정보 제공 방식과 진료 관련 안내 톤을 확인할 수 있습니다.
원문 검증
필요하면 원문 블로그와 병원 프로필로 바로 이동해 문맥을 다시 확인할 수 있습니다.
출처 아카이브 열기![옥니라미네이트, 달라진 미소 [+치료사례 포함] 관련 이미지 1](https://pub-9f2bb3498faf4d1d8714b41df24753e3.r2.dev/content/clinics/archive/vanitalwc5/naver_blog/nest11561/assets/by_hash/edafe61882d7d8422cd75749a492ec2e1c712ffece032e02fb8703d3d80bcef5.png)
안녕하세요. 예쁜 미소를 만들어드리는
메이크치과의원 대표원장 안영석입니다.
앞니가 안으로 들어간 형태라 신경 쓰여요.
옥니라미네이트도 가능한가요?
![옥니라미네이트, 달라진 미소 [+치료사례 포함] 관련 이미지 2](https://pub-9f2bb3498faf4d1d8714b41df24753e3.r2.dev/content/clinics/archive/vanitalwc5/naver_blog/nest11561/assets/by_hash/8b66310d2ab1d6e9d36ad957216924abd4ba24e87e9fddce6a561f00604e8189.jpg)
안녕하세요 메이크치과 원장 안영석입니다.
생각보다 많은 분들이 본원에 내원하셨을 때
치아가 튀어나오거나 안으로 들어간 것도
개선이 가능하냐고 많이 문의해 주시는데요.
결론부터 말씀드리자면 가능합니다.
옥니는 윗니나 아랫니가 안쪽으로
휘어들어 간 상태를 말하는데요.
주로 앞니 부분에서 발생하며,
치아가 안쪽으로 들어가 있어 웃을 때나 말할 때
치아가 잘 보이지 않는 경우가 많습니다.
이에 따라 치열이 고르지 않아 보이거나
저작 또는 발음상의 불편함이 생길 수가 있는데요.
교합이 맞지 않아 턱관절에 부담을 주기도 하며
칫솔질이 어려워 충치나 잇몸병 위험을 높일 수도 있습니다.
![옥니라미네이트, 달라진 미소 [+치료사례 포함] 관련 이미지 3](https://pub-9f2bb3498faf4d1d8714b41df24753e3.r2.dev/content/clinics/archive/vanitalwc5/naver_blog/nest11561/assets/by_hash/5addea30e76b8f9cd942d8f7d0bc501e1a0ae6a86deaf6a3715702461a88e7f5.jpg)
메이크치과의 라미네이트는 덜어내는 것이 아니라, 아름다움을 더하는 과정입니다.
그래서 교정으로 치아를 올바른 위치로 이동시키기도 하는데,
빠른 개선을 원한다면 옥니라미네이트로 가능합니다.
안으로 들어간 치아는 오히려 일반 라미네이트에 비해
삭제량이 훨씬 적을 뿐 아니라 일부는 무삭제로
진행을 할 수도 있기 때문에 높은 만족도를 나타냅니다.
이런 결과를 만들어 내기 위해서는
우선 정확한 진단과 계획이 가장 중요시되는데요.
저희 치과만의 시스템을 통해 계측을 미리 함으로써,
정확하고 디테일한 진단을 실시하고 맞춤형 계획을 수립합니다.
오늘 보여드릴 사례를 통해 어떻게 진행이 되는지 설명해 드릴 테니,
옥니라미네이트에 대해 알아보고 계신다면 꼭 끝까지 읽어보시기를 바랍니다.
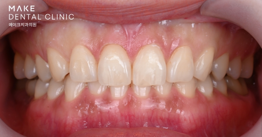
![옥니라미네이트, 달라진 미소 [+치료사례 포함] 관련 이미지 4](https://pub-9f2bb3498faf4d1d8714b41df24753e3.r2.dev/content/clinics/archive/vanitalwc5/naver_blog/nest11561/assets/by_hash/f4ca87668cb763442f36dd6b53dc45909376db02cd49a63df64f0c5f0c1c5260.jpg)
오늘 설명해 드릴 케이스의 고객님은 본원의 상담 실장님인데요.
배열이 가지런하긴 하지만 유독 안으로 들어간 느낌인
옥니 때문에 신경이 쓰일 뿐 아니라 색상에 대한 고민도 있으셨습니다.
아무래도 본원에서 많은 분들과 상담을 진행하시며
말씀을 나누시다 보니, 자연스레 보이는 치아가 신경 쓰였다고 하셨죠.
상담 실장을 해 오시면서
여러 치과의 수많은 라미네이트 케이스를 보셨는데도 불구하고
본원을 선택하신 이유, 바로 '이것' 때문이었습니다.
![옥니라미네이트, 달라진 미소 [+치료사례 포함] 관련 이미지 5](https://pub-9f2bb3498faf4d1d8714b41df24753e3.r2.dev/content/clinics/archive/vanitalwc5/naver_blog/nest11561/assets/by_hash/e382725f3faa232f6824054e49df8f6df63813898d5a4b18e1a26cc3fd1b10f6.jpg)
환자분의 얼굴형, 입술 라인, 미소 습관까지 고려한 개인 맞춤형 치아 디자인을 진행하고 있습니다.
먼저 저희 메이크치과의원은
한국에서 유일하게 라미네이트 삭제량을
실제로 3D 프리뷰로 계측하여 보여드리는
'스마일 프리뷰 시스템'을 이용하고 있습니다.
이 스마일 프리뷰 영상을 통해 미리 형태를 디자인할 뿐 아니라,
3D 이미지로 완료 후의 모습까지 시뮬레이션으로 직접 보여 드리고 있습니다.
🔻3D 시뮬레이션 시술과정 보러가기!🔻
그래서 치아뿐 아니라 얼굴까지 함께 스캔하여
미소와 웃음이 무엇이 달라질지 시술 전에 확인하실 수 있으며,
자신에게 어울리는 치아의 색상과 형태를 선택하고
수정할 수 있어 더욱 세심하게 디자인됩니다.
미리 결과를 예측하고 치아 디자인을 피드백할 수 있다는 점에서
많은 고객님들이 선호하며 만족해하고 계시죠.
또한, 치아를 다듬을 때, '가이드'를 끼우고 진행하셨는데요.
![옥니라미네이트, 달라진 미소 [+치료사례 포함] 관련 이미지 6](https://pub-9f2bb3498faf4d1d8714b41df24753e3.r2.dev/content/clinics/archive/vanitalwc5/naver_blog/nest11561/assets/by_hash/5128f0b8e71d4c87d2105adcb40bc07e731feec553046d2043da192cd6efc578.jpg)
이 가이드를 끼우면 삭제할 곳만 노출되기에
불필요하게 다듬지 않아도 되며,
최소한의 양만 삭제하기 때문에
아주 보존적인 방향으로 진행이 가능합니다.
사실 저희 실장님은 라미네이트를 진료하는 많은 병원에서 근무하셨습니다.
그런데도 저에게 진료받은 이유는
저희 치과에만 유일하게 존재하는 위의 2가지 시스템 때문이었죠.
| 치료 계획 및 진행 |
![옥니라미네이트, 달라진 미소 [+치료사례 포함] 관련 이미지 7](https://pub-9f2bb3498faf4d1d8714b41df24753e3.r2.dev/content/clinics/archive/vanitalwc5/naver_blog/nest11561/assets/by_hash/8cebc2309388db452a8caa74792adcfb864e230d331a7b92262022eaf3c08fad.gif)
먼저 스마일 프리뷰를 통해 옥니라미네이트의 추후 예상될 형태를
디자인하고 기존 색상과 원하는 색상을 비교하여 보여드리고 계획을 세웁니다.
자연스러운 형태를 위해 위 앞니 총 8개를 하기로 결정하였으며,
기존이 고민이었던 색상은 밝은 색상으로
변경을 원하셨기에 W2의 색상으로 계획하였습니다.
![옥니라미네이트, 달라진 미소 [+치료사례 포함] 관련 이미지 8](https://pub-9f2bb3498faf4d1d8714b41df24753e3.r2.dev/content/clinics/archive/vanitalwc5/naver_blog/nest11561/assets/by_hash/fadb1d5b5e2a626a2dc8cc519a81e7b4567b5d3181eb3e7be192e06c1a39dc12.gif)
그리고 치료를 진행하기 전에 앞서 말씀드린 것처럼,
삭제량을 미리 계획하여 가이드를 만들었는데요.
치아를 얼마나 다듬는지에 따라 예후가 달라집니다.
고객님들이 시술받을 때 가장 고민하는 지점이
바로 치아의 삭제량인데요.
보통 치아의 겉 부위를 미세하게 삭제하는 것이 가장 중요하며,
과도한 양을 다듬게 되면
치아의 속이 드러나 계속해서 시린 증상이 생겨날 수 있습니다.
그렇기 때문에 저희 메이크치과의원은
수치로 나타내어 다듬는 과정을 진행합니다.
0.001mm의 소수점 단위까지 나타내므로
정확한 데이터 기반 위에서 보철 설계가 이뤄지는 것이죠.
![옥니라미네이트, 달라진 미소 [+치료사례 포함] 관련 이미지 9](https://pub-9f2bb3498faf4d1d8714b41df24753e3.r2.dev/content/clinics/archive/vanitalwc5/naver_blog/nest11561/assets/by_hash/9102df59af8efeb7be8f9ac035fa827f21a004f28e38049bead09eca485e8486.jpg)
먼저 오른쪽 첫 번째 앞니 왼쪽은 0.280mm
![옥니라미네이트, 달라진 미소 [+치료사례 포함] 관련 이미지 10](https://pub-9f2bb3498faf4d1d8714b41df24753e3.r2.dev/content/clinics/archive/vanitalwc5/naver_blog/nest11561/assets/by_hash/7dc16d057e60243b84f03b4de1e1936ff62a2cb2bf106d93d5f39a820f4fc989.jpg)
두 번째 앞니 왼쪽은 0.349mm
![옥니라미네이트, 달라진 미소 [+치료사례 포함] 관련 이미지 11](https://pub-9f2bb3498faf4d1d8714b41df24753e3.r2.dev/content/clinics/archive/vanitalwc5/naver_blog/nest11561/assets/by_hash/1da059a9c41ca078d29a618b44e7a5c180e0fc49d2c1088cca958d35493c9238.jpg)
세 번째인 송곳니 부위는 배열을 맞추기 위해
0.468mm로 성형량을 잡았습니다.
![옥니라미네이트, 달라진 미소 [+치료사례 포함] 관련 이미지 12](https://pub-9f2bb3498faf4d1d8714b41df24753e3.r2.dev/content/clinics/archive/vanitalwc5/naver_blog/nest11561/assets/by_hash/97f5b1614d26408c49ddc8344a2abb4e5a56cf4746d88cbea63c97bd906a0714.jpg)
![옥니라미네이트, 달라진 미소 [+치료사례 포함] 관련 이미지 13](https://pub-9f2bb3498faf4d1d8714b41df24753e3.r2.dev/content/clinics/archive/vanitalwc5/naver_blog/nest11561/assets/by_hash/a84467b72a509f05f8b0493686434bdbe6dfa06f06ba8884b31ab5059c7f275a.jpg)
그리고 왼쪽 두 번째 앞니 중간과 뒤쪽은
0.322mm, 0.280mm로 성형량을 측정하였는데요.
종합하여 설명해 드리자면
전체적으로 배열이 일자가 아닌
아치 형태로 만들어지는 것이 훨씬 더 자연스럽기 때문에
#13-21은 최소 삭제, #22, 23은 무삭제로
진행하도록 계획을 세웠습니다.
또한 잇몸 라인을 균일하게 만들어 웃었을 때
더욱 시원한 인상을 줄 수 있도록 잇몸 성형을 함께 계획하였습니다.
![옥니라미네이트, 달라진 미소 [+치료사례 포함] 관련 이미지 14](https://pub-9f2bb3498faf4d1d8714b41df24753e3.r2.dev/content/clinics/archive/vanitalwc5/naver_blog/nest11561/assets/by_hash/5128f0b8e71d4c87d2105adcb40bc07e731feec553046d2043da192cd6efc578.jpg)
이때, 앞서 말씀드린 가이드를 이용하여
미세한 부분까지 세심하게 예측하여 진료하였습니다.
![옥니라미네이트, 달라진 미소 [+치료사례 포함] 관련 이미지 15](https://pub-9f2bb3498faf4d1d8714b41df24753e3.r2.dev/content/clinics/archive/vanitalwc5/naver_blog/nest11561/assets/by_hash/09cd566dd3445b8ccf8a220f268c03d200c812b356621afce7ee81aeb0c9518d.jpg)
잇몸성형과 함께 치아를 다듬은 직후의 사진인데요.
가이드 하지 않고도 가능하지만,
이렇게 하는 것은 조금 더 만족도 높은 결과를 안겨드리기 위한
저의 꺾을 수 없는 고집인 것 같습니다.
| 치료 완료 |
![옥니라미네이트, 달라진 미소 [+치료사례 포함] 관련 이미지 16](https://pub-9f2bb3498faf4d1d8714b41df24753e3.r2.dev/content/clinics/archive/vanitalwc5/naver_blog/nest11561/assets/by_hash/91e56f3a9338de42b622422af4066912e2467b7f4ae2e8cc5bf0195e2562826a.jpg)
저희 병원이라서가 아니라 너무 맘에 들어요!
옥니라미네이트 세팅까지 완료된 치료 후의 모습입니다.
치료 후 안으로 들어가 보였던 옥니의 형태가 개선됐고,
그로 인해 꺼져있던 윗입술도 볼륨감이 형성되었는데요.
![옥니라미네이트, 달라진 미소 [+치료사례 포함] 관련 이미지 17](https://pub-9f2bb3498faf4d1d8714b41df24753e3.r2.dev/content/clinics/archive/vanitalwc5/naver_blog/nest11561/assets/by_hash/f4ca87668cb763442f36dd6b53dc45909376db02cd49a63df64f0c5f0c1c5260.jpg)
![옥니라미네이트, 달라진 미소 [+치료사례 포함] 관련 이미지 18](https://pub-9f2bb3498faf4d1d8714b41df24753e3.r2.dev/content/clinics/archive/vanitalwc5/naver_blog/nest11561/assets/by_hash/5080137b1940183e37d8bcd99109a8dfc8a5bc26196dbbdf7366b852c62eb39f.jpg)
치료 전후 사진입니다.
확연히 다른 느낌이 느껴지시나요?
또한 밝은 치아를 원하셨기 때문에
두 단계 밝아진 W2 색상으로 자연스럽게 진행함으로써
색상에 대한 만족도도 높으셨습니다.
본원의 프로세스를 믿고 하길 잘한 것 같다며
너무 좋아해 주시는 모습에 더 뿌듯했는데요.
실장님도 저도 가장 기억이 남는 하루였던 것 같습니다.
![옥니라미네이트, 달라진 미소 [+치료사례 포함] 관련 이미지 19](https://pub-9f2bb3498faf4d1d8714b41df24753e3.r2.dev/content/clinics/archive/vanitalwc5/naver_blog/nest11561/assets/by_hash/a0dd07b593cf1e6aa40f63cfb287b5e17b1490785196339dc50d144d1ec0260e.jpg)
당신의 미소, 오래도록 건강하고 아름답게 유지될 수 있도록 메이크치과가 함께합니다.
오늘은 옥니라미네이트에 대해 알아보고,
사례를 통해 차별화된 시술 과정을 설명해 드려 보았는데요.
치료 직후 심미성은 좋을 수 있지만,
어떻게 다듬느냐에 따라 추후 치아 보존 수명이 좌우될 수 있습니다.
따라서 메이크치과의원에서는 오늘 설명해 드린 사례와 같이
정밀 진단 프로세스를 통해 필요한 만큼의 삭제량을 보여드리며,
3D 프린터로 출력된 시술 가이드 장치를 장착하여 시술 오차를 줄입니다.
이를 토대로 고객의 만족 뿐 아니라 안정적인 진료를 실시하며,
과도한 삭제로 인해 나타날 수 있는 통증이나 시린 증상도 예방할 수 있죠.
![옥니라미네이트, 달라진 미소 [+치료사례 포함] 관련 이미지 20](https://pub-9f2bb3498faf4d1d8714b41df24753e3.r2.dev/content/clinics/archive/vanitalwc5/naver_blog/nest11561/assets/by_hash/237ca9e30ce241e6a5d420971600ab946282703626fd11393781e6294e1a7419.jpg)
오래도록 건강하고 아름답게, 메이크치과는 라미네이트의 수명까지 생각합니다.
본원을 무조건 찾아달라는 말이 아닙니다.
이 글을 통해 무분별하게 진행하는 곳이 아닌,
정확한 진단과 계획을 통해
필요한 만큼만 다듬어 진행하는 곳을 찾아보셨으면 하는 바람입니다.
혹시나 마음에 드는 곳을 찾지 못하셨다면, 지금 문의하셔도 좋습니다.
정확한 진단을 통해 치아 삭제량을 줄이고 세심하게 진료해 드릴 것을 약속합니다.
지금까지 메이크치과의원 대표원장 안영석이었습니다.
감사합니다.
![옥니라미네이트, 달라진 미소 [+치료사례 포함] 관련 이미지 21](https://pub-9f2bb3498faf4d1d8714b41df24753e3.r2.dev/content/clinics/archive/vanitalwc5/naver_blog/nest11561/assets/by_hash/f0cb98811cd7b4a8897d5ab6a6c25a01850cf929e1c74554a99b50e65d406901.jpg)
![옥니라미네이트, 달라진 미소 [+치료사례 포함] 관련 이미지 22](https://pub-9f2bb3498faf4d1d8714b41df24753e3.r2.dev/content/clinics/archive/vanitalwc5/naver_blog/nest11561/assets/by_hash/c10ce94112664388a605d23198c532aff80bde7d7202bba7a45774e85e28ab5b.jpg)
![옥니라미네이트, 달라진 미소 [+치료사례 포함] 관련 이미지 23](https://pub-9f2bb3498faf4d1d8714b41df24753e3.r2.dev/content/clinics/archive/vanitalwc5/naver_blog/nest11561/assets/by_hash/595ecd56c5aaa72ba662be168d759a4c335eea4ca34e72bed6c1fe136be1c797.jpg)
![옥니라미네이트, 달라진 미소 [+치료사례 포함] 관련 이미지 24](https://pub-9f2bb3498faf4d1d8714b41df24753e3.r2.dev/content/clinics/archive/vanitalwc5/naver_blog/nest11561/assets/by_hash/fdc8ab42a759f6f558e793514018bcddef0289853e36c67b6b90fcdcdfa62b72.jpg)
![옥니라미네이트, 달라진 미소 [+치료사례 포함] 관련 이미지 25](https://pub-9f2bb3498faf4d1d8714b41df24753e3.r2.dev/content/clinics/archive/vanitalwc5/naver_blog/nest11561/assets/by_hash/a53cc0982fb0a6225c399fce1649fff49dfee48837645b851f89e54fab772e00.jpg)
![옥니라미네이트, 달라진 미소 [+치료사례 포함] 관련 이미지 26](https://pub-9f2bb3498faf4d1d8714b41df24753e3.r2.dev/content/clinics/archive/vanitalwc5/naver_blog/nest11561/assets/by_hash/f7db26211b81ff5d01ee76739d243943889325d459880425c8d040ae4131e86d.jpg)
![옥니라미네이트, 달라진 미소 [+치료사례 포함] 관련 이미지 27](https://pub-9f2bb3498faf4d1d8714b41df24753e3.r2.dev/content/clinics/archive/vanitalwc5/naver_blog/nest11561/assets/by_hash/2d78494b3e11a0f851e7193a086dfad98f0a10d948aaae29ccb6fa359d1fef23.jpg)
![옥니라미네이트, 달라진 미소 [+치료사례 포함] 관련 이미지 28](https://pub-9f2bb3498faf4d1d8714b41df24753e3.r2.dev/content/clinics/archive/vanitalwc5/naver_blog/nest11561/assets/by_hash/320395fccf4e5547fdb6a428fe2f40202071827e4567aff7e4b6cf863e5e8cfd.jpg)
![옥니라미네이트, 달라진 미소 [+치료사례 포함] 관련 이미지 29](https://pub-9f2bb3498faf4d1d8714b41df24753e3.r2.dev/content/clinics/archive/vanitalwc5/naver_blog/nest11561/assets/by_hash/d00719981c8e18524d9cff185934c3dbb5af997ed6ff178f354f73cd2b80559a.jpg)
![옥니라미네이트, 달라진 미소 [+치료사례 포함] 관련 이미지 30](https://pub-9f2bb3498faf4d1d8714b41df24753e3.r2.dev/content/clinics/archive/vanitalwc5/naver_blog/nest11561/assets/by_hash/64fc0f6447f04034fd4d4399cefed810b8b3a89869ca95725ed1db25c265af73.jpg)
![옥니라미네이트, 달라진 미소 [+치료사례 포함] 관련 이미지 31](https://pub-9f2bb3498faf4d1d8714b41df24753e3.r2.dev/content/clinics/archive/vanitalwc5/naver_blog/nest11561/assets/by_hash/a75d36809bbc3059aad6085aecf4bdc0b5879b06a4daca84582192befd2cec99.jpg)
![옥니라미네이트, 달라진 미소 [+치료사례 포함] 관련 이미지 32](https://pub-9f2bb3498faf4d1d8714b41df24753e3.r2.dev/content/clinics/archive/vanitalwc5/naver_blog/nest11561/assets/by_hash/81e2544d08b8b31ad123c3277255a897e3347d9b2f5d9bb587624d48b64b16ba.jpg)
![옥니라미네이트, 달라진 미소 [+치료사례 포함] 관련 이미지 33](https://pub-9f2bb3498faf4d1d8714b41df24753e3.r2.dev/content/clinics/archive/vanitalwc5/naver_blog/nest11561/assets/by_hash/e8b8a13e7925af1c0d4ed4ca4a6d6d63e3bb07117f2d4c095de8cf1317068ef7.jpg)
![옥니라미네이트, 달라진 미소 [+치료사례 포함] 관련 이미지 34](https://pub-9f2bb3498faf4d1d8714b41df24753e3.r2.dev/content/clinics/archive/vanitalwc5/naver_blog/nest11561/assets/by_hash/d2d1379363ad0d6b78565ceb71b987dd25fb55d24466838ffc881b9422bd9273.jpg)