아카이브 요약
이 페이지의 역할
연세다감치과의원의 네이버 블로그 원문을 보존한 아카이브 페이지입니다. 임플란트 카테고리의 개롱역 치과 치주 질환으로 인한 심한 잇몸뼈 손실 - 네비게이션 방식 임플란트로 진행된 안전한 치료 글을 통해 병원의 한국어 정보 제공 방식과 진료 관련 안내 톤을 확인할 수 있습니다.
원문 검증
필요하면 원문 블로그와 병원 프로필로 바로 이동해 문맥을 다시 확인할 수 있습니다.
출처 아카이브 열기아카이브된 블로그 글
연세다감치과의원 · 치과의사 서호연의 행복한 치아
안녕하세요. 개롱역 연세다감 치과 서호연 원장입니다. 치주 질환은 치아 주변 조직인 잇몸과 치조골을 손상시키는 질환입니다. 초기에는 출혈, 잇몸 붓기와 같이 쉽게 지나치는 증상들로 시작됩니다. 그러나 초기 대응을 하지 못하면 서서히 치아의 지지력을 잃는 원인이 되어 발치가 불가피할 수 있습니다. 또한 기...
게시일
2026년 3월 9일
원문 기준으로 확인된 발행일입니다.
카테고리
임플란트
원문 블로그 카테고리를 정리해 함께 표시합니다.
이미지 수
12
현재 아카이브에 연결된 이미지 수입니다.
아카이브 요약
연세다감치과의원의 네이버 블로그 원문을 보존한 아카이브 페이지입니다. 임플란트 카테고리의 개롱역 치과 치주 질환으로 인한 심한 잇몸뼈 손실 - 네비게이션 방식 임플란트로 진행된 안전한 치료 글을 통해 병원의 한국어 정보 제공 방식과 진료 관련 안내 톤을 확인할 수 있습니다.
원문 검증
필요하면 원문 블로그와 병원 프로필로 바로 이동해 문맥을 다시 확인할 수 있습니다.
출처 아카이브 열기안녕하세요.
개롱역 연세다감 치과
서호연 원장입니다.
치주 질환은 치아 주변 조직인
잇몸과 치조골을 손상시키는 질환입니다.
초기에는 출혈, 잇몸 붓기와 같이
쉽게 지나치는 증상들로 시작됩니다.
그러나 초기 대응을 하지 못하면
서서히 치아의 지지력을 잃는 원인이 되어
발치가 불가피할 수 있습니다.
또한 기능 회복을 위한 임플란트를 고려해도
뼈 건강이 좋지 않은 환경이 동반되어
치료가 제한되는 경우도 있습니다.
이런 경우 치료를 포기해야만 할까요?
개롱역 치과 에서 답변드리면
그렇지 않다고 말씀드리고 싶습니다.
오늘은 다량의 뼈 손실이 있는 케이스를 통해
안전한 임플란트 식립 방법을 설명하겠습니다.

2026.01.19
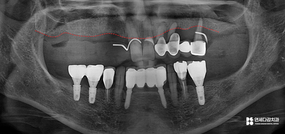
방사선 사진상
잇몸 라인이 불규칙하고
높낮이가 다른 양상을 보입니다.
또한 잔존 치아들을 평가했을 때
뿌리 끝만 잇몸 속에 남아 있는 상태인데,
이는 치아를 잡아줄 지지력을 잃은 환경으로
동요도가 심하게 나타날 수밖에 없습니다.
이렇게 치주 질환이 오래 방치한 경우에는
단순히 잇몸이 약해진 수준으로 끝나지 않습니다.
치근을 잡아주는 치조골도 손상이 되고,
발치 또한 고려할 수 있는 문제가 됩니다.
이런 치주 질환의 무서운 점은
조용히 천천히 진행된다는 것입니다.
앞서 개롱역 치과 에서 설명한 것처럼
초기에는 미미한 증상으로 시작됩니다.
그러나 점차 잇몸이 붓고 점점 내려가고
치아 사이가 벌어지는 등의
증상들이 함께 나타날 수 있습니다.
이 단계까지 진행되면
단순 스케일링으로는 해결하지 못하며
잇몸치료나 수술까지 필요할 수 있습니다.

2026.01.19
다만, 지금처럼 치아 자체의 손상이 크거나
골 손실량이 너무 많은 경우에는
예후가 좋지 않아 발치를 고려해야 됩니다.

2026.01.19
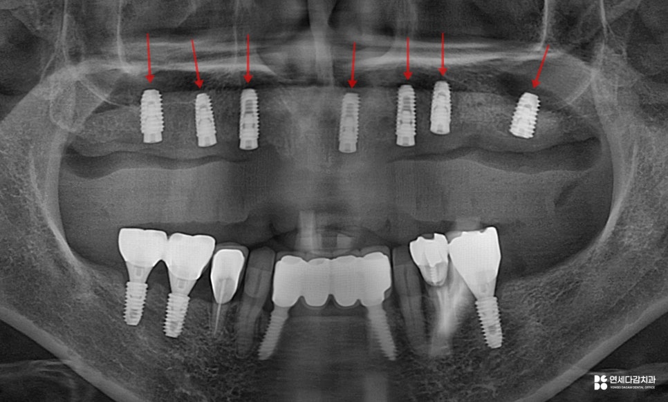
해당 구강의 저작, 심미성을 회복하기 위해
임플란트를 계획해 볼 수 있습니다.
다만, 수술 전에는 환자의 전신 건강 상태와
현재 치조골 상태를 충분히 확인하고
치료 계획을 신중하게 세워야 됩니다.
특히 전신 질환을 갖고 있거나
면역력이 낮거나 고령의 환자의 경우
회복 능력이 저하된 상태일 수 있습니다.
이러한 분들은 감염 위험,
초기 고정력 확보에서 문제를 동반하여
치료를 망설이시는 분들도 많습니다.
이런 분들이 고려할 수 있는 방법으로는
네비게이션 방식의 임플란트입니다.
수술 전 CBCT 촬영을 통해
구강 환경을 정밀하게 분석합니다.
그리고 촬영한 데이터를 기반으로
컴퓨터 상에서 모의 수술을 진행하여
환자에게 적합한 픽스처 길이, 직경
식립 위치 방향을 사전에 계획하게 됩니다.
이렇게 수립된 계획을 바탕으로
실제 수술 시 동일한 위치, 방향으로
임플란트를 식립하도록 가이드를 제작합니다.
이 가이드를 이용하면 수술 과정에서
위치 오차를 줄일 수 있을 뿐만 아니라
절개 범위 또한 최소화할 수 있습니다.
그에 따른 회복 시간은 단축되며
감염이나 합병증 위험도 축소할 수 있죠.
다만, 개롱역 치과 에서 설명하는 사례처럼
어금니가 잔존하지 않은 경우에는
가이드 제작을 뒤로 미루기도 합니다.


2026.01.21
먼저 환자의 구강을 정확히 인상 채득하여
Radiographic template라는 장치를 제작합니다.
환자가 교합을 물었을 때
기준이 되는 교합이 일정하지 않아
정확한 위치로 가이드를 설계하기 어려워,

2026.01.25
안정적인 교합을 물릴 수 있도록
임시 기준을 만드는 장치라고 이해하시면 됩니다.
개인 구강에 맞춘 가이드 제작


2026.01.25
이후 구강 내 시적하여
정확한 교합 관계를 기록하기 위해
바이트 채득 과정을 진행합니다.
그리고 Radiographic template를 착용한 상태에서
다시 한번 CT 촬영을 진행하게 됩니다.
이때 촬영된 CT 데이터는
가이드 제작을 위한 자료로 활용되며
환자 개인 구강에 맞는 수술 가이드가 제작되어
실제 수술 시에 계획된 위치, 방향 그대로
임플란트를 식립할 수 있게 됩니다.


2026.02.04
이처럼 단계적인 과정을 거쳐
가이드를 적절히 사용하면
수술의 정확도를 높일 수 있습니다.

2026.02.04
특히 개롱역 치과 에서 설명해 드린 것처럼
뼈 상태가 좋지 않거나 다수 치아가 결손된 분들도
보다 안정적인 수술을 진행할 수 있죠.
이후 뼈와 픽스처가 결합을 마친 뒤
보철을 제작하여 수복하게 되면
기능, 심미성은 모두 회복이 됩니다.
이렇게 골 상황이 좋지 않은 경우라도
개인 상황에 따른 계획이 이루어진다면
충분히 치료받을 수 있습니다.
그러니 지레 치료를 포기하시지 마시고
우선 상담을 받아보셨으면 합니다.
지금까지 개롱역 치과 였습니다.
감사합니다.

2026.01.19 ~2026.02.04