아카이브 요약
이 페이지의 역할
연세다감치과의원의 네이버 블로그 원문을 보존한 아카이브 페이지입니다. 보철치료·틀니 카테고리의 오금역 치과 부분틀니, 예후를 고려한 지대치 평가부터 정밀한 설계까지 중요한 이유 글을 통해 병원의 한국어 정보 제공 방식과 진료 관련 안내 톤을 확인할 수 있습니다.
원문 검증
필요하면 원문 블로그와 병원 프로필로 바로 이동해 문맥을 다시 확인할 수 있습니다.
출처 아카이브 열기아카이브된 블로그 글
연세다감치과의원 · 치과의사 서호연의 행복한 치아
안녕하세요, 오금역 연세다감 치과 서호연 원장입니다. 치아가 빠진 자리를 회복하는 방법은 여러 가지가 있습니다. 임플란트, 브릿지, 부분틀니까지 치료 방법마다 장단점은 모두 다르고 환자에게 최선이 되는 선택도 제각각입니다. 이 중 부분틀니는 비교적 최소 침습적이며, 비용 부담이 낮은 편에 속합니다. 그러나...
게시일
2026년 3월 19일
원문 기준으로 확인된 발행일입니다.
카테고리
보철치료·틀니
원문 블로그 카테고리를 정리해 함께 표시합니다.
이미지 수
10
현재 아카이브에 연결된 이미지 수입니다.
아카이브 요약
연세다감치과의원의 네이버 블로그 원문을 보존한 아카이브 페이지입니다. 보철치료·틀니 카테고리의 오금역 치과 부분틀니, 예후를 고려한 지대치 평가부터 정밀한 설계까지 중요한 이유 글을 통해 병원의 한국어 정보 제공 방식과 진료 관련 안내 톤을 확인할 수 있습니다.
원문 검증
필요하면 원문 블로그와 병원 프로필로 바로 이동해 문맥을 다시 확인할 수 있습니다.
출처 아카이브 열기안녕하세요,
오금역 연세다감 치과
서호연 원장입니다.
치아가 빠진 자리를 회복하는 방법은
여러 가지가 있습니다.
임플란트, 브릿지, 부분틀니까지
치료 방법마다 장단점은 모두 다르고
환자에게 최선이 되는 선택도 제각각입니다.
이 중 부분틀니는 비교적 최소 침습적이며,
비용 부담이 낮은 편에 속합니다.
그러나 "단순히 만들어 끼우면 된다."라고
생각하시고 계시는 분들도 많지만,
사실은 많은 부분을 고려해야 되며,
이번 내용에서 설명해 드리려 합니다.

2026.01.13
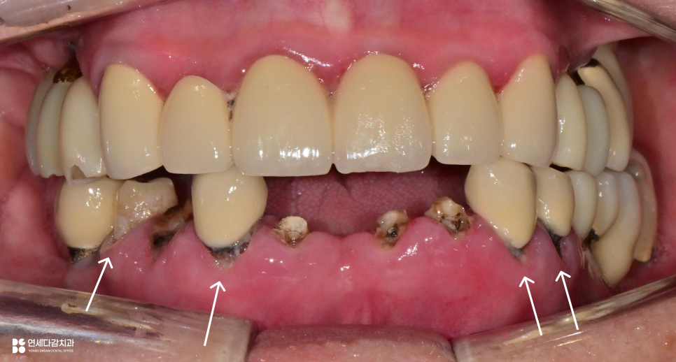
먼저 술전 사진을 확인해 보면,
아랫니들은 충치로 파절이 되어 있습니다.
치관은 이미 손상되어 남지 않았으며,
치아 뿌리만 확인되는 부위도 있습니다.
이렇게 치관이 없고 치근만 남은 경우를
잔존 치근이라고 부릅니다.
치관이 없으니 기능을 할 수 없고,
잇몸 아래 남아 있는 잔존 치근들은
염증과 감염의 원인이 될 수 있어
발치는 불가피한 상황입니다.
그럼 다른 부위들은 어떨까요?

2026.01.13
오금역 치과 에서 표시한 것처럼
크라운과 잇몸 사이의 변연 적합도가
저하되어 있는 것으로 평가됩니다.
겉에서는 크라운에 가려진 것 같지만,
실은 치근이 그대로 드러나 있으며
그 사이로 우식이 진행되고 있습니다.
이 또한 우식이 깊어진 상태라면
크라운을 재수복 하더라도
예후가 좋지 않을 가능성이 높습니다.

2026.01.13
이런 경우, 임플란트를 고려할 수 있지만,
다수의 식립이 필요한 상황인 만큼
비용이 부담될 수 있습니다.
65세 이상의 환자시라면
보험 임플란트가 적용 가능하지만,
1인당 평생 2개까지만
급여 혜택이 주어지기 때문에
여러 개가 필요한 경우에는
결국 비급여 비용이 추가될 수밖에 없습니다.
이렇게 경제적 부담이 고려되는 분들은
부분 틀니(RPD)를 선택할 수 있습니다.
다만 오금역 치과 에서 한 가지 짚고 넘어가는 것은,
RPD는 남아 있는 자연치아에 걸쇠(클라스프)를 걸어
고정력을 확보하는 구조입니다.
그런데 남아 있는 지대치의
상태가 불량하면 어떻게 될까요?
얼마 가지 못해 추가로 발치가 필요해지며,
보철을 다시 만들 수밖에 없습니다.
그래서 진료 전 계획을 세울 때
예후를 면밀하게 평가하는 것이 중요하며,

2026.01.13
장기적으로 유지하기 어려운 치아라면
처음 설계 단계부터 발치를 고려해
안전성을 높이는 방향으로 접근해야 됩니다.
부분틀니가 제대로 안착되기 위해서는
치아와의 접촉면이 정밀하게 설계되어야 됩니다.
이때 필요한 것이 서베이드 크라운입니다.
이것은 클라스프가 정확히 걸릴 수 있도록
외형을 계획적으로 형성한 크라운입니다.
앞서 오금역 치과 에서 보여드린 것처럼
기존 임플란트 보철물이 있어도
클라스프가 걸릴 수 있는 구조가 없으므로,
새로 제작하는 것이 필요합니다.

2026.02.03
또한 서베이드 크라운과 함께
안정성의 핵심이 되는 것이
레스트 시트(rest seat)입니다.
지대치 교합면에 만드는 오목한 홈으로,
부분틀니의 레스트가 안착하는 자리입니다.
이 구조가 있어야 교합력이 분산될 수 있고,
틀니가 위아래로 들뜨거나 불필요한
움직임을 막을 수 있습니다.
이 레스트 시트의 위치와 형태는
설계에 따라서 달라질 수 있습니다.

예를 들어 인접면 교합 레스트 시트
(interproximal occlusal rest seat)는
두 치아 사이 접촉부위에 홈을 만들어 주어
유지력을 보다 높게 형성할 수 있습니다.
다만 이 경우 두 치아의 보철을
새로 제작해야 합니다.
왼쪽 아래의 경우 Interproximal rest seat를 해드리는 것이
제일 좋아보였으나, 이렇게 진행을 하기 위해선
왼쪽 아래 임플란트 보철물을 모두 제거하고
새로 만들어야 하는 상황이 었습니다.
환자분께서는 왼쪽 아래 보철물을 전부 교체하는 과정을
부담스러워 하셔서 유지력을 조금 더 포기하더라도
치아 하나에만 rest seat를 제작하게 되었습니다.


2026.02.03
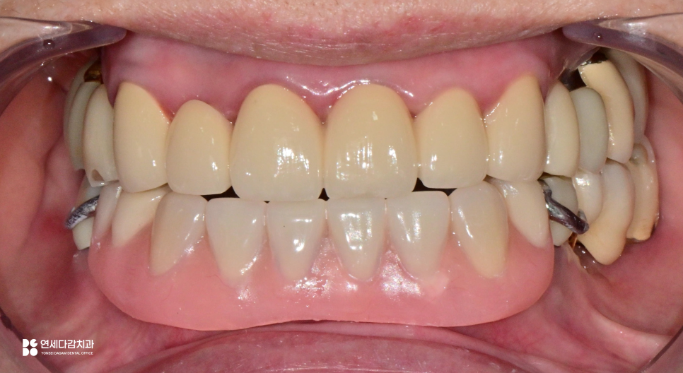
이렇게 개인에게 맞게 제작된
보철을 통해 심미, 기능성은 회복됩니다.
이렇게 부분 틀니(RPD)는
단순히 빠진 자리를 채우는 보철이 아닙니다.
술잔 구강 상태를 정확히 파악하고,
좋은 예후를 만들 수 있도록,
정밀한 설계가 필요합니다.

2026.02.04
앞서 오금역 치과 에서 설명드린 과정들이
모두 빠짐없이 제대로 갖추어져야만
오래, 편안하게 쓸 수 있는 보철이 완성됩니다.
치료를 서두르거나 생략하면,
결국 재치료가 필요한 상황이 오고,
처음보다 더 많은 시간, 비용이 들게 됩니다.
비용 부담을 줄이고 싶은 마음은
누구나 같을 거라 생각됩니다.
그렇기 때문에 오히려 처음 설계를
더 정확하게 하는 것이 중요합니다.
치료 방법의 선택부터 설계 과정까지
오늘 내용이 조금이나마 도움이 되셨기를 바랍니다.
오금역 치과 였습니다.
감사합니다.

2026.01.13 ~ 2026.02.04