아카이브 요약
이 페이지의 역할
강남레옹치과의원의 네이버 블로그 원문을 보존한 아카이브 페이지입니다. 건강정보 카테고리의 뉴티스 잇몸미백✨ 웃을 때 드러나는 검은 잇몸 개선 / 강남레옹치과 글을 통해 병원의 한국어 정보 제공 방식과 진료 관련 안내 톤을 확인할 수 있습니다.
원문 검증
필요하면 원문 블로그와 병원 프로필로 바로 이동해 문맥을 다시 확인할 수 있습니다.
출처 아카이브 열기아카이브된 블로그 글
강남레옹치과의원 · Naver Blog
안녕하세요 강남레옹치과입니다😊 오늘은 앞니통합치료 뉴티스의 잇몸미백에 대해 알아보겠습니다. 치아미백은 많이 들어봤지만 잇몸미백은 생소하신 분들이 많을 것 같습니다. 다양한 이유로 인해 선홍빛이 아닌 검게 착색된 잇몸을 갖게 된 경우가 있습니다. 이럴 경우 뉴티스 잇몸미백으로 본래의 선홍빛으로 개선될 수 있습니...
게시일
2025년 4월 22일
원문 기준으로 확인된 발행일입니다.
카테고리
건강정보
원문 블로그 카테고리를 정리해 함께 표시합니다.
이미지 수
14
현재 아카이브에 연결된 이미지 수입니다.
아카이브 요약
강남레옹치과의원의 네이버 블로그 원문을 보존한 아카이브 페이지입니다. 건강정보 카테고리의 뉴티스 잇몸미백✨ 웃을 때 드러나는 검은 잇몸 개선 / 강남레옹치과 글을 통해 병원의 한국어 정보 제공 방식과 진료 관련 안내 톤을 확인할 수 있습니다.
원문 검증
필요하면 원문 블로그와 병원 프로필로 바로 이동해 문맥을 다시 확인할 수 있습니다.
출처 아카이브 열기안녕하세요 강남레옹치과입니다😊
오늘은 앞니통합치료 뉴티스의
잇몸미백에 대해 알아보겠습니다.
치아미백은 많이 들어봤지만
잇몸미백은 생소하신 분들이 많을 것 같습니다.
다양한 이유로 인해 선홍빛이 아닌
검게 착색된 잇몸을 갖게 된 경우가 있습니다.
이럴 경우 뉴티스 잇몸미백으로
본래의 선홍빛으로 개선될 수 있습니다.
검은 잇몸의 원인과 사례를 통해
개선방법을 알아보겠습니다.

검게 착색된 잇몸의 원인
잇몸이 검게 되는 이유는 다양합니다.
잇몸은 피부처럼 멜라닌 세포가 있는데
선천적으로 멜라닌 세포가
다량 분포되어있는 경우 검게 보입니다.
혹은 환경적으로
흡연으로 담배의 니코틴/타르에 노출되면
치아뿐만 아니라 잇몸도 착색될 수 있습니다.
아니면 질병의 증상 중 하나로
잇몸이 검은색으로 변할 수 있으며
자외선 노출(멜라닌 세포),
영양부족으로 인해 생기를 잃어
검게 보일 수 있습니다.

뉴티스 잇몸미백 / 웃을 때 드러나는 검은 잇몸 개선 / 강남레옹치과
뉴티스 잇몸미백
검게 착색된 잇몸을 개선하기 위한 잇몸미백 방법은
레이저시술/화학박피술/버를 이용한 연마로
크게 세가지가 있습니다.
이 중 뉴티스 치아미백은 버(bur)를 이용하여
치료를 진행하고 있습니다.
버나 미세연마 기구를 사용하여
잇몸 포면의 멜라닌 색소층을
물리적으로 직접 제거하는 방식입니다.
이전에는 레이저도 이용했으나
레이저를 이용한 치료는
추가적인 진료를 필요로 한 경우가 많아
한번의 시술로 만족스러운 결과를
얻을 수 있는 버로 진행하고 있습니다.
뉴티스 잇몸미백
진행과정은 다음과 같습니다.
✅검진 및 치료계획
잇몸상태와 치주질환 여부를 확인하고
치료계획을 세웁니다.
그리고 감염예방을 위해 스케일링을 진행합니다.
치주질환이 있다면
선 치료 후 잇몸미백을 진행할 수 있습니다.
✅국소마취
부분 국소마취를 진행하여
시술동안의 불편함을 줄입니다.
✅잇몸표면 제거
치과용 다이아몬드 버(bur)또는
미세 연마기구를 이용하여
변색된 잇몸 표면을 얇게 제거합니다.
✅잇몸보호 및 진정처리
필요에 따라 시술 후 보호제 도포,
진통제를 처방해드리고 있으며
연마 후 잇몸의 일시적인 출혈이 있거나
민감해질 수 있습니다.
✅상태체크 내원
약 1~2주 후 회복상태 체크를 위해
내원합니다.


뉴티스 잇몸미백 / 웃을 때 드러나는 검은 잇몸 개선 / 강남레옹치과
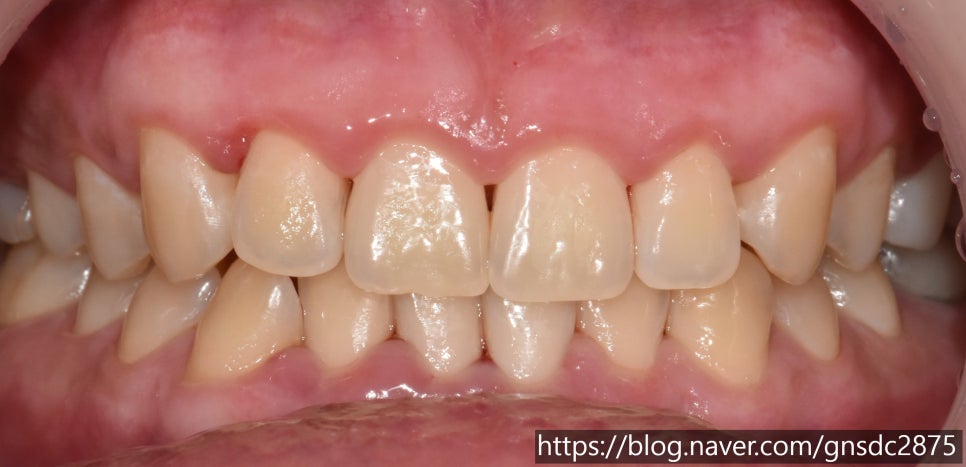
검은잇몸 개선 사례
뉴티스 잇몸미백을 통해
검게 착색된 잇몸이 개선된 사례입니다.
#CASE
상하악의 검은 잇몸
뉴티스 잇몸미백 후
약 2주 후 선홍빛으로 변화된 모습입니다.


뉴티스 잇몸미백 / 웃을 때 드러나는 검은 잇몸 개선 / 강남레옹치과
시술 후 주의사항과 질문
뉴티스 잇몸미백 후 주의사항입니다.
시술 후 뜨겁거나 자극적인 음식은 피합니다.
부드러운 칫솔을 사용하여 양치합니다.
흡연/음주 회복에 방해되므로 지양합니다.
한번으로 효과가 있나요❓
대부분의 환자분들은 한번의 시술로
본래의 분홍빛으로 변화됩니다.
하지만 개인의 멜라닌 색소침착 정도에 따라
추가 치료를 필요로 할 수 있습니다.
다시 검어질까요❓
잇몸도 관리가 잘 되지 않으면
이전처럼 다시 어두워질 수 있습니다.
특히 흡연은 주요 원인이며
신체건강에도 좋지 않기때문에
금연을 권장드립니다.
질환이나 영양부족으로 인해 착색된 경우
근본적인 문제 해결이 우선입니다.
그렇지 않은 경우, 꼭 잇몸미백이 필요한 것은 아닙니다.
심미적으로 신경이 쓰이시다면
뉴티스 잇몸미백을 고민해보는 것도 좋을 것 같습니다.
이외 궁금한 점이 있으시다면
편하게 댓글로 남겨주세요.
강남레옹치과
앞니통합치료, 뉴티스
반점치 치료부터 잇몸이식, 치아성형,
잇몸성형, 치아미백, 잇몸미백,
앞니 레진치료, 치아교정, 뉴티스라미를
다루고 있는 앞니통합치료입니다.








Previous image Next image