아카이브 요약
이 페이지의 역할
연세다감치과의원의 네이버 블로그 원문을 보존한 아카이브 페이지입니다. 자연치아 살리기 카테고리의 치아 이시림 왜 더 심해질까 개롱역 치과 치경부 마모증 원인과 레진 충전 및 글래스아이오노머(GI) 치료 특징 비교 글을 통해 병원의 한국어 정보 제공 방식과 진료 관련 안내 톤을 확인할 수 있습니다.
원문 검증
필요하면 원문 블로그와 병원 프로필로 바로 이동해 문맥을 다시 확인할 수 있습니다.
출처 아카이브 열기아카이브된 블로그 글
연세다감치과의원 · 치과의사 서호연의 행복한 치아
어느 순간부터 차가운 음식을 먹을 때 이가 시리기 시작하면 나도 이제 나이를 먹었나? 라는 말을 하는 경우가 있습니다. 연령이 증가하면 이시림이 당연해지는 걸까요? 당연한 것은 아니지만 치아 형태학적으로 깊은 관계가 있습니다. 개롱역 연세다감 치과 에서 그 이유를 살펴보겠습니다. 치아는 재생되지 않는다 치아...
게시일
2025년 12월 31일
원문 기준으로 확인된 발행일입니다.
카테고리
자연치아 살리기
원문 블로그 카테고리를 정리해 함께 표시합니다.
이미지 수
7
현재 아카이브에 연결된 이미지 수입니다.
아카이브 요약
연세다감치과의원의 네이버 블로그 원문을 보존한 아카이브 페이지입니다. 자연치아 살리기 카테고리의 치아 이시림 왜 더 심해질까 개롱역 치과 치경부 마모증 원인과 레진 충전 및 글래스아이오노머(GI) 치료 특징 비교 글을 통해 병원의 한국어 정보 제공 방식과 진료 관련 안내 톤을 확인할 수 있습니다.
원문 검증
필요하면 원문 블로그와 병원 프로필로 바로 이동해 문맥을 다시 확인할 수 있습니다.
출처 아카이브 열기어느 순간부터 차가운 음식을 먹을 때
이가 시리기 시작하면
나도 이제 나이를 먹었나?
라는 말을 하는 경우가 있습니다.
연령이 증가하면 이시림이
당연해지는 걸까요?
당연한 것은 아니지만
치아 형태학적으로 깊은 관계가 있습니다.
개롱역 연세다감 치과 에서
그 이유를 살펴보겠습니다.
치아는 재생되지 않는다
치아는 다른 신체 조직과 달리
재생 능력이 없습니다.
피부가 베이면 다시 아물고
뼈가 부러져도 붙지만
치아는 한번 손상되면
다시 자라거나 회복되지 않습니다.
따라서 평생 같은 치아를 사용해야 되므로
연령이 증가할수록
치아 문제가 많아질 수밖에 없습니다.
오랜 시간 사용하면서
조금씩 닳고 마모되는 것은
어찌 보면 자연스러운 현상인 것이죠.

치아 구조를 살펴보면
겉면은 법랑질이라는 단단한 층으로
덮여 있습니다.
법랑질은 인체에서 첫 번째로 단단한 조직으로
외부 자극으로부터 치아를 보호합니다.
그런데 치아의 목 부분인 치경부로 갈수록
이 법랑질이 얇아집니다.
치경부는 치아 머리와 뿌리가 만나는
경계 부위를 말하는데
잇몸선 근처에 위치합니다.
이 부위는 다른 곳보다 법랑질이 얇아
지속적인 힘을 받거나,
물리적인 원인에 의해
조금씩 마모되거나 깨져나가기 쉽습니다.
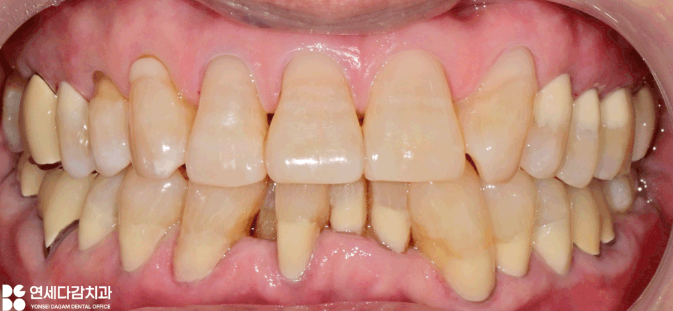
이러한 현상을 치경부 마모증이라고 합니다.

이가 마모되면 왜 시릴까?
법랑질 안쪽에는 상아질이라는 층이 있습니다.
상아질에는 미세한 관이 촘촘히 나 있는데
이 관들이 치아 내부 신경과 연결되어 있어
외부 자극에 민감합니다.
치경부가 마모되어 법랑질이 닳아 없어지면
상아질이 외부로 드러나기 때문에
이 상태에서 차갑거나 뜨거운 음식,
또는 단 음식을 먹으면
상아질 내 미세관을 통해 자극이 전달되어
시린 증상이 나타납니다.
마치 피부가 벗겨진 상처 부위가
물에 닿으면 따가운 것처럼
보호층이 사라진 치아도
자극에 민감하게 반응하는 것이랍니다!
치경부 마모의 원인
치경부 마모증의 원인을
개롱역 치과 에서 설명드리자면
예전에는 잘못된 양치질 때문이라는
주장이 우세였습니다.
그러나 최근 연구들에 의하면
이악물기나 이갈이와 같이
치아에 꾸준히 가해지는 강한 교합력에 의해
발생한다는 연구 결과가 많아지고 있습니다.
이를 악물거나 갈면 치아에 힘이 가해지는데
그 힘이 치아의 약한 부위인 치경부에 집중되어
조금씩 깨져나가는 것이죠.
개롱역 치과 에서도 치경부 마모가 있는 분들을
살펴보면 이악물기 습관이 있는 경우가
많은 것을 관찰하기도 합니다.
잘못된 양치질도 여전히 원인이 될 수 있습니다.
앞서 말씀드린 것 처럼 잘못된 양치질이라 함은,
횡마법이라고 해서
칫솔을 좌우로 세게 문지르는 방식입니다.
이 방법으로 양치질을 반복하면
칫솔모가 잇몸선 부위를 반복적으로 마찰하면서
얇은 법랑질이 마모됩니다.
이 외에도 평소에 딱딱하고 질긴 음식을
즐겨 드시는 분들도
치경부 마모증이 발생할 수 있습니다.
얼음을 씹거나 오징어처럼 질긴 음식을
자주 드시면 치아에 부담이 가해지기 때문이죠.
방치하면 어떻게 될까?

치경부 마모를 방치하면
마모 부위가 점점 깊어지면서
굴곡파절이라는 형태로 발전할 수 있습니다.
치아 목 부분이 V자나 쐐기 모양으로
패여 들어가는 것입니다.
이 상태가 심해지면
단순히 시린 정도를 넘어
통증이 발생할 수 있습니다.
상아질을 지나 신경까지 자극이 전달되면
신경치료가 필요한 상황이 될 수도 있는데요.
무엇보다 치아 구조 자체가 약해져
파절 위험이 높아집니다.
그래서 적절한 시기에
재료를 이용해 충전하여
치아를 보호해주는 것이 중요합니다.
치료 방법
치료 방법은 마모된 치경부 부위에
재료를 충전하여
더 이상의 손상을 막는 것입니다.
이미 닳아 없어진 부분을 메워주고
외부 자극으로부터 상아질을 보호하는 방법이죠.
여기에 사용되는 재료는 크게
레진(resin)과
글래스 아이오노머(gi)가 있습니다.
두 재료는 각각 특징이 다르며
적용 부위와 상황에 따라 선택하게 됩니다.
✅ 레진은 치아색과 유사하여
심미성이 우수합니다.
접착력도 좋고 강도가 높아
오래 유지되는 편입니다.
다만 건강보험이 적용되지 않는
비급여 항목입니다.
✅ 글래스 아이오노머는
불소를 방출하여 충치 예방에 도움이 되고
치아 조직과 화학적으로 결합하는 특징이 있습니다.
레진보다 강도는 낮지만
건강보험이 적용되는 급여 항목이라
비용 부담이 적습니다.
다수 부위에 치료가 필요할 때
꼭 하나로 통일할 필요 없이,
개롱역 치과 에서는 상황에 따라
두 재료를 적절히 혼용하기도 합니다.


잘 보이는 윗니 앞니 부위는
심미성이 중요하므로 레진으로 충전하고
어금니나 아랫니처럼
잘 보이지 않는 부위는
보험이 적용되는 GI로 충전하는 것이죠.
이렇게 하면 눈에 띄는 부위는
자연스러운 색상을 유지하면서
전체적인 비용 부담은 줄일 수 있습니다.
개롱역 치과 상담 시
본인의 마모 상태와 위치를 확인하고
적합한 재료를 선택하시면 됩니다.
근본적인 원인 해결도 중요
치료 이후에도 계속해서
이악물기나 이갈이 같은 구강 악습관이 있다면
충전한 재료가 떨어질 수 있습니다.
또한 같은 부위가 다시 마모되거나
다른 치아에 새로운 마모가
발생할 수도 있기 때문에
충전 치료와 함께 근본적인 원인을 파악하고
해결하는 것이 중요합니다.
이갈이 장치를 사용하거나
잘못된 양치 방법을 사용하고 있지는 않은지
점검해보시기 바랍니다.
이시림이 느껴진다면 방치하지 마시고
원인을 파악해보세요!
개롱역 연세다감 치과 였습니다.

치료기간: 2025.12.29
