아카이브 요약
이 페이지의 역할
강남레옹치과의원의 네이버 블로그 원문을 보존한 아카이브 페이지입니다. 건강정보 카테고리의 사랑니 발치 후 회복과정 한 눈에 보기🔍 / 강남역 사랑니 강남레옹치과 글을 통해 병원의 한국어 정보 제공 방식과 진료 관련 안내 톤을 확인할 수 있습니다.
원문 검증
필요하면 원문 블로그와 병원 프로필로 바로 이동해 문맥을 다시 확인할 수 있습니다.
출처 아카이브 열기아카이브된 블로그 글
강남레옹치과의원 · Naver Blog
안녕하세요 강남레옹치과입니다😊 사랑니 발치를 위해 찾아와주시는 많은 분들로 오늘도 바쁜 강남레옹치과입니다. 요즘에는 강남레옹치과의 뉴티스 앞니통합치료를 위해 해외에서도 많이 방문해주고 계십니다. 반점치 치료나 잇몸치료, 뉴티스라미까지 앞니치료 전반을 다루며 단계적으로 필요한 진료만 최소한으로 진행하여 좋은 결과물...
게시일
2025년 6월 13일
원문 기준으로 확인된 발행일입니다.
카테고리
건강정보
원문 블로그 카테고리를 정리해 함께 표시합니다.
이미지 수
21
현재 아카이브에 연결된 이미지 수입니다.
아카이브 요약
강남레옹치과의원의 네이버 블로그 원문을 보존한 아카이브 페이지입니다. 건강정보 카테고리의 사랑니 발치 후 회복과정 한 눈에 보기🔍 / 강남역 사랑니 강남레옹치과 글을 통해 병원의 한국어 정보 제공 방식과 진료 관련 안내 톤을 확인할 수 있습니다.
원문 검증
필요하면 원문 블로그와 병원 프로필로 바로 이동해 문맥을 다시 확인할 수 있습니다.
출처 아카이브 열기안녕하세요 강남레옹치과입니다😊
사랑니 발치를 위해 찾아와주시는 많은 분들로
오늘도 바쁜 강남레옹치과입니다.
요즘에는 강남레옹치과의
뉴티스 앞니통합치료를 위해 해외에서도
많이 방문해주고 계십니다.
반점치 치료나 잇몸치료, 뉴티스라미까지
앞니치료 전반을 다루며 단계적으로
필요한 진료만 최소한으로 진행하여
좋은 결과물을 보여드리니
많은 분들이 알아주시고
만족해하시는 것 같습니다.
오늘은 사랑니 발치 후
회복 과정을 면밀히 살펴보려고 하는데요.
발치한 사랑니,
도대체 언제 어떻게 회복될까요?

내 사랑니는 완전매복?
사랑니는 평균 16~25세 성인이 되면서
입안 가장 안쪽에서 나는 마지막 어금니입니다.
사랑니가 선천적으로 없는 경우도 있으며
있다면 양옆 위아래 총 4개가 맹출됩니다.
'나는 사랑니가 안 났는데?' 싶다면
매복일 가능성이 높습니다.
사랑니의 매복 종류는 크게 3가지로 나뉩니다.
| 사랑니 종류 | 설명 |
|---|---|
| 단순매복치 | 잇몸 밖으로 자라거나 살짝 덮여있어 관리만 잘 된다면 꼭 발치하지 않아도 됩니다. 만약 발치하게 된다면 단순발치하여 통증이 크지 않습니다. |
| 복잡매복치 | 잇몸이나 아래턱뼈에 사랑니가 일부 묻혀있거나 누워서 난 경우를 말합니다. 인접치아나 신경과 가까워져 문제를 일으키거나 통증을 유발할 수 있고, 음식물이 부분적으로 노출된 치아에 끼어 염증이나 충치가 생기기 쉽습니다. |
| 완전매복치 | 잇몸 안에 아주 매복되어 있는 상태를 말합니다. 이 상태는 눈으로 보이지 않아 x-ray 촬영뿐 아니라 ct로 정확한 위치와 상태 확인이 필요합니다. 다른 치아나 주변 치아 뿌리부분을 손상시키고 다양한 문제를 일으킬 수 있어 발치가 꼭 필요한 경우입니다. |
사랑니 꼭 뽑아야 할까?
사랑니 발치를 진행하는 이유는
사랑니의 위치와 맹출특징때문입니다.
사랑니의 매복 종류를 보면 알 수 있듯이
현대인들은 턱이 좁아져
거의 매복된 상태로 자라나 염증/통증을 유발하고
혹여 바르게 맹출하였더라도
가장 안쪽에 위치하여 위생관리가 쉽지 않아
충치가 생길 가능성이 큽니다.
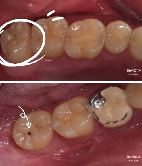
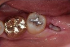
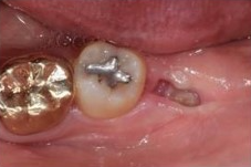
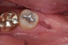
아래 케이스를 보면 위아래 사랑니가
정상 맹출되었으나 충치가 진행되어
주변치까지 영향을 주기 전에
발치를 진행하였습니다.

사랑니 발치 후 회복과정 한 눈에 보기 / 강남역 사랑니 강남레옹치과
사랑니의 기능은 매우 질긴음식을 먹을 때 유효한데
현대인들은 그럴 일이 별로 없기 때문에
그 기능을 체감하기는 힘듭니다.
따라서 문제가 생기기 전
되도록 회복이 빠른 젊은 나이에
발치를 권유드리곤 합니다.
그러나 만약 정맹출되었고 염증소견이 없으며
관리가 잘 된다고 판단되면
굳이 발치를 하진 않습니다.
사랑니 발치과정
강남레옹치과의 사랑니발치 과정은
다음과 같습니다.
발치 전 처방약 복용
(항생제/진통제)
🔻
파노라마 엑스레이 촬영
(*필요시 추가 CT촬영)
🔻
발치 안내와 동의서 작성
🔻
감염예방 스케일링 진행
🔻
국소마취 후
사랑니 발치
🔻
주의사항 및 관리법 안내
🔻
일주일 후 실밥제거
및 회복체크 내원
자세한 발치 과정과 QnA는
아래 포스팅을 통해 확인하실 수 있습니다.
사랑니 발치 후 회복🩹
사랑니 발치 후 치유기간은 매복정도와
연령에 따라 차이가 있을 수 있으나
대게 발치와(발치구멍)이 메워지고
잇몸이 완전히 회복되는 데까지
보통 1~3개월이 소요됩니다.
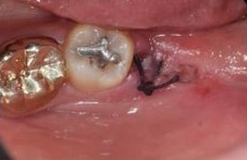
✅발치 전과 그 다음날
사랑니 발치 전과 그 다음날입니다.
절개하여 발치한 부위를 실밥으로
봉한 모습이 보입니다.
이때 2~3일 동안은
미세한 출혈이 있을 수 있으며
비릿한 피맛이 느껴질 수 있습니다.
출혈이 심하지 않는다면 이는
자연스러운 현상입니다.


발치전 / 다음날
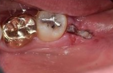
✅3일차 / 4일차
4일차에 실밥이 제거된 모습입니다.
보통은 발치후 일주일 정도 후
내원하여 실밥제거와 함께
회복상태를 체크합니다.
4~5일차가 되면
봉합실이 느슨하다고 느껴질 수 있는데
이는 잇몸이 어느정도 아물고
안정화가 되어 그런것입니다.
모르는 사이 풀렸다해도
큰 걱정은 하지 안하도 되며
약속한 날짜에 치과에 방문하여
실밥을 제거하고 소독을 받으면 됩니다.
실밥제거시 잇몸을 스치는 느낌이 있지만
별다른 통증은 거의 없는 수준입니다.
물론 이보다 빠른날 혹은 봉합당일 풀렸다면
치과에 문의하여
적절한 조치를 받으셔야 합니다.


3일차 / 4일차
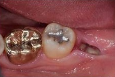
✅5일차 / 10일차
보통 일주일 정도 후부터 본격적으로
잇몸이 닫히기 시작합니다.
실밥 제거 후 발치구멍에
하얀 무언가가 얼핏 보입니다.
이는 음식물이나 염증이 아닌
정상적인 회복과정에 생기는 조직입니다.


5일차 / 10일차
✅12일차 / 17일차
발치구멍이 아직 눈에 띄지만
시간이 갈수록 잇몸이 매끄러워지고
하얀조직도 잇몸으로 정상화되고 있습니다.


12일차 / 17일차
✅24일차 / 30일차
3주에서 한 달정도 지나자
사랑니 자리였던 구멍이
잇몸으로 거의 메워졌습니다.
여기서 앞으로 두세달이 더 지나면
완벽히 회복됩니다.


24일차 / 30일차
사랑니 발치 Q&A
발치 후 구멍에 음식물이 껴요.
발치 후 구멍에 음식물이 끼는 경우가 많습니다.
이 때 기구를 사용해 빼려하지 말고
가벼운 가글로 흘려보내는 것이 좋습니다.
그럼에도 잘 빠지지 않아 불편하다면
치과로 내원하여 소독과 함께
음식물을 제거하고 상태를 확인해드립니다.
발치 후 빨간 피가 고여있어요
지혈이 완료된 후에
발치와에 피가 고여있어 보이는 것은
핏덩이(혈병)로 살이 차오르기 위한
환경이 조성되는 과정입니다.
뱉지마시고 자연스레 떨어져나오게
기다려주시면 됩니다.
만약 지혈이 안되어 피가 계속 흐르는 경우
제공해드린 여분의 거즈로 추가지혈을 해주시고
그럼에도 거즈가 다 젖도록 지혈이 되지 않는다면
치과에 내원해주시기 바랍니다.
발치 후 주변치아가 아파요
발치하며 자극된 잇몸으로 인해
주변치의 잇몸이 붓거나
묵직하고 뻐근한 느낌이 들 수 있습니다.
이는 짧게는 3~4일, 길게는 일주일정도
지속될 수 있으며 그 이후로는
점차 불편감이 사라집니다.
이외에 목통증, 턱관절 통증, 붓기 등의
증상은 아래 글을 통해 확인해주세요!
오늘은 사랑니 발치의 필요성과
발치 후 회복과정을 알아보았습니다.
강남레옹치과에서는
사랑니 발치에 대한 두려움과
치과공포증이 있으신 분들을 위해
수면진료도 제공하고 있습니다.
또한
강남레옹치과 카카오톡을 통해
진료시간 이후에도
사랑니 발치 후 지혈/통증 상담을
제공해드리고 있습니다.

사랑니 발치 후 회복과정 한 눈에 보기 / 강남역 사랑니 강남레옹치과
사랑니발치 비용, 관련 상담이
필요하신 분은 언제든 편하게
댓글 달아주시기 바랍니다!
강남레옹치과
앞니통합치료, 뉴티스
반점치 치료부터 잇몸이식, 치아성형,
잇몸성형, 치아미백, 잇몸미백,
앞니 레진치료, 치아교정, 뉴티스라미를
다루고 있는 앞니통합치료입니다.








Previous image Next image