아카이브 요약
이 페이지의 역할
강남레옹치과의원의 네이버 블로그 원문을 보존한 아카이브 페이지입니다. 건강정보 카테고리의 입안에서 느껴지는 딱딱한 이물감? 잇몸뼈 돌출 골융기 제거 / 강남레옹치과 글을 통해 병원의 한국어 정보 제공 방식과 진료 관련 안내 톤을 확인할 수 있습니다.
원문 검증
필요하면 원문 블로그와 병원 프로필로 바로 이동해 문맥을 다시 확인할 수 있습니다.
출처 아카이브 열기아카이브된 블로그 글
강남레옹치과의원 · Naver Blog
안녕하세요 강남레옹치과입니다🙂 치과진료 중 간혹 입안 딱딱한 혹 같은 이물감이 만져지며 비정상적인 생김새를 보고 종양인지 문의하시는 분들이 계십니다. 입 안 딱딱한 혹이 만져지는데 혹시 종양인가요? 이럴 때 상당수의 경우 바로 골융기입니다. 오늘은 골융기가 생기는 원인과 특징, 제거 과정을 알아보겠습니다. 입...
게시일
2025년 11월 10일
원문 기준으로 확인된 발행일입니다.
카테고리
건강정보
원문 블로그 카테고리를 정리해 함께 표시합니다.
이미지 수
15
현재 아카이브에 연결된 이미지 수입니다.
아카이브 요약
강남레옹치과의원의 네이버 블로그 원문을 보존한 아카이브 페이지입니다. 건강정보 카테고리의 입안에서 느껴지는 딱딱한 이물감? 잇몸뼈 돌출 골융기 제거 / 강남레옹치과 글을 통해 병원의 한국어 정보 제공 방식과 진료 관련 안내 톤을 확인할 수 있습니다.
원문 검증
필요하면 원문 블로그와 병원 프로필로 바로 이동해 문맥을 다시 확인할 수 있습니다.
출처 아카이브 열기안녕하세요 강남레옹치과입니다🙂
치과진료 중 간혹 입안
딱딱한 혹 같은 이물감이 만져지며
비정상적인 생김새를 보고
종양인지 문의하시는 분들이 계십니다.
입 안 딱딱한 혹이 만져지는데
혹시 종양인가요?
이럴 때 상당수의 경우
바로 골융기입니다.
오늘은 골융기가 생기는 원인과 특징,
제거 과정을 알아보겠습니다.

입 안 딱딱한 혹:
골융기란?
골융기는 구강 내 뼈가 국소적으로
비상적으로 돌출된 형태를 말합니다.
의학적으로는 병적 상태라기보다는
정상적인 해부학적 변이로 분류되며,
대부분 양성으로 특별한 치료가 필요하지 않습니다.
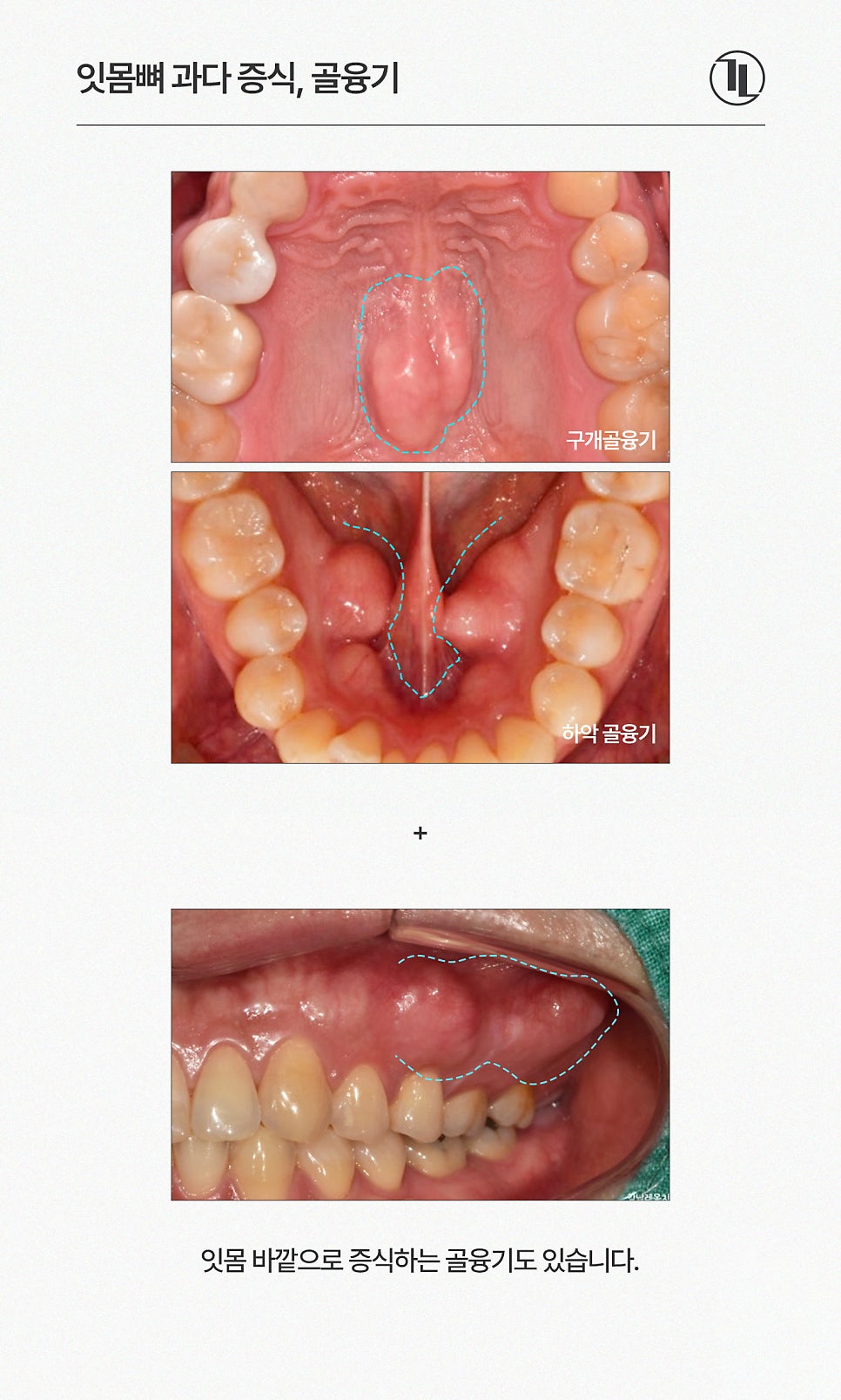
가장 흔히 관찰되는 부위는 두 군데입니다.
뼈가 단단히 솟아있는 형태로 나타나며
대게 통증은 없습니다.
✔ 하악골융기
위치: 혀 아래쪽, 아래 어금니 안쪽 잇몸 부위
특징: 좌우 대칭적으로 발생하며
육안으로는 잇몸이 약간 부풀어 보입니다.
✔ 구개골융기
위치: 입천장(구개) 중앙 부위
특징: 입천장 가운데 돌출된 단단한 혹

골융기의 원인
골융기는 발생 위치에 따라
하악골융기와 구개골융기로 구분됩니다.
두 형태 모두 같은 원리로 생기지만
위치와 형태 빈도에서 약간의 차이가 있습니다.
✔ 하악골융기
하악골융기는 저작 습관이나
교합력의 분포와 연관이 있다고 알려져 있습니다.
즉, 씹는 힘이 강하거나
특정 부위로 치아를 자주 사용하는 경우
해당 부위의 뼈가 자극을 받아
점차 돌출될 수 있습니다.
✔ 구개골융기
유전적 요인이나 성장과정 중
특정 부위가 더 자라나 융기 형태로 발생합니다.
하악골융기보다 상대적으로 흔하며
여성에게 높은 발생 빈도를 보입니다.
어릴 때는 눈에 띄지 않다가
성인기에 접어들며 뚜렷해지는 경우가 많습니다.
골융기 증상
골융기 대부분 무증상으로 발견됩니다.
즉, 통증이나 염증이 없기 때문에
'입안에 혹이 생긴 것 같다'라고 느껴
우연히 발견되는 경우가 다수입니다.
하지만 크기가 커지거나 자극을 받는 경우
여러 가지 불편감이 생길 수 있습니다.
✔ 무증상
대부분 통증이 전혀 없고
단지 단단한 혹이 만져지는 느낌만 있습니다.
골융기는 양성이고 비병적이므로
걱정하지 않으셔도 됩니다.
✔ 물리적 자극으로 인한 불편감
딱딱한 음식이 닿을 때 자극감
발음 불편감
틀니 착용 불편
골융기 제거:
필요성과 수술 과정
골융기 대부분의 경우
치료가 필요하지 않는 해부학적 변이입니다.
즉, 질병이 아니기 때문에 형태가 특별히
문제를 일으키지 않는다면
단순 관찰만으로 충분합니다.
다만, 몇 가지 특정 상황에서는
수술적 제거가 필요할 수 있습니다.
✔ 보철치료에 방해가 되는 경우
돌출된 뼈로 필요한 틀니 장착/
임플란트/교정 치료가 어렵다면
골융기를 제거가 필요합니다.
✔ 위생관리 어려움
음식물이 돌출된 부위 사이에
쉽게 끼어 제거하기 어렵거나
칫솔질이 불편하여 위생관리가
불편한 경우 제거하는 것이 좋습니다.
✔ 심미적 불편감
골융기는 외관상 눈에 띄지 않지만
혀로 만져지고 깔끔하지 않은 이물감에
스트레스를 받는다면
제거를 고려할 수 있습니다.

골융기 제거 수술 과정은
다음과 같습니다.
① 진단 및 CT 분석
영상 검상을 통해 뼈 구조와 정확한 위치 확인,
제거가 필요한 부위와 범위를 설정합니다.
② 국소마취
수술 전 수술 부위 또는 주변을
국소마취를 진행하여 통증을 최소화합니다.
③ 골융기 제거
골융기를 덮고 있는 점막을 절개하고
노출된 골융기를 핸드피스와 버를 이용해
단계적으로 제거합니다.
④ 회복
잇몸 조직을 다시 덮고 봉합한 후
일주일 정도 회복 후
실밥 제거를 위해 내원합니다.

골융기 Q&A
Q. 수술 후 양치질은 어떻게 하나요?
칫솔은 수술 부위를 피해 주변만 살살 닦고
부드럽게 가글 해주세요.
Q. 식사는 아무거나 먹어도 되나요?
음식은 처음 2~3일 동안은 부드럽고
자극 없는 음식을 드시는 게 좋습니다.
딱딱하고 매운 음식은 수술 부위에
자극이 되어 회복에 방해가 될 수 있습니다.
Q. 술/담배 하면 안 되나요?
네. 술과 담배는 최소 일주일 정도
삼가시는 게 좋습니다.

오늘은 잇몸뼈가 과다 증식하는
골융기에 대해 알아보았습니다.
해부학적 변이 상태로 대부분 무증상이고
특별히 치료가 필요하지 않다고 했는데요.
다만, 다른 보철치료에 방해가 되거나
위생관리/심리적으로 스트레스를 받는다면
제거를 고려해 볼 수 있습니다.
이 외에 궁금한 점이 있으시면
편하게 댓글 달아주세요!
강남레옹치과
앞니통합치료, 뉴티스
반점치 치료부터 잇몸이식, 치아성형,
잇몸성형, 치아미백, 잇몸미백,
앞니 레진치료, 치아교정, 뉴티스라미를
다루고 있는 앞니통합치료입니다.
뉴티스만의 스마일 시뮬레이션을 통해
시술 전 사진만으로
시술 후의 모습을 영상으로 확인해보세요!










Previous image Next image