아카이브 요약
이 페이지의 역할
스마일스튜디오치과의원의 네이버 블로그 원문을 보존한 아카이브 페이지입니다. 라미네이트 카테고리의 라미네이트 재시술 필요한 케이스, 주의사항 정리 글을 통해 병원의 한국어 정보 제공 방식과 진료 관련 안내 톤을 확인할 수 있습니다.
원문 검증
필요하면 원문 블로그와 병원 프로필로 바로 이동해 문맥을 다시 확인할 수 있습니다.
출처 아카이브 열기아카이브된 블로그 글
스마일스튜디오치과의원 · Naver Blog
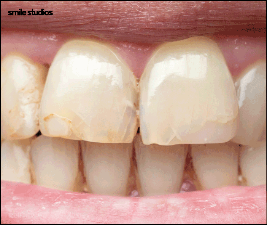
라미네이트 재시술 필요한 케이스, 주의사항 정리 완벽한 미소를 위해 라미네이트를 받으시는 분들이 많습니다. 그러나 시간이 지나면서 재시술이 필요한 상황을 겪게 되는 경우가 생기기도 하는데요. 이러한 경우 처음 받을 때와는 다른 고민과 걱정이 생기게 됩니다. 그렇다면 어떠한 경우에 받게 되는지, 그리고 그 과...
게시일
2025년 6월 17일
원문 기준으로 확인된 발행일입니다.
카테고리
라미네이트
원문 블로그 카테고리를 정리해 함께 표시합니다.
이미지 수
10
현재 아카이브에 연결된 이미지 수입니다.
아카이브 요약
스마일스튜디오치과의원의 네이버 블로그 원문을 보존한 아카이브 페이지입니다. 라미네이트 카테고리의 라미네이트 재시술 필요한 케이스, 주의사항 정리 글을 통해 병원의 한국어 정보 제공 방식과 진료 관련 안내 톤을 확인할 수 있습니다.
원문 검증
필요하면 원문 블로그와 병원 프로필로 바로 이동해 문맥을 다시 확인할 수 있습니다.
출처 아카이브 열기
완벽한 미소를 위해 라미네이트를 받으시는 분들이 많습니다.
그러나 시간이 지나면서 재시술이 필요한 상황을 겪게 되는 경우가 생기기도 하는데요.

이러한 경우 처음 받을 때와는 다른 고민과 걱정이 생기게 됩니다.
그렇다면 어떠한 경우에 받게 되는지, 그리고 그 과정에서 주의해야 할 점은 무엇인지 궁금하신 분들이 많으실 것 같습니다.
이번에는 바로 라미네이트 재시술에 대한 이야기를 해보려고 합니다.
필요한 대표적인 케이스
음식을 먹다가 치아가 잘못 맞물리거나 갑작스러운 충격으로 금이 가거나 혹은 깨지는 경우가 있는데요.
견과류, 얼음 등 단단한 음식물을 앞니로 직접 깨물고 씹는 습관 등은 파절의 주요 원인이 됩니다.
이런 습관으로 인해 문제가 생겼다면 즉시 내원하여 상태를 확인하는 것이 중요합니다.
작은 균열이라도 방치하게 되면 시간이 지나 더 큰 손상으로 이어질 가능성이 높기 때문입니다.
부착된 치아에서 보철물이 떨어지는 경우도 주요 케이스 중 하나입니다.

초기 과정에서 접착이 제대로 이루어지지 않았거나 시간이 지나 접착제와의 결합력이 약해진 경우에 발생합니다.
그리고 지속적인 교합력, 이갈이, 악물기 등의 습관으로 인해 결합력이 약해지기도 합니다.
치아와 보철물 사이의 경계 부위에 충치가 발생하는 경우도 해당됩니다.

구강 관리를 제대로 하지 않았거나 미세한 틈이 생겨 세균이 침투했을 때 발생하기도 합니다.
이런 문제는 충치 치료와 함께 라미네이트 재시술이 함께 이루어져야 합니다.
시간이 지나면서 가장자리 부위나 접합면에 착색이 생기고, 전체적으로 색상의 변화가 일어나는 경우도 있는데요.
흡연, 과도한 카페인 섭취, 진한 색소의 음식을 지속적으로 섭취하는 등의 습관이 원인이 될 수 있습니다.
진행 과정과 특징
만약 다시 술식을 받아야한다면 중요한 단계는 기존 보철물을 안전하게 제거하는 것입니다.
탈락하지 않도록 접착제로 부착되어 있기에 제거하는 과정에서 손상을 주지 않도록 세심한 주의가 필요합니다.

그리고 특수한 기구를 이용하여 표면을 조심스럽게 갈아내며 제거하게 됩니다.
기존의 보철물만 제거하고 추가적인 치아의 삭제는 피하는 것이 중요합니다.
재시술 시 고려사항
이 과정에서는 충분한 검사와 진단을 통해 기존 술식의 문제점을 정확하게 파악한 뒤 개선하는 것이 필요합니다.
처음과는 다르게 이미 삭제가 이루어진 상태이기에 더욱 정밀한 진단, 계획이 수립되어야 합니다.

그리고 잇몸의 상태, 교합 관계의 변화 또한 같이 고려하는 것이 중요합니다.
그러다보니 처음보다 더욱 개인별 맞춤 접근이 필요하다고 할 수 있는데요.
환자의 생활 습관, 교합 패턴, 구강 위생 관리 등을 종합적으로 고려해 치료 계획을 수립해야 합니다.
관리와 주의사항
다시 술식을 받으셨다면 이후 1~2주간은 특히 주의 깊은 관리가 필요합니다.

너무 단단하거나 끈적이는 음식물은 피하고 앞니로 직접 깨물고 자르는 등의 행동도 자제해야 합니다.
또한 너무 뜨겁거나 차가운 음식에 민감하게 반응할 수 있으므로 적당한 온도의 음식물을 섭취하시기 바랍니다.
보철물의 수명을 연장하기 위해서는 지속적인 관리가 필수인데요.
주기적으로 내원을 하여 검진을 받아 상태를 확인하는 것도 중요합니다.
평상시 올바른 칫솔질과 치실, 치간칫솔의 사용으로 구강 환경을 깨끗하게 관리해야 합니다.
기존에 문제가 되었던 해로운 생활 습관이 있다면 개선하는 것도 필요합니다.
이갈이나 악물기와 같은 습관을 가지고 있다면 개선을 위한 조치를 받는 것이 바람직합니다.

흡연이나 과도한 카페인 섭취 등 변색을 유발하는 행동도 가급적 피하는 것이 좋습니다.
라미네이트 재시술은 처음 과정과는 다른 복잡성, 어려움이 있습니다.
그래도 적절한 진단, 계획 수립, 환자분의 적극적인 관리 의지가 있다면 만족스러운 결과를 얻을 수 있습니다.
무엇보다 다시 술식을 받아야 하는 상황이 발생하지 않도록 신경 써주시기 바랍니다.

