아카이브 요약
이 페이지의 역할
연세다감치과의원의 네이버 블로그 원문을 보존한 아카이브 페이지입니다. 보철치료·틀니 카테고리의 거여동 치과 임플란트 틀니 깨졌을 때 오버덴처 overdenture 종류 및 수리 기간 글을 통해 병원의 한국어 정보 제공 방식과 진료 관련 안내 톤을 확인할 수 있습니다.
원문 검증
필요하면 원문 블로그와 병원 프로필로 바로 이동해 문맥을 다시 확인할 수 있습니다.
출처 아카이브 열기아카이브된 블로그 글
연세다감치과의원 · 치과의사 서호연의 행복한 치아
틀니라고 하면 많은 분들이 끼웠다 뺐다 하는 단순한 장치로 생각하시는 경우가 많습니다. 어르신들이 사용하시는 분홍색 플라스틱 틀니를 떠올리며 구조가 단순할 것이라고 짐작하시기도 합니다. 그러나 틀니는 환자분의 잇몸 형태, 남아 있는 치아 상태, 교합 관계 등을 정밀하게 분석하여 제작되는 복잡한 보철물입니다. ...
게시일
2025년 12월 24일
원문 기준으로 확인된 발행일입니다.
카테고리
보철치료·틀니
원문 블로그 카테고리를 정리해 함께 표시합니다.
이미지 수
10
현재 아카이브에 연결된 이미지 수입니다.
아카이브 요약
연세다감치과의원의 네이버 블로그 원문을 보존한 아카이브 페이지입니다. 보철치료·틀니 카테고리의 거여동 치과 임플란트 틀니 깨졌을 때 오버덴처 overdenture 종류 및 수리 기간 글을 통해 병원의 한국어 정보 제공 방식과 진료 관련 안내 톤을 확인할 수 있습니다.
원문 검증
필요하면 원문 블로그와 병원 프로필로 바로 이동해 문맥을 다시 확인할 수 있습니다.
출처 아카이브 열기틀니라고 하면 많은 분들이
끼웠다 뺐다 하는 단순한 장치로
생각하시는 경우가 많습니다.
어르신들이 사용하시는
분홍색 플라스틱 틀니를 떠올리며
구조가 단순할 것이라고
짐작하시기도 합니다.
그러나 틀니는 환자분의 잇몸 형태,
남아 있는 치아 상태, 교합 관계 등을
정밀하게 분석하여 제작되는
복잡한 보철물입니다.
거여동 연세다감 치과 에 내원하시는 분들 중에도
본인이 사용하고 계신 틀니가
어떤 종류인지 정확히 모르시는 경우가
은근 많습니다.
오늘은 틀니의 다양한 종류와
특히 오버덴쳐에 대해 알아보고
틀니 수리는 어떻게 진행되는지
이야기해 보려 합니다.
틀니의 기본적인 분류

틀니는 크게 총의치와 부분의치로
나눌 수 있습니다.
총의치는 한 악궁의 모든 치아가 상실된 경우
전체를 덮는 형태의 틀니입니다.
위턱 전체 또는 아래턱 전체를
하나의 틀니로 수복하게 됩니다.
부분의치는 일부 치아만 상실된 경우
남아 있는 자연치아에 고리를 걸어
유지력을 얻는 형태의 틀니입니다.
이 외에도 임플란트를 활용한 틀니,
특수한 유지 장치를 사용하는 틀니 등
다양한 종류가 존재합니다.
오버덴쳐란 무엇인가

오버덴쳐(Overdenture)라는 용어를
들어보신 적이 있으신가요?
오버덴쳐는 최소한의 개수로
임플란트를 식립한 뒤에,
틀니와 연결할 수 있도록 만들어
지지력을 높인 보철입니다.
일반 틀니가 잇몸 위에
단순히 얹혀 있는 구조라면
오버덴쳐는 고정 장치가 있어
안정적으로 자리를 잡을 수 있죠.
overdenture는
유지 장치의 형태에 따라
여러 종류로 나뉘게 됩니다.
거여동 치과 에서 자주 접하게 되는
대표적인 유형들을 살펴보겠습니다.
✅ 로케이터(locator) 타입.
임플란트 상부에 로케이터라는
똑딱이 단추 같은 장치를 연결하여
틀니가 찰칵 끼워지는 방식입니다.
흔히 '똑딱이 틀니'라고 불리기도 합니다.
✅ 바(bar) 타입입니다.
여러 개의 임플란트를 바 형태의
금속 구조물로 연결하고
그 위에 틀니를 장착하는 방식입니다.
✅ 볼(ball) 타입입니다.
임플란트 상부에 둥근 볼 형태의
어태치먼트를 연결하여
틀니 내면의 소켓과 결합하는 방식입니다.
각 방식마다 장단점이 있으며
환자분의 구강 상태와 선호도에 따라
적합한 유형을 선택하게 됩니다.
틀니는 왜 자주 조정이 필요할까
틀니를 사용하시는 분들 중에는
보철 조정을 위해 자주 방문하시는
경우가 많습니다.
그 이유를 거여동 치과 에서
설명드리자면
틀니가 올라가는 잇몸과 치조골은
시간이 지나면서 조금씩 형태가 변합니다.
치아가 없는 부위의 뼈는
자극을 받지 못해 점차 흡수되고
잇몸 형태도 함께 변화합니다.
처음 제작할 때 꼭 맞았던 틀니가
시간이 지나면서 헐거워지거나
특정 부위가 아프게 느껴지는 것은
이러한 변화 때문입니다.
따라서 거여동 치과 에서도
정기적인 검진을 통해 적합도를 확인하고
필요한 경우 조정을 진행하게 됩니다.

틀니에 문제가 생겨
수리가 필요한 상황이 발생하면
보철물의 특성을 정확히 파악하는 것이
중요합니다.


예를 들어 로케이터 타입의 오버덴쳐,
흔히 똑딱이 틀니라고 불리는 것을
사용 중이라면,
오버덴쳐는 임플란트와 연결되는
특수한 구조를 가지고 있으므로
수리 과정에서 이 부분에는 문제가 없는지
확인하는 과정이 필요합니다.
따라서 어떤 유형의 틀니인지 정확히 알아야
손상 부위와 원인을 파악한 후
적절한 수리 방법을 결정할 수 있답니다.
수리 과정

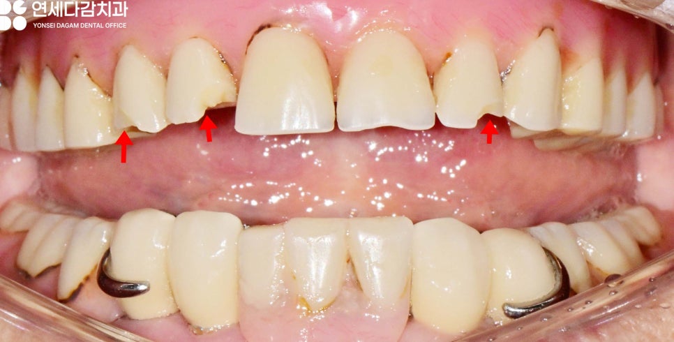
틀니를 오래 사용하다 보면
인공치아 부분이 깨지거나
부러지는 경우가 발생할 수 있습니다.
딱딱한 음식을 먹다가 깨지기도 하고
틀니를 떨어뜨리는 사고로
파손되기도 합니다.
이렇게 인공치아가 손상된 경우
반드시 새 틀니를 제작해야 하는 것은 아닙니다.
손상 정도에 따라
수리를 통해 계속 사용할 수 있습니다.
부러진 틀니는 기공소로 보내
전문적인 수리 과정을 거치게 됩니다.
이를 위해 두 가지
인상채득이 필요합니다.
첫째, 대합치 형태에 대한 인상 채득입니다.
수리할 틀니와 맞물리는 반대편 치아의
형태를 기록해야 됩니다.
둘째, 현재 교합 상태에 대한 인상 채득입니다.
위아래 어금니가 어떻게 물리고 있는지
교합 관계를 정확히 기록해야
수리 후에도 편안한 저작이 가능합니다.
이 과정을 거쳐야
단순히 형태만 복원하는 것이 아니라
기능적으로도 문제없는 수리가 이루어집니다.

틀니 수리는 일반적으로
며칠 내에 완료됩니다.
간단한 수리의 경우
이틀 정도면 충분한 경우도 있죠.
다만 수리 기간 동안
사용하시던 틀니를 기공소로 보내야 되므로
틀니 없이 지내셔야 되는
불편함이 발생합니다.
거여동 치과 에서는 이런 경우
임시 틀니를 미리 제작한 후
수리를 진행하는 방법도 안내해 드립니다.
불편함의 정도를 종합적으로 고려하여
임시 틀니 제작 여부를 결정하시는 것이
바람직합니다.

오늘 내용에서 다룬 틀니는
한 번 제작하면 끝이 아니라
지속적인 관리가 필요한 보철물입니다.
정기적으로 치과를 방문하여
틀니 상태와 잇몸 상태를 점검하고,
필요한 경우 조정이나 수리를 받으시면
오래 편안하게 사용하실 수 있습니다.
사용 중 불편한 점이 느껴지거나
틀니에 이상이 발견되면 방치하지 마시고
검진을 받아보시길 권해 드립니다.
거여동 연세다감 치과 였습니다!

2025.12.19~2025.12.23
