스마일스튜디오치과의원
누런이빨 라미네이트 보완 효과, 미백과 차이점
누런이빨 라미네이트 보완 효과, 미백과 차이점 누런이빨 때문에 본인도 모르게 입을 가리거나 미소를 짓는 것도 피하시는 분들이 많습니다. 깨끗하고 하얀 치아는 단정하고 건강한 이미지를 줄 수 있는데요. 누렇게 변색된 영구치는 적지 않은 스트레스, 심지어 콤플렉스까지 유발하기도 합니다. 이런 고민을 해결하기 위...
아카이브 요약
이 페이지의 역할
스마일스튜디오치과의원의 네이버 블로그 원문을 보존한 아카이브 페이지입니다. 라미네이트 카테고리의 누런이빨 라미네이트 보완 효과, 미백과 차이점 글을 통해 병원의 한국어 정보 제공 방식과 진료 관련 안내 톤을 확인할 수 있습니다.

누런이빨 때문에 본인도 모르게 입을 가리거나 미소를 짓는 것도 피하시는 분들이 많습니다.
깨끗하고 하얀 치아는 단정하고 건강한 이미지를 줄 수 있는데요.

누렇게 변색된 영구치는 적지 않은 스트레스, 심지어 콤플렉스까지 유발하기도 합니다.
이런 고민을 해결하기 위해 미백이나 라미네이트 시술을 고려합니다.
그중 라미네이트는 변색된 치아를 얼마나 효과적으로 개선할 수 있는지, 미백과의 차이점은 무엇인지 알아보려고 합니다.
변색의 주범은 누구일까요?
본인도 모르게 점차 누렇게 변해가는 치아, 그 원인은 생각보다 다양한 편입니다.
그리고 크게 선천적, 후천적인 요인으로 나눌 수 있습니다.
- 선천적인 요인
태어날 때부터 치아의 색이 다른 사람들과 비교했을 때 어둡거나 노란 경우가 있는데요.

이는 유전적인 영향일 가능성도 있고, 영구치가 형성되는 시기에 어떠한 문제를 겪었을 수 있습니다.
- 후천적인 요인
먼저 평상시에 쉽게 접하고 섭취하는 커피나 차, 콜라, 와인, 초콜릿과 같이 색소가 진한 음식들이 있는데요.

치아의 표면의 미세한 구멍으로 침투하여 착색을 유발할 수 있습니다.
그리고 담배에 함유된 니코틴과 타르 성분도 변색시키는 대표적인 원인이기도 합니다.
나이가 들면서 바깥층인 법랑질이 점차 마모되고 안쪽의 상아질이 비쳐 보이는 문제로 발생할 수 있습니다.
이외에 다양한 원인으로 인해 영구치는 본래 밝고 깨끗한 색을 잃게 될 수 있습니다.
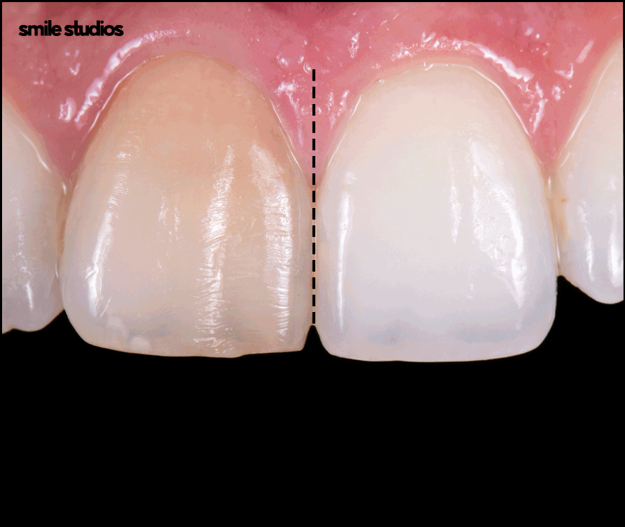
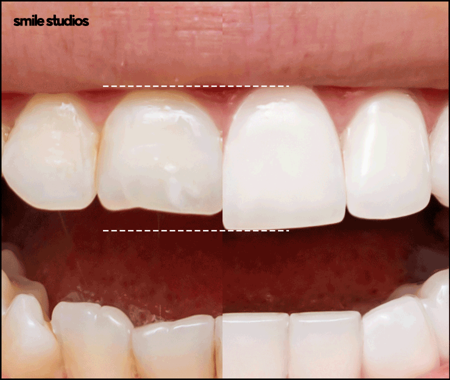
라미네이트로 보완이 될까요?
이 시술은 얇은 손톱 모양의 세라믹 보철물을 개개인의 치아의 맞게 정교하게 제작한 뒤 부착하는 심미 치료입니다.
큰 장점 중 하나는 기존의 색이 아무리 어둡다고 하더라도 밝고 깨끗한 색의 이빨을 구현할 수 있다라는 점인데요.

선천적인 이유로 인해 누런 분들부터 미백의 효과를 얻지 못한 분들도 이상적인 색을 연출할 수 있죠.
그리고 많은 분들이 이 시술을 떠올릴 때 인위적으로 만든 영구치의 모습을 상상하는 편인데요.
이 시술은 주변치의 세부적인 특징까지 세심하게 고려하여 본래 이빨인 것처럼 자연스러움을 재현해냅니다.

또한 색은 물론 미세한 얼룩부터 손상, 가벼운 마모, 왜소치 및 모양 이상 등 심미적인 문제까지 한 번에 개선할 수 있습니다.
이를 통해 완성도 높고 아름다운 미소를 만들어낼 수 있기에 보완 효과를 기대할 수 있습니다.
미백 시술과의 차이점은?
누런이빨을 개선하는 방법으로 미백 시술을 떠올리시는 분들도 많으실 것 같은데요.
두 방법 모두 영구치를 밝게 만든다라는 공통점을 가지고 있지만 원리나 효과 적용 대상까지 차이가 있습니다.

이 과정은 특수 약제를 이용하여 착색을 유발하는 물질을 분해 자체의 색을 밝게 만드는 방식입니다.
주로 색상의 개선에 집중하며, 모양이나 형태의 변화는 어렵다고 할 수 있죠.
라미네이트처럼 팁을 부착하기 위해 다듬거나 삭제하는 과정이 존재하지 않는다라는 것도 다른 점입니다.
그러나 효과가 영구적이지 많으며 식, 생활 습관에 따라서 다시 변색될 수 있습니다.
이런 상황이라면 라미네이트가 좋습니다.
단순히 색만 바꾸고 싶다면 미백이 좋은 선택이 될 수 있습니다.
그러나 누런이빨이 너무 심해 시술로는 해결이 어려운 경우에도 선택할 수 있습니다.

다음으로 모양이나 배열, 손상 및 마모된 부분까지 개선하고 싶은 경우에도 좋은 방법이기도 합니다.
만약 시간이 부족하고 즉각적인 결과를 얻으면서 오래 지속되고 싶은 분들도 권장 드릴 수 있습니다.

중요한 것은 어떤 시술이 더 좋다라고 말씀드리기보다는 개개인에 따라 적절한 방법을 결정하는 것입니다.
자신감 있는 미소를 되찾으세요.
누런이빨때문에 자신감 하락은 물론 콤플렉스까지 가지고 있다면 혼자만의 고민으로 담겨두지 않으셔도 됩니다.

의료진과의 상담을 통해 현재 본인에게 맞는 방법을 찾아보고 개선을 시작해 보시기 바랍니다.
누렇던 색은 물론이고 모양까지 달라지는 치아를 만날 수 있을 것입니다.


더 보기
이 병원의 공개 콘텐츠를 계속 살펴보세요
출처 아카이브로 돌아가 더 많은 글을 보거나, 병원 프로필로 이동해 다른 공개 채널도 함께 비교해보세요.