아카이브 요약
이 페이지의 역할
세라믹치과의원의 네이버 블로그 원문을 보존한 아카이브 페이지입니다. 치아사이틈 카테고리의 블랙트라이앵글, 원인과 치료법 총정리 글을 통해 병원의 한국어 정보 제공 방식과 진료 관련 안내 톤을 확인할 수 있습니다.
원문 검증
필요하면 원문 블로그와 병원 프로필로 바로 이동해 문맥을 다시 확인할 수 있습니다.
출처 아카이브 열기아카이브된 블로그 글
세라믹치과의원 · Naver Blog
앞니 블랙 트라이앵글, 진료실에서 환자분들이 정말 자주 걱정하시는 문제입니다. 안녕하세요, 세라믹 치과 원장 김선민입니다. 오늘은 바로 이 주제에 대해 이야기해 볼까 합니다. "선생님, 이 사이에 검은 틈이 보여요" 라고 말씀하시는 분들이 생각보다 많습니다. 특히 앞니 부분에 생기면 웃을 때 신경이 쓰여서 입을 가...
게시일
2026년 2월 13일
원문 기준으로 확인된 발행일입니다.
카테고리
치아사이틈
원문 블로그 카테고리를 정리해 함께 표시합니다.
이미지 수
6
현재 아카이브에 연결된 이미지 수입니다.
아카이브 요약
세라믹치과의원의 네이버 블로그 원문을 보존한 아카이브 페이지입니다. 치아사이틈 카테고리의 블랙트라이앵글, 원인과 치료법 총정리 글을 통해 병원의 한국어 정보 제공 방식과 진료 관련 안내 톤을 확인할 수 있습니다.
원문 검증
필요하면 원문 블로그와 병원 프로필로 바로 이동해 문맥을 다시 확인할 수 있습니다.
출처 아카이브 열기앞니 블랙 트라이앵글, 진료실에서 환자분들이 정말 자주 걱정하시는 문제입니다. 안녕하세요, 세라믹 치과 원장 김선민입니다. 오늘은 바로 이 주제에 대해 이야기해 볼까 합니다.
"선생님, 이 사이에 검은 틈이 보여요"
라고 말씀하시는 분들이 생각보다 많습니다. 특히 앞니 부분에 생기면 웃을 때 신경이 쓰여서 입을 가리게 되고, 자신감이 떨어지는 경우도 있습니다.
보통 스케일링 후에 발견되는 경우가 많은 편인데, 이는 스케일링 후에 치석이 없어져서 더 잘 보이고 잘 느껴지는 경우가 많을 뿐 스케일링이 블랙 트라이앵글을 만드는 것은 아닙니다.
이 글에서는 다음과 같은 내용을 꼼꼼하게 정리해 드릴게요.
블랙 트라이앵글이 정확히 무엇인지
블랙 트라이앵글은 왜 생기는지
어떤 치료 방법이 있는지
블랙 트라이앵글이란?
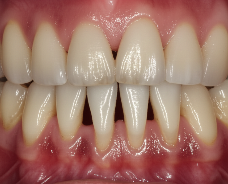
블랙 트라이앵글은 말 그대로 치아와 치아 사이에 잇몸이 채우지 못하는 삼각형 모양의 검은 공간을 말해요. 정식 명칭으로는 Open Gingival Embrasure(개방성 치은 공극)이라고 부르는데, 어려운 용어보다는 블랙 트라이앵글이라는 이름이 훨씬 직관적이죠.

치아 사이에 보이는 검은 틈. 블랙 트라이앵글이라고 부릅니다.
블랙 트라이앵글은 주로 앞니 부분에서 눈에 잘 띄기 때문에 심미적인 고민의 원인이 되는 경우가 많아요. 다만, 블랙 트라이앵글은 단순히 보기에 안 좋은 것을 넘어서 음식물이 자꾸 끼거나, 발음에 영향을 주는 등 기능적인 불편함도 동반할 수 있어요. 그래서 미관상의 문제만으로 가볍게 넘기기보다는 적절한 관리와 치료가 필요한 경우가 많답니다.
블랙 트라이앵글의 주요 원인
블랙 트라이앵글이 생기는 원인은 한 가지가 아니에요. 여러 가지 요인이 복합적으로 작용하는 경우도 많은데요, 대표적인 원인을 표로 정리해 드릴게요.
| 원인 | 설명 |
|---|---|
| 잇몸병 | 가장 흔한 원인이에요. 잇몸에 염증이 생기면 치아를 지지하는 뼈(치조골)가 파괴되면서 잇몸이 내려가게 돼요. |
| 교정 치료 후 | 겹쳐있던 치아가 가지런해지면서, 원래 숨겨져 있던 잇몸 소실이 드러나는 경우예요. 교정이 직접 원인이라기보다는 기존에 있던 문제가 눈에 보이게 되는 것에 가까워요. |
| 노화 | 나이가 들면서 잇몸 조직이 자연적으로 위축되는 현상이에요. 어느 정도는 자연스러운 변화이기도 해요. |
| 치아 형태 | 치아 모양이 역삼각형(위가 넓고 아래가 좁은 형태)인 경우, 치아끼리 닿는 점(접촉점)이 높아서 블랙 트라이앵글이 생기기 쉬워요. |
특히 교정 치료 후 블랙 트라이앵글이 나타나면 "교정을 잘못한 건가?" 하고 걱정하시는 분들이 많은데요, 대부분은 삐뚤어진 치아 사이에 숨어 있던 잇몸 후퇴가 치아가 배열되면서 드러난 것이에요. 교정 치료를 계획할 때 이 가능성에 대해 미리 상담받으시는 것이 좋아요.
블랙 트라이앵글의 문제점
블랙 트라이앵글이 가져오는 문제점은 생각보다 다양해요.

가장 큰 문제는 역시 심미적인 부분이에요. 웃을 때 앞니 사이로 검은 공간이 보이면 자신감이 떨어지고, 실제 나이보다 나이 들어 보이는 인상을 줄 수도 있어요. 진료실에서도 이 부분 때문에 상담을 받으러 오시는 분들이 가장 많아요.
하지만 미관 문제만 있는 것은 아니에요. 치아 사이 공간이 벌어져 있으면 음식물이 자주 끼게 되는데, 이것이 제대로 관리되지 않으면 충치나 잇몸병의 위험이 높아져요. 또한 앞니 사이로 공기가 새면서 'ㅅ' 발음 등에 미세한 영향을 줄 수도 있어요.
특히 주의해야 할 점은 악순환의 고리예요. 음식물이 끼고 → 세균이 증식하고 → 잇몸 염증이 악화되고 → 블랙 트라이앵글이 더 커지는 패턴이 반복될 수 있거든요. 그래서 블랙 트라이앵글이 발견되면 방치하지 않고 적극적으로 관리하는 것이 중요해요.
블랙 트라이앵글 치료 방법

원래도 예쁘지만 블랙트라이앵글과 스페이싱을 치료하면 더 예뻐집니다
블랙 트라이앵글의 치료는 크기, 원인, 위치, 원하는 심미적 완성도에 따라 달라져요. 대표적인 치료 방법들을 비교해 드릴게요.
| 치료 방법 | 장점 | 단점 |
|---|---|---|
| 레진 수복 | 비교적 간단하고 경제적 | 심미적으로 라미네이트만큼 예쁘지 않음 |
| 라미네이트/비니어 | 치아 형태 자체를 바꿔 공간을 줄일 수 있으므로 치료 결과가 가장 예쁨 | 전통적으로 치아 삭제가 단점이었으나, 최근에는 무삭제 및 최소삭제 라미네이트가 가능해짐 |
| IPR + 교정 | 치아 사이를 소량 삭제(IPR)한 후 교정으로 접촉점을 낮춰 잇몸이 자연스럽게 채울 수 있도록 유도 | 교정 기간이 추가로 필요 |
레진 수복은 치아 사이에 레진을 붙여 공간을 메우는 방법이에요. 가장 간단하고 비용도 상대적으로 적게 들지만, 치아 사이 부분의 마무리가 완벽하기 어려워서 시간이 지나면서 변색되거나 상태가 악화될 수 있다는 점을 알아두셔야 해요.

레진치료하려면 우선 이 치아 사이를 지점토 같은 걸로 채워서 모양을 만들어야 해요.
완벽하게 예쁘게 만들기는 어려워요
라미네이트(비니어)는 치아 앞면에 얇은 세라믹을 씌워서 치아 형태 자체를 변화시키는 방법이에요. 심미적 완성도가 높은 것이 큰 장점이에요. 과거에는 치아를 많이 깎아야 한다는 부담이 있었지만, 최근에는 무삭제 또는 최소삭제 라미네이트 기술이 발전해서 이런 부담이 크게 줄었어요.

라미네이트 치료, 심미적으로는 최고입니다.
IPR + 교정은 치아 사이를 아주 소량 다듬은 후 교정으로 치아를 모아주는 방법이에요. 치아끼리 닿는 점(접촉점)을 낮춰주면 잇몸이 그 공간을 자연스럽게 채울 수 있도록 유도하는 원리예요. 원리상 매우 좋은 치료방법이기는 하지만 엄연히 "교정"치료이기때문에 시간이 많이 걸린다는 점이 단점이에요.
어떤 방법이 가장 적합한지는 개인의 상황에 따라 다르기 때문에, 반드시 전문의와 충분한 상담을 거친 후 결정하시는 것을 권해 드려요.
블랙 트라이앵글 예방 및 관리 팁
가능하다면 예방이 가장 중요해요.
이미 발생한 블랙 트라이앵글을 되돌리는 것은 쉽지 않기 때문에, 평소 관리에 신경 쓰시는 것이 최선이에요.
올바른 칫솔질: 과도한 힘을 주지 않고 부드럽게, 잇몸을 마사지하듯 닦아주세요. 너무 세게 닦으면 오히려 잇몸이 손상될 수 있어요.
정기적인 스케일링 및 잇몸 검진: 치주질환을 조기에 발견하고 치료하는 것이 블랙 트라이앵글 예방의 핵심이에요.
적절한 치간 관리: 치실과 치간칫솔을 올바른 크기로 사용해 주세요. 너무 큰 치간칫솔을 사용하면 오히려 잇몸이 손상될 수 있으니 주의가 필요해요.
금연: 흡연은 잇몸 건강에 매우 해로워요. 잇몸 건강을 유지하려면 금연은 필수예요.
교정 치료 시 사전 상담: 교정을 계획하고 계시다면, 블랙 트라이앵글 발생 가능성에 대해 전문의와 미리 상의해 두세요.
이미 블랙 트라이앵글이 발생한 경우에도 너무 걱정하지 마시고, 치과에 방문하셔서 본인에게 맞는 치료 방법을 상담받으시면 돼요.
자주 묻는 질문 (FAQ)
Q. 블랙 트라이앵글은 자연적으로 회복되나요?
안타깝게도, 한번 소실된 치아 사이 잇몸(치간유두)과 뼈는 자연적으로 회복되기 매우 어려워요. 그래서 블랙 트라이앵글이 발견되면 적절한 치과 치료를 통해 개선하는 것이 필요해요.
Q. 교정 치료 후 블랙 트라이앵글이 생겼는데, 교정 때문인가요?
이 질문을 정말 많이 받아요. 교정 자체가 직접적인 원인이라기보다는, 겹쳐 있던 치아가 가지런하게 배열되면서 기존에 숨어 있던 잇몸 소실이 눈에 드러나는 경우가 대부분이에요. 즉, 원래 있었던 문제가 보이게 된 것에 가까워요.
Q. 블랙 트라이앵글이 계속 커질 수 있나요?
네, 가능해요. 특히 원인이 되는 잇몸병(치주질환) 등이 해결되지 않으면 점진적으로 커질 수 있어요. 그렇기 때문에 원인을 파악하고 지속적으로 관리하는 것이 매우 중요해요.
블랙 트라이앵글은 보기에도 신경 쓰이고, 기능적으로도 불편함을 줄 수 있는 문제예요. 하지만 원인을 정확히 파악하고 적절한 치료 방법을 선택하면 충분히 개선할 수 있어요.
가장 중요한 것은 예방과 조기 관리예요. 평소 올바른 구강 관리 습관을 유지하시고, 정기적으로 치과 검진을 받으시길 권해 드려요. 이미 블랙 트라이앵글이 있으시다면, 혼자 고민하지 마시고 전문의와 상담을 통해 본인에게 맞는 해결책을 찾아보세요.
감사합니다. 궁금한 점이 있으시면 언제든 문의해 주세요! 😊
