안녕하세요.
송파역 연세다감 치과
서호연 원장입니다.
어느 순간부터 구강 상태가
비정상적으로 문제가 있는 것 같다는
느낌이 들어 검진을 받는 경우가 있습니다.
가벼운 충치나 통증이 있는
그런 정도가 아닌,
출혈이나 심한 구취 및 잇몸이
과하게 붓고 궤양이 보이는 상태가 지속되면
혹시 구강암은 아닐까?
싶은 생각이 문득 들게 되는 것이죠..
구강 암의 특징적인 증상을 살펴보면
지속적인 구취, 구강 점막 출혈,
궤양이나 덩어리 형성 등이 있습니다.
다만
이러한 특징이 나타났다고 해서
꼭 구강 암인 것은 아닙니다.
다른 염증성 치주 질환의
가능성도 있으니,
혹시라도 송파역 치과 에서
앞서 설명드린 증세가 있다면
정확한 검진을 통해 감별해야 됩니다.

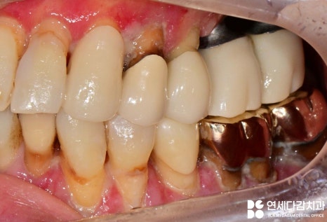
전반적으로 잇몸과 치주가 안 좋은
상태의 경우를 살펴보면
구강 잇몸 전반에 걸쳐 발적, 구취,
출혈이 나타날 때가 있습니다.
잇몸은 손이나 거즈로 만져보면
상피가 쉽게 벗겨지면서
피가 많이 나는 상태이고,


잇몸에서는
노란 고름이 나오는 상황입니다.
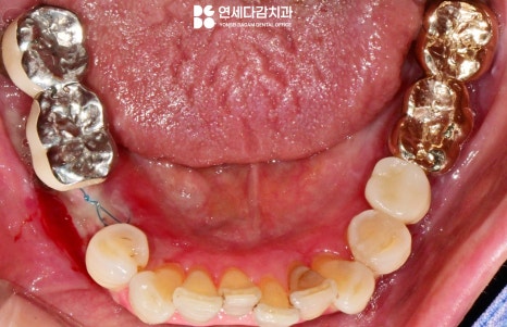
마치 상처가 난 부위의 피부가
얇아져서 쉽게 벗겨지는 것처럼
잇몸의 보호막이 약해진 상태입니다.
이런 경우 대학병원에서 조직 검사를
여러 차례 진행하면서 암 유무,
칸디다 감염 여부를 확인하게 됩니다.
그러나 결과는 암도 캔디다도 아닌
것으로 나오기도 합니다.
그렇다면 이런 특징이
나타난 이유는 뭘까?
이렇게 암도 진균 감염도 아니면서
구강 전반에 걸쳐 잇몸이 약해지고,
상피가 쉽게 벗겨지면서 출혈이
발생하는 경우는
급성 괴사성 궤양성 치은염을
의심해 볼 수 있습니다.
💡
급성 괴사성 궤양성 치은염
송파역 치과 에서는 전문 용어로
ANUG라고도 불리며,
Acute Necrotizing Ulcerative Gingivitis
의 줄임말입니다.
이는 잇몸 조직이 괴사되면서
궤양을 형성하는 급성 염증성 질환입니다.
주요 증상으로는 잇몸의 심한 통증,
자발적인 출혈, 심한 구취,
잇몸 조직의 괴사 등이 있습니다.
특히 잇몸 사이 유두 부위에
궤양이 형성되는 것이 특징입니다.
발생 원인은 복합적입니다.
스트레스, 면역력 저하, 영양 부족,
구강 위생 불량, 흡연 같은 것들이
복합적으로 작용하여 발생합니다.
마치 여러 악조건이 겹쳐
식물이 시들어가는 것처럼
구강 내 환경이 악화되면서
발생하는 질환입니다.
특히 젊은 성인에게서 많이 발생하며
스트레스가 많은 시기나
면역력이 떨어진 상태에서
나타나는 경우가 많으니,
안정을 취하는 것도 중요합니다.
그래도 심각한 질환이 아니기 때문에
초기 치료를 받으면 대부분
호전될 수 있습니다.
단계별 잇몸치료
다만 치료를 하지 않거나 반복 발생하면
치주 조직 손상, 치조골 흡수,
치아 상실까지 이어질 수 있습니다.
따라서 조기 진료가
중요합니다.


치료 과정은 단계적으로 진행됩니다.
먼저 치은 전반에 걸친 염증을
줄여나가기 위해 기본적인 스케일링과
잇몸치료를 진행합니다.
이 과정에서 치석과 플라그를 청소하여
세균의 번식 환경을 차단합니다.
송파역 치과 에서 비유하자면
오염된 환경을 정화하는 것과
비슷한 과정입니다.
잇몸의 상피가 약해지면 감염에
취약해지므로
항생제 처방을 하고
정확한 복용을 지시하는 것이 중요합니다.
따라서 협조도가 중요한
과정이기도 합니다.
잇몸이 특별히 안 좋은 부위는
테트라사이클린 계열 항생제인
미노사이클린 연고 제재를
국소 주입합니다.
주 1회 총 2회를 진행하게 되며
일주일에 한 번씩 구강청결을 관리하기 위해
잇몸치료를
진행하는 것이 도움 됩니다.
송파역 치과 에서는 이런 체계적인
과정을 통해 치유 과정을
살펴보게 됩니다.

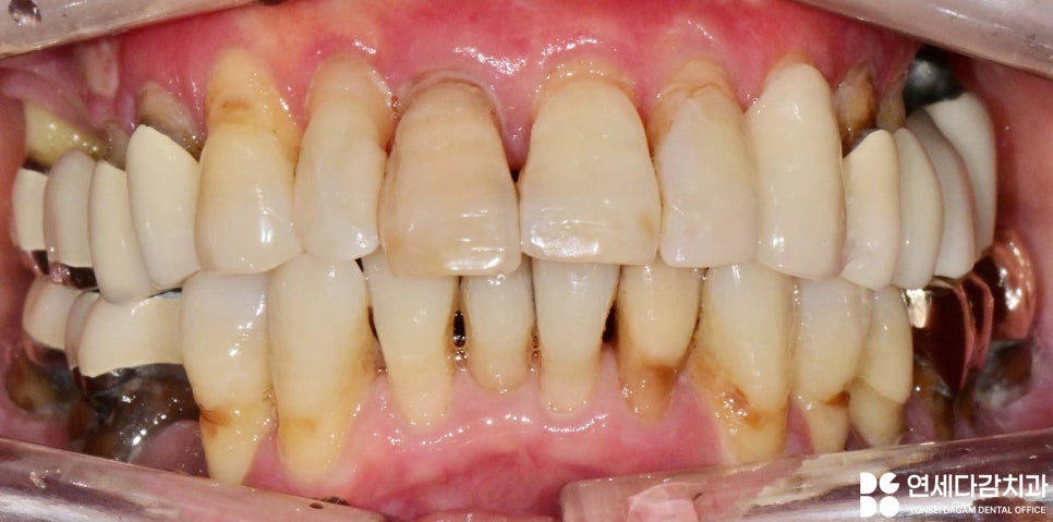
잇몸치료 프로그램이 끝나고
1달 후 체크해 봤을 때
잇몸의 상피가 건강을 되찾고 있는
모습을 보이고 있습니다.
초진과 비교했을 때
붉고 부어있던 모습과 달리
많이 호전된 것을 알 수 있습니다.
이전에는 조금만 뜨겁거나
자극적인 음식을 먹는 것이 불가능했으나,
이러한 불편감이 개선될 수 있게 됩니다.


아직도 잇몸이
여전히 약한 부분이 보이기 때문에,
꾸준히 경과를 관찰하면서
필요에 따라 치주 관리를 계속해야 됩니다.
치유 과정에서는
스트레스 관리, 충분한 영양 섭취,
금연, 평소 올바른 구강 위생 관리도
필요합니다.
정기적인 검진을 통해 상태를
확인하며 꾸준히 추가적으로 필요한
진료를 시행하게 됩니다.
오늘 송파역 치과 에서 알려드린
급성 괴사성 궤양성 치은염(ANUG)은
임상에서 흔히 보이지 않는
생소한 질환이지만 적절한 치료를 받으면
충분히 회복 가능한 질환입니다.
혹여 구강암이더라도
조기 발견 시 완치될 확률이 높으니,
꼭 이상 증후가 있다면
신속히 정확한 검진을 받아보는 것을
권장 드립니다.
평소 면역력 강화를 위해
충분한 수면과 적절한 운동,
비타민 보충 등을 통해
전반적인 건강 상태를 개선 및
유지하며 예방할 수 있기를 바랍니다.
송파역 연세다감 치과 였습니다.
감사합니다.

25.08.15~25.09.25
