아카이브 요약
이 페이지의 역할
연세다감치과의원의 네이버 블로그 원문을 보존한 아카이브 페이지입니다. 자연치아 살리기 카테고리의 치아 발치를 피하기 위한 마지막 수단 MTA 이용한 가락동 치과 치근단 절제술 과정 살펴봅시다. 글을 통해 병원의 한국어 정보 제공 방식과 진료 관련 안내 톤을 확인할 수 있습니다.
원문 검증
필요하면 원문 블로그와 병원 프로필로 바로 이동해 문맥을 다시 확인할 수 있습니다.
출처 아카이브 열기아카이브된 블로그 글
연세다감치과의원 · 치과의사 서호연의 행복한 치아
안녕하세요. 가락동 연세다감 치과 입니다. 치료의 궁극적인 목표는 자연치를 가능한 보존하는 것입니다. 수많은 보존적 술식들이 개발되고 발전해 왔지만, 때로는 일반적인 진료 후에도 문제가 재발하는 경우가 있습니다. 특히 근관치료를 받은 후에 뿌리 끝에 염증이 다시 생기는 경우, 재신경치료를 시도하기도 하지...
게시일
2025년 5월 8일
원문 기준으로 확인된 발행일입니다.
카테고리
자연치아 살리기
원문 블로그 카테고리를 정리해 함께 표시합니다.
이미지 수
10
현재 아카이브에 연결된 이미지 수입니다.
아카이브 요약
연세다감치과의원의 네이버 블로그 원문을 보존한 아카이브 페이지입니다. 자연치아 살리기 카테고리의 치아 발치를 피하기 위한 마지막 수단 MTA 이용한 가락동 치과 치근단 절제술 과정 살펴봅시다. 글을 통해 병원의 한국어 정보 제공 방식과 진료 관련 안내 톤을 확인할 수 있습니다.
원문 검증
필요하면 원문 블로그와 병원 프로필로 바로 이동해 문맥을 다시 확인할 수 있습니다.
출처 아카이브 열기안녕하세요.
가락동 연세다감 치과 입니다.
치료의 궁극적인 목표는
자연치를 가능한 보존하는 것입니다.
수많은 보존적 술식들이
개발되고 발전해 왔지만,
때로는 일반적인 진료 후에도
문제가 재발하는 경우가 있습니다.

특히 근관치료를 받은 후에
뿌리 끝에 염증이
다시 생기는 경우,
재신경치료를 시도하기도 하지만
간혹 불가능한 경우가 있습니다.
그렇다고 이를 빼기에는
아까울 때,
가락동 치과 에서
치아를 살리기 위한 마지막 수단이
있습니다.
바로 치근단 절제술입니다.
치근단 절제술(Apicoectomy)
이란?
치아의 뿌리 끝부분과
그 주변의 감염된 조직을
외과적으로 제거하는 술식입니다.
예를 들어 어떤 상황에
시행하게 될까요?
근관치료 과정에서
포스트라는 기둥을 삽입하여 충전한
포스트 코어(Post Core)까지
완료된 상태에서
문제가 발생할 때가 있습니다.
이런 경우 재치료를 위해
포스트를 제거하는 과정 자체가
치아에 상당한 스트레스를 주게 되고,
심한 경우 파절의 위험까지
있을 수 있습니다.
또한 복잡한 뿌리 구조로 인해
통상적인 근관치료로는
깨끗한 감염 제거가 어려운 경우에도
치근단 절제술이 고려됩니다.
가락동 치과 에서 진행하는
술식 과정을
살펴봅시다.

먼저 정확한 병소 위치를
파악한 후 잇몸을 절개합니다.

특히 앞니의 경우
치은 퇴축이 최소화되는 방향으로
절개선을 디자인하는 것이 중요합니다.

절개 후 치근단 병소가 있는 부위의
시야를 확보합니다.
병소 부위의 육아조직과
감염된 조직을 깨끗이 제거합니다.

감염된 뿌리 부위를 절제한 뒤
끝부분을MTA(Mineral Trioxide Aggregate)와
같은 생체친화적 재료로 역충전합니다.
MTA는 뛰어난 밀폐성과
생체적합성을 가지고 있어,
근관 밀봉에 이상적입니다.
또한 습한 환경에서도 경화가 가능하며,
항균 효과가 있고
주변 조직의 치유를 촉진합니다.
이런 특성 덕분에 MTA는
치근단 절제술뿐만 아니라,
천공 수리, 직접 치수 복조 같은
다양한 진료에 활용되고 있습니다.
이때 골소실이 심했던 경우
가락동 치과 에서는
뼈이식을 병행하기도 합니다.

마무리 단계로 연조직 피판을
제자리에 위치시키고
봉합하여 마무리합니다.
술 후 부종과 통증이 있을 수 있으며
며칠 내에 점차 감소하게 되고,

봉합사는 보통 1주일 후에
풀게 됩니다.
후에는 치은에 흉터가 남을 수 있으나
점차 더 아물면
말끔하게 치유될 수 있습니다.
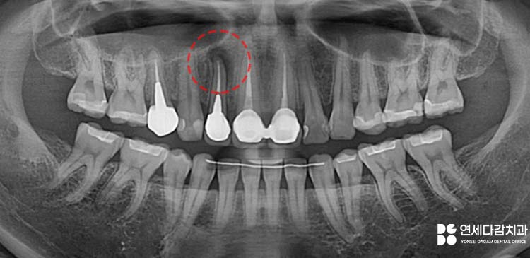
6개월 뒤 정기 검진

6개월 뒤 정기검진을 통해
가락동 치과 에서 파노라마
방사선 사진을 촬영하여 확인한 결과,
치근단 병소가 확연히 줄어든 것을
확인할 수 있었습니다.
치근단 절제술은 일반적으로
의원급에서 위 앞니와 작은 어금니,
그리고 아래 앞니 부위 정도에서
시행되는 경우가 많습니다.
이는 해부학적 접근성과 관련이 있으며,
특히 큰어금니 부위는 접근이 어려워
전문적인 미세 장비와
기술이 필요할 수 있습니다.
가락동 치과 에서 오늘
이 글을 통해 전달드리고자 했던 것은,
근관치료 후
재감염이 발생할 수 있듯이,
치근단 절제술 후에도
100% 치유가 된다는 보장은
없다는 것입니다.
특히 치아에 심하게 금이 가거나
파절된 경우에는
결국 발치가 불가피할 수 있습니다.
그럼에도 불구하고
치근단 절제술은 자연치를
보존하기 위한 소중한 치료 옵션입니다.
이를 빼는 상황까지
오지 않도록 평소에 정기 검진을 통해
구강 상태를 확인하고,
조기에 문제를 발견하여
적절한 치료를 통해
소중한 치아를 보존할 수 있기를 바랍니다.
가락동 연세다감 치과 였습니다.
감사합니다^^

2024.10.04~2025.04.25
