아카이브 요약
이 페이지의 역할
연세다감치과의원의 네이버 블로그 원문을 보존한 아카이브 페이지입니다. 턱관절과 이갈이 카테고리의 입 벌릴 때 불편하다면? 이갈이로 인한 통증 턱관절 증상 보톡스가 필요한 이유 가락동 치과 글을 통해 병원의 한국어 정보 제공 방식과 진료 관련 안내 톤을 확인할 수 있습니다.
원문 검증
필요하면 원문 블로그와 병원 프로필로 바로 이동해 문맥을 다시 확인할 수 있습니다.
출처 아카이브 열기아카이브된 블로그 글
연세다감치과의원 · 치과의사 서호연의 행복한 치아
안녕하세요, 가락동 연세다감 치과 서호연 원장입니다. 일상생활 중 입을 크게 벌리거나 다물 때 원인 모를 불편감이 느껴지신다면, 한 번쯤 검진을 고려해 보셨으면 합니다. 이는 단순한 피로가 아닌 턱관절의 이상 신호일 수 있으며, 오랜 시간 그대로 방치하는 경우 통증 같은 불편함이 점점 심해지거나 입이 잘 벌어지...
게시일
2026년 3월 13일
원문 기준으로 확인된 발행일입니다.
카테고리
턱관절과 이갈이
원문 블로그 카테고리를 정리해 함께 표시합니다.
이미지 수
7
현재 아카이브에 연결된 이미지 수입니다.
아카이브 요약
연세다감치과의원의 네이버 블로그 원문을 보존한 아카이브 페이지입니다. 턱관절과 이갈이 카테고리의 입 벌릴 때 불편하다면? 이갈이로 인한 통증 턱관절 증상 보톡스가 필요한 이유 가락동 치과 글을 통해 병원의 한국어 정보 제공 방식과 진료 관련 안내 톤을 확인할 수 있습니다.
원문 검증
필요하면 원문 블로그와 병원 프로필로 바로 이동해 문맥을 다시 확인할 수 있습니다.
출처 아카이브 열기안녕하세요,
가락동 연세다감 치과
서호연 원장입니다.
일상생활 중 입을 크게 벌리거나 다물 때
원인 모를 불편감이 느껴지신다면,
한 번쯤 검진을 고려해 보셨으면 합니다.
이는 단순한 피로가 아닌
턱관절의 이상 신호일 수 있으며,
오랜 시간 그대로 방치하는 경우
통증 같은 불편함이 점점 심해지거나
입이 잘 벌어지지 않는 문제가 나타날 수 있습니다.
오늘은 가락동 치과 에서
턱관절 이상이 생겼을 때 나타나는 증상과
어떤 경우 검진이 필요한지에 대해 설명하겠습니다.
우리가 습관처럼 반복하는 행동 중에는
사실 건강에 좋지 않은 것들이 많은데,
구강 건강 역시 예외는 아닙니다.
그중에서도 이갈이와
이 악물기는 대표적인 구강 악습관으로,
구강 전반에 큰 영향을 미칩니다.
이중 이갈이는 주로 수면 중에 발생하기 때문에
본인 스스로 인지하지 못한 채
오랜 기간 방치되는 경우가 많습니다.

가족이나 지인 혹은 검진에서
우연히 발견되는 경우가 많지만,
그때는 이미 치아 마모가
상당히 진행된 경우가 많습니다.
이렇게 마모된 부위에서 시작하여
균열이나 파절로 이어지는 경우도 적지 않고
중요한 건 이갈이가 치아 마모뿐만 아니라
턱관절과 주변 근육에도 영향을 미친다는 것입니다.
이 악물기나 이갈이가 심한 경우
수면 중 저작근이 과도하게 수축하면서
근육이 단단하게 뭉치게 됩니다.
우리가 음식을 씹을 때 사용하는 근육은
교근, 측두근, 내측 및 외측 익돌근인데,

츨처 - 구글
이 중에서도 교근, 측두근 같은 경우
일상적인 과부하가 빈번하게 일어나는 부위입니다.
해당 부위를 직접 눌러보는 촉진 검사를 통해
근의 긴장 정도와 압통 여부를 확인할 수 있습니다.
특히 측두근의 경우 근육 긴장이 지속되면
만성 편두통으로 이어지기도 합니다.

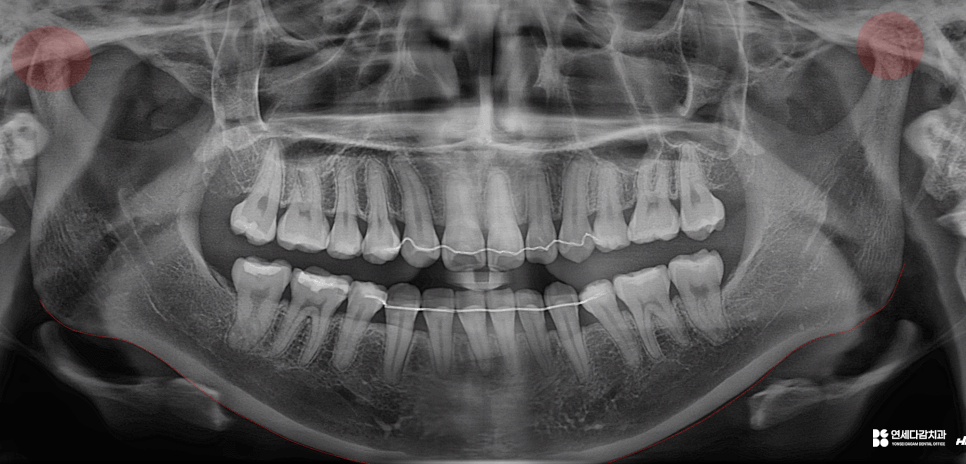
26.01.09
오늘 가락동 치과 에서 소개해 드릴
케이스의 상태를 살펴봤을 때,

26.01.09
턱이 오른쪽으로 쏠리는
편위(deflection)현상이 있습니다.
안면 골격의 비대칭도 일부 발견되지만,
큰 문제가 되는 수준은 아닌 것으로 평가됩니다.
수면 중 이갈이가 있는 경우,
턱관절 교육이나 약물치료, 물리치료만으로
증상을 완전히 없애기는 어렵습니다.
이갈이는 무의식 상태에서 발생하기 때문에
행동 조절이나 의식적인 노력들은
수면 중에는 적용할 수 없죠.
약물치료와 물리치료 역시
통증이나 염증을 완화하는 데는 좋지만,
근육의 과수축 자체를 차단하지는 못합니다.

이런 경우 가락동 치과 에서 권장하는 방법이
바로 보톡스 주사를 받는 것입니다.
피부과에서만 사용된다고 오해하시지만,
치의학 영역에서도 활발히 활용되고 있습니다.
보톡스는 근육의 수축력을 일정 부분 완화해 주어
무의식중에 가해지는 압력을 줄이고,
턱관절에 부담을 덜어주는 역할을 합니다.
치료 효과는 개인마다 차이가 있으며,
보통 시술 후 2주 전후로 나타나게 됩니다.

가락동 치과 에서 설명해 드린
보톡스와 약물치료를 병행한 이번 케이스는
단순한 통증을 억제하는 것에 그치지 않고,
턱관절 스스로 회복할 수 있는
환경을 만들어준 대표적인 사례입니다.
턱관절은 한번 손상되면
회복까지 오랜 시간이 걸리는 만큼,
민감하게 대체하시는 것이 좋습니다.
단지 '참을 만해서'라는 이유로 넘기다 보면
어느 순간 일상이 불편해지는 시점이 옵니다.
입을 벌릴 때 소리가 나거나
아침에 일어났을 때 턱이 뻐근하다면
검진의 계기로 삼아보시길 권해드립니다.
이번 가락동 치과 에서 준비한
내용은 여기서 마치도록 하겠습니다.
긴 글 읽어주셔서 감사합니다.

26.01.09