강남레옹치과의원
잇몸미백 효과 있나요? 시술 전후와 유지기간, 부작용까지! / 강남레옹치과 뉴티스 잇몸미백
안녕하세요 강남레옹치과입니다😊 8월 휴가를 앞두고 치아미백을 위해 방문해주시는 분들이 많은데요. 잇몸도 미백이 가능하다는 사실! 알고 계셨나요? 오늘은 잇몸미백 효과와 부작용까지 알아보겠습니다! 잇몸미백이란? 잇몸미백은 잇몸의 멜라닌 색소나 흡연, 금속보철 등의 외부 자극에 의해 어두워진 잇몸색을 밝고 건강한...
아카이브 요약
이 페이지의 역할
강남레옹치과의원 | Gangnam Leon Dental Clinic | 江南レオン歯科의 네이버 블로그 원문을 보존한 아카이브 페이지입니다. 건강정보 카테고리의 잇몸미백 효과 있나요? 시술 전후와 유지기간, 부작용까지! / 강남레옹치과 뉴티스 잇몸미백 글을 통해 병원의 한국어 정보 제공 방식과 진료 관련 안내 톤을 확인할 수 있습니다.
안녕하세요 강남레옹치과입니다😊
8월 휴가를 앞두고 치아미백을 위해
방문해주시는 분들이 많은데요.
잇몸도 미백이 가능하다는 사실!
알고 계셨나요?
오늘은 잇몸미백 효과와
부작용까지 알아보겠습니다!

잇몸미백이란?
잇몸미백은 잇몸의 멜라닌 색소나
흡연, 금속보철 등의 외부 자극에 의해
어두워진 잇몸색을 밝고
건강한 분홍빛으로 되돌리는 시술입니다.
치아만큼이나
잇몸이 어두워 보이거나 검게 착색되면
전체적인 인상이 달라보일 수 있습니다.
특히 심미적인 부분을 중요시하는
현대사회에서는 잇몸의 색도
자신감이과 이미지에 큰영향을 미치다보니
이런 문제를 해결하기 위해
잇몸미백으로 많은 분들이 방문해주십니다.

치아미백 vs 잇몸미백
치아미백은 주로 산화제(과산화수소 등)을
사용하는 반면,
잇몸미백은 레이저나 화학적 박피술 등을 통해
잇몸 표피를 얇게 제거합니다.

잇몸착색의 원인으로는 다음과 같으며
이럴 경우 잇몸미백을 고려할 수 있습니다.
✅ 유전적으로 잇몸이 검은 경우
✅ 흡연, 보철물로 잇몸색이 변한 경우
✅ 약물 부작용(항암제, 항말라리아제 등)
✅ 치주질환 및 염증
뉴티스 잇몸미백
잇몸미백을 위한 방법으로는
레이저 시술과 화학박피술,
버를 이용한 연마가 있습니다.
강남레옹치과 뉴티스 잇몸미백은
치과용 버를 이용하여 잇몸표면의 멜라닌 색소층을
얇게 제거하는 방식을 통해 진행하고 있습니다.
이전 레이저를 이용하였으나
추가적인 진료가 필요한 경우가 많아
한번의 시술로 효과를 볼 수 있는
버를 채택하게 되었습니다.
잇몸미백 진행과정
1️⃣ 구강검진
치료계획을 세우기 전 잇몸상태를 평가하기 위해
기본 검진과 상담, 치주질환 여부를 확인 후
감염예방을 위해 스케일링을 진행합니다.
(**질환이 있다면
치료 후 시술을 진행합니다.)
2️⃣ 국소마취 후 표면제거
잇몸에 마취주사 후
치과용 기구 (다이아몬드 버)로
착색된 잇몸상피의 멜라닌 색소를 제거합니다.
시술시간은 위 아래 각각
약 10~30분정도 소요됩니다.
3️⃣ 잇몸보호 및 진정처리
경우에 따라 시술 후
보호제를 도포하거나 진통제를 처방합니다.
4️⃣ 회복 및 관리
1~2주 후 잇몸상태를 체크하기위해
내원합니다.


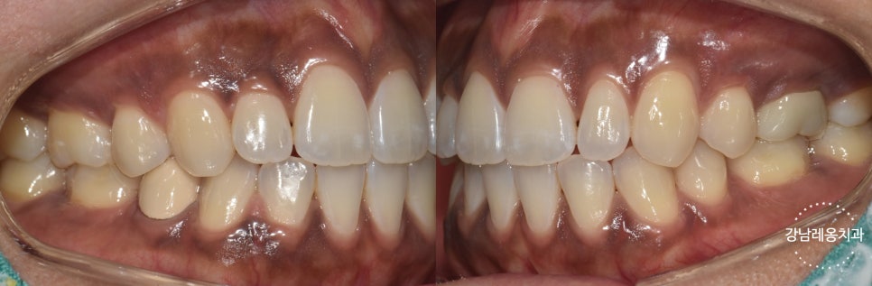
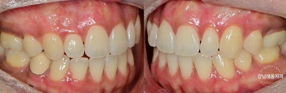
잇몸미백 효과와 유지기간
잇몸미백은 비교적 간단한 시술진행으로
즉각적인 효과를 볼 수 있으며
회복이 완전하게 되면
자연스러운 핑크톤으로 개선됩니다.
유지기간은 개인의 생활습관에 따라 다르지만
평균 2~5년 유지되며
흡연, 착색음료(커피/와인)을 피하고
금속보철물 사용시 조심하는 것이 좋습니다.


잇몸미백 부작용 및 주의사항
잇몸미백 후
✔ 일시적인 통증과 따가움이 있을 수 있으며
✔ 위생관리가 미흡 시 상처부위 감염 가능성이 있습니다.
따라서 다음의 주의사항을 유념하여
잘 회복될 수 있도록 노력하는 것이 필요합니다.

잇몸미백은 단순한 미용시술을 넘어
자신감을 되찾는 데 큰 도움을 줄 수 있습니다.
정확한 진단과 만족스러운 결과를 위해
잇몸상태에 맞춘 맞춤 상담이 가능하고
치주과 전문의가 있는 병원인지 확인,
잇몸미백 시술의 경험이 풍부한지
병원을 신중하게 선택하시기 바랍니다😊
이 외에 잇몸미백에 대해
궁금한 점 있으시면
편하게 댓글, 문의해주세요!
강남레옹치과
앞니통합치료, 뉴티스
반점치 치료부터 잇몸이식, 치아성형,
잇몸성형, 치아미백, 잇몸미백,
앞니 레진치료, 치아교정, 뉴티스라미를
다루고 있는 앞니통합치료입니다.









Previous image Next image
더 보기
이 병원의 공개 콘텐츠를 계속 살펴보세요
출처 아카이브로 돌아가 더 많은 글을 보거나, 병원 프로필로 이동해 다른 공개 채널도 함께 비교해보세요.