스마일스튜디오치과의원
치경부마모증, 주저앉은 잇몸? 원인과 해결 방법
치경부마모증, 주저앉은 잇몸? 원인과 해결 방법 무더운 날씨가 계속되면 시원한 음료를 자주 찾게 되죠. 그럴 때 유난히 치아가 시큰하거나 전기가 오듯 찌릿한 느낌을 받으신 적 있으신가요? 혹은 거울을 보다 잇몸 가장자리가 움푹 들어간 것처럼 보이거나, 잇몸선이 내려간 듯한 인상을 받았던 경험은요? 이 같은...
아카이브 요약
이 페이지의 역할
스마일스튜디오치과의원의 네이버 블로그 원문을 보존한 아카이브 페이지입니다. 라미네이트 카테고리의 치경부마모증, 주저앉은 잇몸? 원인과 해결 방법 글을 통해 병원의 한국어 정보 제공 방식과 진료 관련 안내 톤을 확인할 수 있습니다.

무더운 날씨가 계속되면 시원한 음료를 자주 찾게 되죠.
그럴 때 유난히 치아가 시큰하거나 전기가 오듯 찌릿한 느낌을 받으신 적 있으신가요?
혹은 거울을 보다 잇몸 가장자리가 움푹 들어간 것처럼 보이거나, 잇몸선이 내려간 듯한 인상을 받았던 경험은요?

이 같은 증상이 반복된다면 나이 탓이라고 넘기기 쉬우나, 치경부마모증이라는 구강 질환일 수 있습니다.
이 증상은 치아의 문제라기보다는 잘못된 칫솔질 습관, 교합 이상, 이갈이 등 다양한 원인으로 인해 경계 부위가 닳아 없어지는 진행성 질환입니다.

시림이나 통증, 심할 경우 치아파절까지 이어질 수 있어 조기 발견과 적절한 관리가 중요합니다.
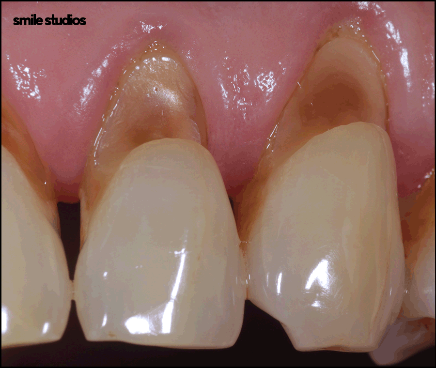
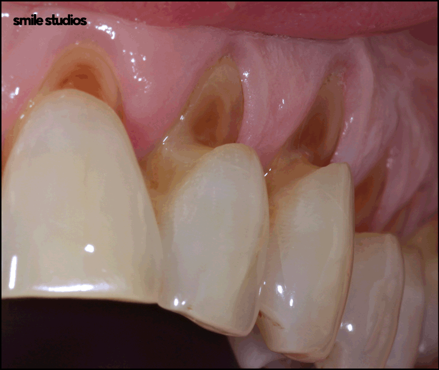
치경부마모증이란?
치경부는 치아와 잇몸이 만나는 경계 부위입니다.

이 부위가 점차 마모되면 V자형이나 U자형으로 패는 현상이 나타나며, 외부 자극에 민감해지게 됩니다.
이 부위는 다른 부위보다 법랑질이 얇고, 내부 상아질과 가깝기 때문에 충격이나 자극에 더 취약합니다.
마모가 진행되면 음식물, 칫솔모, 산성 물질 등에 의한 자극을 그대로 받게 되고, 상아세관이 노출되면서 차가운 물, 단맛, 바람 등에도 예민하게 반응하게 됩니다.
발생 원인
치경부마모증의 주요 발생 원인은 잘못된 양치 습관에 있습니다.

특히 수평 방향으로 강하게 문지르는 방식은 경계 부분에 부담을 주게 됩니다. 이외에도 다음과 같은 요소들도 영향을 미칩니다:
- 강한 칫솔질 습관
거친 칫솔모나 연마제가 많은 치약을 사용하면 손상이 가속화될 수 있습니다.
- 이갈이 및 무의식적 이악물기
지속적인 압력은 치아에 압력을 가하며 이는 잇몸 경계에 변형을 초래할 수 있습니다.
턱관절에 긴장이 생기면 문제가 더 심화될 수 있습니다.
- 교합 이상 및 턱관절 불균형
치아가 바르게 맞물리지 않으면 특정 지점에 반복적으로 힘이 가해져 손상이 빠르게 진행됩니다.
- 산성 환경 노출
탄산음료, 과일, 식초 등에 자주 노출되면 치아 표면이 약해지고, 경계 부위는 더 쉽게 손상됩니다.
손상이 깊어지면 상아질이 노출되고, 그 안에 있는 미세한 관을 통해 외부 자극이 신경까지 전달됩니다.

이에 따라 찬물, 뜨거운 음식, 신맛 등 자극에 예민하게 반응하게 되며, 생활 속 불편으로 이어집니다.
초기에는 간헐적인 시림에 그치지만, 증상이 심해지면 통증이 잦아지고 신경 치료가 필요할 수 있으며, 치아파절 가능성도 높아집니다.
어떻게 관리할까?
치경부마모증은 손상된 부분을 회복시키고, 원인을 차단하는 방식으로 접근하는데, 복합 레진으로 메우거나 라미네이트를 적용합니다.
라미네이트로 진행하는 경우가 많은데, 심미성과 기능을 동시에 회복할 수 있으며, 시림 증상 완화에도 효과적입니다.

만약 손상이 심하거나 균열이 있을 경우에는 라미네이트로도 한계가 있으며, 이때는 신경치료가 병행될 수도 있습니다.
평소 이갈이나 이악물기 습관이 있는 경우, 나이트가드를 착용해 수면 중 압력을 분산시킬 수 있습니다.
기존에 부정교합이나 턱관절 이상이 있는 경우 장기적으로는 교정이 필요할 수 있습니다.

단순히 패인 부위만 치료하기보다는 원인을 함께 개선해야 재발을 줄일 수 있습니다.

예방이 최선
생활 습관만 잘 관리해도 충분히 예방 가능합니다.
- 부드러운 칫솔 사용
단단한 칫솔보다는 미세모 제품으로 자극을 줄이는 것이 좋습니다.
- 올바른 칫솔질
좌우보다 회전법, 위아래 방향으로 닦는 것이 적절합니다.
- 이갈이 관리
의심된다면 전문가의 진단 후 마우스피스를 사용하는 것이 효과적입니다.
- 산성 섭취 후 양치 시점 조절
산성 환경 후엔 바로 닦기보다 30분 후가 좋습니다.
- 정기 검진 필수
6개월 간격으로 상태를 확인하면 초기 이상도 빠르게 발견할 수 있습니다.
마무리하며
치경부마모증은 시각적으로도 확인 가능한 문제지만, 많은 이들이 단순한 시림이나 노화의 일부로 오해하곤 합니다.
그러나 손상이 시작되면 자연 회복은 어렵고, 점점 더 악화될 수 있습니다.

라미네이트를 통해 심미성, 기능적으로 개선할 수 있지만 그보다 중요한 것은 빠른 발견과 적절한 조치입니다.

평소보다 시린 느낌이 자주 든다면, 구강 건강을 위해 신뢰 가능한 치과에서 상담을 받아보시길 권합니다.


더 보기
이 병원의 공개 콘텐츠를 계속 살펴보세요
출처 아카이브로 돌아가 더 많은 글을 보거나, 병원 프로필로 이동해 다른 공개 채널도 함께 비교해보세요.