아카이브 요약
이 페이지의 역할
화이트드림치과의원 서울 강남점의 네이버 블로그 원문을 보존한 아카이브 페이지입니다. 진료정보 카테고리의 서울전체임플란트잘하는치과, 왜 치주염이 심해지면 반대교합까지 생길까요? (치주염 전체 임플란트 CASE) 글을 통해 병원의 한국어 정보 제공 방식과 진료 관련 안내 톤을 확인할 수 있습니다.
원문 검증
필요하면 원문 블로그와 병원 프로필로 바로 이동해 문맥을 다시 확인할 수 있습니다.
출처 아카이브 열기아카이브된 블로그 글
화이트드림치과의원 서울 강남점 · 강남화이트드림치과의원
서울전체임플란트잘하는치과, 왜 치주염이 심해지면 반대교합까지 생길까요? (치주염 전체 임플란트 CASE) 안녕하세요. #서울전체임플란트잘하는치과 #서울임플란트 #서울전체임플란트 #임플란트잘하는치과 강남화이트드림치과 입니다. 치아는 단순히 음식을 잘게 부수는 저작 기능만 담당하는...
게시일
2025년 9월 30일
원문 기준으로 확인된 발행일입니다.
카테고리
진료정보
원문 블로그 카테고리를 정리해 함께 표시합니다.
이미지 수
27
현재 아카이브에 연결된 이미지 수입니다.
아카이브 요약
화이트드림치과의원 서울 강남점의 네이버 블로그 원문을 보존한 아카이브 페이지입니다. 진료정보 카테고리의 서울전체임플란트잘하는치과, 왜 치주염이 심해지면 반대교합까지 생길까요? (치주염 전체 임플란트 CASE) 글을 통해 병원의 한국어 정보 제공 방식과 진료 관련 안내 톤을 확인할 수 있습니다.
원문 검증
필요하면 원문 블로그와 병원 프로필로 바로 이동해 문맥을 다시 확인할 수 있습니다.
출처 아카이브 열기
서울전체임플란트잘하는치과, 왜 치주염이 심해지면 반대교합까지 생길까요?
(치주염 전체 임플란트 CASE)
안녕하세요.
#서울전체임플란트잘하는치과 #서울임플란트 #서울전체임플란트
#임플란트잘하는치과 강남화이트드림치과 입니다.
치아는 단순히 음식을 잘게 부수는 저작 기능만
담당하는 것이 아닙니다.
발음을 또렷하게 하고 얼굴의 형태와 심미성을 유지하는 데에도 중요한 역할을 하죠.
특히 옆모습에서는 치아와 이를 지지하는 잇몸뼈가 입술과 볼을 받쳐주며,
하안모의 길이를 유지하는 역할까지 한답니다.
그래서 다수의 치아를 잃으신 분들을 보면
입술이나 볼이 움푹 들어가 보이거나 실제 나이보다 더 늙어 보이는 인상으로 보이는 것을
주위에서 심심찮게 볼 수 있죠.


[동일 인물이며 동일 환경에서 촬영됨 / 서울전체임플란트잘하는치과]
치료 기간 : 24.02.15 - 24.09.10
치아를 상실하게 하는 주원인, 치주염이나 외상으로
다수의 치아가 빠지면, 남은 치아들이 제자리를 잃고 이동하면서
점차 교합이 틀어지게 됩니다.
이런 증상이 심하신 분들은 하악 치아가 상악 치아보다 앞으로 더 튀어나오거나,
상악 치아를 덮어버리는 반대교합까지 발생할 수 있답니다.

오늘은 이렇게 치주염으로
다수의 치아가 망가지고 상실되어 교합이 틀어지신 환자분의
치료 케이스를 하나 소개해 드리려 하는데요.
치주염으로 다수의 치아가 빠지고 마모된 상태여서
현재 남아있는 치아들의 상태도 굉장히 좋지 못한 상태였습니다.


염증으로 잇몸뼈가 심하게 녹아내려
지지가 약해진 치아들이 기울거나 벌어지면서
상/하악 치아들의 맞물리는 관계가 깨지고, 결국 비정상 교합인 반대교합으로
변형이 일어난 상태였죠.

▲ 환자분의 치료 전 X-RAY 사진입니다.
상/하악 치아들이 더 이상 사용이 불가능할 정도로 심한 치아 마모와 손상을
입은 상태이고 하악 롱브릿지로 연결되어 있는 지대치는
심한 치주염으로 광범위한 뼈 흡수가 진행된 것이 확인됩니다.


롱브릿지에 대해 잠깐 언급을 하자면
이 롱브릿지는 일반 브릿지(3-4 unit)보다 더 많은 개수의 치아를 보철로
연결해 놓은 것을 말합니다.


▲ 일반적으로 흔히 치료하는 브릿지 치아 개수
여러 치아를 긴 보철물로 묶어주면
결손 부위를 한 번에 수복할 수 있고 치료 비용이 저렴하다는 장점이 있지만
그만큼 지대치에 가해지는 하중이 커져 장기적인 안정성에는 좋지 않습니다.
게다가 여러 치아의 보철이 하나로 묶여있어 비위생적입니다.
음식물이 보철 하방에 굉장히 잘 끼는데 이 부위는 일반 양치질로는
제대로 닦기가 힘듭니다.

▲ 롱브릿지 치료가 되어 있는 부위가
다른 치아들보다 잇몸 염증이 심하게 나타나고,
주변의 잇몸뼈 파괴도 더 광범위하게 진행된 것을 볼 수 있습니다.
그래서 꼭 치간칫솔, 워터픽, 치실 등의 기구를 이용해
환자분이 신경 써서 관리를 해주셔야 하는데
이렇게까지 관리를 하시는 분들이 거의 없기 때문에
대부분 롱브릿지가 있으신 분들은 심한 2차 충치나 잇몸 질환이 동반된 경우가 많답니다.

▲ 제거한 롱브릿지와 염증 조직들
이런 이유로 환자분은
전악 남은 치아들을 모두 발치한 뒤 임플란트 치료를 진행하게 되었는데요.
하악에 비해 잇몸뼈의 밀도가 낮고 회복 기간이 조금 더 오래 걸리는
상악부터 수술에 들어가게 되었습니다.

상악 → 하악 순으로 총 2번에 걸쳐 전체 임플란트를 식립하였습니다.
상악 발치 & 임플란트 수술, 서울전체임플란트잘하는치과 : 24.02.15

하악 발치 & 임플란트 수술, 서울전체임플란트잘하는치과 : 24.02.22
염증으로 인해 골 소실이 심했던 부위는 피하고,
상대적으로 잇몸뼈가 남아 있는 부위로 임플란트를 식립하였습니다.
이렇게 하면 임플란트의 초기 고정력을 안정적으로 확보할 수 있을 뿐만 아니라,
불필요한 뼈이식을 줄여 환자분의 부담을 덜 수 있는 장점도 있습니다.
또한 수술 부위의 회복이 원활해져 전체 치료 기간을 단축할 수 있다는
장점도 가지고 있죠. ^^
약 4~5개월간의 임플란트와 잇몸뼈 회복 기간을 거치면
식립된 임플란트가 잇몸뼈와 단단히 결합되어
부드러운 음식을 섭취할 수 있을 정도의 고정력을 얻게 됩니다.

그럼 이제 본격적으로
임플란트 위 치아 모양의 보철을 세팅해
잃어버린 저작 기능과 심미성을 회복하는 치료 단계로 넘어가게 된답니다. ^^
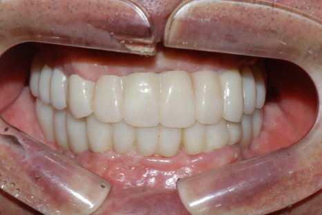
전체 임플란트 상부 보철을 세팅한 뒤 사진입니다.
총 6개월의 치료 기간이 소요되었습니다.
[동일 인물이며 동일 환경에서 촬영됨 / 치료 기간 : 24.02.15 - 24.09.10]




상실된 치아로 인해 입술이나 볼이 꺼져 보였던 모습이 개선되고,
하안모 길이와 얼굴 윤곽이 정상에 가깝게 복원된 것을 확인하실 수 있습니다.^^


[동일 인물이며 동일 환경에서 촬영됨 / 치료 기간 : 24.02.15 - 24.09.10]
게다가 치료 후 상실되었던 치아들이 다시 제 위치로 자리를 잡게 되면서
반대교합도 정상 교합으로 회복되었습니다.


▲ 상악 치아가 하악 치아를 덮는 정상교합 형태 / 서울전체임플란트잘하는치과
전체 임플란트는 단순히 치아 개수만 채우는 것이 아니라
저작 기능과 교합 균형까지 바로잡아
전체적인 구강 건강과 심미성을 함께 치료할 수 있는 방법이랍니다.

전체 임플란트 치료 후 환자분들이 치료 후 가장 크게 느끼는 변화는
바로 자신감의 변화입니다.
음식을 씹을 때마다 느껴지던 불편감이나
치아(또는 틀니)가 빠질까 걱정하던 불안감이 사라지기 때문에
대부분 타인을 대할 때의 자신감도 살아나는 경우가 많답니다. ^^

오늘 알려드린 케이스처럼 치아 상실로 교합이 틀어져 불편함을 겪고 계시다면,
전문의 상담을 통해 정확한 진단과 치료 방법을 확인해 보시기 바라겠습니다.
충분히 건강한 미소와 편안한 식사 시간을 되찾으실 수 있으실 겁니다. ^^
오늘도 긴 글 읽어주셔서 감사합니다.
서울전체임플란트잘하는치과, 강남 화이트드림치과였습니다.
