강남레옹치과의원
만 65세 이상 틀니 보험적용 혜택과 과정💫 / 보훈위탁병원 강남레옹치과
안녕하세요 강남레옹치과입니다🙂 강남레옹치과는 지난 2024년 약제 적격성 평가, 진료내용, 인력 및 접근성 등 다양한 요인을 종합적으로 판단하여 국가보훈부 위탁의료기관으로 선정되었는데요. 오늘은 이러한 보훈대상자와 더불어 65에 이상의 환자분들이 가장 문의를 많이 해주시는 틀니 보험혜택에 대해 알아보려 합니다....
아카이브 요약
이 페이지의 역할
강남레옹치과의원 | Gangnam Leon Dental Clinic | 江南レオン歯科의 네이버 블로그 원문을 보존한 아카이브 페이지입니다. 건강정보 카테고리의 만 65세 이상 틀니 보험적용 혜택과 과정💫 / 보훈위탁병원 강남레옹치과 글을 통해 병원의 한국어 정보 제공 방식과 진료 관련 안내 톤을 확인할 수 있습니다.
안녕하세요 강남레옹치과입니다🙂
강남레옹치과는 지난 2024년
약제 적격성 평가, 진료내용, 인력 및 접근성 등
다양한 요인을 종합적으로 판단하여
국가보훈부 위탁의료기관으로 선정되었는데요.
오늘은 이러한 보훈대상자와 더불어
65에 이상의 환자분들이
가장 문의를 많이 해주시는
틀니 보험혜택에 대해 알아보려 합니다.
나이가 들수록 특히
치아 건강은 삶의 질과 직결됩니다.
65에 이상 어르신들은
건강보험을 통해 틀니 치료 비용의
상당 부분을 지원받을 수 있습니다.
이번 글에서는 보험 적용 기준부터
지원 범위, 치료과정을 알아보겠습니다.

틀니 보험적용 기준은?
건강보험공단은 만 65세 이상 어르신에게
전체 또는 부분틀니 제작 시
비용 일부를 지원하고 있습니다.
이는 단순 복지차원이 아닌
고령자의 영양 상태와 생활의 질을 고려한
제도라고 할 수 있습니다.
✓ 지원 대상:
만 65세 이상 건강보험 가입자
또는 피부양자
✓ 지원 범위:
-
완전 틀니 (상하악)
-
부분 틀니
✓ 지원 횟수:
7년에 1번씩
✓ 관리 지원:
장착 후 3개월 이내에는
6회까지 무상 유지관리
✓ 본인 부담금은
총액의 30%
※ 만 65세 미만인 경우
건강보험 적용이 되지 않아
비급여로 전액 본인이 부담하게 됩니다.

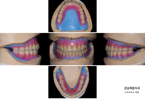
틀니 치료 과정
틀니 제작은 한 번에 끝나는 시술이 아닌
단계별로 진행되는 정밀 진료입니다.
보통 2~4주 정도가 소요되며
5~6회 정도의 내원이 필요합니다.
과정 다음과 같습니다.
※ 개인의 구강 상태에 따라
치료기간이 달라질 수 있습니다.
① 진단 및 치료계획
환자의 구강 상태를 점검 후
해부학적 구조 확인을 위한
본을 뜨고 (예비 인상채득),
개인 트레이를 제작합니다.

② 정밀 인상채득
사전에 제작한 개인 트레이를 이용하여
잇몸모양, 혀의 움직임 등을 확인한
정밀본 인상채득을 진행합니다.

③ 교합 및 높이측정
위아래 치아의 물리는 위치와
털의 높이를 측정하여
틀니의 높낮이를 체크합니다.

④ 납의치 시적
최종 틀니를 완성하기 전
임시 틀니를 착용하여
교합상태와 외형, 말할 때의 느낌 등을 확인하고
수정 및 최종 디자인을 결정합니다.

⑤ 최종 틀니 제작 및 장착
수정된 정보를 바탕으로 최종 틀니 제작,
완성된 틀니를 구강에 장착하고
유지 관리 방법에 대해 설명합니다.

⑥ 사후관리
틀니 장착 후 3개월 이내에는
6회까지 무상 유지관리하며
3개월 이후에는 보험 진료비가 발생됩니다.
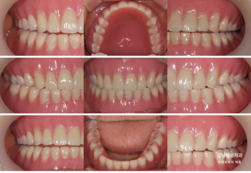
틀니 vs 임플란트
임플란트와 틀니 모두
치아를 대체하는 방법이지만
방식과 보험혜택 지원 기준이 다릅니다.
| 틀니 | | 임플란트 |
|---|---|---|
| 탈부착 가능 | 시술 방식 | 잇몸뼈고정식립 |
| 약 한 달 | 치료 기간 | 수개월 소요 |
| 만 65세 이상7년에 한 번씩 | 보험 적용 | 만 65세 이상인당 평생 2개 |
| 세척·보관 필요 | 관리 | 자연치아처럼 관리 |
| 비교적 저렴 | 비용 | 높은 편 |
내 예산과 구강상태에 따라
어느 것이 적절한지
강남레옹치과에 상주하고 있는
보철과 전문의와 상담하여
결정하시길 권유드립니다.
틀니 보험혜택와
틀니 치료 과정에 대해 알아보았습니다.
정부는 만 65세 이상 어르신에게
틀니 치료비를 지원하고 있습니다.
고령자의 치아 건강은
단순한 외모와 씹는 기능의 문제가 아닌
식사와 대화 삶의 만족도로 직결됩니다.
틀니 보험혜택에 대해
더 궁금한 점이 있으시면
강남레옹치과에 문의해주세요^^
강남레옹치과
앞니통합치료, 뉴티스
반점치 치료부터 잇몸이식, 치아성형,
잇몸성형, 치아미백, 잇몸미백,
앞니 레진치료, 치아교정, 뉴티스라미를
다루고 있는 앞니통합치료입니다.









Previous image Next image
더 보기
이 병원의 공개 콘텐츠를 계속 살펴보세요
출처 아카이브로 돌아가 더 많은 글을 보거나, 병원 프로필로 이동해 다른 공개 채널도 함께 비교해보세요.