보스톤치과의원]
치아 변색 고민 끝, 을지로치과에서 듣는 라미네이트 사례
치아 변색 고민 끝, 을지로치과에서 듣는 라미네이트 사례 을지로치과를 찾았던 많은 환자들이 치아 변색으로 인한 고민을 안고 있었습니다. 커피를 즐기는 직장인부터 흡연으로 인해 누렇게 변한 치아를 가진 분들까지, 각자의 이유로 자신감을 잃어가고 있었죠. 특히 을지로라는 업무 중심 지역에서 활동하는 분들이었기에, 대인관계...
아카이브 요약
이 페이지의 역할
BOSTON Dental Clinic [보스톤치과의원]의 네이버 블로그 원문을 보존한 아카이브 페이지입니다. B.심미치료 카테고리의 치아 변색 고민 끝, 을지로치과에서 듣는 라미네이트 사례 글을 통해 병원의 한국어 정보 제공 방식과 진료 관련 안내 톤을 확인할 수 있습니다.

을지로치과를 찾았던 많은 환자들이 치아 변색으로 인한 고민을 안고 있었습니다. 커피를 즐기는 직장인부터 흡연으로 인해 누렇게 변한 치아를 가진 분들까지, 각자의 이유로 자신감을 잃어가고 있었죠. 특히 을지로라는 업무 중심 지역에서 활동하는 분들이었기에, 대인관계에서 느끼는 위축감은 더욱 컸었습니다.

치아 변색이 일상에 미치는 영향
치아 변색의 원인은 다양했었습니다. 커피나 와인 같은 착색 음료, 흡연, 약물 복용, 노화 등이 주요 원인으로 꼽혔었죠. 한 설문조사에 따르면, 치아 변색을 겪는 사람들의 78%가 대화할 때 입을 가리는 습관이 생겼다고 답했었습니다. 을지로치과에서 만난 환자들 역시 회의실에서 프레젠테이션을 할 때나 클라이언트를 만날 때 자신도 모르게 입을 가리는 모습을 보였었습니다. 특히 서비스업에 종사하는 한 환자는 "웃을 때마다 신경이 쓰여 밝게 웃지 못했어요"라며 직업 수행에도 어려움이 있었다고 토로했었습니다. 이처럼 치아 변색은 단순한 미용 문제를 넘어 사회생활 전반에 영향을 미치고 있었던 것이죠.

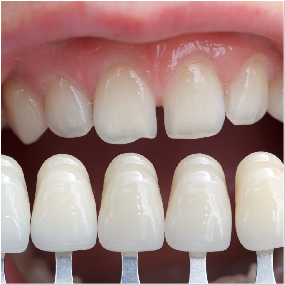
라미네이트, 그 세심한 치료 과정
라미네이트 치료는 체계적인 단계를 거쳤었습니다. 을지로치과와 함께 같이 그 단계를 살펴보도록 할게요^^
- 상담과 진단
먼저 환자의 치아 상태를 3D 스캔으로 정밀하게 분석했었습니다. 치아의 색상, 형태, 배열 상태를 파악하고, 환자의 얼굴형과 피부톤을 고려해 최적의 치아 색상을 선택했었죠. 이 과정에서 환자의 직업과 생활 패턴도 함께 고려되었던 것이 특징이었습니다.
- 치아 준비
필요한 최소한의 치아 삭제가 이루어졌었습니다. 평균적으로 0.3-0.5mm 정도만 삭제되었으며, 이는 환자의 불안감을 크게 줄여주었다고 합니다. 한 환자는 "생각보다 훨씬 적게 삭제된다는 사실에 안심했어요"라고 말하기도 했었죠.
- 임시 라미네이트 부착
본 라미네이트 제작 기간 동안 임시 라미네이트를 부착했었습니다. 이 기간에 환자들은 미리 변화된 모습을 경험하며 기대감을 가질 수 있었죠.
- 최종 라미네이트 부착
맞춤 제작된 세라믹 라미네이트가 특수 접착제로 부착되었습니다. 교합 조정과 마무리 과정을 거쳐 자연스러운 결과물이 완성되었던 것이죠.

새로운 미소, 달라진 일상의 풍경
라미네이트 치료 후 환자들의 삶은 눈에 띄게 달라졌었습니다. 치료받은 한 마케팅 전문가는 "클라이언트 미팅에서 자신 있게 프레젠테이션을 할 수 있게 되었어요"라며 업무 수행에 긍정적인 변화가 있었다고 전했었습니다. 또 다른 환자는 "SNS에 웃는 사진을 올리는 것이 두렵지 않게 되었어요"라며 일상의 소소한 변화를 공유했었죠. 특히 대면 업무가 많은 을지로 직장인들에게 이러한 변화는 더욱 의미 있었던 것 같습니다.
라미네이트 치료를 받은 환자들의 88%가 치료 후 자신감이 향상되었다고 답했었으며, 92%가 대인관계에서 긍정적인 변화를 경험했다고 보고했었습니다. 이는 단순한 심미적 개선을 넘어 삶의 질을 향상시키는 결과였던 것이죠.

라미네이트 관리와 장기적 효과
라미네이트의 평균 수명은 10-15년으로 알려져 있었습니다. 하지만 올바른 관리를 통해 20년 이상 사용하는 경우도 있었다고 합니다. 을지로치과에서는 치료 후 다음과 같은 관리 지침을 제공했었습니다:
-
치실 사용과 정기적인 스케일링
-
단단하거나 질긴 음식 피하기
-
야간 이갈이 습관이 있는 경우 보호 장치 착용
-
6개월마다 정기 검진
특히 커피를 즐기는 직장인들에게는 빨대 사용을 권장했었으며, 치료 직후 48시간 동안은 착색 음식을 피하도록 안내했었습니다.

자주 묻는 질문들
Q: 라미네이트는 얼마나 오래 가나요?
A: 관리 상태에 따라 10-20년까지 사용 가능했었습니다. 정기적인 검진과 올바른 관리가 중요했었죠.
Q: 자연치아는 얼마나 삭제되나요?
A: 일반적으로 0.3-0.5mm 정도만 삭제되었습니다. 이는 치아 법랑질의 20% 미만에 해당하는 양이었죠.
Q: 라미네이트 후 음식 제한이 있나요?
A: 첫 48시간 동안은 착색 음식을 피해야 했었으며, 이후에는 지나치게 단단한 음식만 주의하면 되었습니다.
Q: 시술 시간은 얼마나 걸리나요?
A: 진단부터 완성까지 2-3회 내원으로 약 1-2주가 소요되었었습니다.
Q: 비용은 어느 정도인가요?
A: 치아 상태와 개수에 따라 달랐었으나, 장기적인 수명을 고려하면 비용 대비 만족도가 높았다고 합니다.

라미네이트 치료를 받은 환자들은 단순히 하얀 치아를 얻은 것이 아니라, 잃어버렸던 자신감과 밝은 미소를 되찾았었습니다. 치료 결과는 개인차가 있었지만, 대부분의 환자들이 새로운 삶의 장을 열었다는 공통된 이야기를 전했었죠. 그들은 더 이상 손으로 입을 가리지 않았고, 카메라 앞에서 자연스럽게 웃을 수 있게 되었습니다. 이는 을지로라는 활기찬 도심 속에서 더욱 적극적으로 살아갈 수 있는 원동력이 되었다고 합니다.
자 이렇게 을지로치과가 전해드리는 라미네이트 이야기는 어떠셨나요? 도움이 되었을까요? 여러분들의 밝은 미소를 지켜드릴 수 있도록 곁에서 돕겠습니다 :) 오늘도 좋은 하루 보내세요~~










Previous image Next image






Previous image Next image
더 보기
이 병원의 공개 콘텐츠를 계속 살펴보세요
출처 아카이브로 돌아가 더 많은 글을 보거나, 병원 프로필로 이동해 다른 공개 채널도 함께 비교해보세요.