보스톤치과의원]
종로치과 치아 마모 때문에 이가 너무 시려요!
안녕하세요 종로치과 입니다. 밥을 먹거나, 음료, 물을 먹을 때마다 치아 시림 증상이 있다고 한다면 너무나도 불편할 것 같습니다. 그래서 오늘은 치아시림으로 인해서 치과에 찾아와주신 환자분의 전후사례를 알아보려고 하는데요. 어떠한 증상 때문에 이 시림이 나타나는지 같이 알아가 보도록 하겠습니다 :) 치료 전 - 2...
아카이브 요약
이 페이지의 역할
BOSTON Dental Clinic [보스톤치과의원]의 네이버 블로그 원문을 보존한 아카이브 페이지입니다. B.일반진료 카테고리의 종로치과 치아 마모 때문에 이가 너무 시려요! 글을 통해 병원의 한국어 정보 제공 방식과 진료 관련 안내 톤을 확인할 수 있습니다.

안녕하세요 종로치과 입니다. 밥을 먹거나, 음료, 물을 먹을 때마다 치아 시림 증상이 있다고 한다면 너무나도 불편할 것 같습니다. 그래서 오늘은 치아시림으로 인해서 치과에 찾아와주신 환자분의 전후사례를 알아보려고 하는데요. 어떠한 증상 때문에 이 시림이 나타나는지 같이 알아가 보도록 하겠습니다 :)
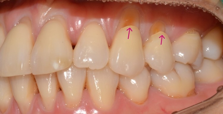
치료 전 - 2025.01.08
치료기간 : 당일 치료

-
치료 전후 사진 게재는 환자분 동의를 얻어 의료법 제23조, 제56조에 의거하여 게재합니다.
-
개인에 따라서 시술 및 수술 후 부작용이 발생할 있으니 사전에 의료진과 충분한 상담 후 진행하시길 바랍니다.
-
위 치료 전후 자료는 환자분의 동의를 얻은 보스톤치과의원 소유이며, 무단 도용 및 배포를 금지합니다.
증상 소개
치료 전 사진 부터 함께 보도록 하겠습니다. 위에서 말씀 드린 것과 같이 이가 시린 것으로 인해 내원을 해주신 환자분이셨는데요. 검진을 해보니 잇몸쪽에 치아 뿌리가 노출되면서 마모가 심하게 된 상태라는 것을 확인할 수 있었습니다. 이러한 증상은 '치경부 마모'라고 말씀드릴 수 있는데요. 교합력에 의해서 치아의 가장 얇은 부위가 마모되어 안에 있는 치아 뿌리의 안쪽 신경이 외부와 가까워져서 예민하게 느껴지는 현상입니다. 이로 인해서 치아 시림을 더 잘 느끼고 계셨던 것이죠!
치료 후 - 2025.01.08
치료기간 : 당일 치료

치료 특이사항
치료 후의 사진 입니다. 간단히 치아색과 비슷한 레진으로 떼우는 치료를 진행하였습니다. 이렇게 레진으로 떼우는 것만으로도 시렸던 증상이 많이 사라지게 되는데요. 위와 같은 경우에는 이렇게 치료를 마무리 하였지만 혹여 마모된 정도가 심하다면 신경 치료까지 진행해야 하는 경우가 있기 때문에 그렇게까지 되기 전에 미리 미리 치료를 받아주는 것이 좋다고 알려드립니다.

치아 시림은 다양한 원인이 있을 수 있는데요. 치아 법랑질의 마모, 잇몸 퇴축, 충치, 치아 균열 등등 다양합니다.
시린 증상을 느끼셨다면 치과에 방문하여 상담을 받고 그에 맞는 치료를 빠르게 받아주시는 것이 좋습니다. 혹여 오랜시간 방치해 두면 또 다른 구강 문제들이 생길 수 있기 때문에 신경써주시는 것이 좋다고 종로치과가 알려드립니다.
종로치과와 함께 알아본 치아 시림 증상 어떠셨나요? 이해가 잘 되셨을까요? 추가적으로 궁금하신 점이 있으시다면 내원 및 전화 문의 주시길 바랍니다^^

문의 전화 : 02-720-5672
더 보기
이 병원의 공개 콘텐츠를 계속 살펴보세요
출처 아카이브로 돌아가 더 많은 글을 보거나, 병원 프로필로 이동해 다른 공개 채널도 함께 비교해보세요.