아카이브 요약
이 페이지의 역할
세라믹치과의원의 네이버 블로그 원문을 보존한 아카이브 페이지입니다. 치아미백 클리닉 카테고리의 치아미백, 전문가 치아미백? 홈미백? 셀프미백? 총정리 글을 통해 병원의 한국어 정보 제공 방식과 진료 관련 안내 톤을 확인할 수 있습니다.
원문 검증
필요하면 원문 블로그와 병원 프로필로 바로 이동해 문맥을 다시 확인할 수 있습니다.
출처 아카이브 열기아카이브된 블로그 글
세라믹치과의원 · Naver Blog
안녕하세요, 언주역 세라믹 치과 김선민 원장입니다. 오늘은 많은 분들이 관심을 가지고 계신 치아미백에 대해 이야기해 보려고 합니다. 요즘 카페에서 커피 한 잔, 퇴근 후 와인 한 잔이 일상이 되면서 치아 변색으로 고민하시는 분들이 정말 많아졌습니다. "나도 연예인처럼 하얀 치아를 가질 수 있을까?"라는 생각, 한...
게시일
2026년 2월 16일
원문 기준으로 확인된 발행일입니다.
카테고리
치아미백 클리닉
원문 블로그 카테고리를 정리해 함께 표시합니다.
이미지 수
7
현재 아카이브에 연결된 이미지 수입니다.
아카이브 요약
세라믹치과의원의 네이버 블로그 원문을 보존한 아카이브 페이지입니다. 치아미백 클리닉 카테고리의 치아미백, 전문가 치아미백? 홈미백? 셀프미백? 총정리 글을 통해 병원의 한국어 정보 제공 방식과 진료 관련 안내 톤을 확인할 수 있습니다.
원문 검증
필요하면 원문 블로그와 병원 프로필로 바로 이동해 문맥을 다시 확인할 수 있습니다.
출처 아카이브 열기
안녕하세요, 언주역 세라믹 치과 김선민 원장입니다. 오늘은 많은 분들이 관심을 가지고 계신 치아미백에 대해 이야기해 보려고 합니다.
요즘 카페에서 커피 한 잔, 퇴근 후 와인 한 잔이 일상이 되면서 치아 변색으로 고민하시는 분들이 정말 많아졌습니다. "나도 연예인처럼 하얀 치아를 가질 수 있을까?"라는 생각, 한 번쯤 해보셨을 텐데요. 치아미백은 생각보다 다양한 종류가 있고, 각각의 효과와 주의사항도 다릅니다.
이번 글에서는 치아미백의 원리부터 종류별 특징, 부작용, 효과 유지 방법까지 꼼꼼하게 정리해 드리겠습니다. 미백을 고려하고 계신 분이라면 끝까지 읽어보시면 도움이 될 것입니다.
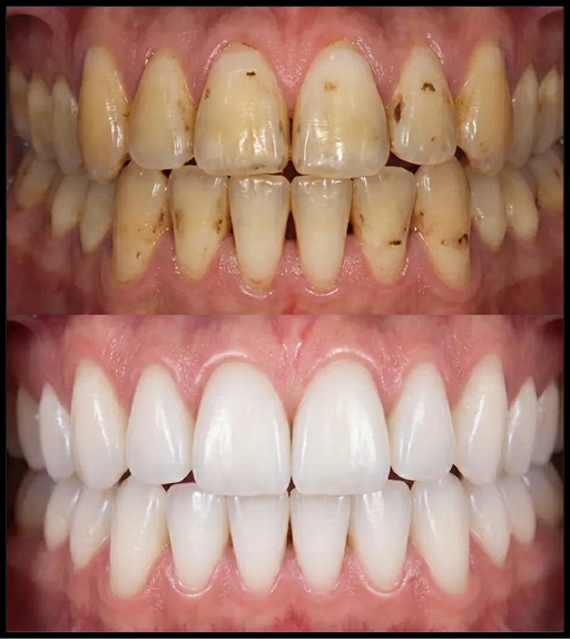
치아미백이란 무엇인가

치아미백이란 변색되거나 착색된 치아를 화학적인 방법으로 밝게 만드는 시술을 말합니다. 단순히 치아 표면을 깎거나 덮는 것이 아니라, 미백 약제가 치아 내부의 색소를 분해해서 자연스럽게 밝은 색으로 바꿔주는 원리입니다.
미백의 핵심 성분은 과산화수소입니다. 이 성분들이 치아의 바깥층(법랑질)과 안쪽층(상아질)에 침투하여 색소를 산화·분해시키는 방식으로 작용합니다. 쉽게 말하면, 치아 속에 쌓인 누런 색소를 화학적으로 빼주는 것이라고 생각하시면 됩니다.
그렇다면 어떤 경우에 미백이 필요할까요? 대표적인 변색 원인은 다음과 같습니다.
음식물: 커피, 와인, 카레, 초콜릿 등 색이 진한 음식
흡연: 담배의 니코틴과 타르에 의한 착색
노화: 나이가 들면서 자연스럽게 치아가 누렇게 변하는 현상
약물: 테트라사이클린 계열 항생제 등에 의한 변색
여기서 중요한 개념이 하나 있습니다. 바로 외인성 변색과 내인성 변색의 차이입니다. 외인성 변색은 커피, 흡연 등으로 인해 치아 표면에 색이 묻는 것을 말하고, 내인성 변색은 약물이나 노화 등으로 치아 내부 자체가 변색되는 것을 말합니다. 외인성 변색은 비교적 미백 효과가 잘 나타나지만, 내인성 변색은 미백 난이도가 높아 전문가 상담이 꼭 필요합니다.
전문가 미백, 흔히 오피스 미백이라고 불리는 이 방법은 치과에서 전문의가 직접 시행하는 미백 시술입니다. 가장 큰 특징은 고농도의 과산화수소를 사용한다는 점입니다. 집에서 사용하는 제품보다 훨씬 높은 농도의 약제를 사용하기 때문에, 그만큼 빠르고 확실한 효과를 기대할 수 있습니다.

전문가 미백: 치과에서 고농도 약제를 바르고 LED를 사용하기도 합니다.
즉시 효과가 나타나는 것이 가장 큰 장점입니다.
시술 과정을 간단히 설명드리면, 먼저 잇몸 보호를 위해 잇몸 차단제를 도포합니다. 고농도 미백제가 잇몸에 닿으면 자극이 될 수 있기 때문에 이 단계가 매우 중요합니다. 그 후 치아 표면에 미백젤을 바르고, LED, 레이저, 할로겐 등의 광원을 쬐어 미백 효과를 촉진시킵니다.
| 항목 | 내용 |
|---|---|
| 사용 약제 | 고농도 과산화수소 |
| 시술 시간 | 1회 약 30분~1시간 |
| 시술 횟수 | 보통 1~3회 반복 |
| 효과 | 시술 직후 2~4단계 정도 밝아짐 |
| 적합한 경우 | 빠른 결과를 원하는 분 |
오피스 미백의 가장 큰 장점은 즉각적인 효과입니다. 시술 직후 바로 눈에 띄는 변화를 확인할 수 있기 때문에, 중요한 행사나 면접 등을 앞두고 빠르게 치아를 밝게 만들고 싶으신 분들에게 특히 추천드립니다.
자가 미백, 즉 홈 미백은 치과에서 개인 맞춤 트레이(틀)를 제작한 후 집에서 직접 시행하는 방법입니다. 치과에 방문하셔서 본인의 치아 모양에 딱 맞는 투명한 트레이를 만든 다음, 그 안에 미백젤을 넣어 착용하는 방식입니다.

홈미백: 이런 틀에 미백약을 짜서 치아에 끼고 있으면 됩니다
오피스 미백과 달리 중간농도의 과산화수소를 사용합니다. 농도가 낮은 만큼 자극은 적지만, 효과가 나타나기까지는 시간이 좀 더 걸립니다. 보통 매일 28시간씩(취침 시 착용 포함) 약 24주간 꾸준히 사용해야 합니다.
| 항목 | 내용 |
|---|---|
| 사용 약제 | 중간농도 과산화수소 |
| 사용 시간 | 매일 2~8시간 |
| 사용 기간 | 약 2~4주 |
| 효과 | 점진적이고 자연스러운 미백 |
| 적합한 경우 | 자연스러운 변화를 원하는 분 |
홈 미백의 장점은 점진적으로 자연스러운 미백 결과를 얻을 수 있다는 것입니다. 또한 오피스 미백과 홈 미백을 병행하는 '듀얼 미백'을 하면 효과를 극대화할 수 있습니다. 치과에서 한 번 강하게 밝힌 뒤, 집에서 홈 미백으로 유지하고 보완하는 방식입니다.
다만 사용법과 농도를 치과 의사의 지시에 따라 정확히 지키는 것이 중요합니다. "더 오래 끼면 더 하얗게 되겠지"라는 생각으로 과도하게 사용하시면 오히려 시린 증상이 심해질 수 있으니 주의가 필요합니다.
3.셀프 미백 (OTC 제품)

시중에서 쉽게 구할 수 있는 셀프 미백 제품들
요즘 약국이나 온라인에서 쉽게 구매할 수 있는 일반 미백 제품들도 많습니다. 대표적인 셀프 미백 제품의 종류를 정리해 드리겠습니다.
| 제품 종류 | 특징 | 사용 방법 |
|---|---|---|
| 미백 치약 | 연마제와 저농도 미백 성분 포함 | 일반 칫솔질과 동일하게 사용 |
| 미백 스트립 | 과산화수소가 코팅된 필름 | 치아에 부착하여 일정 시간 유지 |
| 미백 펜·미백 젤 | 간편한 도포형 제품 | 치아 표면에 직접 바름 |
셀프 미백 제품은 편리하고 접근성이 좋다는 장점이 있지만, 전문가 미백이나 자가 미백에 비해 약제 농도가 낮아 효과가 제한적입니다. 미백 치약의 경우 표면 착색을 어느 정도 제거하는 데 도움이 될 수 있지만, 치아 내부의 변색을 개선하기는 어렵습니다.
특히 주의할 점은, 잘못된 사용 시 잇몸 자극이나 불균일한 미백 결과가 나타날 수 있다는 것입니다.
미백 스트립이 잇몸까지 덮이거나, 치아에 고르게 밀착되지 않으면 부분적으로만 밝아지는 얼룩덜룩한 결과가 생길 수 있습니다. 셀프 미백 제품을 사용하시더라도 사전에 치과 상담을 받아보시는 것을 권장드립니다.
치아미백의 부작용과 주의사항
미백 시술은 비교적 안전한 시술이지만, 알아두셔야 할 부작용과 주의사항이 있습니다.
가장 흔한 부작용은 일시적인 시린 증상(치아 과민증)입니다. 미백 약제가 치아에 침투하면서 신경을 자극할 수 있는데, 대부분 시술 후 며칠 이내에 자연스럽게 사라집니다. 시린 증상이 심한 경우에는 치과에서 처방하는 탈감작 제품을 사용하면 완화할 수 있습니다.
잇몸 자극도 주의해야 합니다. 미백제가 잇몸에 직접 닿으면 발적(빨갛게 부어오름)이나 통증이 발생할 수 있습니다. 오피스 미백에서는 잇몸 차단제를 도포하여 이를 예방하지만, 셀프 미백 시에는 이런 보호 장치가 없으므로 더욱 주의가 필요합니다.
중요한 점 한 가지! 보철물(크라운, 라미네이트, 레진 충전물 등)은 미백되지 않습니다.
자연 치아만 밝아지고 보철물은 기존 색을 유지하기 때문에, 미백 후 보철물과 자연 치아 사이에 색상 차이가 생길 수 있습니다. 보철물이 있는 분들은 미백 전에 반드시 치과 의사와 상담하시는 것이 좋습니다.
또한 미백 직후 48시간 동안은 착색 음식(커피, 카레, 와인, 콜라 등)과 흡연을 자제하셔야 합니다. 미백 직후에는 치아 표면이 일시적으로 탈수 상태가 되어 색소가 더 잘 침투할 수 있기 때문입니다. 이 시기를 잘 관리하시면 미백 효과를 더욱 오래 유지할 수 있습니다.
미백 효과를 오래 유지하는 방법
비싼 돈을 들여 미백을 받으셨다면, 그 효과를 최대한 오래 유지하고 싶으실 것입니다. 다음의 관리법을 꾸준히 실천해 보시기 바랍니다.
착색 유발 음식·음료 섭취 줄이기 - 커피, 홍차, 와인, 카레 등 색이 진한 음식의 섭취를 줄이고, 드실 때는 빨대를 사용하거나 바로 양치하는 습관이 좋습니다.
금연 - 담배는 치아 착색의 가장 큰 원인 중 하나입니다. 미백 효과를 오래 유지하려면 금연이 가장 효과적입니다.
올바른 칫솔질과 치실 사용 - 기본적인 구강 위생을 꾸준히 유지하는 것이 중요합니다.
터치업(touch-up) 미백 고려 - 6개월~1년 주기로 간단한 터치업 미백을 시행하면 효과를 오래 유지할 수 있습니다. 홈 미백 트레이가 있으시다면 주기적으로 짧게 사용하시는 것도 방법입니다.
정기적인 치과 검진 및 스케일링 - 치과에서 정기적으로 스케일링을 받으면 표면에 쌓인 착색을 제거하여 치아를 깨끗하게 유지할 수 있습니다.
자주 묻는 질문 (FAQ)
미백과 관련해서 환자분들께서 자주 물어보시는 질문들을 정리해 보았습니다.
Q. 치아미백은 아프지 않나요?
시술 중이나 시술 후에 일시적으로 시린 증상이 있을 수 있습니다. 하지만 대부분 며칠 내에 자연스럽게 사라지며, 심한 경우에는 탈감작 처치로 완화가 가능합니다. 통증이 두려우신 분들도 크게 걱정하지 않으셔도 됩니다.
Q. 미백 효과는 얼마나 지속되나요?
개인차가 있지만 평균 6개월~2년 정도 지속됩니다. 식습관, 흡연 여부, 구강 관리 습관 등 생활습관에 따라 크게 달라질 수 있습니다. 위에서 말씀드린 유지 관리법을 잘 실천하시면 더 오래 유지할 수 있습니다.
Q. 레진이나 크라운도 미백이 되나요?
아쉽게도 보철물(레진, 크라운, 라미네이트 등)은 미백되지 않습니다. 자연 치아만 밝아지기 때문에 색상 차이가 생길 수 있고, 필요한 경우 미백 후 보철물을 새로 제작하여 색을 맞추는 것을 고려할 수 있습니다.
Q. 치아미백과 스케일링의 차이는 무엇인가요?
| 구분 | 스케일링 | 치아미백 |
|---|---|---|
| 목적 | 치석·치태 제거 | 치아 색 자체를 밝게 |
| 방법 | 물리적 제거(초음파 등) | 화학적 색소 분해 |
| 결과 | 원래 치아 색으로 회복 | 원래보다 더 밝은 색으로 변화 |
스케일링은 치아 표면에 붙은 치석과 치태를 물리적으로 제거하는 시술이고, 미백은 치아 색 자체를 화학적으로 밝게 만드는 시술입니다. 두 가지는 목적이 다르므로, 스케일링으로 표면을 깨끗이 한 후 미백을 진행하면 더 좋은 결과를 얻을 수 있습니다.

지금까지 치아미백의 종류와 효과에 대해 살펴보았습니다. 정리하자면, 자신의 변색 원인과 정도에 따라 적합한 미백 방법이 다릅니다. 빠른 효과를 원하시면 오피스 미백, 자연스러운 변화를 원하시면 홈 미백, 두 가지를 병행하는 듀얼 미백도 좋은 선택입니다.
가장 중요한 것은 안전하고 효과적인 미백을 위해 반드시 치과 상담을 먼저 받으시는 것입니다.
충치나 잇몸 질환이 있는 상태에서 미백을 진행하면 오히려 문제가 생길 수 있고, 보철물의 유무에 따라 시술 계획도 달라지기 때문입니다.
무분별한 셀프 미백보다는 전문가의 진단 하에 진행하는 미백이 더 안전하고 만족도가 높습니다. 치아미백에 대해 궁금한 점이 있으시다면 가까운 치과에 방문하셔서 상담받아 보시길 권합니다. 여러분 모두 환하고 건강한 미소를 되찾으시길 바랍니다. 감사합니다!
