아카이브 요약
이 페이지의 역할
이편한세상치과의원-화곡점의 네이버 블로그 원문을 보존한 아카이브 페이지입니다. 사랑니 발치 카테고리의 화곡역사랑니 신경 손상 가능성 있어도 대학병원 안 가도 되는 진짜 이유 글을 통해 병원의 한국어 정보 제공 방식과 진료 관련 안내 톤을 확인할 수 있습니다.
원문 검증
필요하면 원문 블로그와 병원 프로필로 바로 이동해 문맥을 다시 확인할 수 있습니다.
출처 아카이브 열기아카이브된 블로그 글
이편한세상치과의원-화곡점 · 강서구 이편한세상치과의원 화곡&강서점
안녕하세요. 이편한세상치과입니다. 사랑니 때문에 치과를 찾았다가 “신경이랑 너무 가까워서 대학병원 가셔야겠어요.” 이 말을 듣고 돌아가신 분들 정말 많으실 거예요. 물론 실제로 대학병원에서 다루는 고난도 케이스도 있습니다. 하지만 모든 신경 근접 사랑니가 대학병원에 가서 뽑아야 하는 건 아니다!라고 알려드리고 싶은...
게시일
2025년 11월 5일
원문 기준으로 확인된 발행일입니다.
카테고리
사랑니 발치
원문 블로그 카테고리를 정리해 함께 표시합니다.
이미지 수
9
현재 아카이브에 연결된 이미지 수입니다.
아카이브 요약
이편한세상치과의원-화곡점의 네이버 블로그 원문을 보존한 아카이브 페이지입니다. 사랑니 발치 카테고리의 화곡역사랑니 신경 손상 가능성 있어도 대학병원 안 가도 되는 진짜 이유 글을 통해 병원의 한국어 정보 제공 방식과 진료 관련 안내 톤을 확인할 수 있습니다.
원문 검증
필요하면 원문 블로그와 병원 프로필로 바로 이동해 문맥을 다시 확인할 수 있습니다.
출처 아카이브 열기안녕하세요. 이편한세상치과입니다.
사랑니 때문에 치과를 찾았다가
“신경이랑 너무 가까워서 대학병원 가셔야겠어요.”
이 말을 듣고 돌아가신 분들 정말 많으실 거예요.
물론 실제로 대학병원에서 다루는 고난도 케이스도 있습니다.
하지만 모든 신경 근접 사랑니가
대학병원에 가서 뽑아야 하는 건 아니다!라고 알려드리고 싶은데요.
중요한 건 위험 여부가 아니라
그 상황을 얼마나 정확히 진단하고, 안전하게 접근할 수 있느냐입니다.

저희는 매복 깊이, 신경관과의 거리, 발치 각도까지
정밀 검진을 통해 사전에 충분히 분석하고 준비합니다.
그래서 신경이 가까운 케이스라도
환자가 불안하지 않게 안전하게 진행할 수 있습니다.
빠른 이해를 위해 실제로 저희가 발치를 도와드렸던
환자분의 사진을 함께 보며 설명드리도록 하겠습니다.
부분 매복 사랑니, 그냥 두면 안 되는 이유
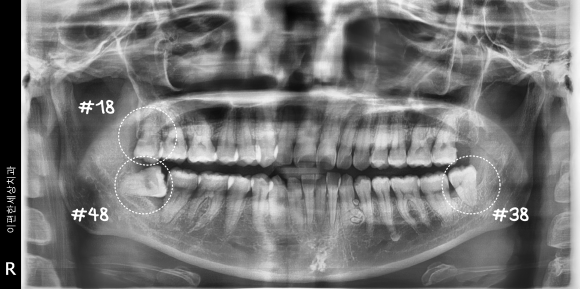
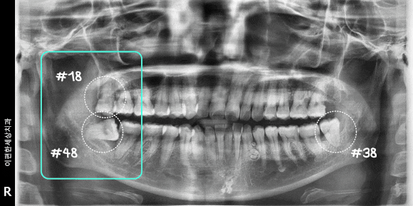
화곡역사랑니

촬영일 : 240610
처음 오셨을 때 촬영한 사진입니다.
사진을 보면 위쪽 사랑니 1개, 아래쪽 사랑니 2개
총 3개가 자라 있는 것을 확인할 수 있는데요.

촬영일 : 240610
불편함을 느끼고 계신 오른쪽을 살펴보니
48번의 경우 옆으로 누워 부분 매복 되어 있는 까다로운 상태였습니다.

촬영일 : 240610
부분 매복은 사랑니의 일부가 잇몸 밖으로 노출된 상태를 말합니다.
겉보기엔 별문제 없어 보여도 그 좁은 틈으로
음식물 찌꺼기와 세균이 쌓이면서
잇몸 염증이나 입 냄새, 옆 치아 충치가 생기기 쉽습니다.
특히, 사랑니가 앞쪽 어금니를 밀고 있는 형태라면 그 압력 때문에
치아가 틀어지고 심하면 앞 치아 교합에도 영향을 줄 수 있으며,
뒤쪽 면 충치를 유발할 수도 있죠.

촬영일 : 240610
이번 환자분도 그런 케이스였습니다.
오른쪽 아래 사랑니(#48)가 잇몸 속에 절반쯤 묻혀 있었고
뿌리 방향이 신경관과 거의 닿아 있었는데요.
이 상태를 오래 두면 앞 치아를 밀면서
치근 흡수가 일어날 수 있기 때문에 즉시 발치가 필요했습니다.
신경관과 뿌리가 가까우면 분할 발치로
화곡역사랑니
신경관과 가까운 사랑니를 보면 많은 분들이
“이거 뽑다가 신경 다치면 마비 올 수도 있나요?”라고 물으십니다.
실제로 신경이 아주 근접해 있으면 주의가 필요한 건 맞지만
신경과 가까운 것 자체가 문제는 아닙니다.
진짜 위험한 건 그 신경의 위치를
예측하지 못하고 접근하는 경우죠.
화곡역사랑니

촬영일 : 240610
이번 케이스에서도 오른쪽 아래 사랑니는
뿌리가 신경관을 따라 휘어 들어간 형태였지만
신경의 깊이와 방향을 미리 파악하고
각도와 분할 순서를 세밀하게 계획했습니다.

분할 발치 과정
치관(윗부분)과 치근(뿌리)을 나누어 한 번에 힘을 주지 않고
작은 단위로 분할 제거하기로 했는데요.
이렇게 하면 신경 손상을 피하면서 통증과 회복 부담을 줄일 수 있습니다.
결국 중요한 건 ‘가까운 거리’가 아니라 ‘예상 가능한 거리’,
그리고 그걸 안전하게 다룰 수 있는 '의료진의 실력'입니다.
대학병원 가지 않고도
안전하게 발치할 수 있는 이유
화곡역사랑니
신경이 가까운 사랑니를 안전하게 발치하려면
단순히 기술 하나로 되는 게 아닙니다.
정확한 진단, 안정된 환경, 그리고 숙련된 기술이 필수입니다.
저희는 발치 전 CT 촬영을 통해
신경관과 치근의 위치, 뼈의 두께, 절개 범위를 세밀히 확인하는데요.

무통마취 시스템
그 정보를 바탕으로 분할 발치 계획을 세우고
사랑니 발치 센터에서 통증 완화 시스템(무통마취)을
동반하여 진행합니다.
이런 준비가 되어 있기에
신경관과 가까운 사랑니라도 대학병원 의뢰 없이
안전하게 발치를 진행할 수 있습니다.
화곡역사랑니
결국 차이를 만드는 건 장비가 아니라 경험입니다.
‘뽑느냐 마느냐’의 문제가 아닙니다.
어떤 상태에서, 어떤 방식으로, 누가 뽑느냐가 훨씬 중요합니다.
이번처럼 부분 매복이면서 신경관과 가까운 경우는
조금의 방향 차이, 힘의 크기, 절개 범위에 따라 결과가 달라질 수 있습니다.
그래서 저희는 대학병원 가야 한다보다
“어떻게 하면 안전하게 할 수 있을까”를 먼저 고민합니다.
정확한 진단, 계획된 접근, 숙련된 기술
이 세 가지가 갖춰졌다면
충분히 안전하게 발치를 진행할 수 있습니다.
다음엔 어떻게 발치를 도와드렸는지 이어서 설명드리겠습니다.
감사합니다.

*환자분의 동의를 받아 올리는 사진이며 동일 조건에서 촬영되었습니다.
*해당 치료는 출혈, 감염 등 부작용이 따를 수 있습니다.
*치료 전 사진만 사용하였습니다.