아카이브 요약
이 페이지의 역할
세라믹치과의원의 네이버 블로그 원문을 보존한 아카이브 페이지입니다. 치아교정 전후 카테고리의 40대에 이어 50대 치아교정 전후사례 증가 추세 글을 통해 병원의 한국어 정보 제공 방식과 진료 관련 안내 톤을 확인할 수 있습니다.
원문 검증
필요하면 원문 블로그와 병원 프로필로 바로 이동해 문맥을 다시 확인할 수 있습니다.
출처 아카이브 열기아카이브된 블로그 글
세라믹치과의원 · Naver Blog
안녕하세요. 치아교정잘하는곳 학동역 세라믹치과입니다. 100세 시대라 일컬어지는 요즘, 40대 분들은 말 할 것 없이 50세 이후 50대 치아교정을 시작하는 분들이 늘어나고 있습니다. 실제 저희 세라믹치과에도 자녀의 치아교정을 위해 같이 내원하신 부모님께서 자녀와 함께 치아교정을 진행하시는 경우도 늘어나고 있으며,...
게시일
2025년 7월 22일
원문 기준으로 확인된 발행일입니다.
카테고리
치아교정 전후
원문 블로그 카테고리를 정리해 함께 표시합니다.
이미지 수
31
현재 아카이브에 연결된 이미지 수입니다.
아카이브 요약
세라믹치과의원의 네이버 블로그 원문을 보존한 아카이브 페이지입니다. 치아교정 전후 카테고리의 40대에 이어 50대 치아교정 전후사례 증가 추세 글을 통해 병원의 한국어 정보 제공 방식과 진료 관련 안내 톤을 확인할 수 있습니다.
원문 검증
필요하면 원문 블로그와 병원 프로필로 바로 이동해 문맥을 다시 확인할 수 있습니다.
출처 아카이브 열기안녕하세요.
치아교정잘하는곳 학동역 세라믹치과입니다.
100세 시대라 일컬어지는 요즘,
40대 분들은 말 할 것 없이
50세 이후 50대 치아교정을 시작하는
분들이 늘어나고 있습니다.
실제 저희 세라믹치과에도
자녀의 치아교정을 위해 같이 내원하신 부모님께서
자녀와 함께 치아교정을 진행하시는 경우도
늘어나고 있으며, 40대를 넘어
50대~60대 분들까지도 치아교정을 받고 계십니다.

50대 치아교정, 40세 교정
40대, 50대, 60대 분들의
중년 치아교정 증가 원인은?
수명 연장 / 치아의 전방경사
중년 치아교정이 증가하는 데에는
다양한 원인을 찾아 볼 수 있을 텐데요,
평균수명 혹은 기대수명이
1970년대만 해도 62세였는데,
지금은 84세 정도로 보고 있습니다.

한편, 통계청의 자료에 따르면
앞으로 27년 뒤인 2052년
80세 이상 인구는 무려 800만명이 넘을 것으로 추산하고 있습니다.
(2025년 현재 53세 이상인 분들이
이에 해당하실 거 같네요.)


앞으로 살아갈 날이 한참 남았기에,
40대, 50대, 60대에도 치아 건강과 외모에
신경을 더 쓰게 되는 것은 당연합니다.
치아가 건강해야 맛있는 음식,
건강에 좋은 음식을 마음껏 드실 수 있으며,
치아가 가지런할수록 더 젊고
건강해보이는 효과가 있으니까요.
앞서 살펴본 기대수명 증가와는 별개로,
우리의 신체는 나이가 들수록
'노화'라는 변화 과정을 겪게 됩니다.

어릴 때는 가지런했던 치아 구조가,
나이가 들면서 점점 앞으로 튀어나오거나,
더 삐뚤어진 거 같아 고민하시는 분들이 많습니다.
치아의 교합력(치아와 턱의 씹는 힘)은
전방(입술쪽)으로 힘을 가하는 구조입니다.

젊을 때 정상적인 교합이었던 분들도,
수십년 동안 교합력으로 인해
앞쪽으로 힘을 받게 되므로
젊을 때는 잇몸과 뼈가 전방으로 가해지는 힘에
저항할 정도로 탄탄하지만,
나이가 들어갈수록 잇몸과 뼈가 약해지면서
교합력의 전방력을 견디기 어려워지고
그 결과로 앞니가 삐뚤어지거나 앞으로 뻐드러지면서,
앞니 사이에 틈도 생기게 됩니다.
40대, 50대 이후
치아교정의 효과
부정교합의 유형에 따라 차이는 있겠지만,
50대치아교정을 하게 되면
▷ 기능적으로
양치가 잘 되어 치아와 잇몸 건강이 좋아지고
치아 본연의 씹는 능력(저작력)도 좋아지며,
소화도 더 잘 됩니다.
또한,
나중에 임플란트를 심게 되어도,
교합이 좋은 상태일수록
더 건강하게 오래 유지할 수 있습니다.
▷ 심미적으로
건강해보이는 효과가 있습니다.
40대~50대 치아교정,
성장기 청소년교정과 다른 점은?
청소년, 성장기때는 세포의 대사가 왕성하여
뼈의 흡수와 형성이 활발하기 때문에
치아교정을 할 때, 치아의 이동이 빠르고
치료 기간도 짧아집니다.
청소년, 성장기 때와 비교를 하면
40대, 50대 치아교정은 세포 활성도 등이 낮아
치아 이동속도가 느릴 수 있으며,
치아 이동으로 인한 불편감이나 통증이
조금 더 심한 경향이 있습니다.

(뼈 흡수와 뼈 형성에 관한 자세한 내용은
아래 글을 참조해주세요.)
40대나 50대에도 잇몸이 건강하신 분들은
치아교정이 충분히 가능할 뿐 아니라,
20~30대와 비교해서 교정 기간과 결과도
크게 차이가 나지는 않습니다.
50대 치아교정을
진행할 때 주의할 점
⊙ 심한 잇몸질환이 있거나,
⊙ 골다공증, 당뇨가 심한 경우,
⊙ 출혈성 질환, 턱관절장애가 심한 경우 등
⊙ 잇몸뼈에 영향을 줄 수 있는 질환이 있는 분이나
⊙ 골 대사에 영향을 미칠 수 있는 약을 복용중인 경우는
치아교정을 바로 시작하지 않는 것이 좋습니다.
✅ 골다공증 약을 복용 중인 경우,
뼈를 단단하게 만드는 효과가 있어서
치아의 이동이 쉽지 않을 수 있습니다.
✅ 당뇨병은 혈당 조절이 어려운 만성질환으로,
잇몸 염증을 유발하거나
치유 속도를 늦출 수 있기 때문에,
치아교정 과정 중 잇몸 손상이나
염증 위험이 증가할 수 있습니다.
따라서
40대~50대에 치아교정을 시작하실 경우,
치과교정과 전문의와 상담을 하시면서
반드시 본인의 질환이나 드시고 계신 약에
대하여 상세하게 고지하셔야 합니다.
50대 치아교정전후 사례
오늘 살펴볼 50대 치아교정전후
사례의 주인공은 50대 후반 여성분으로
삐뚤빼뚤한 치열과,
앞니의 반대교합을 개선하고 싶어서
교정을 시작하셨습니다.
따님도 세라믹치과에서 교정을 했고,
그 결과에 매우 만족하셔서
이후에 교정을 시작하셨습니다.
(1) 50대 치아교정전후 사례자 프로필
▶️ 교정 시작 나이 : 50대 후반
▶️ 교정 시작 이유 : 치열불규칙
▶️ 예상 교정 기간 : 15~18개월
▶️ 치료방법 : 비발치, 세라믹교정
(2) 문제점 분석, 진단
① 치열불규칙


② 앞니 반대교합

③ 아래턱 돌출 경향

(3) 치료방법
치아배열 개선과 위쪽 앞니를
바깥쪽으로 이동하는 것을 목표로
"비발치교정"을 하는 것으로 진단하였습니다.
위 아래 반대교합으로 인해
교정 브라켓이 부딪히는 것을 막기 위해
특수 장치인 'Posterior Bite Plate'를 장착합니다.
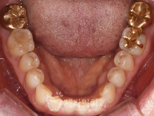
(4) 50대 치아교정 치료 결과
(실제 교정치료 기간 : 16개월)
① 치열불규칙 개선

삐뚤빼뚤하던 치열이 가지런하게 개선되었습니다.
② 앞니 반대교합 개선


아래 앞니가 위 앞니를 덮고 있던 반대교합이
정상교합으로 개선되었습니다.
③ 아래턱 돌출 경향 개선 효과


※ 돌출된 턱 자체를 뒤로 밀어넣은 것은 아닙니다.
안쪽으로 밀려들어가있던 위쪽 치아와 잇몸이
치아교정을 통해 균형잡힌 위치로 이동을 하면서
인중에서 입술로 이어지는 라인과
윗 입술이 볼륨감이 생겼고,
아래 잇몸의 돌출 경향이 개선된 효과가 나타납니다.
④ 스페셜 효과 :
자연스럽고 세련된 미소 장착


교정 전에는 치아를 벌리고 활짝 웃으려 해도
아래 앞니만 보여지면서 어색한 미소를 짓게 되셨는데,
50대에 어렵게 결정하신 치아교정을 통해
좀 더 자연스럽고 세련된 미소를 장착하게 되셨습니다.
오늘 50대 치아교정전후,
반대교합과 치열불규칙 사례를 살펴보았는데요!
청소년, 성장기의 교정과 비교하면
치아교정 시작 단계에서는
조금 더 고려해야 할 부분들이 많지만
치아교정 후 긍정적인 효과와 만족도는
매우 높다는 걸 확인하실 수 있었습니다.
40대, 50대, 60대 치아교정이 고민이라면?
망설이지 말고 치아교정전문의와 상담하세요~!
(아래 버튼 클릭!!)

세라믹치과는
국내 최상위권 대학 출신 의료진이 진료하며,
치아교정 의료진은 모두
보건복지부 인증 '치과교정과 전문의' 입니다.







Previous image Next image





Previous image Next image