스마일스튜디오치과의원
라미네이트 변색, 발생하는 이유, 시점, 대처 방법
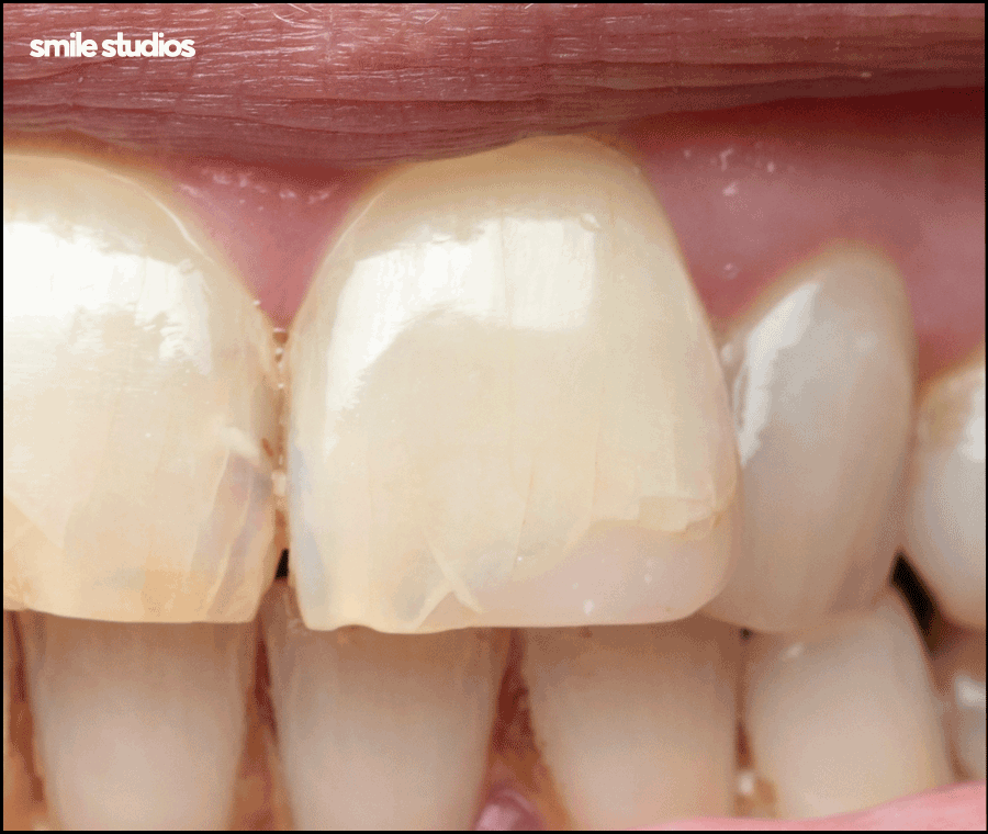
라미네이트 변색, 발생하는 이유, 시점, 대처 방법 라미네이트 시술을 받은 뒤 시간이 지나면서 색상에 변화가 생기는 경우를 종종 경험하게 됩니다. 처음 받은 직후에는 보철물이 하얀색의 색상을 띄는데요. 그런데 점차 어두워지거나 누렇게 변하는 현상을 목격하는 분들도 많습니다. 이러한 색상의 변화는 왜 발생하는...
아카이브 요약
이 페이지의 역할
스마일스튜디오치과의원의 네이버 블로그 원문을 보존한 아카이브 페이지입니다. 라미네이트 카테고리의 라미네이트 변색, 발생하는 이유, 시점, 대처 방법 글을 통해 병원의 한국어 정보 제공 방식과 진료 관련 안내 톤을 확인할 수 있습니다.

라미네이트 시술을 받은 뒤 시간이 지나면서 색상에 변화가 생기는 경우를 종종 경험하게 됩니다.
처음 받은 직후에는 보철물이 하얀색의 색상을 띄는데요.

그런데 점차 어두워지거나 누렇게 변하는 현상을 목격하는 분들도 많습니다.
이러한 색상의 변화는 왜 발생하는 것일까요?
또한 언제쯤 나타나는 것이 일반적이며, 어떻게 대처해야 할지 알아보려고 합니다.
색이 달라지는 주요 원인
- 표면 착색
커피, 녹차, 와인, 콜라 등 진한 색소가 함유된 음식, 음료를 자주 섭취하면 표면에 색소가 축적됩니다.

흡연 역시 니코틴과 타르 성분이 표면에 달라붙어 황갈색으로 변화시키는 주요 원인이 되죠.

이러한 표면 착색은 비교적 서서히 진행되는 편입니다.
- 내부의 변화
시술 과정에서 접착이 완벽하게 이루어지지 않거나 부착제의 선택이 부적절한 경우가 있습니다.
이때 라미네이트와 치아 사이의 미세한 틈으로 음식물 등이 침투할 수 있는데요.
내부에서 세균과 만나 변색을 일으키거나 재료 자체가 화학적 변화를 겪어 색이 달라지기도 합니다.
라미네이트 변색이 나타나는 시기 및 패턴
표면에 색소가 축적되어 착색되는 경우는 시술 후 6개월~1년 사이부터 서서히 나타나기 시작합니다.
특히 해당 음식들을 자주 섭취하거나 흡연을 하는 경우 더 빨리 진행될 수 있죠.

이러한 변화는 점진적이기에 본인도 모르게 익숙해지는 경우가 많습니다.
반면 내부의 변색은 2년 사이에 나타날 수 있으며, 착색보다 더 뚜렷하고 불규칙한 패턴을 보이는데요.
가장자리부터 시작해 중앙으로 번져가거나 특정 부위에만 집중적으로 나타나기도 합니다.
사실 내부에서 발생하는 색의 변화는 미적인 문제로 생각하기 쉽습니다.
그러나 치아 건강의 적신호가 될 수 있는데, 충치를 유발하거나 염증을 일으킬 수 있기 때문입니다.

아무래도 보철물이 영구치의 겉면을 덮고 있어 질환을 발견하기 어려운데요.
이후 색상이 달라진 것을 인지했을 때는 이미 손상이 시작되었을 가능성이 높습니다.
그래서 건강에 문제가 있는 것은 아닌지 의심해 보시는 것도 중요합니다.
색상 변화에 대한 대처 방안
라미네이트 변색이 발생했을 때 대처 방법은 원인과 정도에 따라서 달라집니다.
표면에 착색된 색소가 주 원인이라면 정기적인 스케일링, 미백 등을 통해 어느 정도 개선이 가능합니다.

그리고 특수한 연마제를 사용한 폴리싱으로도 착색 물질을 제거할 수 있습니다.
다만 보철물의 표면을 미세하게 손상시킬 수 있으므로 의료진과 상담 후 신중하게 결정해야 합니다.

만약 내부에 발생한 문제라면 근본적인 해결을 위해 재시술을 고려해야 할 수 있는데요.
기존에 장착된 보철물을 제거하고 새롭게 제작하거나 다시 부착하는 과정이 이루어지기도 합니다.
이때 접착 과정을 더욱 정밀하게 진행하여 재발을 방지하는 것이 중요합니다.
예방이 최선의 선택
가급적이면 라미네이트 변색이 발생하지 않도록 예방하는 것이 중요합니다.

먼저 착색될 수 있는 음식물, 음료를 섭취한 후에는 즉시 물로 입을 헹구거나 칫솔질을 해주셔야 합니다.

커피 및 와인 등은 빨대를 사용하여 라미네이트와의 직접적인 접촉을 최소화하는 것도 도움이 됩니다.
그리고 정기적인 검진을 통해 변화의 증상을 초기에 발견하는 것이 중요한데요.
의료진과의 상담, 진단을 통해 적절한 관리를 받는 것을 권장 드립니다.

또한 6개월마다 정기 검진과 함께 클리닝도 받는다면 착색을 예방하고 수명도 연장할 수 있습니다.
오래 사용하기 위한 방법
일반적으로 라미네이트의 수명은 7~10년 정도로 알려져 있습니다.
그래도 평소의 관리 상태가 좋다면 15년 이상도 충분히 유지할 수 있는데요.

올바른 구강 관리와 습관 개선이 꾸준히 이루어진다면 아름다운 색상을 오랫동안 지속할 수 있을 것입니다.


더 보기
이 병원의 공개 콘텐츠를 계속 살펴보세요
출처 아카이브로 돌아가 더 많은 글을 보거나, 병원 프로필로 이동해 다른 공개 채널도 함께 비교해보세요.