아카이브 요약
이 페이지의 역할
연세다감치과의원의 네이버 블로그 원문을 보존한 아카이브 페이지입니다. 사랑니 발치 카테고리의 교정 중 사랑니 발치 진단 오금동 치과 에서 설측 수평 매복 발치 과정 알려드리겠습니다. 글을 통해 병원의 한국어 정보 제공 방식과 진료 관련 안내 톤을 확인할 수 있습니다.
원문 검증
필요하면 원문 블로그와 병원 프로필로 바로 이동해 문맥을 다시 확인할 수 있습니다.
출처 아카이브 열기아카이브된 블로그 글
연세다감치과의원 · 치과의사 서호연의 행복한 치아
안녕하세요. 오금동 연세다감 치과 입니다. 혹시 교정 중에 사랑니를 빼야 된다는 진단을 받으셨나요? 빼고 싶지 않았으나 배열하는 과정에서 발치가 필요한 상황이 찾아오곤 합니다. 멀쩡한 이를 뺀다는 것이 거부감이 들 수 있습니다. 그러나 공간이 부족하거나, 치아의 이동 또는 맹출을 방해하고 있다면, 이...
게시일
2025년 3월 27일
원문 기준으로 확인된 발행일입니다.
카테고리
사랑니 발치
원문 블로그 카테고리를 정리해 함께 표시합니다.
이미지 수
7
현재 아카이브에 연결된 이미지 수입니다.
아카이브 요약
연세다감치과의원의 네이버 블로그 원문을 보존한 아카이브 페이지입니다. 사랑니 발치 카테고리의 교정 중 사랑니 발치 진단 오금동 치과 에서 설측 수평 매복 발치 과정 알려드리겠습니다. 글을 통해 병원의 한국어 정보 제공 방식과 진료 관련 안내 톤을 확인할 수 있습니다.
원문 검증
필요하면 원문 블로그와 병원 프로필로 바로 이동해 문맥을 다시 확인할 수 있습니다.
출처 아카이브 열기안녕하세요.
오금동 연세다감 치과 입니다.
혹시 교정 중에 사랑니를 빼야 된다는
진단을 받으셨나요?
빼고 싶지 않았으나 배열하는 과정에서
발치가 필요한 상황이
찾아오곤 합니다.
멀쩡한 이를 뺀다는 것이
거부감이 들 수 있습니다.
그러나 공간이 부족하거나,
치아의 이동 또는 맹출을
방해하고 있다면,
이를 빼는 치료가 중요한
역할을 하기도 합니다.

오금동 치과 에서 촬영한
파노라마 사진을 보면,
사랑니 4개가 모두
존재하고 있습니다.
해당 케이스는 교정 치료를 받을
예정이었는데요.
교정은 단순히 배열만
맞추는 것이 아니라,
기능적인 교합과 안정적인
치열 구조를 만드는 것이
목적입니다.
비발치 교정을 원하는 경우
치아를 뒤쪽으로 밀어서
공간을 만들곤 합니다.
그런데 사랑니가 있다면
치료에 방해가 되기 때문에,
이것을 해결하기 위해
맹출 되지 않았더라도
모두 빼는 케이스도 있습니다.
오금동 치과 에서는 교정 시작 전
하악 사랑니 2개를 먼저
빼는 것을 계획하였습니다.
매복되어 있는 경우 잇몸과
턱뼈 깊숙이 위치하고 있는
경우가 많기 때문에,
단순한 파노라마 사진만으로는
주변 신경 구조물과의
관계를 명확히 파악하기 어렵습니다.
따라서 CT를 통해 3차원적으로
해부학적 구조물을 정밀하게
분석해야 됩니다.
끝 쪽에 위치하는 치아는
여러 구조물과 겹치거나
밀접한 경우가 많기 때문에,
불필요한 졸개 및 조직 손상을
방지하기 위한 필수 과정이죠.
오금동 치과 에서는 우선 아래 치아부터
진행하기 위해 오른쪽을
먼저 살펴봤습니다.

매복되어 있긴 했으나
조심해야 될 구조물들과
가까운 편도 아니었고,
안정적으로 나올 수 있을 것으로
판단됩니다.

이렇게 큰 어려움 없이
뺄 수 있었으나,
중요한 것은 왼쪽 아래였는데요.

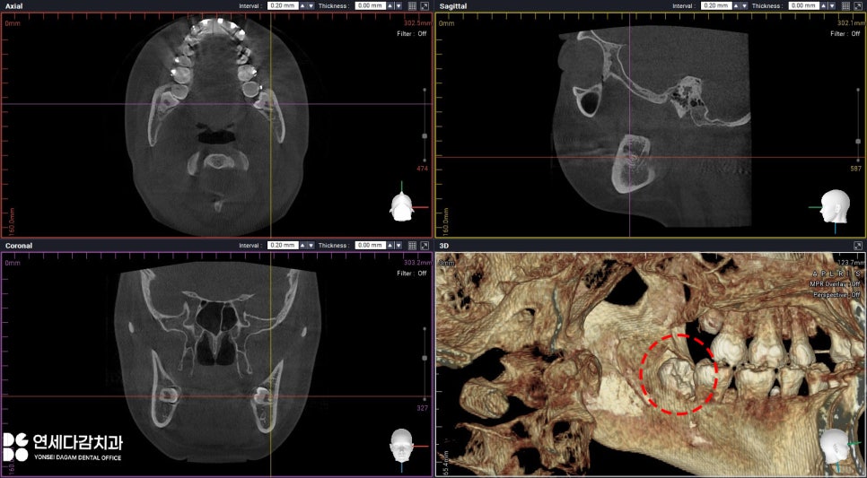
CT를 살펴보면 교합면(치아의 윗면)이
설측으로 수평 매복된 형태였습니다.
설측 점막에는 특히
신경과 혈관이 밀접해 있기 때문에
절개 및 박리 시 주의해야 됩니다.
무리한 접근 시 감각 저하 등의
부작용이 생길 수 있기 때문입니다.
따라서 오금동 치과 에서는
위치를 면밀하게 분석한 뒤
안전한 절개 방법으로 접근하여
섬세한 박리를 통해
조심스럽게 진행했습니다.

그 결과 안정적으로 나올 수 있었고,
두 부위 모두 큰 통증이나
부작용 없이 회복되었습니다.

현재 위턱에 표시된 부위가
정상적으로 맹출 되고 있지 않은 상태로,
현재는 정출 유도 장치를 이용하여
경과를 관찰 중입니다.
정출시키는 과정에서 옆에 있는
사랑니가 물리적으로
방해된다고 판단되면,
필요시 추가 조치를 시행할
예정입니다.
모든 환자에게 이를 빼는 것은
동일한 통증을 주지 않습니다.
이를 빼는 과정이 단순하고
손상을 최소화할수록
수술 부담을 최소화하고
회복을 빠르게 만들 수 있죠.
단순히 이를 뺀다는 개념이 아닌
배열, 구강 건강을 고려하는
복합적인 치료 과정의 일부가 될 수 있습니다.
그러니 무섭고 번거로운 일이라고만
생각하지 마시고,
안전하고 확실한 치료를 위한
접근이라고 생각하시면
좋을 것 같습니다.
적절한 진료를 통해
건강하고 아름다운 미소를
지킬 수 있기를 바랍니다.
여러분의 미소를 지켜드리기 위해
노력하는 오금동 치과 가
되겠습니다.
감사합니다.

치료 : 2023년 8월 11일 ~ 현재 진행 중