아카이브 요약
이 페이지의 역할
세라믹치과의원의 네이버 블로그 원문을 보존한 아카이브 페이지입니다. 치아교정 전후 카테고리의 언주역 치과, 주걱턱 + 과개교합을 비수술로 치료한 사례 글을 통해 병원의 한국어 정보 제공 방식과 진료 관련 안내 톤을 확인할 수 있습니다.
원문 검증
필요하면 원문 블로그와 병원 프로필로 바로 이동해 문맥을 다시 확인할 수 있습니다.
출처 아카이브 열기아카이브된 블로그 글
세라믹치과의원 · Naver Blog
안녕하세요, 언주역 교정치과, 세라믹 치과의 김선민 원장입니다. 오늘은 많은 분들이 궁금해하시는 "주걱턱도 수술 없이 교정만으로 나아질 수 있나요?" 라는 질문에 대해, 실제 치료 사례를 통해 자세히 이야기해 드리려고 합니다. 주걱턱으로 고민하시는 분들 중 상당수가 수술에 대한 부담감 때문에 치료를 망설이시곤 하는데요...
게시일
2026년 2월 18일
원문 기준으로 확인된 발행일입니다.
카테고리
치아교정 전후
원문 블로그 카테고리를 정리해 함께 표시합니다.
이미지 수
12
현재 아카이브에 연결된 이미지 수입니다.
아카이브 요약
세라믹치과의원의 네이버 블로그 원문을 보존한 아카이브 페이지입니다. 치아교정 전후 카테고리의 언주역 치과, 주걱턱 + 과개교합을 비수술로 치료한 사례 글을 통해 병원의 한국어 정보 제공 방식과 진료 관련 안내 톤을 확인할 수 있습니다.
원문 검증
필요하면 원문 블로그와 병원 프로필로 바로 이동해 문맥을 다시 확인할 수 있습니다.
출처 아카이브 열기안녕하세요, 언주역 교정치과, 세라믹 치과의 김선민 원장입니다. 오늘은 많은 분들이 궁금해하시는 "주걱턱도 수술 없이 교정만으로 나아질 수 있나요?" 라는 질문에 대해, 실제 치료 사례를 통해 자세히 이야기해 드리려고 합니다.

주걱턱으로 고민하시는 분들 중 상당수가 수술에 대한 부담감 때문에 치료를 망설이시곤 하는데요, 모든 케이스가 수술을 꼭 필요로 하는 것은 아닙니다. 오늘 소개해 드릴 사례가 그 좋은 예가 될 거예요.
주걱턱(Class III 부정교합)이란?
주걱턱이란 의학적으로 '하악 전돌증'이라고 하는데요, 쉽게 말해 아래턱이 위턱보다 앞으로 나와 있는 상태를 말합니다. 이런 경우 교합 관계가 정상과 반대가 되는 경우가 많아요.
반대교합이 있으면 단순히 외모의 문제만이 아니라, 음식을 씹는 기능이 떨어지고, 발음이 부정확해질 수 있으며, 심리적으로도 큰 스트레스를 받게 되는 경우가 많아요. 일반적으로 심한 주걱턱은 양악수술이 필요하다고 알려져 있지만, 정밀한 진단을 통해 비수술 교정만으로도 충분히 개선 가능한 케이스도 찾아낼 수 있습니다.

숏박스로 유명한 조진세님이 대표적인 주걱턱입니다
치료전 상태
오늘 소개해 드릴 환자분은 30대 초반 여성으로, 주걱턱과 반대교합이 주된 고민이셨습니다.
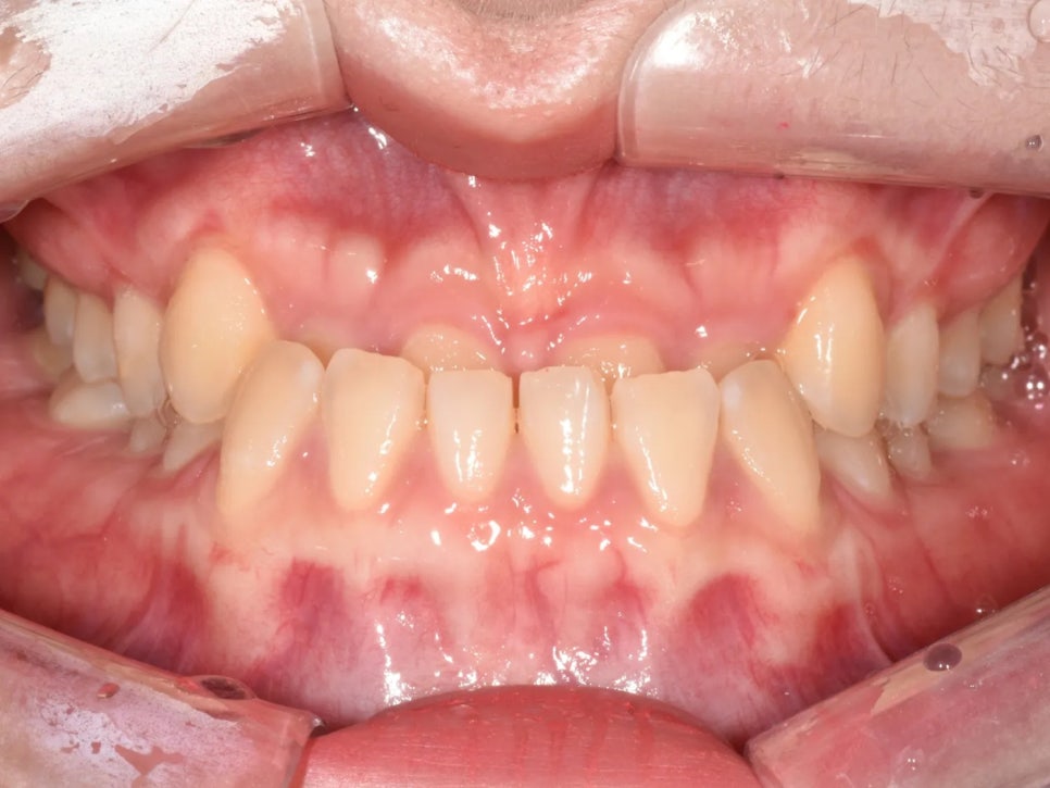
먼저 입 안 사진을 보시면, 앞니 부분의 반대교합이 뚜렷하게 관찰됩니다. 윗 앞니가 아랫 앞니 뒤쪽으로 물리고 있는 상태예요.

아랫니가 윗니보다 나온 반대교합인데, 물리는 깊이도 깊은 과개교합 상태
옆모습 사진에서는 아래턱이 앞으로 돌출되어 있는 모습이 확연하게 보입니다. 전형적인 주걱턱 안모가 나타나고 있었어요.

아래턱 전방 돌출 (주걱턱)이 관찰됩니다
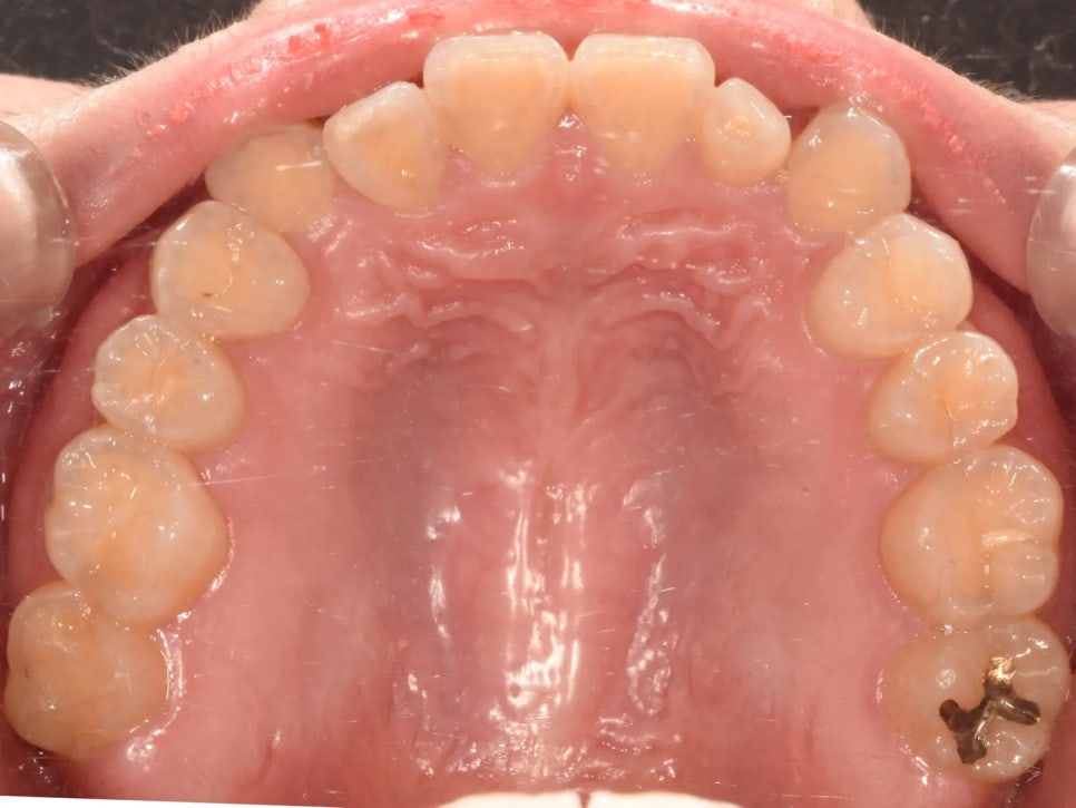
윗니를 위에서 내려다본 사진도 살펴볼게요. 여기서 중요한 포인트가 있는데요, 두 번째 앞니(측절치)가 안쪽으로 들어가 있고, 송곳니는 상대적으로 나와있는 상태였습니다. 즉 윗니들이 다 정상적으로 배열되기에는 위턱의 크기가 다소 부족하다는 것을 의미해요.

치료 전 구내 사진
종합적으로 진단하면, 이 환자분은 뼈 자체에서 기인하는 주걱턱 + 위턱 발달 부족 + 치아 배열 공간 부족이 복합적으로 나타나는 상태였습니다.
치료 계획 – 수술 없이 교정만으로 가능?
이 환자분의 경우 대학병원에서 수술 판정을 받으신 상태였습니다. 물론 심한 주걱턱의 경우 보통 양악수술을 고려하게 되는데요, 이 환자분의 경우 수술도 좋지만 비수술 교정으로 충분히 좋은결과를 낼 수 있을 것으로 보였습니다.
치료의 주된 전략은 크게 두 가지였어요.
| 전략 | 목적 | 방법 |
|---|---|---|
| PBP 장치 적용 | 교합 거상(물리는 높이 올리기) | 윗니가 아랫니를 넘어갈 수 있도록 걸림을 제거 |
| 미니스크류 활용 | 아래 치열 후방 이동 | 돌출된 아래 치열을 뒤로 견인 |
PBP(Posterior Bite Plane)란 입천장 쪽에 장착하는 장치로, 위아래 이가 직접 맞닿지 않도록 높이를 올려주는 역할을 합니다. 반대로 물리고 있는 앞니가 서로 걸리지 않게 해줘야 윗 앞니를 앞으로 넘길 수 있거든요.
최종 목표는 반대교합을 해소하고, 정상적인 교합 관계를 만들어 안모까지 개선하는 것이었습니다.
치료 1단계 – 위턱 확장 및 앞니 공간 확보
첫 번째 단계에서는 말씀드렸던 PBP를 적용했습니다. 이 장치는 입천장에 위치하면서 위턱의 치열을 양옆으로 넓혀주는 역할을 해요.
위턱을 넓히면서 동시에, 맨 앞니와 송곳니 사이의 공간을 벌려주었습니다. 이렇게 하면 안쪽으로 들어가 있던 두 번째 앞니가 제 위치로 나올 수 있는 공간이 생기게 되거든요.
여기서 재미있는 포인트가 있는데요, 송곳니 뒤쪽으로는 작은어금니, 큰어금니 같은 묵직한 치아들이 버티고 있기 때문에, 공간이 확보되면 앞니들이 자연스럽게 앞쪽(입술 방향)으로 이동하는 효과가 나타납니다. 이것이 바로 반대교합 해소의 첫 단추가 되는 거예요.

확장 장치(PBP)로 위턱을 넓히고, 두 번째 앞니의 배열 공간을 만들고 있는 모습
치료 2단계 – 미니스크류를 이용한 아랫니 후방 견인
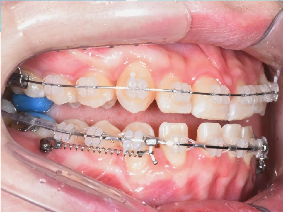
위턱 쪽 작업이 진행되어 가면서, 아래턱에도 본격적인 치료를 시작했습니다. 아래턱에 미니스크류(아주 작은 나사 형태의 고정장치)를 심어서, 돌출된 아래 치열 전체를 뒤쪽으로 끌어당기는 방법을 사용했어요.
미니스크류는 뼈에 직접 고정되기 때문에 움직이지 않는 절대적인 기준점 역할을 합니다. 이 고정점을 이용해 스프링이나 체인으로 지속적인 힘을 가하면, 아래 치열이 조금씩 뒤로 이동하게 됩니다.

미니스크류를 활용하여 아래 치열을 뒤쪽으로 이동시키는 과정
정리하면, 위쪽 앞니는 앞으로, 아래쪽 치열은 뒤로 이동시키는 이중 효과로 반대교합을 교정하는 전략이에요. 이렇게 양쪽에서 동시에 접근하면 한쪽만 움직이는 것보다 훨씬 많이 위아랫니의 관계를 개선해줄 수 있습니다.

아래 치열 전체를 뒤로 보내는 중입니다
치료 결과 – 반대교합 해소 및 정상 교합 확립
치료가 마무리된 후의 모습입니다. 반대교합이 완전히 해소되어 정상적인 교합 관계가 확립되었어요!

치료가 완료된 모습. 정상교합을 회복했습니다.
치료 완료 – 반대교합이 해소되고, 아래 치열의 공간도 깔끔하게 정리된 모습
치료 전후를 비교하면 변화가 확연하지 않나요?
| 항목 | 치료 전 | 치료 후 |
|---|---|---|
| 앞니 교합 | 반대교합(아랫니가 앞) | 정상 교합(윗니가 아랫니를 살짝 덮음) |
| 두 번째 앞니 | 안쪽으로 함입 | 정상 위치로 배열 완료 |
| 아래 치열 공간 | 돌출 및 불규칙 | 깔끔하게 정리 |
| 교합 기능 | 저작·발음 불편 | 기능적 안정성 확보 |
안쪽으로 들어가 있던 두 번째 앞니도 제자리를 찾았고, 아래 치열의 불필요한 공간도 모두 정리되었습니다. 기능적 안정성과 심미성 모두를 확보한 결과라고 할 수 있어요.
얼굴 변화 – 수술 없이도 이렇게 달라질 수 있다
교합 관계가 정상화되면서 얼굴 옆모습에도 눈에 띄는 변화가 나타났습니다. 치료 전에는 아래턱의 돌출감이 뚜렷했는데, 치료 후에는 그 돌출감이 현저히 줄어들었어요.
수술 없이 교정 치료만으로도 안면의 조화와 균형이 크게 향상된 것을 확인할 수 있습니다. 물론 뼈 자체를 움직이는 수술과는 변화의 정도가 다를 수 있지만, 이 환자분처럼 교정만으로도 충분히 만족스러운 안모 개선을 이끌어낼 수 있는 케이스가 있다는 것이 중요한 포인트입니다.

치료 후 모습 – 아래턱의 돌출감이 줄어들고, 전체적인 안면 균형이 개선되었습니다
환자분께서도 결과에 매우 만족해 주셨어요. 수술에 대한 부담 없이 교정만으로 이 정도의 변화를 얻을 수 있었다는 점에서 정말 보람 있는 케이스였습니다.
기억에 남는 환자분
많은 분들이 수술을 고민하시지만, 이번 환자분은 수술 없이 교정 치료만으로 주걱턱과 반대교합을 극복해 낸 아주 뜻깊은 사례로 기억에 남습니다. 어려운 케이스였던 만큼 정확한 진단과 그에 따른 치밀한 단계별 접근이 필수적이었고, 그 과정이 잘 맞아떨어져 훌륭한 결과를 만들어낼 수 있었습니다
물론 모든 경우 비수술로 교정이 가능한 것은 아닙니다. 하지만 이런 분들은 사실 저희는 대학에서 왜 수술판정을 하는지 잘 모르겠는 측면이 있습니다. 물론 수술 교정의 경우 얼굴이 더 작아지도록 뼈 크기도 줄여줄 수 있겠지만, 그런 정도는 교정 후 윤곽수술만으로도 가능하지 않나 합니다. (특히 수술 자체의 위험성을 고려한다면..)
교정 전 저희가 수많은 증례사진을 보여드렸음에도 불구하고, 환자분은 처음 윗니 확장할 때 까지만 해도 '이게 진짜 되는 것 맞나...'하고 반신반의 하셨습니다. 앞니 넘겨드리고 어금니에 있던 파란 바이트레진 떼는 날 가장 기뻐하셨는데, 그 순간이 잊혀지지 않네요. 얼굴은 그 날 이미 거의 완성되었습니다.
총기간 1.5년 정도 걸렸던 케이스였습니다. 저희의 정성이 결과로 나타나게 되어 정말 기분이 좋고, 이런 환자라면 매일매일 왔으면 좋겠습니다.

