강남 스마일뷰치과의원 | Gangnam Smile View Dental Clinic | SMILEVIEW歯科 | SMILEVIEW牙醫
중년 라미네이트, 과하지 않게 달라질 수 있을까요?
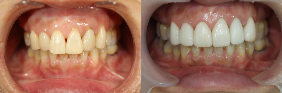
실제 비포 애프터 비교 변화 분석 “이 나이에 라미네이트 해도 괜찮을까요?” “너무 티 나거나 인위적일까 봐 걱정돼요.” 중년 환자분들이 가장 많이 하는 질문입니다. 결론부터 말하면, 중년 라미네이트는 ‘젊어 보이게’가 아니라 ‘정돈돼 보이게’ 하는 치료입니다. 🔹 사례 설명 ① 비포 상태 앞니 마모 치아 색...
실제 비포 애프터 비교 변화 분석
“이 나이에 라미네이트 해도 괜찮을까요?” “너무 티 나거나 인위적일까 봐 걱정돼요.”
중년 환자분들이 가장 많이 하는 질문입니다.
결론부터 말하면, 중년 라미네이트는 ‘젊어 보이게’가 아니라 ‘정돈돼 보이게’ 하는 치료입니다.

🔹 사례 설명 ① 비포 상태
-
앞니 마모
-
치아 색 어두움
-
미세한 벌어짐, 블랙트라이앵글
-
잇몸 라인 불균형
-
웃을 때 치아가 짧아 보임
치아는 나이가 들수록 안쪽의 상아질이 두꺼워 지면서 점점 더 노랗게 변합니다.
여기에 커피, 차, 와인등으로 착색까지 생겨서 더욱 더 어두워 지죠.
② 치료 계획
-
과한 화이트닝 피하기
-
치아 길이 최소 보정(약간만 더 길게 해서 웃을때 윗니 치아가 더 보이길 원하심)
-
얼굴 나이에 맞는 톤 선택(얼굴이 하얗고 밝아서 조금더 밝은 톤 선택)
-
잇몸 노출 고려한 라인 디자인(잇몸 라인 내려간 부분 최대한 보정)
-
삭제 최소 라미네이트( 최소한의 삭제로 최대한의 부착력을 얻는것이 기술)
애프터 사진은 사용한지 1년 되고 나서 찍은 사진으로 큰 착색없이 사용하고 계십니다.
치아만 정돈되도 웃을때 미소가 더욱 정갈해 보이는것이 라미네이트의 핵심인것 같습니다.
그리고 나이가 들수록 신경은 퇴축하고, 상아질 부분이 더 두꺼워지기 때문에
라미네이트를 진행할때 시릴 가능성도 더욱 줄어들어서 어쩌면 시니어에게 굉장히 좋은 진료가 될수있겠다는 판단입니다.
이상 신논현역 치과 스마일뷰치과 김한결 대표원장입니다.
감사합니다.
Explore More
Keep Browsing This Clinic's Korean Content Trail.
Return to the source archive for more posts, or move back to the clinic profile to compare the rest of the clinic's public channels.