아카이브 요약
이 페이지의 역할
메이크치과의원의 네이버 블로그 원문을 보존한 아카이브 페이지입니다. 라미네이트 카테고리의 블랙트라이앵글 라미네이트로 완벽한 치아 틈메우기 [ +치료사례 포함] 글을 통해 병원의 한국어 정보 제공 방식과 진료 관련 안내 톤을 확인할 수 있습니다.
원문 검증
필요하면 원문 블로그와 병원 프로필로 바로 이동해 문맥을 다시 확인할 수 있습니다.
출처 아카이브 열기아카이브된 블로그 글
메이크치과의원 · 메이크치과의원ㅣ라미네이트,심미치료에 진심인 치과
안녕하세요. 아름다운 미소를 만들어드리는 메이크치과의원 대표원장 안영석입니다. 가지런하고 예쁜 이를 위해 오랜 기간 동안 참고 교정한 건데, 잇몸 사이에 까맣게 보여서 너무 신경이 쓰여요! 치아 틈메우기 가능할까요? 교정 전 겹쳐 있던 치아가 가지런하게 이동하면서 사이로 틈이 생기거나 잇몸이 내려가면...
게시일
2025년 4월 7일
원문 기준으로 확인된 발행일입니다.
카테고리
라미네이트
원문 블로그 카테고리를 정리해 함께 표시합니다.
이미지 수
32
현재 아카이브에 연결된 이미지 수입니다.
아카이브 요약
메이크치과의원의 네이버 블로그 원문을 보존한 아카이브 페이지입니다. 라미네이트 카테고리의 블랙트라이앵글 라미네이트로 완벽한 치아 틈메우기 [ +치료사례 포함] 글을 통해 병원의 한국어 정보 제공 방식과 진료 관련 안내 톤을 확인할 수 있습니다.
원문 검증
필요하면 원문 블로그와 병원 프로필로 바로 이동해 문맥을 다시 확인할 수 있습니다.
출처 아카이브 열기![블랙트라이앵글 라미네이트로 완벽한 치아 틈메우기 [ +치료사례 포함] 관련 이미지 1](https://pub-9f2bb3498faf4d1d8714b41df24753e3.r2.dev/content/clinics/archive/vanitalwc5/naver_blog/nest11561/assets/by_hash/3efb44d33a40ad6824eb0756be37ca3ac70008db5e8d948815d64398d35f56d5.png)
안녕하세요. 아름다운 미소를 만들어드리는
메이크치과의원 대표원장 안영석입니다.
가지런하고 예쁜 이를 위해
오랜 기간 동안 참고 교정한 건데,
잇몸 사이에 까맣게 보여서
너무 신경이 쓰여요!
치아 틈메우기 가능할까요?
교정 전 겹쳐 있던 치아가 가지런하게 이동하면서
사이로 틈이 생기거나
잇몸이 내려가면서 사이에
삼각형 형태의 공간이 생기는 경우가 있습니다.
이것은 노화나 잇몸병 등에 의해 잇몸뼈가 줄어들어
발생하는 경우가 대부분인데, 교정 후 관리가 되지 않거나
양치할 때 세게 닦는 습관에 의해서도 종종 발생하기도 합니다.
그뿐만 아니라, 잇몸 질환이 심하여
잇몸 사이의 뼈가 소실되면서 사이가 비어서 까만 공간이 보이기도 하는데요.
이에 따라 웃거나 말할 때 매우 눈에 띄며,
공간 사이로 음식물이 끼기 쉬워
충치나 잇몸병 발생 위험이 높아질 수 있죠.
이렇게 치아 틈메우기의 가장 효과적인 치료법은
바로 '블랙트라이앵글 라미네이트' 인데요.
![블랙트라이앵글 라미네이트로 완벽한 치아 틈메우기 [ +치료사례 포함] 관련 이미지 2](https://pub-9f2bb3498faf4d1d8714b41df24753e3.r2.dev/content/clinics/archive/vanitalwc5/naver_blog/nest11561/assets/by_hash/6a49451d08d175c8988113c9b3bc0a6da9bf5dda1b07b26c45b84d641f348907.jpg)
메이크치과는 과정을 중시합니다. 정밀한 진단과 디자인이 완벽한 결과를 만듭니다.
짧은 치료 기간 안에 벌어진 틈을 개선해 줌으로써
심미적인 고민을 해소해 줄 수 있기 때문에
요즘 특히나 선호도가 매우 높은 편입니다.
하지만 블랙트라이앵글 라미네이트 치료 전
꼭 생각해야 할 핵심이 있다는 것을 알고 계시나요?
그것은 바로 '삭제량'
불필요하게 많은 범위를 삭제하게 된다면
매우 시리거나 신경치료를 해야 하는 상황이 생길 수 있기 때문에
상담 시 꼭 짚고 넘어가야 할 부분인데요.
이러한 핵심은 어떻게 알아낼 수 있는지
오늘 사례 글을 통해 설명해 드릴 테니,
해당 진료에 관심이 있으시다면 끝까지 읽어보시길 바랍니다.
🔻라미네이트 재시술 치료 사례 보러 가기!🔻
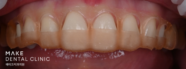
![블랙트라이앵글 라미네이트로 완벽한 치아 틈메우기 [ +치료사례 포함] 관련 이미지 3](https://pub-9f2bb3498faf4d1d8714b41df24753e3.r2.dev/content/clinics/archive/vanitalwc5/naver_blog/nest11561/assets/by_hash/e77f60395f619725cf70786999c3d66e6cd6da2c70215de4009d5ec481a3c8fc.jpg)
시술 전(24.9.26)
해당 사진은 환자분의 동의를 얻어 기재하였으며,
개인에 따라 부작용이 발생할 수 있으므로
담당 의료진과 상담 후 진료를 진행하시길 바랍니다.
먼저 처음 내원하셨을 때의 사진입니다.
이분은 불규칙한 치아가 콤플렉스라 이를 해소하기 위해
오랜 시간 동안 교정을 진행했는데요.
앞니 사이에 크게 공간이 생기면서
또 다른 콤플렉스가 생겼다고 말씀하셨습니다.
아무래도 직장인이다 보니 시간을 잘 내질 못해
매달 치과로 와야 하는 교정 치료를 다시 하는 것은 피하고 싶다고 하셨죠.
그래서 알아보던 중, 본원의 진단 프로세스를 보시곤
블랙트라이앵글 라미네이트 문의를 위해 내원해 주셨는데요.
![블랙트라이앵글 라미네이트로 완벽한 치아 틈메우기 [ +치료사례 포함] 관련 이미지 4](https://pub-9f2bb3498faf4d1d8714b41df24753e3.r2.dev/content/clinics/archive/vanitalwc5/naver_blog/nest11561/assets/by_hash/2257cbb2ec4b50e53dd7b2c472669379e746f59241b1173b81d40cf5889c659c.jpg)
3D 스마일 프리뷰 기술
치아 삭제량을 실제로 3D 프리뷰로 계측하여 보여드리는
'스마일 프리뷰 시스템'을 통해 삭제량을 미리 계산할 뿐 아니라,
그 결괏값으로 만든 가이드로 진료를 진행함으로써
필요한 만큼만 다듬는 부분이 맘에 들어 본원을 내원하게 되었다고 하셨습니다.
배열을 위한 교정력으로 인해 치료 후
이가 전에 비해 매우 시리기도 하고 약해진 느낌이 들어,
최대한 자극이 덜 가는 방법을 선호하셨기 때문이었죠.
이처럼 삭제량에 따라 보존적인 예후에 많은 영향을 끼치게 되는데요.
그래서 저희 메이크치과의원은
이번에도 미리 수치를 계산하여 가이드를 만들었습니다.
![블랙트라이앵글 라미네이트로 완벽한 치아 틈메우기 [ +치료사례 포함] 관련 이미지 5](https://pub-9f2bb3498faf4d1d8714b41df24753e3.r2.dev/content/clinics/archive/vanitalwc5/naver_blog/nest11561/assets/by_hash/756e4198c4dd4fcf119f98ba65f0100dddbfd99c75e5e7b14cce8fbd9ecd28a9.jpg)
먼저 오른쪽 첫 번째 치아의 앞니 전반부는 0.641mm
![블랙트라이앵글 라미네이트로 완벽한 치아 틈메우기 [ +치료사례 포함] 관련 이미지 6](https://pub-9f2bb3498faf4d1d8714b41df24753e3.r2.dev/content/clinics/archive/vanitalwc5/naver_blog/nest11561/assets/by_hash/5a4d4c1510fd434f2c3913e453068e88c4c0696960754ac4438a713612028c46.jpg)
세 번째 송곳니 부위는 0.596mm
![블랙트라이앵글 라미네이트로 완벽한 치아 틈메우기 [ +치료사례 포함] 관련 이미지 7](https://pub-9f2bb3498faf4d1d8714b41df24753e3.r2.dev/content/clinics/archive/vanitalwc5/naver_blog/nest11561/assets/by_hash/08bc0bb1b0cb15666236e7ad0a41b557f9b71745f21869171abc9843cde852be.jpg)
왼쪽 첫 번째 앞니 뒤쪽은 0.386mm
![블랙트라이앵글 라미네이트로 완벽한 치아 틈메우기 [ +치료사례 포함] 관련 이미지 8](https://pub-9f2bb3498faf4d1d8714b41df24753e3.r2.dev/content/clinics/archive/vanitalwc5/naver_blog/nest11561/assets/by_hash/0b095f34371a79d4d3ac6e349fe5933d3c16f4b4e0d5173ba0ff004fc945c2c4.jpg)
![블랙트라이앵글 라미네이트로 완벽한 치아 틈메우기 [ +치료사례 포함] 관련 이미지 9](https://pub-9f2bb3498faf4d1d8714b41df24753e3.r2.dev/content/clinics/archive/vanitalwc5/naver_blog/nest11561/assets/by_hash/b9c9d3ff70812257534d94d4bf27e4bb92c0694215f7e7b1cac5a65c8a1f5f52.jpg)
두 번째 뒤쪽과 세 번째 중간은
각각 0.481mm, 0.300mm로 성형량을 측정하여 설정하였습니다.
다시 설명해 드리자면,
전체적인 배열은 자연스러운 아치 형태로 제작하기 위해
전체 #14-23까지 총 7개를 진행하며,
#11, 13, 21, 22, 23은 최소 삭제,
#12, 14는 무삭제로 진행하도록 계획을 세웠습니다.
![블랙트라이앵글 라미네이트로 완벽한 치아 틈메우기 [ +치료사례 포함] 관련 이미지 10](https://pub-9f2bb3498faf4d1d8714b41df24753e3.r2.dev/content/clinics/archive/vanitalwc5/naver_blog/nest11561/assets/by_hash/af78473b04be5712641396171586b322624a1e0a352587d0d2d2a6825e4d128c.jpg)
그리고 #14는 기존 보철치료를 한 상태에서
잇몸이 내려와 교체를 원하셨고,
#13은 치아가 파절이 되었으며,
#23도 절단면 쪽으로 마모가 심해서 개선을 원하셨습니다.
![블랙트라이앵글 라미네이트로 완벽한 치아 틈메우기 [ +치료사례 포함] 관련 이미지 11](https://pub-9f2bb3498faf4d1d8714b41df24753e3.r2.dev/content/clinics/archive/vanitalwc5/naver_blog/nest11561/assets/by_hash/8ed964f268eaa8b7892cb0536b66c5d2f3f70ce1c3bbfb1ed4475080f992ee49.jpg)
또한 밝은 치아를 원하셔서 기존 색상인 A1에 비해
두 단계 밝은 W3로 설정하였습니다.
![블랙트라이앵글 라미네이트로 완벽한 치아 틈메우기 [ +치료사례 포함] 관련 이미지 12](https://pub-9f2bb3498faf4d1d8714b41df24753e3.r2.dev/content/clinics/archive/vanitalwc5/naver_blog/nest11561/assets/by_hash/e88b81c81338c78cacb16153285d86b58929b736f7e8c69d1df776a70e093268.jpg)
잇몸 성형 가이드 장착 (24.9.26)
해당 사진은 환자분의 동의를 얻어 기재하였으며,
개인에 따라 부작용이 발생할 수 있으므로
담당 의료진과 상담 후 진료를 진행하시길 바랍니다.
이러한 정밀 측정으로 만든 가이드를 장착하였으며,
자연스러운 보철 형태를 위해 잇몸 성형 및 치아 다듬는 과정을 진행하였습니다.
![블랙트라이앵글 라미네이트로 완벽한 치아 틈메우기 [ +치료사례 포함] 관련 이미지 13](https://pub-9f2bb3498faf4d1d8714b41df24753e3.r2.dev/content/clinics/archive/vanitalwc5/naver_blog/nest11561/assets/by_hash/501288ba0ed0d9e005820aa79ebdfd117f85e962d10fd5b81ed181e81cf0bee4.jpg)
잇몸 성형 직후(24.10.7)
해당 사진은 환자분의 동의를 얻어 기재하였으며,
개인에 따라 부작용이 발생할 수 있으므로
담당 의료진과 상담 후 진료를 진행하시길 바랍니다.
잇몸성형과 함께 삭제 직후의 사진입니다.
가이드를 이용하여 진행했기 때문에
세심한 부분까지 정밀하게 진행할 수 있었는데요.
이렇게 굳이 이러한 번거로운 과정을 거치는 이유는
위 사진처럼 환자분들의 니즈를 더 세심하게 충족시켜 드리기 위해서입니다.
가이드는 블랙트라이앵글 라미네이트를
정확한 위치에 장착할 수 있도록 도울 수 있는데요.
이에 따라 불필요한 실수나 오차를 줄일 수 있으며,
치아의 자연스러운 모양과 맞춤형으로 디자인할 수 있습니다.
또한 보철물 장착 후 교합을 정확하게 조정할 수 있어
치아의 기능성만 아니라 미적인 결과로도 우수하죠.
![블랙트라이앵글 라미네이트로 완벽한 치아 틈메우기 [ +치료사례 포함] 관련 이미지 14](https://pub-9f2bb3498faf4d1d8714b41df24753e3.r2.dev/content/clinics/archive/vanitalwc5/naver_blog/nest11561/assets/by_hash/ee264e92f5628f33df015be8bcad00f7f63f412b8a118f64d43d26a3263bdd57.jpg)
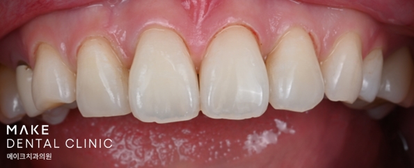
시술 직후(24.10.7)
해당 사진은 환자분의 동의를 얻어 기재하였으며,
개인에 따라 부작용이 발생할 수 있으므로
담당 의료진과 상담 후 진료를 진행하시길 바랍니다.
마음껏 활짝
웃을 수 있겠어요!
블랙트라이앵글 라미네이트 보철 세팅이 완료된 치료 후 사진입니다.
치아 틈메우기만 아니라 파절과 마모 등
전반적으로 개선 사항들이 많아서 큰 기대를 안 하셨는데
생각보다 너무 잘 된 거 같다고 좋아해 주셨습니다.
게다가 짧은 기간 안에 이렇게 많은 변화를 느껴본 건
처음이라며 놀라워하셨는데요.
![블랙트라이앵글 라미네이트로 완벽한 치아 틈메우기 [ +치료사례 포함] 관련 이미지 15](https://pub-9f2bb3498faf4d1d8714b41df24753e3.r2.dev/content/clinics/archive/vanitalwc5/naver_blog/nest11561/assets/by_hash/d9ce7d783ec6dd76451d334ac30ce892c396d34b3420166f8a8acee50f6bce37.jpg)
시술 직후(24.10.7)
해당 사진은 환자분의 동의를 얻어 기재하였으며,
개인에 따라 부작용이 발생할 수 있으므로
담당 의료진과 상담 후 진료를 진행하시길 바랍니다.
환자분의 니즈를 최대한 충족시켜 드리기 위해
당연히 해야 할 일을 했을 뿐인데 이렇게 좋은 말씀을 해 주셔서
아름다운 미소를 만들어 드리고 싶다는
저의 철학이 맞아 들어간 거 같아 큰 보람을 느꼈습니다.
![블랙트라이앵글 라미네이트로 완벽한 치아 틈메우기 [ +치료사례 포함] 관련 이미지 16](https://pub-9f2bb3498faf4d1d8714b41df24753e3.r2.dev/content/clinics/archive/vanitalwc5/naver_blog/nest11561/assets/by_hash/8fe007ecf8dc8b890e9708895c361bdfadfab11873091e7410d88c151f31ac01.jpg)
시술 전(24.9.26)/ 후(24.10.7)
해당 사진은 환자분의 동의를 얻어 기재하였으며,
개인에 따라 부작용이 발생할 수 있으므로
담당 의료진과 상담 후 진료를 진행하시길 바랍니다.
시술 전, 후 사진을 통해 확연한 차이를 느끼실 겁니다.
오늘은 치아 틈메우기를 위한
블랙트라이앵글 라미네이트 진료를 받기 전
꼭 알아야 할 핵심에 대해 사례를 통해 설명해 드렸는데요.
앞서 말씀드렸다시피 필요한 만큼의 삭제량을
설정하기 위해서는 꼼꼼한 진단 과정이 필수입니다.
이는 치아를 최대한 보존하면서도 자연스러운 결과를 얻을 수 있으며,
환자마다 치아 형태와 상태가 다르기 때문에
치아가 크기, 위치, 색상, 교합 등 정확한 진단을 실시하여
보철물이 치아에 잘 맞을 수 있도록 해야 하죠.
만일 삭제량이 적절하지 않으면
교합이나 심미적인 만족도가 떨어질 수 있으며
불편함이 발생할 수도 있습니다.
따라서 의료진의 실력과 더불어
환자분의 니즈에 맞춰
정확하고 세심한 계획을 수립할 수 있어야 합니다.
![블랙트라이앵글 라미네이트로 완벽한 치아 틈메우기 [ +치료사례 포함] 관련 이미지 17](https://pub-9f2bb3498faf4d1d8714b41df24753e3.r2.dev/content/clinics/archive/vanitalwc5/naver_blog/nest11561/assets/by_hash/51f48a3bbbfa7e5e455d0fb9f4cd7bdacb1f4d2cfdc58a0e4b47a6a996282c8d.jpg)
저희 메이크치과의원은 정밀 진단 프로세스의 프리뷰 영상을 통해
미리 형태를 디자인하고 3D 이미지로 완료 후의 모습도
시뮬레이션 영상으로 보여드리며
오랜 시간을 할애하여 꼼꼼한 상담을 진행하고 있습니다.
이 말은 본원을 자랑하는 것이 아닙니다.
위 설명을 통해 정확하고 세심하게 진단하고 상담하는 곳에서
만족도 높은 진료를 받으셨으면 하는 저의 바람입니다.
![블랙트라이앵글 라미네이트로 완벽한 치아 틈메우기 [ +치료사례 포함] 관련 이미지 18](https://pub-9f2bb3498faf4d1d8714b41df24753e3.r2.dev/content/clinics/archive/vanitalwc5/naver_blog/nest11561/assets/by_hash/66c19fd3d07de85a405371e8b3a6beb1a4f966e5cb3699f0e4939e718db92f9e.jpg)
치료 전후 비교 사진, 말뿐이 아닌 결과로 보여주는 메이크치과의 자신감입니다.
혹시나 본원의 진료 과정이 마음에 드셨거나
문의 사항이 생기셨다면 편하게 연락해 주셔도 좋습니다.
정확한 진단과 상세한 설명을 기반으로
한 상담을 진행해 드릴 것을 약속합니다.
긴 글 읽어주셔서 감사합니다.
메이크치과의원 대표원장 안영석이었습니다.
![블랙트라이앵글 라미네이트로 완벽한 치아 틈메우기 [ +치료사례 포함] 관련 이미지 19](https://pub-9f2bb3498faf4d1d8714b41df24753e3.r2.dev/content/clinics/archive/vanitalwc5/naver_blog/nest11561/assets/by_hash/be1ee9e3746eeb0909867a759b7d5a7f51b1fba6b31cba5ae3ddb04576ce1956.png)
![블랙트라이앵글 라미네이트로 완벽한 치아 틈메우기 [ +치료사례 포함] 관련 이미지 20](https://pub-9f2bb3498faf4d1d8714b41df24753e3.r2.dev/content/clinics/archive/vanitalwc5/naver_blog/nest11561/assets/by_hash/c10ce94112664388a605d23198c532aff80bde7d7202bba7a45774e85e28ab5b.jpg)
![블랙트라이앵글 라미네이트로 완벽한 치아 틈메우기 [ +치료사례 포함] 관련 이미지 21](https://pub-9f2bb3498faf4d1d8714b41df24753e3.r2.dev/content/clinics/archive/vanitalwc5/naver_blog/nest11561/assets/by_hash/caf04e727a1df95a8e690e92d1fef3868b0727ffc35dc46e07852c975be28989.jpg)
![블랙트라이앵글 라미네이트로 완벽한 치아 틈메우기 [ +치료사례 포함] 관련 이미지 22](https://pub-9f2bb3498faf4d1d8714b41df24753e3.r2.dev/content/clinics/archive/vanitalwc5/naver_blog/nest11561/assets/by_hash/f97e50c830d4e8a618b22057c12ca50ccee2157876de5e085955e400ea4488bb.jpg)
![블랙트라이앵글 라미네이트로 완벽한 치아 틈메우기 [ +치료사례 포함] 관련 이미지 23](https://pub-9f2bb3498faf4d1d8714b41df24753e3.r2.dev/content/clinics/archive/vanitalwc5/naver_blog/nest11561/assets/by_hash/53bdb10a2f6dbe28adb9634cc17893f81845c978fc874ad822210119d7d2c06b.jpg)
![블랙트라이앵글 라미네이트로 완벽한 치아 틈메우기 [ +치료사례 포함] 관련 이미지 24](https://pub-9f2bb3498faf4d1d8714b41df24753e3.r2.dev/content/clinics/archive/vanitalwc5/naver_blog/nest11561/assets/by_hash/e07f6c4a553ac2edc68a1c90ae51e07497816828748fcf0f6ac461a63c8ec1ee.jpg)
![블랙트라이앵글 라미네이트로 완벽한 치아 틈메우기 [ +치료사례 포함] 관련 이미지 25](https://pub-9f2bb3498faf4d1d8714b41df24753e3.r2.dev/content/clinics/archive/vanitalwc5/naver_blog/nest11561/assets/by_hash/ad82aab3ed2ba9e809a02b537780ea9f1b1d8649c0850bc9e98bcb40ac8de365.jpg)
![블랙트라이앵글 라미네이트로 완벽한 치아 틈메우기 [ +치료사례 포함] 관련 이미지 26](https://pub-9f2bb3498faf4d1d8714b41df24753e3.r2.dev/content/clinics/archive/vanitalwc5/naver_blog/nest11561/assets/by_hash/f1f34f95f82bd9847ef7a816d20e60e62abec6dcb61d8ed5b4660140199b3f0b.jpg)
![블랙트라이앵글 라미네이트로 완벽한 치아 틈메우기 [ +치료사례 포함] 관련 이미지 27](https://pub-9f2bb3498faf4d1d8714b41df24753e3.r2.dev/content/clinics/archive/vanitalwc5/naver_blog/nest11561/assets/by_hash/34347d587fd8eaafc492ed6af8d63b34e554528d4e341a0cf561135c308b6e20.jpg)
![블랙트라이앵글 라미네이트로 완벽한 치아 틈메우기 [ +치료사례 포함] 관련 이미지 28](https://pub-9f2bb3498faf4d1d8714b41df24753e3.r2.dev/content/clinics/archive/vanitalwc5/naver_blog/nest11561/assets/by_hash/dd3d78ce3b002cbeb37a60e91d85e9736560bde0d6271b01d2a9e59f08fb48eb.jpg)
![블랙트라이앵글 라미네이트로 완벽한 치아 틈메우기 [ +치료사례 포함] 관련 이미지 29](https://pub-9f2bb3498faf4d1d8714b41df24753e3.r2.dev/content/clinics/archive/vanitalwc5/naver_blog/nest11561/assets/by_hash/329355b4412281a1121b931ed92aefd2b836de90982aa784a098e30fb20f37bd.jpg)
![블랙트라이앵글 라미네이트로 완벽한 치아 틈메우기 [ +치료사례 포함] 관련 이미지 30](https://pub-9f2bb3498faf4d1d8714b41df24753e3.r2.dev/content/clinics/archive/vanitalwc5/naver_blog/nest11561/assets/by_hash/af113d6fe3584678f8448605ff7dda5daf4a2f646c231dd9cf1496fc49556c64.jpg)
![블랙트라이앵글 라미네이트로 완벽한 치아 틈메우기 [ +치료사례 포함] 관련 이미지 31](https://pub-9f2bb3498faf4d1d8714b41df24753e3.r2.dev/content/clinics/archive/vanitalwc5/naver_blog/nest11561/assets/by_hash/68f5b3cb5cda02fc467f9fef6b68457818c80da9c76a169b871c734f1aad64ec.jpg)
![블랙트라이앵글 라미네이트로 완벽한 치아 틈메우기 [ +치료사례 포함] 관련 이미지 32](https://pub-9f2bb3498faf4d1d8714b41df24753e3.r2.dev/content/clinics/archive/vanitalwc5/naver_blog/nest11561/assets/by_hash/12c2f8ec7c417842249ad67ccf9da77cc4965c2f145671e055b27eeb0b17985a.jpg)