아카이브 요약
이 페이지의 역할
연세다감치과의원의 네이버 블로그 원문을 보존한 아카이브 페이지입니다. 구강외과 카테고리의 매복과잉치 를 발치할 때 CT 촬영이 필요한 이유? 연세다감치과 의학 정보 전달 글 글을 통해 병원의 한국어 정보 제공 방식과 진료 관련 안내 톤을 확인할 수 있습니다.
원문 검증
필요하면 원문 블로그와 병원 프로필로 바로 이동해 문맥을 다시 확인할 수 있습니다.
출처 아카이브 열기아카이브된 블로그 글
연세다감치과의원 · 치과의사 서호연의 행복한 치아
안녕하세요, 연세다감치과 대표원장 서호연입니다. 올해로 일기는 16년째 쓰고 있지만 블로그는 처음이라 독자 분들께서 예쁘게 봐주시면 감사하겠습니다 :) 앞으로 블로그를 통해 많은 분들께 객관적인 의학정보를 전달하는데 힘써보겠습니다. 고심 끝에 정한 오늘 첫글로 다뤄볼 주제는, '매복 과잉치'입니다. 우선 단어...
게시일
2025년 2월 26일
원문 기준으로 확인된 발행일입니다.
카테고리
구강외과
원문 블로그 카테고리를 정리해 함께 표시합니다.
이미지 수
12
현재 아카이브에 연결된 이미지 수입니다.
아카이브 요약
연세다감치과의원의 네이버 블로그 원문을 보존한 아카이브 페이지입니다. 구강외과 카테고리의 매복과잉치 를 발치할 때 CT 촬영이 필요한 이유? 연세다감치과 의학 정보 전달 글 글을 통해 병원의 한국어 정보 제공 방식과 진료 관련 안내 톤을 확인할 수 있습니다.
원문 검증
필요하면 원문 블로그와 병원 프로필로 바로 이동해 문맥을 다시 확인할 수 있습니다.
출처 아카이브 열기안녕하세요,
연세다감치과 대표원장 서호연입니다.
올해로 일기는 16년째 쓰고 있지만
블로그는 처음이라 독자 분들께서 예쁘게 봐주시면 감사하겠습니다 :)
앞으로 블로그를 통해 많은 분들께
객관적인 의학정보를 전달하는데
힘써보겠습니다.
고심 끝에 정한 오늘 첫글로 다뤄볼 주제는,
'매복 과잉치'입니다.
우선 단어 자체가 생소할 수 있어
정의부터 차근차근 설명드릴게요.
학술적 용어로
'supernumerary tooth' 라 부릅니다.
정해진 정상 개수 외,
추가로 난 치아들을 말하는데요.

출처 구글
정상 개수를 초과하여 형성된 것이다 보니,
자리가 부족한 탓에
보통은 잇몸뼈 속에서
올라오지 못하는 경우가 흔합니다.
이를 '매복 과잉치'라 하죠.
이는 위치가 좋지않아 치열을 흐트러트리거나
주변 인접치의 뿌리를 흡수하는 경우에는
제거해야 되는 경우가 대다수입니다.
예시 사례
아래부터는 이해를 돕기위한
연세다감치과 의 예시 사례입니다.


초진 엑스레이(2023.12.18)
오른쪽 아래 작은 어금니 부위에
매복 과잉치가 존재합니다.
(주로 파노라마에서 먼저 발견됩니다.)
특별한 증상은 없더라도
추후 낭종 발생, 인접치 치근 흡수 등
여러가지 위험 요소를 고려한다면
제거하는 것이 일반적입니다.
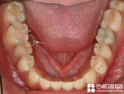
올라오지 못한 채로
설측으로 묻혀있었는데,
여기서 문제는
혀의 감각을 담당하는 설신경(lingual nerve)과
제법 가까운 위치라는 것이었습니다.
※ 사랑니를 뽑을 때도 통상적으로
혀쪽의 잇몸뼈는 가능한 보존하는데,
이 또한 혀쪽의 뼈벽으로
설신경(lingual nerve)이 존재하기 때문입니다.

2023.12.18


2023.12.18
연세다감치과 에서 수술 전
촬영한 CT사진입니다.
2차원 파노라마 뿐만 아니라
3차원 CT를 통해
매복된 정도와 위치를 정확하게 파악한 뒤,
주변 구조물이 손상되지 않도록
조심스럽게 뽑는 것이 중요합니다.
과잉치의 정확한 위치를 찾아낸 뒤
설측으로 잇몸을 절개하여 당일 발치를 마쳤습니다.
이 케이스의 경우 다행히
설신경과 어느정도 거리가 있었습니다만,
통상적으로 설측 매복 과잉치 를 뽑아낼 땐
설신경을 신경쓰며
점막 거상 (retraction) 및
발치를 진행해야됩니다.
그 다음날에는 소독을 진행했습니다.

2023.12.19

소독과 함께 수술 부위를
확인 차 한번 더 촬영한 엑스레이, CT 사진입니다.
별다른 특이사항 없이
잘 치유되고 있는 모습을 볼 수 있습니다.
아래 사진은 술 후 8개월이 지난 시점 에서
촬영한 연세다감치과 구강 사진으로,

2024.08.19
역시나 잇몸이 잘 아문 것을 확인할 수 있습니다.

2024.08.19
*추후 위치 상 관리가 어렵던
오른쪽 위 아래 사랑니(#18,48번)도
함께 뽑았습니다.

▶치료기간 : 2023.12.18~2023.12.28 (당일 / 소독 익일 / 실밥 제거 10일 뒤 )
오늘 보여드린
연세다감치과 발치 케이스처럼
아래 치아를 발치할 때는
주의해야 될 구조물이 몇가지 있습니다.

출처 : https://www.sciencedirect.com/
(ex. 설신경, 하치조 신경관 등)
따라서,
파노라마에서 위치가 좋지 못하다 판단되면
CT 검사를 동반하여 치료계획을
수립하는 것이 중요합니다.
진단이 정밀할수록
발치 방법, 소요 시간, 예견되는 합병증 등을
미리 파악하는데 많은 도움이 됩니다.
오늘 연세다감치과 에서
준비한 정보는 여기까지 입니다.
감사합니다^^