아카이브 요약
이 페이지의 역할
세라믹치과의원의 네이버 블로그 원문을 보존한 아카이브 페이지입니다. 세라네이트 카테고리의 강남구청역 치과, 70대 외국인 환자의 라미네이트 글을 통해 병원의 한국어 정보 제공 방식과 진료 관련 안내 톤을 확인할 수 있습니다.
원문 검증
필요하면 원문 블로그와 병원 프로필로 바로 이동해 문맥을 다시 확인할 수 있습니다.
출처 아카이브 열기아카이브된 블로그 글
세라믹치과의원 · Naver Blog
강남구청역 치과, 세라믹치과의 대표 원장 김선민입니다. 오늘은 조금 특별한 케이스를 소개해 드리려 합니다. 미국 샌프란시스코에서 한국까지 직접 방문해 주신 71세 러시아계 미국인 여성 환자분의 라미네이트 치료 이야기입니다. 최근 진행한 라미네이트 케이스 중 가장 고령의 환자분이시기도 하고, 한국 환자분들과는 다른 심미...
게시일
2026년 2월 10일
원문 기준으로 확인된 발행일입니다.
카테고리
세라네이트
원문 블로그 카테고리를 정리해 함께 표시합니다.
이미지 수
11
현재 아카이브에 연결된 이미지 수입니다.
아카이브 요약
세라믹치과의원의 네이버 블로그 원문을 보존한 아카이브 페이지입니다. 세라네이트 카테고리의 강남구청역 치과, 70대 외국인 환자의 라미네이트 글을 통해 병원의 한국어 정보 제공 방식과 진료 관련 안내 톤을 확인할 수 있습니다.
원문 검증
필요하면 원문 블로그와 병원 프로필로 바로 이동해 문맥을 다시 확인할 수 있습니다.
출처 아카이브 열기강남구청역 치과, 세라믹치과의 대표 원장 김선민입니다. 오늘은 조금 특별한 케이스를 소개해 드리려 합니다. 미국 샌프란시스코에서 한국까지 직접 방문해 주신 71세 러시아계 미국인 여성 환자분의 라미네이트 치료 이야기입니다.
최근 진행한 라미네이트 케이스 중 가장 고령의 환자분이시기도 하고, 한국 환자분들과는 다른 심미적 기준을 갖고 계셔서 여러모로 흥미로웠던 케이스입니다. 앞니의 모양과 잇몸 라인 개선, 그리고 치아 사이 공간을 해결하기 위해 잇몸절제술과 라미네이트를 병행한 과정을 상세히 공유해 드리겠습니다.
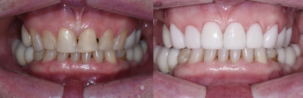
치료 전후사진

아드님 소개로 미국에서 찾아오신 71세 환자분
이번 환자분은 러시아계 미국인 여성으로, 샌프란시스코에 거주하고 계십니다. 사실 처음 인연은 아드님을 통해서였습니다. 아드님께서 작년에 본원에서 윗니 라미네이트 8개를 진행하셨는데, 결과에 매우 만족하셔서 이번에는 어머님을 직접 모시고 다시 방문해 주셨습니다. 참고로 본원 치료 후 바로 다음 날 성형외과 수술도 예정되어 있으셨는데, K-Beauty 의 위력을 실감할 수 있는 사례이기도 했습니다.
환자분의 고민 – 앞니 모양, 잇몸 라인, 치아 사이 공간
환자분께서 가장 불편해하셨던 부분은 크게 세 가지였습니다. 먼저, 앞니의 모양과 잇몸 라인이 예쁘지 않다는 것이었습니다. 두 번째로 치아 사이사이에 보이는 공간이 신경 쓰이신다고 하셨고, 세 번째로는 하얗고 절단면 라인이 곧은 '헐리우드 스타일'을 원하셨습니다.

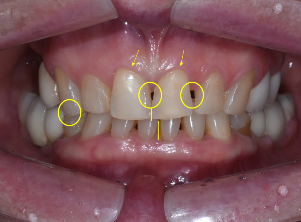
실제로 구강 내를 확인해 보니 여러 가지 문제가 복합적으로 존재했습니다.
| 문제점 | 상세 내용 |
|---|---|
| 치아 크기 | 위 앞니 두 개(중절치)가 상대적으로 크고, 오른쪽 옆 앞니(측절치)는 작아 비율이 맞지 않는 상태 |
| 블랙 트라이앵글 | 위 앞니 두 개 사이에 검은 삼각형 모양의 공간(블랙 트라이앵글) 존재 |
| 치아 사이 | 왼쪽 앞니와 옆 앞니 사이에 벌어진 공간 존재 |
| 잇몸 비대칭 | 좌우 잇몸 높이가 다르고 불균형한 상태 |
| 마모 | 오른쪽 옆 앞니 끝부분이 닳아서 길이가 짧은 상태 |
| 색조 차이 | 기존에 수복한 레진 부위의 색상이 주변 치아와 달라 눈에 띄는 상태 |

위아랫니 맞물림이 매우 긴밀하다. 이런 경우 라미네이트 탈락이 잦을 수 있어 조심해야 한다.

오른쪽 옆 앞니 절단면 마모로 치아 길이가 짧아진 상태와 송곳니의 정출이 관찰됩니다

왼쪽 앞니 사이 간격과 기존 작은어금니 부위의 올세라믹 크라운이 보입니다
하지만 다행인 점은, 위쪽 어금니 여러 개가 빠진 상태임에도 불구하고 앞니 부위의 교합이나 마모 정도, 치아 기울기가 비교적 양호하게 유지되고 있었다는 것입니다. 치아 크기와 비율을 잘 조정하고, 블랙 트라이앵글과 간격만 개선하면 좋은 결과를 기대할 수 있는 케이스였습니다.
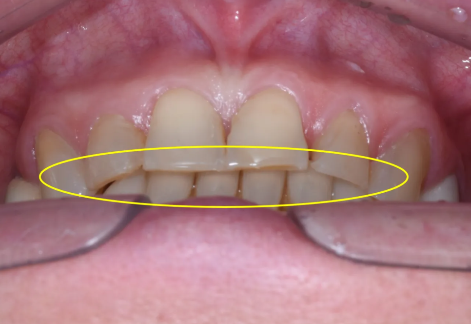
잇몸 라인 다듬기
라미네이트를 진행하기 전에, 먼저 잇몸절제술이 필요했습니다. 잇몸절제술이란 과잉으로 덮여 있는 잇몸 조직을 제거하여 치아가 보이는 길이를 늘려주고, 잇몸 라인의 대칭을 맞춰주는 시술입니다.
이 환자분의 경우 위 앞니 두 개(중절치)의 잇몸 라인이 좌우 비대칭이었고, 잇몸이 치아를 많이 덮고 있어 치아가 짧아 보이는 상태였습니다. 오른쪽 옆 앞니(측절치)도 마모로 인해 길이가 짧은 상태였기 때문에, 양쪽 옆 앞니까지 총 4개 치아 부위에 잇몸절제술을 진행하여 좌우 대칭성을 확보했습니다.

잇몸라인을 다듬으니 답답하던 치아의 길이가 시원하게 변했습니다. (징그러운 출혈만 살짝 AI로 보정한 사진입니다)
잇몸절제술과 라미네이트를 함께 진행하면, 단순히 치아 표면만 바꾸는 것이 아니라 치아의 가로-세로 비율과 잇몸 라인의 조화까지 한 번에 개선할 수 있습니다. 다만 중요한 점은, 잇몸이 충분히 안정화된 후에 최종 보철물을 세팅해야 한다는 것입니다. 잇몸이 불안정한 상태에서 세팅하면 출혈이 생기거나 변연 적합이 떨어질 수 있기 때문입니다.
치료 과정
치료는 다음과 같은 순서로 진행되었습니다.
1단계: 잇몸절제술
2단계: 라미네이트를 위한 최소 삭제
3단계: 쉐이드(색상) 매칭
4단계: 교합 조정
추가로, 위쪽 어금니 부위의 다수 결손에 대해서는 임시 틀니를 제작해 드렸습니다. 임플란트는 추후 해외에서 식립하실 예정이라 우선 기능적으로 사용하실 수 있도록 배려했습니다.
최종 결과 – 블랙 트라이앵글 해소, 대칭적 잇몸 라인, 헐리우드 스마일 완성
최종 세팅 결과, 환자분께서 고민하셨던 문제들이 모두 깔끔하게 개선되었습니다.
| 치료 전 | 치료 후 |
|---|---|
| 위 앞니 사이 블랙 트라이앵글 | ✅ 효과적으로 개선 |
| 왼쪽 앞니와 옆 앞니 사이 간격 | ✅ 간격 해소 |
| 치아 크기·비율 불균형 | ✅ 조화롭게 조정 |
| 잇몸 라인 비대칭 | ✅ 잇몸절제 후 대칭적으로 안정화 |
| 색조 불일치 | ✅ 기존 크라운과 자연스럽게 조화 |
| 환자 희망 스타일 | ✅ 하얗고 곧은 헐리우드 스타일 완성 |
특히 기뻤던 점은, 잇몸절제술 부위가 건강하게 안정화되어 세팅 시 출혈이 전혀 없었다는 것입니다. 71세 고령임에도 잇몸 치유와 라미네이트 적합 모두 매우 양호한 결과를 보여주셨습니다.

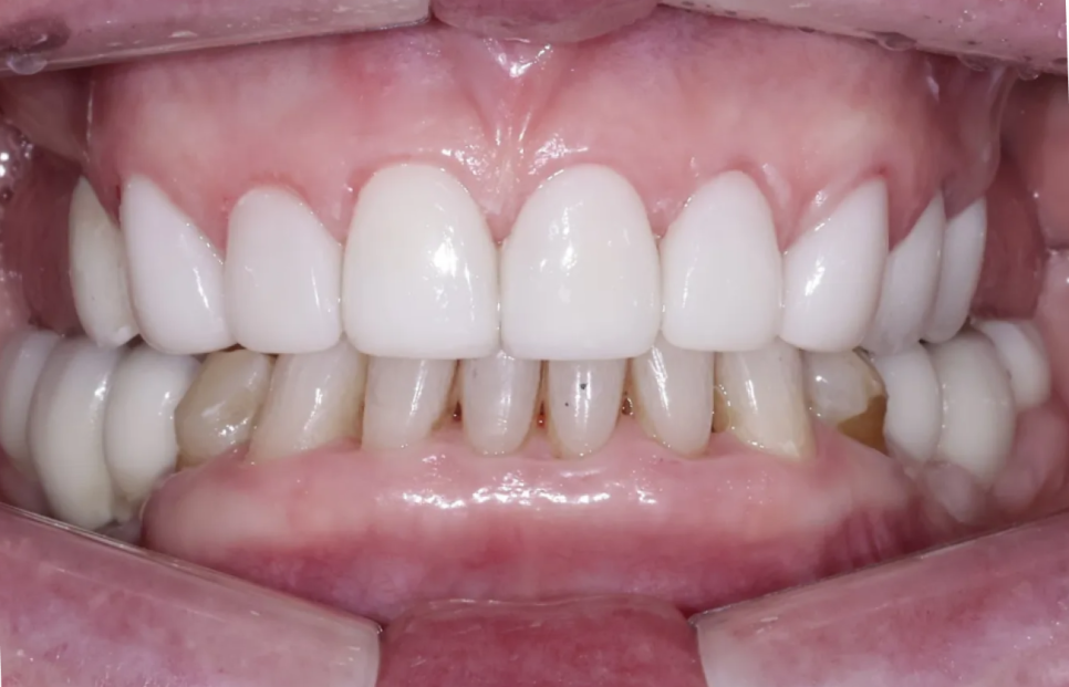
최종 세팅 완료 후 전체 모습. 교합 균형과 색조 조화가 안정적으로 유지되고 있습니다

블랙 트라이앵글과 간격이 깔끔하게 개선되었고, 잇몸 라인도 대칭적으로 완성된 모습입니다.
환자분이 원하셨던 헐리우드 스타일의 밝고 곧은 절단면 라인이 잘 표현되었습니다
한국과 외국의 심미 기준 차이 – '자연스러움' vs '헐리우드 스타일'
이번 케이스를 진행하면서 다시 한번 느낀 점이 있습니다. 바로 나라와 문화에 따라 '예쁜 치아'의 기준이 다르다는 것입니다.
| 구분 | 한국 환자분 선호 | 서양 환자분 선호 |
|---|---|---|
| 색상 | 자연치아에 가까운 자연스러운 색상 | 밝고 하얀 색상 |
| 형태 | 인위적이지 않은 부드러운 라인 | 곧고 균일한 직선적 절단면 |
| 전체 느낌 | 보철물 했는지 안 했는지 티가 안 나는 것 | 확실하게 예쁘고 정돈된 느낌 |
흔히 '헐리우드 스마일'이라고 불리는 스타일은 밝고 윤기 있는 색상에 균형적인 배열, 곧은 절단면 라인이 핵심입니다. 이번 환자분께서도 정확히 이 스타일을 원하셨고, 환자분의 기대에 맞춰 디자인과 색상을 결정했습니다.

헐리우드 스타일의 예. 밝고 균일한 색상과 곧은 절단면 라인, 균형적인 배열이 특징.
치과 의사로서 어떤 스타일이 더 옳다고 말할 수는 없습니다. 환자분 개개인의 문화적·개인적 심미 기준을 존중하고 정확하게 반영하는 것이 가장 중요하다고 생각합니다.
고령의 라미네이트 환자분과의 따뜻한 인연
이번 케이스는 제가 최근 진행한 라미네이트 환자분 중 가장 고령인 71세 환자분의 사례였습니다. 이 케이스를 통해 다시 한번 느낀 것은, 나이에 관계없이 아름다운 미소에 대한 열망은 누구에게나 존재한다는 것입니다.
위쪽 어금니 여러 개가 빠진 상태임에도 불구하고, 앞니 부위의 교합과 마모 상태, 치아 기울기가 비교적 양호하게 유지되어 있어 좋은 예후를 기대할 수 있었던 케이스였습니다. 잇몸절제술 부위도 깔끔하게 안정화되어 매우 만족스러운 결과를 얻을 수 있었습니다.
아드님과의 인연으로 시작된 이 치료는 저에게도 특별한 경험이었습니다. 아드님과는 내원하실 때마다 친해져서 세팅 당일 연락처를 주고받았고, 현재까지도 친하게 연락을 주고받고 있습니다. 어머님도 라미네이트 치아에 아주 만족하고 계신다는 소식을 전해 들었습니다.
외국에서 한국까지 오셔서 치료를 결심하신 만큼, 그 신뢰에 보답할 수 있는 결과를 드릴 수 있어 정말 보람 있었던 케이스였습니다. 앞니 모양이나 잇몸 라인, 치아 사이 공간 등으로 고민이 있으신 분들은 편하게 상담해 주세요. 감사합니다.

