아카이브 요약
이 페이지의 역할
강남레옹치과의원의 네이버 블로그 원문을 보존한 아카이브 페이지입니다. 건강정보 카테고리의 강남레옹치과 사랑니 발치 Vlog📽️ | 사랑니 발치 과정 대공개! 글을 통해 병원의 한국어 정보 제공 방식과 진료 관련 안내 톤을 확인할 수 있습니다.
원문 검증
필요하면 원문 블로그와 병원 프로필로 바로 이동해 문맥을 다시 확인할 수 있습니다.
출처 아카이브 열기아카이브된 블로그 글
강남레옹치과의원 · Naver Blog
안녕하세요 강남레옹치과입니다😊 해마다 정말 많은 분들이 강남레옹치과를 찾아주시는데요. 최근에는 외국인 환자분들을 비롯해 평소 앞니고민이 있으셨던 분들이 라미네이트가 아닌 통합적인 앞니 개선 위해 뉴티스 상담을 받으러 많이 오세요. 강남레옹치과 진료 중 환자분들이 가장 많이 찾는 진료는 단연 사랑니 발치! 오늘은...
게시일
2025년 4월 11일
원문 기준으로 확인된 발행일입니다.
카테고리
건강정보
원문 블로그 카테고리를 정리해 함께 표시합니다.
이미지 수
17
현재 아카이브에 연결된 이미지 수입니다.
아카이브 요약
강남레옹치과의원의 네이버 블로그 원문을 보존한 아카이브 페이지입니다. 건강정보 카테고리의 강남레옹치과 사랑니 발치 Vlog📽️ | 사랑니 발치 과정 대공개! 글을 통해 병원의 한국어 정보 제공 방식과 진료 관련 안내 톤을 확인할 수 있습니다.
원문 검증
필요하면 원문 블로그와 병원 프로필로 바로 이동해 문맥을 다시 확인할 수 있습니다.
출처 아카이브 열기안녕하세요 강남레옹치과입니다😊
해마다 정말 많은 분들이
강남레옹치과를 찾아주시는데요.
최근에는 외국인 환자분들을 비롯해
평소 앞니고민이 있으셨던 분들이
라미네이트가 아닌 통합적인 앞니 개선 위해
뉴티스 상담을 받으러 많이 오세요.
강남레옹치과 진료 중
환자분들이 가장 많이 찾는 진료는
단연 사랑니 발치!
오늘은 강남레옹치과에 방문하게 되면
진행되는 사랑니 발치 과정을
브이로그로 담아봤어요!

▼강남레옹치과 사랑니발치 Vlog 보러가기▼
1️⃣발치 전 처방약 복용
사랑니 발치 접수 후
데스크에서 발치 전 필요한
항생제와 진통제 처방을 받아
미리 약을 복용합니다.
이는 발치시 세균감염의 위험을 방지하고
발치 후 통증과 부종을 줄이기 위함이에요.

강남레옹치과 사랑니 발치
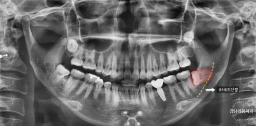
2️⃣파노라마 엑스레이 촬영
엑스레이 촬영을 통해
사랑니 위치와 구강상태를 확인하여
발치 계획을 세웁니다.
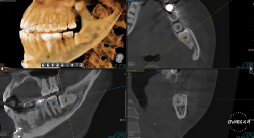
(*필요하다면 CT촬영 추가적으로
진행할 수 있습니다.)

강남레옹치과 사랑니 발치
3️⃣발치관련 안내
발치 관련 안내와 함께
발치 동의서를 작성합니다.

강남레옹치과 사랑니 발치
4️⃣스케일링
구강상태에 따라 세균감염 방지를 위해
발치 전 스케일링도 함께 진행됩니다.

강남레옹치과 사랑니 발치
5️⃣사랑니 발치
발치 부위 잇몸 국소 마취 후
사랑니 발치를 진행합니다.
부득이한 상황이 아니면
지혈문제가 있을 수 있다 보니
오른쪽 위아래, 왼쪽 위아래
두번에 나누어 최소 3주 정도 간격을 두고
한쪽이 아물고 나면 반대편 발치를 합니다.

강남레옹치과 사랑니 발치
6️⃣주의사항과 관리법
사랑니 발치가 끝나면
주의사항과 관리법을 안내받고
실밥제거와 회복경과 체크를 위해
다음 내원 일정을 잡습니다.

강남레옹치과 사랑니 발치
사랑니 발치 QnA
Q. 파노라마를 찍었는데 CT는 왜 또 찍나요❓
파노라마 엑스레이와 CT의 기능이 다릅니다.
파노라마 엑스레이로 매복치나
사랑니의 존재 여부는 확인이 가능하나
2차원적인 사진이기 때문에 진짜 주변 구조물과 닿아있는지
아니면 사진상으로만 겹쳐보이는 것인지 확인하기 어렵습니다.
따라서 필요에 따라
3차원적으로 치아를 확인할 수 있는
CT촬영을 진행하게 됩니다.

파노라마 엑스레이 촬영 (2차원)

CT촬영 (3차원)
Q. 발치 후 또 내원이 필요한가요❓
사랑니 발치 후
약 일주일 뒤 실밥제거와 함께
회복 경과를 체크하기 위해
다시 한번 내원이 필요합니다.
Q. 사랑니 발치 전 꼭 스케일링을 받아야 하나요❓
사랑니 발치 전 스케일링을 진행하는 이유는
치아에 쌓여있는 치석이나 치태를 제거해
발치시 노출되어 있는 부위의 세균감염을 막고
청결한 상태를 유지하기 위함입니다.
사랑니 발치 후 주의사항
강남레옹치과는 발치 후 주의사항과 관리법을
안내문과 동영상 링크로 전달드리고 있습니다.
✅거즈는 2시간
발치 후 물려준 거즈는 2시간 동안
꼭 물고 계시고 고쳐물거나 빼지 마세요.
✅식사와 약복용
마취가 풀리면 식사를 하실 수 있으며
처방해드린 약을
빠짐없이 드시는 것이 좋습니다.
✅붓기관리
발치 부위 볼이나 목 안쪽이 부을 수 있으므로
함께 드린 얼음팩으로 냉찜질을 해주세요.
(3일 후 부터는 따뜻한 찜질)
✅마취풀림
부분마취는 2~4시간 이후 풀리고
입술과 볼 안쪽을 씹지 않도록 조심하세요.
✅빨대사용 금지
발치 후 빨대사용은 피해주세요.
입안 압력으로 인해
지혈에 방해가 될 수 있습니다.
✅무리한 운동/목욕은 NO!
발치 후 3~4일 동안은
무리한 운동, 수영, 뜨거운 목욕(찜질방, 사우나
등을 삼가해주세요.
✅자극적인 음식 NO!
발치 후 3~4일 동안
뜨겁고 자극적인 음식도 피해주세요.
✅양치질
잇솔질은 평소처럼 하시되
뽑은 곳은 조심해서 양치해주시며
발치부위에 음식물이 끼지 않도록
물로 자주 헹궈주시는 것이 좋습니다.
✅음주/훕연 NO!
술, 담배는 일주일동안 삼가주세요.
✅예약 방문 필수!
경과 관찰 및 실밥제거를 위해
예약된 날 치과에 내원해주세요.
대학병원을 권유받은 고난도 케이스도
강남레옹치과를 많이 찾아와 주시는데요.
이유는 20년 이상의 임상경험 노하우와
그럼에도 꾸준한 연구활동, 학회활동을 통해
지속적으로 수준높은 진료를
이어가고 있기때문인 것 같습니다.
강남레옹치과 사랑니 발치에 대해
궁금한 점이 있으시면
편하게 문의댓글 달아주세요!
강남레옹치과
앞니통합치료, 뉴티스
반점치 치료부터 잇몸이식, 치아성형,
잇몸성형, 치아미백, 잇몸미백,
앞니 레진치료, 치아교정, 뉴티스라미를
다루고 있는 앞니통합치료입니다.








Previous image Next image