아카이브 요약
이 페이지의 역할
연세다감치과의원의 네이버 블로그 원문을 보존한 아카이브 페이지입니다. 임플란트 카테고리의 개롱역치과 아프기 전에 발견해야 되는 이유 인접면 충치 치료 글을 통해 병원의 한국어 정보 제공 방식과 진료 관련 안내 톤을 확인할 수 있습니다.
원문 검증
필요하면 원문 블로그와 병원 프로필로 바로 이동해 문맥을 다시 확인할 수 있습니다.
출처 아카이브 열기아카이브된 블로그 글
연세다감치과의원 · 치과의사 서호연의 행복한 치아
안녕하세요. 개롱역 치과 입니다. 우리에게 익숙한 구강 질환인 충치는 생각보다 증상이 잘 나타나지 않습니다. 초기에는 별다른 불편함이 없이 진행되다가, 충치가 상당히 깊어진 후에야 신경이 자극을 받는 경우가 있습니다. 이렇게 통증을 느끼기 시작했을 때 비로소 진료의 필요성을 인식하게 되는데, 눈에 띄는 증상...
게시일
2026년 4월 7일
원문 기준으로 확인된 발행일입니다.
카테고리
임플란트
원문 블로그 카테고리를 정리해 함께 표시합니다.
이미지 수
10
현재 아카이브에 연결된 이미지 수입니다.
아카이브 요약
연세다감치과의원의 네이버 블로그 원문을 보존한 아카이브 페이지입니다. 임플란트 카테고리의 개롱역치과 아프기 전에 발견해야 되는 이유 인접면 충치 치료 글을 통해 병원의 한국어 정보 제공 방식과 진료 관련 안내 톤을 확인할 수 있습니다.
원문 검증
필요하면 원문 블로그와 병원 프로필로 바로 이동해 문맥을 다시 확인할 수 있습니다.
출처 아카이브 열기안녕하세요.
개롱역 치과 입니다.
우리에게 익숙한 구강 질환인 충치는
생각보다 증상이 잘 나타나지 않습니다.
초기에는 별다른 불편함이 없이 진행되다가,
충치가 상당히 깊어진 후에야
신경이 자극을 받는 경우가 있습니다.
이렇게 통증을 느끼기 시작했을 때
비로소 진료의 필요성을 인식하게 되는데,
눈에 띄는 증상이 생겼다는 것은
이미 병변이 꽤 진행되었음을 의미합니다.
즉, 신경치료나 발치로 이어질 수 있는
단계에 접어들었을 수 있다는 것입니다.
그래서 증상이 없는 시기에 발견하느냐
통증이 생긴 뒤 발견하느냐에 따라
치료의 범위와 방법은 크게 다릅니다.
그래서 중요한 것이 정기검진입니다.
초기 단계에서 병변을 발견할수록
간단한 처치로 마무리될 가능성이 높고,
오래 보존할 수 있는 선택지도 넓어집니다.
앞서 개롱역 치과 에서 설명드린 내용과 관련된
예시 사례를 살펴보도록 하겠습니다.


2025.11.12
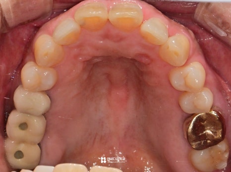
이렇게 눈으로 살펴봤을 때는
특별한 이상은 없는 것처럼 보이지만,
실제로는 통증을 느끼는 경우가 있습니다.
이는 구강 안에 육안으로 확인하기 어려운
사각지대가 존재하기 때문입니다.
이 사각지대 중 하나가 인접면입니다.
치아의 옆면은 음식이 자주 끼는 곳이지만,
이물질을 제거하기 어렵고 확인도 어렵기 때문에
우식이 자주 발생하는 부위입니다.

2025.11.12
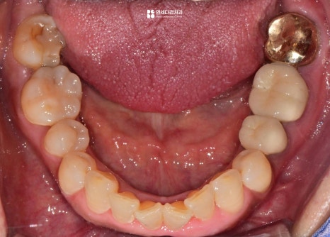
위아래 병변의 진행 정도를 살펴봤을 때,
47번은 이미 치근 부위로 확산되어 있습니다.
치근은 치조골 속에 위치하고 있어
병변에 접근하는 것이 매우 어렵습니다.
또한 치근이 손상되면 강도 자체가 저하되어,
저작압을 버티기 어려운 상태가 됩니다.

2025.11.12
이미 뿌리가 약해진 상태에서는
장기적인 유지를 기대하기 어렵고
결국 발치로 마무리되는 경우가 많습니다.
기능 회복을 위해 임플란트를 심은 모습입니다.

2025.11.12
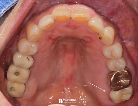
위와 같이 엑스레이에서도
병변이 명확히 확인할 수 있는 반면,
실제로 병변을 정리해 보기 전까지는
정확히 알 수 없는 부분도 존재합니다.
개롱역 치과 에서 설명해 드리는
대표적인 것이 신경 침범 여부입니다.
방사선 사진상으로
치수 근처까지 도달한 것처럼 보이더라도,
실제로 치수까지 이어졌는지는
직접 제거해 보아야 알 수 있습니다.
46번이 그런 경우입니다.
초진 사진에는 내부 깊이 확산되었지만,
다행히 침범하지 않은 상황입니다.
이런 경우 크라운 치료를 진행하고,
경과를 지켜보게 됩니다.

2025.11.12
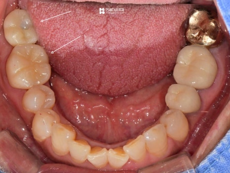
반면 27번처럼
충치 제거 과정에서 치수 조직으로
우식이 이어진 것이 확인된다면
신경치료를 진행하게 됩니다.
손상된 치수 조직을 제거한 다음,
내부를 깨끗하게 소독한 뒤
빈 공간을 채워 밀폐하는 과정입니다.
이때 근관 내부는 가늘고 복잡한 구조로써,
모든 과정을 정확히 수행해야 됩니다.
이에 따라서 진료 횟수는 한 번이 아니라
여러 번에 걸친 과정이 될 수 있습니다.
또 한 가지 개롱역 치과 에서 중요한 점을 말씀드리자
신경치료 후에는 반드시 크라운을 수복해야 됩니다.
치수를 제거한 치아는
혈액, 영양분 공급이 차단되면서,
치아 자체가 건조한 성질을 갖게 됩니다.
이 뜻은 충격에는 취약해질 수밖에 없으며,
특히 저작압을 자주 받는 어금니는
쉽게 깨질 수 있다는 의미입니다.
따라서 크라운으로 치관 전체를 감싸
보호하는 절차가 필수적입니다.


2026.02.13
이렇게 식립된 임플란트도 유착 기간을 거쳐
보철을 수복하면 마무리가 됩니다.

2026.02.13
각각 부위마다 염증 소견은 없는 것으로 봐서,
상태는 양호한 것으로 평가됩니다.
진료 후에도 정기적인 확인을 통해
이상 소견이 없는지 꾸준히 살펴보는 것이
치아를 오래 유지하는 데 중요합니다.
이번 개롱역 치과 에서 설명해 드린
예시 사례를 통해 말씀드리고 싶은 것이 있습니다.
같은 충치라도, 보존이 가능한 반면,
발치 후 임플란트로 이어지는 경우도 있습니다.
결국 발견 시점과 진행 정도에 따라
크게 달라질 수 있다는 점입니다.
충치는 스스로 나아지는 것이 아니라
방치할수록 진료는 복잡해지고
자연치를 지킬 수 있는 가능성은 낮아지니,
증상이 없더라도 정기적으로 확인하는
그것이 간단하고 확실한 예방법입니다.
개롱역 치과 였습니다.
감사합니다.

2025.11.12 ~ 2026.02.13